Продолжая работу с сайтом, вы разрешаете использование сookies и соглашаетесь с политикой конфиденциальности.
.,о.,р..и.:г,.и.,н.;н.,а;,л.. .,н.:а,.х.,о.,д.;и.,т..с.:я,, ..н.;а., .,k;,i..b.:e,;r.,i.,s.,.;.r.:u,

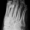
Рентгенография стопы

РасшифровкаСредняя цена: ≈1501₽
Лечат в 1780 клиниках
X
X

Дерево медицинских услуг

  1. Описание
  2. Дополнительные факты
  3. Номенклатурные коды

Другие названия и синонимы

Radiography of the foot.
Рентгенография стопы

Описание

 Рентгенография стопы. Рентгенографическое исследование проводят для оценки состояния дистальной линии костей предплюсны, плюсневых костей и суставов стоп, образованных этими костями. В травматологии методика применяется при переломах и переломах. В ортопедии процедура применяется при плоскостопии, изогнутой стопе, других врожденных и приобретенных деформациях стопы, дегенеративно-дистрофических заболеваниях. В онкологии метод назначают при опухолях костей стопы и в гнойной хирургии, если есть подозрение на распространение гнойных процессов в костной ткани. Стандартный поиск выполняется в двух (прямой и наклонный или прямой и боковой) или в трех проекциях (прямой, наклонный и боковой).

Дополнительные факты

 Основным показанием для рентгенографии стопы в травматологии являются переломы плюсневой кости. Редко, метод используется в диагностическом поиске с менее частыми переломами костей предплюсны и переломами костей стопы. В ортопедии назначают диагностическую процедуру для косолапости, плоскостопия, вальгусной деформации, других приобретенных и врожденных пороков развития. В области онкологии и гнойной хирургии исследование показано при подозрении на опухоли, поражения костей стопы с глубокими формами криминала, абсцессы стопы и другие гнойные процессы.
Рентгенография стопы

Номенклатурные коды

42a96bb5c8a2acfb07fc866444b97bf1
Доступно только при использовании PRO аккаунта
Модератор контента: Васин А.С.


  1. Киберис НЕ является интернет-магазином и НЕ осуществляет закупку, хранение, продажу и доставку препаратов. Ресурс выступает лишь в роли посредника между вами и производителем препаратов или аптечными пунктами, которые и осуществляют поставку.
  2. На Киберис размещены описания препаратов, часть из которых предназначена только для врачей. Данная информация не может быть использована пациентами для принятия решения об использовании препаратов, их отмене или коррекции дозировок.
  3. Ничто в представленной информации не должно быть истолковано как призыв использовать данные препараты.
  4. К Киберис не могут быть обращены претензии по поводу любого ущерба или вреда, понесенного в результате использования размещенной на сайте информации.