Другие названия и синонимы
CT of coronary calcium.
Описание
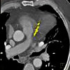
КТ коронарного кальция. Дополнительный диагностический алгоритм, обычно выполняемый как часть коронарной ангиографии КТ, позволяет проводить количественный расчет (индекс) кальция в артериях атеросклеротической бляшки. Это метод объективной диагностики коронарной кальцификации и прогностического маркера атеросклероза и ишемической болезни сердца. Было показано, что КТ коронарных артерий контролирует эффективность атеросклеротической терапии, обследует пациентов с синдромом неопределенной боли и историями факторов риска коронарных артерий (курение, диабет, гиперхолестеринемия, гипертония). Сканирование происходит за считанные секунды во время однократной задержки дыхания без контрастности. Расчет коронарного кальция проводится с помощью специальной компьютерной программы, в результате отражается как общий индекс, так и распределение индекса для каждой коронарной артерии в отдельности.
|
|
Дополнительные факты
Сущность КТ коронарного кальция заключается в послойной фиксации томографом рентгеновского поглощения тканями миокарда, коронарных артерий и кальцификациями, содержащимися в них. В качестве диагностического метода в медицине компьютерная томография была предложена британским инженером-электриком Дж. Хаунсфилдом и американским физиком А. Кормаком в 1970-х годах. В настоящее время компьютерная томография коронарного кальция, а также его разновидностей (мультиспиральная и электронно-лучевая компьютерная томография) являются одними из наиболее информативных способов определения ишемической болезни сердца. С точки зрения чувствительности они превосходят только интракоронарное ультразвуковое исследование, но, в отличие от КТ коронарного кальция, это инвазивная и более дорогостоящая процедура, хотя она не предусматривает облучения пациента.
КТ коронарного кальция используется в таких областях медицины, как кардиология, кардиохирургия, реже сосудистая и эндоскопическая хирургия. Необходимость обусловлена высокой информативностью получаемых изображений - эта методика позволяет оценить проницаемость всех сосудов в сердце, определить точное местоположение кластеров кальцификации и их тяжесть. Последние показатели по коронарной компьютерной томографии рассчитываются с использованием индекса кальция (ДИ). Этот индекс также используется для выявления гемодинамически значимых стенозов и оценки риска осложнений. Таким образом, компьютерная томография коронарного кальция позволяет лечащему врачу выбрать другую терапевтическую тактику для пациента. Сравнивая ЭКГ, УЗИ, результаты лабораторных анализов и кальциевый индекс, кардиолог может обоснованно решить, следует ли продолжить фармакотерапию или направить пациента к хирургу.
КТ коронарного кальция используется в таких областях медицины, как кардиология, кардиохирургия, реже сосудистая и эндоскопическая хирургия. Необходимость обусловлена высокой информативностью получаемых изображений - эта методика позволяет оценить проницаемость всех сосудов в сердце, определить точное местоположение кластеров кальцификации и их тяжесть. Последние показатели по коронарной компьютерной томографии рассчитываются с использованием индекса кальция (ДИ). Этот индекс также используется для выявления гемодинамически значимых стенозов и оценки риска осложнений. Таким образом, компьютерная томография коронарного кальция позволяет лечащему врачу выбрать другую терапевтическую тактику для пациента. Сравнивая ЭКГ, УЗИ, результаты лабораторных анализов и кальциевый индекс, кардиолог может обоснованно решить, следует ли продолжить фармакотерапию или направить пациента к хирургу.
Показания к применению
Основными показаниями к КТ коронарного кальция являются наличие атипичных болей в груди и необходимость осмотра лиц без клинических проявлений ишемии миокарда. Он состоит из людей с гиперхолестеринемией, диабетом, высоким кровяным давлением и ожирением, отягощенным семейной историей. В группу риска входят курильщики, мужчины старше 40 лет и женщины старше 45 лет, которые ведут малоподвижный образ жизни. Кроме того, пациенты, перенесшие шунтирование коронарной артерии или другие сердечно-сосудистые операции, будут подвергаться КТ коронарного кальциевого сканирования для мониторинга текущей фармакотерапии и оценки проходимости коронарных шунтов.
