Другие названия и синонимы
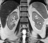
MRI of the kidneys.
Описание
МРТ почек Инструментальное исследование, позволяющее проводить неинвазивную визуализацию слоя за слоем мочевыводящих органов, подвергая их воздействию радиоволн во внешнем магнитном поле. Радиосигналы, посылаемые ядрами атомов водорода, регистрируются датчиками обнаружения и преобразуются компьютерной программой в трехмерное изображение. Таким образом, магнитно-резонансная томография дает представление о топографии и кровоснабжении почек, структуре паренхимы, функционировании почечной тазовой системы, состоянии почечной клетчатки. Исследование назначают при подозрении на аномалии в структуре мочевыделительной системы, опухолевые процессы, поражения почек и мочеточников, воспалительные заболевания и другие патологии (ИКД, гидронефроз, инфаркт почки и ). МРТ почек можно проводить в обычном режиме или в режиме МР-ангиографии (с контрастом).
|
|
Дополнительные факты
Магнитно-резонансная томография - это современный метод диагностики, который отличается высокой эффективностью, точностью и безопасностью для здоровья пациента. С его помощью специалист имеет возможность визуализировать почки, оценить их анатомическое строение, выявить все виды патологий, оценить их размеры, структуру, распространенность и другие характеристики. Принцип визуализации основан на взаимодействии радиочастотных импульсов и магнитного поля. Такой метод диагностики появился сравнительно недавно - в 80-х годах прошлого века. Техника почти сразу стала активно использоваться в урологии, поскольку ранее не было диагностического метода, позволяющего исследовать орган как можно более подробно без какого-либо инвазивного вмешательства.
Во время МРТ почек диагност получает огромное количество многополосных срезов, которые показывают наименьшие изменения в структуре почечной ткани. Компьютерное изображение дано в высоком разрешении, что важно для выявления даже небольших отклонений от нормы и определения степени развития заболевания. Особое значение МРТ почек в урологии касается случаев, в которых пациентам противопоказана компьютерная томография. По сравнению с рентгенодиагностическим методом этот метод более информативен, поскольку показывает орган в трех измерениях. Высокая клиническая значимость МРТ почек наблюдается, когда у пациента возникают опухоли жидкости в паренхиматозной ткани.
Расследование может проводиться в естественных условиях или с использованием контрастного вещества. В большинстве случаев МРТ почек проводится без введения контрастных веществ. Этот метод более безопасен. Позволяет оценить работу и анатомическую структуру тела, выявить отклонения от нормы, не вызывая осложнений. МРТ с контрастным усилением является более надежной диагностической процедурой для оценки функции органа. Этот метод дает четкую картину, но используемое вещество может привести к развитию побочных эффектов в виде нефрогенного системного фиброза. В результате врачи не часто используют контрастное исследование. Основным показателем этой техники является подозрение на наличие новообразований почек.
Во время МРТ почек диагност получает огромное количество многополосных срезов, которые показывают наименьшие изменения в структуре почечной ткани. Компьютерное изображение дано в высоком разрешении, что важно для выявления даже небольших отклонений от нормы и определения степени развития заболевания. Особое значение МРТ почек в урологии касается случаев, в которых пациентам противопоказана компьютерная томография. По сравнению с рентгенодиагностическим методом этот метод более информативен, поскольку показывает орган в трех измерениях. Высокая клиническая значимость МРТ почек наблюдается, когда у пациента возникают опухоли жидкости в паренхиматозной ткани.
Расследование может проводиться в естественных условиях или с использованием контрастного вещества. В большинстве случаев МРТ почек проводится без введения контрастных веществ. Этот метод более безопасен. Позволяет оценить работу и анатомическую структуру тела, выявить отклонения от нормы, не вызывая осложнений. МРТ с контрастным усилением является более надежной диагностической процедурой для оценки функции органа. Этот метод дает четкую картину, но используемое вещество может привести к развитию побочных эффектов в виде нефрогенного системного фиброза. В результате врачи не часто используют контрастное исследование. Основным показателем этой техники является подозрение на наличие новообразований почек.
Показания к применению
Этот тип обследования пациента обычно используется для диагностики злокачественных и доброкачественных опухолей почек. В то же время МРТ почек с введением контрастного вещества имеет большое значение. Процедура дает возможность не только обнаружить опухоли, но и установить степень развития патологического процесса, определить распространение метастазов в близлежащие органы. Только МРТ позволяет выявить новообразование псевдокапсулы. Такая информация необходима, если речь идет о хирургическом лечении рака почки с возможным сохранением органа. Также методика с высокой точностью определяет кистозные образования, распространение метастазов.
МРТ почек показывает размеры головного мозга и коркового слоя, расположение анатомических структур организма, функциональность, возможный вклад питательных сосудов в патологический процесс. Тест также используется для лечения различных воспалительных и дегенеративных процессов почек с целью анализа эффективности терапии. МРТ почек назначают пациентам при наличии противопоказаний для рентгенографии, урографии, недостаточности КТ, ультразвукового исследования. Кроме того, во время обследования диагност может выявить заболевания мочевыводящих путей, в частности мочеточников. Магнитно-резонансная томография с эндокринными патологиями (с нарушениями надпочечников), злокачественное течение гипертонической болезни было показано. С помощью МРТ можно определить травматические повреждения, подтверждение абсцесса органов, мочекаменную болезнь, врожденные структурные нарушения.
Показанием к проведению такого теста является наличие у пациента боли неизвестной этиологии в нижней части спины или в области проекции почки, наблюдаемой в течение длительного времени, сопровождающейся патологическими изменениями в анализе мочи, в частности увеличением удельного веса. МРТ помогает определить причину почечной колики, постоянных головных болей, лихорадки. Дрожь, головокружение, отек мягких тканей также являются показаниями для этого теста, потому что такие симптомы могут указывать на нарушение выделительной функции органа.
