Другие названия и синонимы
CBCT of the temporomandibular joint.
Описание
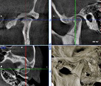
CBCT TMJ. Это метод лучевой диагностики, целью которого является исследование височно-нижнечелюстного сустава. Это исследование позволяет визуализировать следующие анатомические структуры: голова и верхняя часть нижней челюсти, нижнечелюстная ямка височной кости, суставное пространство и прилегающие костные структуры верхней челюсти. TMC сBCT дает возможность выявить следующие патологические изменения: травматическое повреждение кости, смещение суставных поверхностей, аномалии развития, дегенеративно-дистрофические процессы и новообразования. сBCT TMJ обычно выполняется без улучшения контраста. Для увеличения содержания информации сканирование выполняется в двух функциональных положениях: рот открыт и максимально открыт.
|
|
Дополнительные факты
CBCT TMJ, как и обычная компьютерная томография, использует рентгеновские лучи. В зависимости от их физико-химических свойств внутренние ткани организма поглощают или передают через эти лучи, что позволяет томографу определять структуру некоторых анатомических или дополнительных образований. Характерной особенностью КЛКТ является коническая форма, создаваемая обучающим устройством, в то время как в классической КТ используется форма веера. Это позволяет не только визуализировать ткани височно-нижнечелюстного сустава в слоях, но и делать это в нескольких плоскостях одновременно. В общей сложности это позволяет создать полную трехмерную модель исследуемой области без искажения размеров или формы анатомических структур. сSCT из банкомата, как правило, используется в таких областях медицины, как стоматология, травматология, челюстно-лицевая и пластическая хирургия, реже - ревматология.
Височно-нижнечелюстной сустав DVT в настоящее время является инновационным методом исследования, который постепенно становится «золотым стандартом» для диагностики заболеваний челюсти и лица. Однако сегодня томографы с коническим пучком доступны только в специализированных диагностических центрах и клиниках. Альтернативные методы исследования включают рентгенографию височно-нижнечелюстного сустава, компьютерную томографию и магнитно-резонансную томографию. Рентгенография является самым дешевым и наиболее распространенным методом среди всех методов, упомянутых выше, но эта процедура сопровождается высокой дозой облучения, и изображения имеют мало деталей. МРТ хорошо показывает мягкие ткани челюстно-лицевой области и не оказывает никакого радиационного воздействия на пациента, но неэффективна при повреждении кости. Классическая КТ височно-нижнечелюстного сустава не позволяет создать полноценную 3D-модель. Однако обычные рентгеновские томографы более распространены в Москве и других городах, чем устройства, необходимые для DVT.
Височно-нижнечелюстной сустав DVT в настоящее время является инновационным методом исследования, который постепенно становится «золотым стандартом» для диагностики заболеваний челюсти и лица. Однако сегодня томографы с коническим пучком доступны только в специализированных диагностических центрах и клиниках. Альтернативные методы исследования включают рентгенографию височно-нижнечелюстного сустава, компьютерную томографию и магнитно-резонансную томографию. Рентгенография является самым дешевым и наиболее распространенным методом среди всех методов, упомянутых выше, но эта процедура сопровождается высокой дозой облучения, и изображения имеют мало деталей. МРТ хорошо показывает мягкие ткани челюстно-лицевой области и не оказывает никакого радиационного воздействия на пациента, но неэффективна при повреждении кости. Классическая КТ височно-нижнечелюстного сустава не позволяет создать полноценную 3D-модель. Однако обычные рентгеновские томографы более распространены в Москве и других городах, чем устройства, необходимые для DVT.
Показания к применению
Показаниями к сSCT TMJ являются поражения области лица, после чего боль возникает в височно-нижнечелюстном суставе во время жевания, открытия рта или в покое; деформация этой области и патологическая подвижность локальных структур; хруст кости, гематомы. Это исследование проводится с нарушением жевательного синдрома и болей на фоне частых хронических или рецидивирующих отитов и мастоидитов, с аномальным развитием этой области, появлением опухолей, уменьшением амплитуды движений нижней челюсти, появлением хруста или хрипов. мышечный спазм во время разговора, жевание. сBCT TMJ также используется для определения хирургической тактики в челюстно-лицевой и пластической хирургии, подборе имплантатов.
Направление проникновения в височно-нижнечелюстной сустав может быть определено челюстно-лицевым и пластическим хирургом в случае черепно-мозговой травмы, моделирования нижней челюсти или височного костного протеза. ЛОР-специалист может назначить ортодонтию, если есть подозрение на гнойный отит или мастоидит на ANVS, и онколог, если в этой области произойдет новый рост.
Направление проникновения в височно-нижнечелюстной сустав может быть определено челюстно-лицевым и пластическим хирургом в случае черепно-мозговой травмы, моделирования нижней челюсти или височного костного протеза. ЛОР-специалист может назначить ортодонтию, если есть подозрение на гнойный отит или мастоидит на ANVS, и онколог, если в этой области произойдет новый рост.
Противопоказания
Абсолютным противопоказанием к проведению КЛКТ ВНЧС является беременность первого триместра - в это время плод более чувствителен к воздействию рентгеновских лучей. Не рекомендуется проводить это исследование для детей дошкольного возраста, людей с сильной болью или психическими расстройствами с повышенной двигательная активность - эта категория людей не способна сохранять статическое положение в течение всего воздействия. Тяжелое и нестабильное состояние пациента также является противопоказанием к КЛКТ ВНЧС, так как это исследование предотвращает реанимацию и постоянный прием лекарств.
