Продолжая работу с сайтом, вы разрешаете использование сookies и соглашаетесь с политикой конфиденциальности.
.,о.,р..и.:г,.и.,н.;н.,а;,л.. .,н.:а,.х.,о.,д.;и.,т..с.:я,, ..н.;а., .,k;,i..b.:e,;r.,i.,s.,.;.r.:u,

A28.1 Лихорадка от кошачьих царапин

ДобавьАналогиСравни
Используемые препараты: ... скрыть
 
Препаратов не найдено

Дерево МКБ-10 диагнозов

Другие названия и синонимы

A28.1 Cat-scratch disease, A28.1.
Повреждения кожи при болезни кошачьих царапин

Описание

Нет подробного описания, смотрите связи

Связанные заболевания

42a96bb5c8a2acfb07fc866444b97bf1
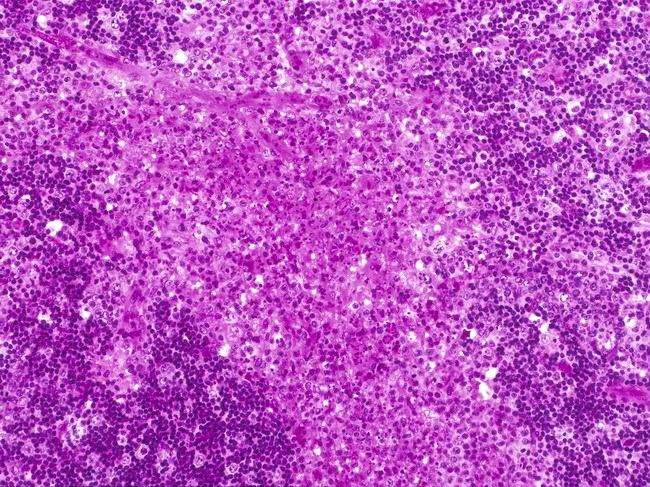
Гистологические нарушения в лимфоузлах при болезни кошачьих царапин

Доступно только при использовании PRO аккаунта
Модератор контента: Васин А.С.


  1. Киберис НЕ является интернет-магазином и НЕ осуществляет закупку, хранение, продажу и доставку препаратов. Ресурс выступает лишь в роли посредника между вами и производителем препаратов или аптечными пунктами, которые и осуществляют поставку.
  2. На Киберис размещены описания препаратов, часть из которых предназначена только для врачей. Данная информация не может быть использована пациентами для принятия решения об использовании препаратов, их отмене или коррекции дозировок.
  3. Ничто в представленной информации не должно быть истолковано как призыв использовать данные препараты.
  4. К Киберис не могут быть обращены претензии по поводу любого ущерба или вреда, понесенного в результате использования размещенной на сайте информации.