Другие названия и синонимы
Krukenberg metastasis.
Описание
Метастазы Крукенберга. Это метастатическое повреждение яичника, которое является источником первичного очага рака в других органах (часто в пищеварительной системе). Опухоль характеризуется быстрым прогрессированием, которое может сопровождаться увеличением живота и эпигастральным дискомфортом, болью в области таза, нарушениями менструального цикла. Методы диагностики включают гинекологическое и анамнезное исследование, УЗИ, гистологическую верификацию с иммуногистохимическим определением генотипа. Комбинированное лечение - хирургическая циторедуктивная хирургия с химиотерапией.
|
|
Дополнительные факты
Метастазирование по Крукенбергу - это вторичная карцинома яичника, характеризующаяся наличием крикоидных клеток, которые секретируют муцин, и ростом толщины яичника. Опухоль названа в честь немецкого доктора Фридриха Эрнста Крюкенберга, который определил ее гистологическое строение в 1896 году. Некоторые авторы имеют в виду метастазы рака Крукенберга от карциномы органа, другие - только пищеварительный тракт. Рак Крукенберга в основном наблюдается в перименопаузе и составляет до 2% всех случаев рака яичников и до 30% всех метастатических образований яичников.
Причины
Метастазы Крукенберга являются результатом распространения рака, который первоначально возник за пределами яичников. Чаще всего они происходят от аденокарцином, которые состоят из их крикоидных клеток (образуют «кольцо с перстнем-печаткой»). Основными источниками рака Крукенберга являются злокачественные эпителиальные новообразования:
До 70% всех карцином Крукенберга - это рак желудка, причем более 50% пациентов поражают оба яичника. Частота возникновения метастазов в яичниках при раке желудка составляет около 15%. Первичные поражения, расположенные вблизи привратника, обычно участвуют в их появлении.
Рак ободочной и прямой кишки сопровождается метастатическим заболеванием яичников в 2-12% случаев. Метастазы в яичники происходят из основного узла толстой кишки (преимущественно сигмовидной) в 4,5 раза чаще, чем из прямой кишки. Вторичная неоплазия яичников из кишечника часто бывает двусторонней.
Рак молочной железы приводит к метастатическому раку яичников в 4-10% случаев. 80% из них происходят от лобулярной аденокарциномы молочной железы и обычно представляют метастазы Крукенберга. У половины пациентов повреждение яичников сочетается с метастазами в других отдаленных органах.
Реже рак Крюкенберга возникает из-за распространения карцином в теле матки, желчного пузыря и поджелудочной железы. Метастазирование не зависит от объема материнской опухоли. Иногда первичный очаг не определяется, его можно заподозрить только из-за наличия метастазов Крукенберга.
До 70% всех карцином Крукенберга - это рак желудка, причем более 50% пациентов поражают оба яичника. Частота возникновения метастазов в яичниках при раке желудка составляет около 15%. Первичные поражения, расположенные вблизи привратника, обычно участвуют в их появлении.
Рак ободочной и прямой кишки сопровождается метастатическим заболеванием яичников в 2-12% случаев. Метастазы в яичники происходят из основного узла толстой кишки (преимущественно сигмовидной) в 4,5 раза чаще, чем из прямой кишки. Вторичная неоплазия яичников из кишечника часто бывает двусторонней.
Рак молочной железы приводит к метастатическому раку яичников в 4-10% случаев. 80% из них происходят от лобулярной аденокарциномы молочной железы и обычно представляют метастазы Крукенберга. У половины пациентов повреждение яичников сочетается с метастазами в других отдаленных органах.
Реже рак Крюкенберга возникает из-за распространения карцином в теле матки, желчного пузыря и поджелудочной железы. Метастазирование не зависит от объема материнской опухоли. Иногда первичный очаг не определяется, его можно заподозрить только из-за наличия метастазов Крукенберга.
Патогенез
Микроскопически карциномы Крукенберга состоят из стромальных клеток яичника и крикоидных клеток, заполненных слизью. Из-за структурного сходства их трудно отличить от первичных раковых неоплазий гонад. Ранее считалось, что метастазы Крюкенберга распространяются лимфогенным, гематогенным путем имплантации (особенно из толстой кишки).
