Другие названия и синонимы
CT orbits.
Показания к применению
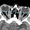
КТ-орбиты назначают для выявления доброкачественных и злокачественных опухолей, в частности - гемангиом глаза, ретинобластомы. Часто причиной нарушения зрения являются отдаленные метастазы на орбите, распространяющиеся от других органов, пораженных раком. Компьютерная томография орбит показана с механическим повреждением глаз. Сканирование позволяет определить целостность каких структур нарушается, а также установить наличие инородных тел в глазу. В качестве дополнительного диагностического метода его применяют при таких состояниях, как шип, атрофия глазного яблока.
|
|
Дополнительные факты
КТ орбиты также используются для выявления воспалительных процессов. Сканирование проводится при подозрении на псевдоопухоль орбиты, при наличии экзофтальма - выпячивание глазного яблока. Показан при гнойных процессах в глазнице - целлюлите, субпериостальном абсцессе. С помощью томографических исследований можно определить степень распространения патологического очага и определить стратегию последующего лечения. Также показанием для КТ-орбит является наличие сильных болей в глазах, быстрое снижение остроты зрения.
Противопоказания
КТ-орбиты не назначаются женщинам во время беременности из-за вероятности неблагоприятного воздействия на плод. Контрастное тестирование противопоказано при наличии аллергии на йодсодержащие препараты, а также при диабете и тяжелой почечной недостаточности. В период лактации компьютерную томографию с контрастом назначают только при условии, что ребенок не получает корм в течение 2 дней.
Подготовка
Процедура не требует подготовки пациентом. Если вы собираетесь сканировать контрастно, проводится оценка функции почек. Опять же, вам нужно за 5 часов до обследования отказаться от употребления пищи.
Оценка результатов
Специалист распечатывает полученные КТ фотографии или сразу же сохраняет их на цифровом носителе, вам нужно дождаться дополнительного письменного мнения о раскрытых изменениях.
В некоторых медицинских центрах Москвы результаты сканирования орбиты можно получить через полчаса после окончания исследования. Эта скорость обеспечивается специалистом, который приступает к расшифровке томограмм во время их реализации. Обычно это рентгенолог, работающий только в этом медицинском центре. Центры сетевых КТ, предоставляющие минимальные цены на тесты, часто пользуются услугами удаленных специалистов, которые в свое свободное время дешифруют томограммы. Поэтому приложение иногда задерживается на несколько дней.
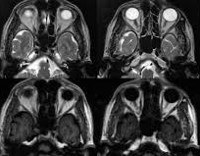
По результатам сканирования можно констатировать, что у пациента онкологическое заболевание, определяется тип опухоли, ее точное местоположение и степень распространения на окружающие структуры, а также прогнозируется динамика развития, определяется тактика лечения. Благодаря обнаружению КТ экзофтальма, орбита может определить этиологию заболевания.
КТ-орбита эффективна при диагностике воспалительных и гнойных процессов. На основании полученных данных можно определить частоту поражения близлежащих анатомических структур, чтобы составить план лечения. В случае инородных тел врач может оценить степень повреждения тканей, сделать вывод о необходимости хирургического вмешательства. Контрастный тест позволяет определить уровень кровоснабжения зрительного нерва и глазного яблока. Пациент должен связаться с лечащим врачом, чтобы получить результаты КТ, который поставит точный диагноз и определит следующую стратегию лечения.
В некоторых медицинских центрах Москвы результаты сканирования орбиты можно получить через полчаса после окончания исследования. Эта скорость обеспечивается специалистом, который приступает к расшифровке томограмм во время их реализации. Обычно это рентгенолог, работающий только в этом медицинском центре. Центры сетевых КТ, предоставляющие минимальные цены на тесты, часто пользуются услугами удаленных специалистов, которые в свое свободное время дешифруют томограммы. Поэтому приложение иногда задерживается на несколько дней.
По результатам сканирования можно констатировать, что у пациента онкологическое заболевание, определяется тип опухоли, ее точное местоположение и степень распространения на окружающие структуры, а также прогнозируется динамика развития, определяется тактика лечения. Благодаря обнаружению КТ экзофтальма, орбита может определить этиологию заболевания.
КТ-орбита эффективна при диагностике воспалительных и гнойных процессов. На основании полученных данных можно определить частоту поражения близлежащих анатомических структур, чтобы составить план лечения. В случае инородных тел врач может оценить степень повреждения тканей, сделать вывод о необходимости хирургического вмешательства. Контрастный тест позволяет определить уровень кровоснабжения зрительного нерва и глазного яблока. Пациент должен связаться с лечащим врачом, чтобы получить результаты КТ, который поставит точный диагноз и определит следующую стратегию лечения.