Противопоказания
Компьютерная томография коронарного кальция противопоказана женщинам, которые рожают ребенка независимо от триместра беременности. Относительные противопоказания включают детство, психические заболевания и клаустрофобию, тяжелое ожирение (большинство сканов рассчитано на массу тела до 130 кг). Добавление контрастной внутривенной кальциевой коронарной компьютерной томографии противопоказано лицам с историей аллергических реакций на подобные рентгеноконтрастные препараты у пациентов с тяжелой почечной недостаточностью, сахарным диабетом и заболеванием щитовидной железы. йод.
Подготовка
Направление к компьютерной томографии коронарного кальция может быть выдано врачами общей практики и кардиологами для диагностических целей, а также хирургами сердца и сосудов до операции. В зависимости от клинической ситуации (возникновение ишемической болезни сердца, сердечный приступ или обследование людей из группы риска), ЭКГ, УЗИ сердца, лабораторное определение маркеров инфаркта миокарда (тропонинов) могут быть выполнены предварительно. Непосредственно коронарная кальциевая КТ в большинстве случаев не требует специальной подготовки, однако до введения внутривенного контраста у всех пациентов оценивается выделительная функция почек и проводится тест на индивидуальную переносимость лекарственного средства. При использовании контрастного вещества может потребоваться поддерживать чувство голода в течение 4-6 часов перед тестированием.
Оценка результатов
В большинстве учреждений можно получить результат коронарного КТ после КТ через 1 час после КТ. Как правило, пациент получает письменное или распечатанное описание патологических изменений и диагноз врача, компакт-диск с полученными изображениями и / или 3D-модель, печатные копии изображений. По результатам коронарной компьютерной томографии можно оценить распространенность и степень выраженности кальцификации коронарных артерий. Этот метод позволяет определить точное расположение патологических скоплений, их плотность и степень сужения просвета сосуда. Для объединения полученных результатов используется индекс кальция. IC - это показатель, полученный умножением коэффициента плотности в единицах Хаунсфилда (от 1 до 4 HU) на площадь кальцификации всех сосудов миокарда. В зависимости от полученного значения KI пациенты делятся на 5 групп.
У пациентов с КИ 0 по результатам коронарной кальциевой КТ повреждения коронарных сосудов отсутствуют, соответственно риск сердечно-сосудистых заболеваний очень низок. При КИ 1-10 ед. кальцификация минимальна, риск ИБС и инфаркта низкий. КИ от 11 до 100 ед. указывает на умеренный сосудистый стеноз, вероятное заболевание коронарной артерии и умеренный риск развития сердечного приступа. С КИ 101-400 единиц. количество кальциевых бляшек выше среднего, что означает умеренные гемодинамические нарушения, высокую вероятность ИБС и инфаркта миокарда. У лиц с КИ более 400 ед. Согласно результатам КТ коронарного кальция, наблюдается выраженный стеноз коронарных артерий, который в ближайшее время может привести к инфаркту миокарда.
У пациентов с КИ 0 по результатам коронарной кальциевой КТ повреждения коронарных сосудов отсутствуют, соответственно риск сердечно-сосудистых заболеваний очень низок. При КИ 1-10 ед. кальцификация минимальна, риск ИБС и инфаркта низкий. КИ от 11 до 100 ед. указывает на умеренный сосудистый стеноз, вероятное заболевание коронарной артерии и умеренный риск развития сердечного приступа. С КИ 101-400 единиц. количество кальциевых бляшек выше среднего, что означает умеренные гемодинамические нарушения, высокую вероятность ИБС и инфаркта миокарда. У лиц с КИ более 400 ед. Согласно результатам КТ коронарного кальция, наблюдается выраженный стеноз коронарных артерий, который в ближайшее время может привести к инфаркту миокарда.