Согласно современной концепции, метастазы этого типа характеризуются движением с лимфой. Об этом косвенно свидетельствует их расположение не на поверхности гонад, а также возникновение вторичных очагов яичников при колоректальном раке только при наличии метастатических лимфатических узлов.
Существуют две теории эволюции метастазов Крюкенберга - линейная и параллельная. Согласно линейной модели, «клетки-предшественники» метастатических опухолей сначала полностью формируются среди других клеток первичного узла с единым «зрелым» фенотипом, внедряются в организм и адаптируются в новом месте в течение некоторого времени до начала прогрессирования. Рост «материнского» рака и его отдаленных метастазов происходит последовательно.
Параллельная модель предсказывает распространение генетически неразвитых клеток на самых ранних стадиях первичной опухоли и их дальнейшее развитие в новой среде с мутационной адаптацией, приобретением новых признаков. Этот тип прогрессирования сопровождается развитием «материнской» опухоли, которая дает метастатическим клеткам повышенную устойчивость к побочным эффектам.
Теория параллельного развития объясняет агрессивный характер метастатического рака, резистентность к терапии, возникновение поздних (метахронных) метастазов. В отличие от синхронного, выявляемого одновременно с первичным раком, поздние метастазы могут появиться значительно позже (через 5 и более лет), плохо реагировать на химиотерапию и значительно ухудшать прогноз заболевания.
Согласно современной концепции, метастазы этого типа характеризуются движением с лимфой. Об этом косвенно свидетельствует их расположение не на поверхности гонад, а также возникновение вторичных очагов яичников при колоректальном раке только при наличии метастатических лимфатических узлов.
Существуют две теории эволюции метастазов Крюкенберга - линейная и параллельная. Согласно линейной модели, «клетки-предшественники» метастатических опухолей сначала полностью формируются среди других клеток первичного узла с единым «зрелым» фенотипом, внедряются в организм и адаптируются в новом месте в течение некоторого времени до начала прогрессирования. Рост «материнского» рака и его отдаленных метастазов происходит последовательно.
Параллельная модель предсказывает распространение генетически неразвитых клеток на самых ранних стадиях первичной опухоли и их дальнейшее развитие в новой среде с мутационной адаптацией, приобретением новых признаков. Этот тип прогрессирования сопровождается развитием «материнской» опухоли, которая дает метастатическим клеткам повышенную устойчивость к побочным эффектам.
Теория параллельного развития объясняет агрессивный характер метастатического рака, резистентность к терапии, возникновение поздних (метахронных) метастазов. В отличие от синхронного, выявляемого одновременно с первичным раком, поздние метастазы могут появиться значительно позже (через 5 и более лет), плохо реагировать на химиотерапию и значительно ухудшать прогноз заболевания.
Клиническая картина
Метастазы Крукенберга протекают бессимптомно или бессимптомно. На начальных этапах можно отметить увеличение живота из-за выпотевания брюшины, которое встречается у 60-70% пациентов и общие признаки: слабость, субфебрильная температура и снижение аппетита. При росте карциномы наблюдаются боли в области таза, признаки эпигастрального дискомфорта (метеоризм, отрыжка и изжога, тошнота).
Когда рак мочевыводящих путей сдавлен, мочеиспускание затруднено. Поражение стромы яичника сопровождается нарушениями менструального цикла (ацикличность, альгоменорея), гирсутизмом, маскулинизацией. Боль, дискомфорт могут наблюдаться во время полового акта. Признак распространения процесса в маточных трубах, матка располагается из влагалища.
Иногда появляются признаки паранеопластического синдрома (они могут сопровождать опухоль или предшествовать ее развитию) - отек из-за венозного тромбоза, боли и слабости в ногах, нарушение координации движений. Все эти проявления не являются патогномоничными, часто они остаются незамеченными на фоне симптомов развития основной опухоли или последствий ее лечения.
Ассоциированные симптомы: Увеличение объема живота.
Когда рак мочевыводящих путей сдавлен, мочеиспускание затруднено. Поражение стромы яичника сопровождается нарушениями менструального цикла (ацикличность, альгоменорея), гирсутизмом, маскулинизацией. Боль, дискомфорт могут наблюдаться во время полового акта. Признак распространения процесса в маточных трубах, матка располагается из влагалища.