МРТ почек показывает размеры головного мозга и коркового слоя, расположение анатомических структур организма, функциональность, возможный вклад питательных сосудов в патологический процесс. Тест также используется для лечения различных воспалительных и дегенеративных процессов почек с целью анализа эффективности терапии. МРТ почек назначают пациентам при наличии противопоказаний для рентгенографии, урографии, недостаточности КТ, ультразвукового исследования. Кроме того, во время обследования диагност может выявить заболевания мочевыводящих путей, в частности мочеточников. Магнитно-резонансная томография с эндокринными патологиями (с нарушениями надпочечников), злокачественное течение гипертонической болезни было показано. С помощью МРТ можно определить травматические повреждения, подтверждение абсцесса органов, мочекаменную болезнь, врожденные структурные нарушения.
Показанием к проведению такого теста является наличие у пациента боли неизвестной этиологии в нижней части спины или в области проекции почки, наблюдаемой в течение длительного времени, сопровождающейся патологическими изменениями в анализе мочи, в частности увеличением удельного веса. МРТ помогает определить причину почечной колики, постоянных головных болей, лихорадки. Дрожь, головокружение, отек мягких тканей также являются показаниями для этого теста, потому что такие симптомы могут указывать на нарушение выделительной функции органа.
Противопоказания
Хотя эта процедура хорошо переносится пациентами и редко связана с побочными эффектами, существуют некоторые условия, при которых тестирование не может быть выполнено. Абсолютным противопоказанием для МРТ почек является наличие у пациента электронных и металлических устройств - кардиостимуляторов, инсулиновых насосов, сосудистых зажимов, отломков и имплантатов. Их взаимодействие с магнитными волнами может вызвать развитие опасных для пациента состояний, в частности, кровотечение, резкие изменения уровня глюкозы в крови и нарушение сердечно-сосудистой функции. Существуют также относительные противопоказания к выполнению диагностической процедуры. Это наличие металлических коронок, зубных протезов. В этом случае магнитный резонанс почек не будет вредить здоровью пациента, но взаимодействие с металлом может привести к искажению данных.
Относительные противопоказания к процедуре включают первый триместр беременности и кормления грудью, клаустрофобию и массу тела пациента более 130-140 кг. Диагностические манипуляции при эпилепсии и психических заболеваниях не проводятся. При необходимости МРТ почек можно проводить под общим наркозом на фоне этих фоновых состояний. Методика применяется с осторожностью у пациентов с хронической патологией в стадии декомпенсации.
Выполнение МРТ почек с введением контрастного вещества позволит расширить перечень противопоказаний. Этот тип процедуры не должен выполняться лицами, страдающими аллергией на лекарственное средство, применяемое при бронхиальной астме, поскольку это может вызвать приступ удушья. Метод контрастной диагностики противопоказан при беременности и кормлении грудью при почечной недостаточности. Иногда специалисты допускают манипуляции с женщинами во время грудного вскармливания, но в аналогичной ситуации после исследования необходимо переключить ребенка на искусственную диету на 2 дня.
Относительные противопоказания к процедуре включают первый триместр беременности и кормления грудью, клаустрофобию и массу тела пациента более 130-140 кг. Диагностические манипуляции при эпилепсии и психических заболеваниях не проводятся. При необходимости МРТ почек можно проводить под общим наркозом на фоне этих фоновых состояний. Методика применяется с осторожностью у пациентов с хронической патологией в стадии декомпенсации.
Выполнение МРТ почек с введением контрастного вещества позволит расширить перечень противопоказаний. Этот тип процедуры не должен выполняться лицами, страдающими аллергией на лекарственное средство, применяемое при бронхиальной астме, поскольку это может вызвать приступ удушья. Метод контрастной диагностики противопоказан при беременности и кормлении грудью при почечной недостаточности. Иногда специалисты допускают манипуляции с женщинами во время грудного вскармливания, но в аналогичной ситуации после исследования необходимо переключить ребенка на искусственную диету на 2 дня.
Подготовка
Диагностическая процедура назначается урологом или онкологом. Перед проведением МРТ почек пациент должен пройти анализ крови и мочи, флюорографию OGC и ультразвуковое исследование почек. При проведении обследования с использованием контрастного вещества необходимо оценить функциональность почек, так как это снижает нагрузку на вывод лекарства из организма. К пациентам предъявляются различные требования в зависимости от их характера до обследования. Если МРТ почек выполняется нативно, никакой специальной подготовки накануне не требуется. Контрастный метод рекомендует пациентам исключить употребление пищи и жидкостей за 5 часов до манипуляций. Кроме того, накануне исследования проводится тест на чувствительность к контрастному веществу, чтобы исключить возможное развитие аллергической реакции.
МРТ почек проводится амбулаторно. Во время процедуры пациент должен носить нижнее белье из натуральной ткани. Перед тестом удалите все металлические предметы - серьги, кольца, слуховые аппараты, съемные зубные протезы. Личные вещи, включая ключи, мобильный телефон, банковские карты , Следует оставить оператору. Размещение этих предметов в комнате, где происходят манипуляции, может привести к искажению результата из-за взаимодействия магнитных волн с металлом.
МРТ почек проводится амбулаторно. Во время процедуры пациент должен носить нижнее белье из натуральной ткани. Перед тестом удалите все металлические предметы - серьги, кольца, слуховые аппараты, съемные зубные протезы. Личные вещи, включая ключи, мобильный телефон, банковские карты , Следует оставить оператору. Размещение этих предметов в комнате, где происходят манипуляции, может привести к искажению результата из-за взаимодействия магнитных волн с металлом.
|
|