Другие названия и синонимы
MERRF syndrome, Миоклонус-эпилепсия с рваными красными волокнами.
МКБ-10 коды
|
|
Описание
Это редкое генетическое заболевание, вызванное структурными и биохимическими дефектами в митохондриях, характеризуется серьезным повреждением центральной нервной системы и мышечной ткани. Клиническая картина может отличаться даже в пределах одной семьи. Симптомы включают различные типы судорог, плохую координацию, мышечную слабость. Подтверждающими методами диагностики являются гистологическое исследование мышечной биопсии и анализ ДНК. Там нет конкретного лечения; симптоматическая терапия нейрометаболиками, противосудорожными препаратами, препаратами, улучшающими функцию митохондрий.
Дополнительные факты
MERRF относится к наследственной митохондриальной энцефаломиопатии. MERRF - сокращение от «миоклоническая эпилепсия (M) (E) с разорванными (R) красными (R) волокнами (F)». Болезнь впервые была описана японским неврологом Н. Фукухарой в 1980 году. Согласно различным эпидемиологическим данным, заболеваемость MERRF составляет от 0,25: 100 000 до 1,5: 100 000. Наследование происходит только со стороны матери, в то время как оба пола страдают с одинаковой частотой.
Причины
Возникновение MERRF вызвано точечными мутациями в митохондриальной ДНК, а именно изменениями в нуклеотидной последовательности. Наиболее распространенными являются замена аденина гуанином в положении 8344 РНК транспортного лизина или замена тимина цитозином в положении 8356. Это приводит к нарушению образования митохондриальных белков.
Клиническое развитие MERRF зависит от количества дефектной ДНК Чем больше митохондриальной ДНК с мутацией, тем выше риск заболевания. Абсолютно бессимптомный перенос мутантных генов также возможен. Нет никаких существенных факторов риска, которые могли бы вызвать проявление этой патологии.
Клиническое развитие MERRF зависит от количества дефектной ДНК Чем больше митохондриальной ДНК с мутацией, тем выше риск заболевания. Абсолютно бессимптомный перенос мутантных генов также возможен. Нет никаких существенных факторов риска, которые могли бы вызвать проявление этой патологии.
Патогенез
В результате генетической мутации в митохондриях синтез ферментов дыхательной цепи (цитохромоксидазы, сукцинатдегидрогеназы ) Оказывается неудачным. Нарушаются процессы окислительного фосфорилирования - важнейшая стадия клеточного энергетического обмена, обеспечивающая образование основного количества молекул АТФ (универсального источника энергии для клеток).
Эти явления происходят практически во всех клетках организма. Наиболее вредное воздействие касается органов с высокой потребностью в энергии - центральной нервной системы и мышц. Из-за гипоксии тканей в мышцах накапливается избыток молочной кислоты, что приводит к повреждению мышечных волокон.
Эти явления происходят практически во всех клетках организма. Наиболее вредное воздействие касается органов с высокой потребностью в энергии - центральной нервной системы и мышц. Из-за гипоксии тканей в мышцах накапливается избыток молочной кислоты, что приводит к повреждению мышечных волокон.
Классификация
В современной неврологии четкие официальные разделения синдрома MERRF в отдельных формах не принимаются. Следующие сорта можно выделить по количеству точечных мутаций и клинических проявлений:
Существует генетическая мутация с возможностью передачи наследства при полном отсутствии симптомов.
«Мягкий курс» без вовлечения нервной системы. Пациенты могут быть обеспокоены умеренной мышечной слабостью.
Блестящая клиническая картина с тяжелым течением и неблагоприятным прогнозом.
Существует генетическая мутация с возможностью передачи наследства при полном отсутствии симптомов.
«Мягкий курс» без вовлечения нервной системы. Пациенты могут быть обеспокоены умеренной мышечной слабостью.
Блестящая клиническая картина с тяжелым течением и неблагоприятным прогнозом.
Клиническая картина
Синдром MERRF может дебютировать практически в любом возрасте. Начало детства связано с худшим прогнозом. Ранними признаками считаются повышение мышечной усталости, снижение толерантности к физической нагрузке, боли в икроножных мышцах. Из-за постепенного прогрессирования миопатии мышечная слабость приобретает более выраженный характер - пациенту трудно подниматься по лестнице, ходить. В тяжелых случаях пациент с большим усилием может встать с постели.