Иногда появляются признаки паранеопластического синдрома (они могут сопровождать опухоль или предшествовать ее развитию) - отек из-за венозного тромбоза, боли и слабости в ногах, нарушение координации движений. Все эти проявления не являются патогномоничными, часто они остаются незамеченными на фоне симптомов развития основной опухоли или последствий ее лечения.
Ассоциированные симптомы: Увеличение объема живота.
Возможные осложнения
Локальное распространение метастазов Крюкенберга может привести к компрессии кишечника с частичной или полной обструкцией, которая обычно приводит к смерти. Капсула рака яичника легко повреждается оттоком слизи, что приводит к перитониту, сепсису, шоку. Метастатический узел распространяет раковые клетки в другие органы - печень, легкие и мозг. Нарушение функций жизненно важных органов значительно снижает качество жизни.
Паранеопластический синдром имеет серьезные последствия. В контексте тромбофилии, тромбофлебита развивается артериальная эмболия. Угроза инфаркта миокарда, легких, ишемического инсульта растет. Результатом паранеопластической невропатии, дегенерации мозжечка является нарушение двигательной активности, нарушения зрения и речи, деменция. Эти травмы приводят к тяжелой инвалидности и обычно сохраняются после удаления опухоли.
Паранеопластический синдром имеет серьезные последствия. В контексте тромбофилии, тромбофлебита развивается артериальная эмболия. Угроза инфаркта миокарда, легких, ишемического инсульта растет. Результатом паранеопластической невропатии, дегенерации мозжечка является нарушение двигательной активности, нарушения зрения и речи, деменция. Эти травмы приводят к тяжелой инвалидности и обычно сохраняются после удаления опухоли.
Диагностика
На дооперационном этапе диагностировать метастазы Крюкенберга сложно: пластическая биопсия не проводится, поскольку повреждение капсулы опухоли влечет за собой быстрое распространение рака в брюшине. Диагноз можно проверить только на операционном столе. Основные методы предоперационной диагностики метастазов Крукенберга:
• Клинические испытания. При гинекологическом осмотре (бимануальное ректо-вагинальное обследование) можно определить объем образования яичников и пальпировать брюшную полость на диване. Информация о перенесенном внесосудистом раке позволяет заподозрить метастазы Крукенберга.
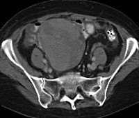
Используйте УЗИ брюшной полости, трансвагинальное, ректальное тазовое с цветной допплерометрией. Признаки метастазирования яичников - четкие контуры и неоднородная структура опухоли, плотные кровеносные сосуды, наличие экссудата в брюшной полости.
• Морфологическое исследование пунктата. Для цитологического анализа жидкость берется из пространства Дугласа через прокол влагалищного свода. Наличие раковых клеток в образце указывает на злокачественную опухоль яичника. По типу клеток можно предположить метастазы Крукенберга.
• Определение уровня опухолевых маркеров. Повышение уровня специфических опухолевых маркеров (CA125, сA19-9, HE4) в крови свидетельствует о злокачественном новообразовании половых желез. Метастатические опухоли увеличивают концентрацию этих белков более интенсивно, чем первичные. Наиболее точные результаты получены при исследовании уровня белка HE4.
• Эндоскопическое обследование. Лапароскопия является инвазивной процедурой и используется, если адекватная визуализация с помощью ультразвука невозможна (например, при ожирении у пациента, наличии спаек) или необходимо уточнить характер и распространение новообразования. Это самый точный метод предоперационной диагностики.
Для проверки диагноза материал, удаленный во время операции, подвергается гистологическому и иммуногистохимическому исследованиям (последнее позволяет отличить первичную метастатическую неоплазию). Исследования проводятся под руководством врача-онкогинеколога с участием врача-онкмаммолога, хирурга-онколога. Необходимо обследовать всех женщин с раком желудка, молочной железы и колоректального рака.
Дифференциальный диагноз ставится в основном при множественном первичном раке (синхронные и метахронные первичные очаги яичника чаще всего сочетаются с опухолями молочной железы, толстой кишки, поджелудочной железы). Как и первичный рак яичников, метастазы Крюкенберга должны дифференцироваться с доброкачественными образованиями половых желез и новообразованиями других органов малого таза, воспалением (аппендицит, аппендицит), забрюшинными кистами.