Подготовка
Целевая подготовка не требуется, пациент может быть отправлен сразу после осмотра врача для проведения процедуры. В большинстве случаев перед сканированием проводится ультразвуковое сканирование височно-нижнечелюстного сустава или рентген. Для полного охвата всех регионарных тканей это обследование может быть дополнено МРТ височно-нижнечелюстного сустава. Непосредственно перед тем, как начинается височно-нижнечелюстной сустав, рентгенолог дает краткое описание процедуры и опрос пациента. В последнем случае выясняются следующие обстоятельства: предварительный диагноз направляющего специалиста, предыдущие травмы и операции в этой области, наличие металлических конструкций (пластин, винтов) в теле, протезы, фиксированные имплантаты Далее пациенту предлагается удалить все предметы он может удалить результаты фальсификации сSCT TMJ: ювелирные изделия, съемные зубные или слуховые протезы.
Методика проведения
КЛКТ ВНЧС проводится в отдельной комнате, оборудованной конусно-лучевым томографом. Внешне, в зависимости от модели и производителя, эти устройства могут представлять собой одну или несколько вертикальных стоек с подвижной рентгеновской трубкой и пространством для головы или массивным кольцом с кушеткой внутри. Во время исследования пациент может сидеть, стоять или лежать, в зависимости от состояния и конструкции устройства. Общая продолжительность процедуры сSCT TMJ составляет от 3 до 15 минут. Во время сканирования вы должны сохранять неподвижное положение, пока рентгеновская трубка будет вращаться вокруг головы, делая снимки.
Как правило, исследование проводится в два этапа: первый - с полностью закрытыми челюстями, второй - с максимально открытым ртом. сBCT TMJ не сопровождается физическими ощущениями, но большинство устройств во время диагностики производит гул и щелчки разной громкости. После окончания пациент может сразу пойти домой; никаких ограничений не требуется. Осложнений или побочных реакций КЛКТ ВНЧС не вызывает.
Как правило, исследование проводится в два этапа: первый - с полностью закрытыми челюстями, второй - с максимально открытым ртом. сBCT TMJ не сопровождается физическими ощущениями, но большинство устройств во время диагностики производит гул и щелчки разной громкости. После окончания пациент может сразу пойти домой; никаких ограничений не требуется. Осложнений или побочных реакций КЛКТ ВНЧС не вызывает.
Оценка результатов
Подготовка результатов сBCT TMJ занимает от нескольких часов до 1-2 дней в зависимости от загруженности медицинского учреждения. Материалы исследования могут иметь следующую конфигурацию: компакт-диск с изображениями и трехмерная модель височно-нижнечелюстного сустава и регионарных структур; напечатанные на пленке копии; заключение рентгенолога с предварительным диагнозом и описанием всех выявленных патологических изменений. Кроме того, результаты TMC сSCT могут быть отправлены на электронную почту пациента. Окончательный диагноз устанавливается только лечащим врачом.
CBCT TMJ визуализирует следующие заболевания и патологические изменения: переломы или переломы костей, составляющих сустав (нижняя челюсть, височная кость, прилегающая часть верхней челюсти) - как указано структурными деформациями, целостностью, образованием фрагментов кости и их смещение. Полные или неполные дислокации проявляются смещением суставных поверхностей переменной силы тяжести. Также могут быть определены аномалии развития, на которые указывают деформации анатомических структур, изменения в размерах и соотношениях. Исследование является информативным для обнаружения инородных тел в данном районе, оценки их характера и местоположения.
CBCT TMJ может быть использован для изучения опухолей, их распространения на окружающие ткани и структуры. При аутоиммунных поражениях ВНЧС, по данным КЛКТ, определяются остеопоротические изменения, асептический некроз, деформация, сужение суставных пространств или анкилоз ВНЧС. Гематомы и абсцессы в полости сустава на томограмме проявляются расширением суставного пространства за счет скопления внутрисуставной жидкости и могут иметь связь с наружным или средним ухом сосцевидного отростка. Сравнение результатов КЛКТ в положении закрытого и открытого рта позволяет оценить общую подвижность нижней челюсти, функциональность суставов и их симметрию.
CBCT TMJ визуализирует следующие заболевания и патологические изменения: переломы или переломы костей, составляющих сустав (нижняя челюсть, височная кость, прилегающая часть верхней челюсти) - как указано структурными деформациями, целостностью, образованием фрагментов кости и их смещение. Полные или неполные дислокации проявляются смещением суставных поверхностей переменной силы тяжести. Также могут быть определены аномалии развития, на которые указывают деформации анатомических структур, изменения в размерах и соотношениях. Исследование является информативным для обнаружения инородных тел в данном районе, оценки их характера и местоположения.
CBCT TMJ может быть использован для изучения опухолей, их распространения на окружающие ткани и структуры. При аутоиммунных поражениях ВНЧС, по данным КЛКТ, определяются остеопоротические изменения, асептический некроз, деформация, сужение суставных пространств или анкилоз ВНЧС. Гематомы и абсцессы в полости сустава на томограмме проявляются расширением суставного пространства за счет скопления внутрисуставной жидкости и могут иметь связь с наружным или средним ухом сосцевидного отростка. Сравнение результатов КЛКТ в положении закрытого и открытого рта позволяет оценить общую подвижность нижней челюсти, функциональность суставов и их симметрию.