Типичны эпилептические припадки, которые могут быть разнообразными - непроизвольные спазмы мышц лица или рук без потери сознания (миоклонус), пароксизмы, такие как кивки, генерализованные тонико-клонические припадки с потерей сознания. Миоклонус часто вызывается высокими звуками или вспышкой света. Нарушение координации нарушается, возникает нестабильность при ходьбе, стоя.
Значительно страдает когнитивная функция, уменьшается память, концентрация внимания. Зрение и слух постепенно ухудшаются. В некоторых случаях наблюдаются периферические невропатии, проявляющиеся онемением, жжением, покалыванием (парестезией) в конечностях. Кожные образования очень редки - липомы, гемангиомы, бородавчатые невусы.
Ассоциированные симптомы: Общая слабость. Слабость мышц (парез). Судороги. Тонико-клонические судороги.
Типичны эпилептические припадки, которые могут быть разнообразными - непроизвольные спазмы мышц лица или рук без потери сознания (миоклонус), пароксизмы, такие как кивки, генерализованные тонико-клонические припадки с потерей сознания. Миоклонус часто вызывается высокими звуками или вспышкой света. Нарушение координации нарушается, возникает нестабильность при ходьбе, стоя.
Значительно страдает когнитивная функция, уменьшается память, концентрация внимания. Зрение и слух постепенно ухудшаются. В некоторых случаях наблюдаются периферические невропатии, проявляющиеся онемением, жжением, покалыванием (парестезией) в конечностях. Кожные образования очень редки - липомы, гемангиомы, бородавчатые невусы.
Ассоциированные симптомы: Общая слабость. Слабость мышц (парез). Судороги. Тонико-клонические судороги.
Возможные осложнения
Синдром MERRF считается серьезным заболеванием с большим количеством осложнений. Наиболее неблагоприятными из них являются эпилептический статус и отек мозга. Из-за выраженной миопатии глоточных мышц может возникнуть нарушение глотания и попадания пищи в дыхательные пути, что приведет к развитию аспирационной пневмонии. Также дыхательная недостаточность возникает из-за слабости дыхательных мышц.
Атрофия зрительных нервов и дегенерация сетчатки у некоторых пациентов вызывают полную потерю зрения. С ранним клиническим проявлением ребенок значительно отстает в физическом и нервно-психическом развитии. Дисбаланс увеличивает риск падений и переломов. Хронический панкреатит и диабет наблюдаются очень редко.
Атрофия зрительных нервов и дегенерация сетчатки у некоторых пациентов вызывают полную потерю зрения. С ранним клиническим проявлением ребенок значительно отстает в физическом и нервно-психическом развитии. Дисбаланс увеличивает риск падений и переломов. Хронический панкреатит и диабет наблюдаются очень редко.
Диф. диагностика
Синдром MERRF необходимо дифференцировать с другими митохондриальными заболеваниями (синдром MELAS), а также с наследственными нарушениями обмена веществ, которые поражают мышечную ткань и нервную систему:
• эпифепсия миоклонуса Унферрихта-Лундборга;
• Болезнь Лафоры;
• накопительные заболевания (болезнь Гоше, лейкодистрофия, ганглиозидоз).
• эпифепсия миоклонуса Унферрихта-Лундборга;
• Болезнь Лафоры;
• накопительные заболевания (болезнь Гоше, лейкодистрофия, ганглиозидоз).
Диагностика
Диагностика.
Неврологи наблюдают за пациентами с синдромом MERRF. Детские пациенты находятся под совместным наблюдением детских невропатологов и педиатров. При осмотре обращают на себя внимание общее снижение мышечного тонуса, ослабление сухожилий и наличие патологических рефлексов (Бабинский, Оппенгейм), сбой координационных тестов - поза Ромберга, пяточно-коленный сустав , палец-нос. Дополнительные экзамены включают в себя:• Лабораторные исследования. В биохимическом анализе крови отмечается увеличение концентрации молочной кислоты. Спинномозговая жидкость имеет высокое содержание белка.
• ЭЭГ. На электроэнцефалограмме можно обнаружить эпилептиформную активность - генерализованные комплексы с шипами, медленными диффузными волнами.
Атрофия мозга показывает атрофию коркового и белого вещества полушарий головного мозга и мозжечка, кальцификацию центральных серых ядер.
При электронейромиографии отмечается уменьшение амплитуды и длительности потенциалов двигательных единиц, что свидетельствует о повреждении мышечной ткани.
