Другие названия и синонимы
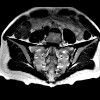
MRI of the sacroiliac joints.
Описание
МРТ крестцово-подвздошных суставов. Неинвазивный метод диагностики, позволяющий визуализировать крестцово-подвздошные суставы путем сканирования радиоволнами в условиях сильного магнитного излучения. Он предоставляет серию изображений с последующей программной обработкой и созданием объемной модели исследуемых анатомических структур. Это наиболее информативный способ визуализации хряща, связок и мышц этой области. Он используется в качестве дополнительного метода исследования при недостаточной информативности рентгеновских и компьютерных томографов при диагностике воспалительных, дегенеративных, травматических и онкологических поражений. Он имеет высокую диагностическую ценность при раннем выявлении сакроилеита у пациентов с болезнью Бехтерева, а также при распознавании некоторых видов серонегативного артрита.
|
|
Дополнительные факты
МРТ крестцово-подвздошных суставов основана на явлении ядерного магнитного резонанса. Во время исследования томограф генерирует сильное магнитное поле, в котором протоны ядер водорода начинают двигаться и кратко формируют свои собственные импульсы. Ткани различной структуры содержат разное количество атомов водорода и излучают соответственно разные поля. Томограф фиксирует эти различия и формирует законченные изображения. МРТ крестцово-подвздошных суставов детализирует указанные суставы, связки, прилегающие мышцы и регионарные лимфатические узлы.
МРТ крестцово-подвздошных суставов является относительно «молодым» методом диагностики. Американский химик П. Лотебур предложил в 1973 году впервые использовать ядерный магнитный резонанс в медицине. В конце 20-го века использование МРТ-сканеров в медицине становилось все более популярным, поскольку это позволило диагностировать заболевание на самых ранних стадиях. МРТ крестцово-подвздошных суставов позволяет выявить патологические изменения, которые не распознаются при рентгенографии или других методах. Области применения: ревматология, онкология, вертебрология, травматология и ортопедия, реже неврология.
Магнитный резонанс крестцово-подвздошных суставов - это исследование, проведенное на заключительном этапе диагностических исследований. Это связано с его относительно высокой стоимостью и низкой доступностью в регионах страны. В то же время магнитно-резонансная томография крестцово-подвздошных суставов является одним из наиболее информативных и безопасных методов диагностики заболеваний в этой области. По сравнению с рентгенографией и компьютерной томографией МРТ лучше визуализирует мягкие ткани и не создает радиационной нагрузки на пациента.
МРТ крестцово-подвздошных суставов является относительно «молодым» методом диагностики. Американский химик П. Лотебур предложил в 1973 году впервые использовать ядерный магнитный резонанс в медицине. В конце 20-го века использование МРТ-сканеров в медицине становилось все более популярным, поскольку это позволило диагностировать заболевание на самых ранних стадиях. МРТ крестцово-подвздошных суставов позволяет выявить патологические изменения, которые не распознаются при рентгенографии или других методах. Области применения: ревматология, онкология, вертебрология, травматология и ортопедия, реже неврология.
Магнитный резонанс крестцово-подвздошных суставов - это исследование, проведенное на заключительном этапе диагностических исследований. Это связано с его относительно высокой стоимостью и низкой доступностью в регионах страны. В то же время магнитно-резонансная томография крестцово-подвздошных суставов является одним из наиболее информативных и безопасных методов диагностики заболеваний в этой области. По сравнению с рентгенографией и компьютерной томографией МРТ лучше визуализирует мягкие ткани и не создает радиационной нагрузки на пациента.
Показания к применению
Магнитно-резонансная томография крестцово-подвздошных суставов показана для возникновения таких клинических симптомов, как постоянные боли в пояснице и тазу, отек, а также травмы позвоночника и генетическая склонность к анкилозирующему спондилиту (анкилозирующему спондилиту). Этот метод используется при отсутствии изменений или неточности в рентгенографии в сочетании с ярко выраженной клинической картиной. В некоторых случаях магнитно-резонансная томография крестцово-подвздошных суставов используется в случае невозможности лечения состояния, диагностированного с помощью рентгенографии (например, остеохондроза), а также для контроля эффективности лечения болезни Бехтерева или других аутоиммунных заболеваний.
Противопоказания
Абсолютными противопоказаниями к МРТ крестцово-подвздошного сустава являются беременности первого триместра, магниточувствительные и металлические инородные тела в теле пациента (слуховые аппараты, гемостаты, кардиостимуляторы-дефибрилляторы, металлические фрагменты, травматологические и ортопедические структуры, в том числе илизаровские или ортопедические устройства). Эндопротез сустава), татуировки, цвет которых содержит металлические частицы. Использование внутривенного контрастного вещества противопоказано лицам с аллергией на добавки гадолиния, тяжелой почечной недостаточностью и проблемами ухода. Список относительных противопоказаний для МРТ крестцово-подвздошного сустава включает тяжелую дыхательную или сердечно-сосудистую недостаточность, нестабильное состояние больного, психические расстройства с повышенной двигательной возбудимостью, клаустрофобию, беременность во II-III триместрах, наличие неферромагнитных инородных тел (стимуляторов нерва, керамических эндопротезов). Вес тела около 130-150 кг.
Подготовка
Ревматологи, травматологи, ортопеды, онкологи, вертебрологи и реже неврологи могут обратиться к МРТ крестцово-подвздошных суставов. В зависимости от области медицины, в которой выявлена патология, предварительно назначаются необходимые исследования: рентгенография, лабораторное определение гена HLA-B27 и опухолевых маркеров, анализы крови и общий анализ мочи. Если планируется МРТ крестцово-подвздошных суставов с дополнительным внутривенным контрастом, то индивидуальный тест на восприимчивость к гадолинию выполняется в обязательном порядке и оценивается почечная функция (определяется уровень креатинина и мочевины крови).
За 4-6 часов до магниторезонанса крестцово-подвздошных суставов следует отказаться от приема пищи. В случае нарушения двигательной функции кишечника или при проведении экстренных анализов пациент получает очистительную клизму или слабительные средства. Дети и люди, которые не могут долгое время оставаться в неподвижном положении, подвергаются медицинской анестезии у анестезиолога. Непосредственно перед началом МРТ крестцово-подвздошных суставов необходимо удалить все металлические предметы с тела - заколки для волос, протезы и украшения. Часто пациента просят сменить специальный халат.
За 4-6 часов до магниторезонанса крестцово-подвздошных суставов следует отказаться от приема пищи. В случае нарушения двигательной функции кишечника или при проведении экстренных анализов пациент получает очистительную клизму или слабительные средства. Дети и люди, которые не могут долгое время оставаться в неподвижном положении, подвергаются медицинской анестезии у анестезиолога. Непосредственно перед началом МРТ крестцово-подвздошных суставов необходимо удалить все металлические предметы с тела - заколки для волос, протезы и украшения. Часто пациента просят сменить специальный халат.