• Клинические испытания. При гинекологическом осмотре (бимануальное ректо-вагинальное обследование) можно определить объем образования яичников и пальпировать брюшную полость на диване. Информация о перенесенном внесосудистом раке позволяет заподозрить метастазы Крукенберга.
Используйте УЗИ брюшной полости, трансвагинальное, ректальное тазовое с цветной допплерометрией. Признаки метастазирования яичников - четкие контуры и неоднородная структура опухоли, плотные кровеносные сосуды, наличие экссудата в брюшной полости.
• Морфологическое исследование пунктата. Для цитологического анализа жидкость берется из пространства Дугласа через прокол влагалищного свода. Наличие раковых клеток в образце указывает на злокачественную опухоль яичника. По типу клеток можно предположить метастазы Крукенберга.
• Определение уровня опухолевых маркеров. Повышение уровня специфических опухолевых маркеров (CA125, сA19-9, HE4) в крови свидетельствует о злокачественном новообразовании половых желез. Метастатические опухоли увеличивают концентрацию этих белков более интенсивно, чем первичные. Наиболее точные результаты получены при исследовании уровня белка HE4.
• Эндоскопическое обследование. Лапароскопия является инвазивной процедурой и используется, если адекватная визуализация с помощью ультразвука невозможна (например, при ожирении у пациента, наличии спаек) или необходимо уточнить характер и распространение новообразования. Это самый точный метод предоперационной диагностики.
Для проверки диагноза материал, удаленный во время операции, подвергается гистологическому и иммуногистохимическому исследованиям (последнее позволяет отличить первичную метастатическую неоплазию). Исследования проводятся под руководством врача-онкогинеколога с участием врача-онкмаммолога, хирурга-онколога. Необходимо обследовать всех женщин с раком желудка, молочной железы и колоректального рака.
Дифференциальный диагноз ставится в основном при множественном первичном раке (синхронные и метахронные первичные очаги яичника чаще всего сочетаются с опухолями молочной железы, толстой кишки, поджелудочной железы). Как и первичный рак яичников, метастазы Крюкенберга должны дифференцироваться с доброкачественными образованиями половых желез и новообразованиями других органов малого таза, воспалением (аппендицит, аппендицит), забрюшинными кистами.
|
|
Лечение
Фармакотерапия используется независимо только в целях паллиативной помощи, при некотором замедлении роста новообразования, если операция невозможна. Метастазы Крукенберга повышают лекарственную устойчивость по сравнению с основным направлением. Самосохранительное лечение практически не влияет на выживаемость. В современной онкогинекологии для лечения рака метастатических половых желез используются следующие методы:
• Неоадъювантная химиотерапия. Применение противоопухолевых препаратов перед операцией показано при асците. Противоопухолевые средства вводятся внутривенно. Комбинированная химиотерапия платиной и таксаном обычно назначается. Этот метод часто критикуют, потому что он ослабляет пациента и приводит к неработоспособному состоянию.
• Адъювантная химиотерапия. Консервативная терапия назначается после операции - сочетание хирургии и терапии опухолей значительно увеличивает продолжительность жизни. Те же препараты используются в качестве неоадъювантной терапии, они вводятся внутривенно.
• Внутрибрюшинная химиотерапия. Он обеспечивает наилучшие результаты при лечении метастазов Крукенберга и хорошо переносится пациентами. Препараты доставляются в брюшную полость сразу после удаления узла. Использование горячих растворов (гипертермическая химиотерапия) повышает терапевтический эффект. Назначают средства на основе платины, как в монорежиме, так и в сочетании с митомицином.
Хирургическое вмешательство рекомендуется при любом локальном распространении метастазов Крукенберга. Противопоказанием является только неудовлетворительное состояние больного и нестабильность основного очага. Возможность радикальных операций значительно увеличивает вероятность благоприятного исхода. Оптимальным объемом считается экстирпация матки с придатками, оменэктомия, тазовая перитонэктомия.
Если частота злокачественного процесса не позволяет радикального вмешательства, циторедуктивная операция выполняется для удаления максимально возможного объема опухолевой массы. Успех лечения обратно пропорционален размеру остаточной опухоли. После циклов противоракового лечения возможны повторные циторедуктивные вмешательства.
