Продолжая работу с сайтом, вы разрешаете использование сookies и соглашаетесь с политикой конфиденциальности.
.,о.,р..и.:г,.и.,н.;н.,а;,л.. .,н.:а,.х.,о.,д.;и.,т..с.:я,, ..н.;а., .,k;,i..b.:e,;r.,i.,s.,.;.r.:u,

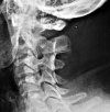
Рентгенография шейного отдела позвоночника

Средняя цена: ≈1630₽
Лечат в 1904 клиниках
X
X

Дерево медицинских услуг

  1. Описание
  2. Дополнительные факты
  3. Номенклатурные коды

Другие названия и синонимы

Radiography of the cervical spine.
Рентгенография шейного отдела позвоночника

Описание

 Рентгенография шейного отдела позвоночника. Рентгенологическое исследование нижних шейных (за исключением I-II) и верхних грудных позвонков. Показан при подозрении на переломы шейных позвонков III-VII, нарушения развития, дегенеративно-дистрофические и опухолевые процессы. Это выполняется в двух проекциях (прямой и боковой), при необходимости назначаются дополнительные (наклонные) проекции. Не требует специальной подготовки, может проводиться срочно или по плану, в стационаре или амбулаторно. Техника не показана во время беременности и в детстве. При наличии свежих травм и угрожающих жизни состояний противопоказаний нет.

Дополнительные факты

 Стандартное исследование проводится в двух проекциях (прямой и боковой). В то же время грудные позвонки III-VII и I-III видны на снимке в прямой проекции, а шейные позвонки I-VII видны на боковой рентгенограмме. Верхние грудные позвонки на боковом снимке не видны, так как они перекрываются тенями костей плечевого пояса. Во время рентгенографии шейного отдела позвоночника в прямой проекции пациент лежит на спине. Голова слегка наклонена назад. Боковой снимок выполняется в положении больного сидя или стоя. Чтобы не допустить совпадения теней костей плечевого пояса с изображениями нижних шейных позвонков (особенно у пациентов с короткой шеей), плечи пациента опускаются вниз. Если рентгенограмма сделана стоя, пациент получает небольшую нагрузку. Если тест проводится в сидячем положении, субъекта просят схватить кресло за кресло руками и активно опустить его плечи.
 В некоторых случаях (для обследования межпозвоночных суставов и межпозвонковых отверстий) в ортопедии и травматологии рентгеновские изображения назначаются в дополнительных косых проекциях. Во время обследования пациент стоит или сидит под углом от 30 до 45 градусов лицом или спиной (в зависимости от требуемого типа дифракции рентгеновских лучей - передняя косая или задняя косая) относительно направления рентгеновских лучей.

Номенклатурные коды

42a96bb5c8a2acfb07fc866444b97bf1
Доступно только при использовании PRO аккаунта
Модератор контента: Васин А.С.


  1. Киберис НЕ является интернет-магазином и НЕ осуществляет закупку, хранение, продажу и доставку препаратов. Ресурс выступает лишь в роли посредника между вами и производителем препаратов или аптечными пунктами, которые и осуществляют поставку.
  2. На Киберис размещены описания препаратов, часть из которых предназначена только для врачей. Данная информация не может быть использована пациентами для принятия решения об использовании препаратов, их отмене или коррекции дозировок.
  3. Ничто в представленной информации не должно быть истолковано как призыв использовать данные препараты.
  4. К Киберис не могут быть обращены претензии по поводу любого ущерба или вреда, понесенного в результате использования размещенной на сайте информации.