Другие названия и синонимы
MRI of the soft tissues of the neck.
Описание
МРТ мягких тканей шеи. Метод сканирования шеи в постоянном магнитном поле с серией цифровых изображений и генерацией трехмерного изображения. Он используется для диагностики воспалительных и опухолевых процессов в органах и тканях шеи, при подозрении на травматическое повреждение и при наличии неметаллических инородных тел в гортани и трахее. Исследование проводится для выявления врожденных аномалий развития. Кисты могут быть необходимы для подготовки к операции на органах шеи. МРТ реже используется для оценки распространенности патологических процессов в щитовидной железе. Обследование является нативным или высококонтрастным, что особенно важно при диагностике опухолей. Процедура неинвазивная, проводится амбулаторно и в стационаре.
|
|
Дополнительные факты
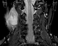
Жизненно важные органы различных систем организма сконцентрированы в области шеи, патология каждого из них может быть причиной для назначения МРТ, особенно если другие инструментальные методы были недостаточно информативными. Поражения гортани, трахеи и пищевода надежно обнаруживаются с помощью магнитно-резонансной томографии. Метод позволяет обнаруживать опухоли в начальных фазах с их точным расположением и определением степени диффузии.
Исследование помогает в диагностике боковых или медиальных кист шеи, воспалительных процессов в мышцах. Изображения ясно показывают абсцессы мягких тканей, а также поражения лимфатических узлов. Иногда назначают процедуру для выявления патологии щитовидной железы, когда другие методы обследования этого органа не позволяют выявить причины существующих симптомов. Часто МРТ используется для подготовки пациентов к операции на органах шеи. Это особенно актуально для раковых процессов, при которых необходимо изучать состояние регионарных лимфатических узлов, определять степень распространения опухолевого процесса и степень хирургического вмешательства.
Исследование помогает в диагностике боковых или медиальных кист шеи, воспалительных процессов в мышцах. Изображения ясно показывают абсцессы мягких тканей, а также поражения лимфатических узлов. Иногда назначают процедуру для выявления патологии щитовидной железы, когда другие методы обследования этого органа не позволяют выявить причины существующих симптомов. Часто МРТ используется для подготовки пациентов к операции на органах шеи. Это особенно актуально для раковых процессов, при которых необходимо изучать состояние регионарных лимфатических узлов, определять степень распространения опухолевого процесса и степень хирургического вмешательства.
Противопоказания
Исследование противопоказано при наличии металлических конструкций и электронных устройств в организме пациента. Под воздействием магнитного поля возможны сбои в работе программируемых систем. Брошки, пластины и другие металлические крепления, оставленные травматическими операциями, могут нагреваться и двигаться во время экзамена. Исключением являются титановые имплантаты, которые не обладают ферромагнитными свойствами. МРТ-сканирование не проводится в течение первого триместра беременности и не рекомендуется в более поздние сроки, хотя процедура может быть выполнена в случае крайней необходимости.
Противопоказанием к применению контрастного вещества является аллергия на гадолиний и заболевания мочевыделительной системы с нарушением функции почек. Ожирение субъекта может быть относительным препятствием из-за технических возможностей томографа - вместимости или диаметра туннеля. При клаустрофобной процедуре выполняется устройство открытого типа. Невозможность лечения пациента с психическим заболеванием и эпилепсией также является относительным противопоказанием - в этих случаях обследование может проводиться под общим наркозом.
Противопоказанием к применению контрастного вещества является аллергия на гадолиний и заболевания мочевыделительной системы с нарушением функции почек. Ожирение субъекта может быть относительным препятствием из-за технических возможностей томографа - вместимости или диаметра туннеля. При клаустрофобной процедуре выполняется устройство открытого типа. Невозможность лечения пациента с психическим заболеванием и эпилепсией также является относительным противопоказанием - в этих случаях обследование может проводиться под общим наркозом.
Подготовка
Пациент может быть направлен на обследование у онколога, эндокринолога, отоларинголога, терапевта и других специалистов. Предварительная рентгенография области (Rg гортани, трахеи, пищевода). Если есть подозрение на воспаление и другие процессы, ультразвук проводится в мягких тканях шеи. Если целью является щитовидная железа, выполняется лабораторная оценка ее функции и эхографии. Если необходимо, контраст проверяется заранее как функция почек.
Никакой специальной подготовки к МРТ шеи не требуется. Внутривенный катетер устанавливается заранее и обычно остается на время процедуры в тех случаях, когда требуется дополнительное введение контрастного вещества. Кроме того, используя контраст, не рекомендуется употреблять пищу за несколько часов до диагностических манипуляций, лучшее решение - выполнить операцию натощак.
Никакой специальной подготовки к МРТ шеи не требуется. Внутривенный катетер устанавливается заранее и обычно остается на время процедуры в тех случаях, когда требуется дополнительное введение контрастного вещества. Кроме того, используя контраст, не рекомендуется употреблять пищу за несколько часов до диагностических манипуляций, лучшее решение - выполнить операцию натощак.