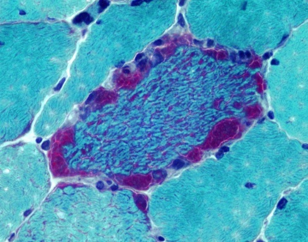
• Гистологическое исследование. Один из основных диагностических тестов для синдрома MERRF. При мышечной биопсии выявляются признаки атрофии - уменьшение размеров мышечных волокон, их бледное окрашивание, склероз, эндомизия и перимизия. При окрашивании гистологических срезов методом Гомори в более чем 5% мышечных волокон обнаруживается наличие «разорванных красных волокон».
Основной метод проверки диагноза. В молекулярно-генетическом исследовании мутации обнаружены в митохондриальной ДНК - A8344G или T8356C.
Гистологическая подготовка. Фрагментированные мышечные волокна («рваные красные волокна»).
|
|
Лечение
Пока что нет эффективных методов лечения этой патологии. Все меры носят симптоматический и паллиативный характер и направлены на улучшение состояния пациента. Для замедления атрофических процессов в мышечной ткани курсы физиотерапии обязательны. Регресс симптомов облегчается низкоуглеводной диетой.
Для детей с ограниченными интеллектуальными возможностями рекомендуются индивидуальные консультации с дефектологом, психологом и логопедом. Медикаментозная терапия основана на общих принципах лечения митохондриальных заболеваний и включает две основные группы лекарств:
• Метаболические препараты. Комплекс энергетически активных ингредиентов («митохондриальный коктейль») используется для улучшения процессов клеточного дыхания, который включает кофакторы ферментов (витамины группы В), активные ингредиенты, стимулирующие перенос электронов в дыхательной цепи (коэнзим Q10) и антиоксиданты (аскорбиновая кислота, токоферол).
Для предотвращения эпилептических припадков назначают противосудорожные препараты - клоназепам, ламотригин, топирамат. Вальпроевая кислота и ее производные строго противопоказаны, так как они подавляют митохондриальную функцию. Их использование приводит к резкому ухудшению состояния больного.
Для детей с ограниченными интеллектуальными возможностями рекомендуются индивидуальные консультации с дефектологом, психологом и логопедом. Медикаментозная терапия основана на общих принципах лечения митохондриальных заболеваний и включает две основные группы лекарств:
• Метаболические препараты. Комплекс энергетически активных ингредиентов («митохондриальный коктейль») используется для улучшения процессов клеточного дыхания, который включает кофакторы ферментов (витамины группы В), активные ингредиенты, стимулирующие перенос электронов в дыхательной цепи (коэнзим Q10) и антиоксиданты (аскорбиновая кислота, токоферол).
Для предотвращения эпилептических припадков назначают противосудорожные препараты - клоназепам, ламотригин, топирамат. Вальпроевая кислота и ее производные строго противопоказаны, так как они подавляют митохондриальную функцию. Их использование приводит к резкому ухудшению состояния больного.
Прогноз
Ожидаемая продолжительность жизни, вероятность смерти при синдроме MERRF может сильно различаться у разных пациентов. При низком симптоматическом течении (отсутствие повреждений нервной системы, умеренная миопатия), систематическом немедикаментозном и медикаментозном лечении ожидаемая продолжительность жизни может не отличаться от общей численности населения.
Профилактика
При развитом курсе прогноз крайне неблагоприятный. Фатальный исход наступает через 10-15 лет от начала заболевания. Основными причинами смерти являются эпилептическое состояние, аспирация, нарушение дыхания. Единственным специфическим методом профилактики является пренатальная диагностика и прерывание беременности.
Список литературы
1. Наследственные болезни нервной системы: Рук. для врачей/ Под ред. Ю.Е. Вельтищева, П.А. Темина. 1998.
2. Очерки митохондриальной патологии/ Сухоруков В.С. 2011.
3. Наследственные болезни обмена веществ/ Краснопольская Д. 2005.
4. Молекулярно генетическая характеристика болезней дыхательной цепи митохондрий у детей: Автореферат диссертации/ Цыганкова П.Г. 2012.
2. Очерки митохондриальной патологии/ Сухоруков В.С. 2011.
3. Наследственные болезни обмена веществ/ Краснопольская Д. 2005.
4. Молекулярно генетическая характеристика болезней дыхательной цепи митохондрий у детей: Автореферат диссертации/ Цыганкова П.Г. 2012.