• Неоадъювантная химиотерапия. Применение противоопухолевых препаратов перед операцией показано при асците. Противоопухолевые средства вводятся внутривенно. Комбинированная химиотерапия платиной и таксаном обычно назначается. Этот метод часто критикуют, потому что он ослабляет пациента и приводит к неработоспособному состоянию.
• Адъювантная химиотерапия. Консервативная терапия назначается после операции - сочетание хирургии и терапии опухолей значительно увеличивает продолжительность жизни. Те же препараты используются в качестве неоадъювантной терапии, они вводятся внутривенно.
• Внутрибрюшинная химиотерапия. Он обеспечивает наилучшие результаты при лечении метастазов Крукенберга и хорошо переносится пациентами. Препараты доставляются в брюшную полость сразу после удаления узла. Использование горячих растворов (гипертермическая химиотерапия) повышает терапевтический эффект. Назначают средства на основе платины, как в монорежиме, так и в сочетании с митомицином.
Хирургическое вмешательство рекомендуется при любом локальном распространении метастазов Крукенберга. Противопоказанием является только неудовлетворительное состояние больного и нестабильность основного очага. Возможность радикальных операций значительно увеличивает вероятность благоприятного исхода. Оптимальным объемом считается экстирпация матки с придатками, оменэктомия, тазовая перитонэктомия.
Если частота злокачественного процесса не позволяет радикального вмешательства, циторедуктивная операция выполняется для удаления максимально возможного объема опухолевой массы. Успех лечения обратно пропорционален размеру остаточной опухоли. После циклов противоракового лечения возможны повторные циторедуктивные вмешательства.
Лечение метастаза Крукенберга.
Результат во многом определяется успехом лечения первичного поражения - методы зависят от его локализации и характера (гистологический тип, степень дифференцировки). Протоколы лечения метастазов Крукенберга не были четко разработаны. Основной метод лечения - хирургический. Синхронные метастазы удаляются одновременно с первичным узлом. Химиотерапия назначается в качестве дополнения к хирургии. Лучевая терапия не используется.Прогноз
Общая выживаемость с метастазами Крукенберга не превышает 1,5 года. Метастазы в отдаленные органы являются неблагоприятным прогностическим фактором для любого рака, однако результат может варьироваться в зависимости от локализации и резектабельности первичного поражения, размера метастатического узла, наличия или отсутствия экстраовариальные метастазы. Более оптимистичный прогноз у пациентов с синхронными метастазами от рака молочной железы.
Профилактика
Профилактика метастазирования по Крюкенбергу заключается в раннем выявлении первичного рака. После лечения пациенту необходимо наблюдение в течение всей его жизни - в течение первых трех лет необходимо проводить тестирование несколько раз в год, а затем, как правило, этого достаточно один раз. Это дает время для выявления рецидива опухоли и метахронических метастазов Крукенберга.
Список литературы
1. О различиях ангиогенеза в первичном раке желудка и опухоли Крукенберга: подтверждение гипотезы параллельного метастазирования / Осинский Д.С., Гуменюк Л.Д., Вакуленко Г.А., Налескина Л.А., Осинский С.П., Шапочка Д.А., Ковельская A.В. Онкология - 2014 - Т.16 - №3.
2. Мукоцеллюлярная карцинома яичников (опухоль Крукенберга) и овариальные метастазы рака молочной железы / А.Н. Стрижаков, И.В. Игнатко// Русский медицинский журнал - 1998 - №1.
3. Особенности метастазирования долькового инфильтративного рака молочной железы, гистологическая и иммуногистохимическая характеристика / Вишневская Я.В., Ермилова В.Д., Савелов Н.А., Нечушкин М.И., Триголосов А.В. Опухоли женской репродуктивной системы - 2006 - №1.
2. Мукоцеллюлярная карцинома яичников (опухоль Крукенберга) и овариальные метастазы рака молочной железы / А.Н. Стрижаков, И.В. Игнатко// Русский медицинский журнал - 1998 - №1.
3. Особенности метастазирования долькового инфильтративного рака молочной железы, гистологическая и иммуногистохимическая характеристика / Вишневская Я.В., Ермилова В.Д., Савелов Н.А., Нечушкин М.И., Триголосов А.В. Опухоли женской репродуктивной системы - 2006 - №1.