Другие названия и синонимы
Metal-ceramic crown for the implant.
Описание
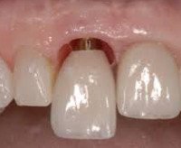
Металлокерамическая коронка на основе имплантата часто устанавливается при замене простых дефектов в зубном ряду. Металлокерамическая коронка хорошо выдерживает нагрузки. Поэтому он успешно используется на имплантатах, заменяя группу зубов для жевания. Корона, состоящая из металлического каркаса и керамического покрытия, наносится на уже установленный имплантат с закрученной стойкой. Корона закреплена на временном цементе. Металлокерамическая коронка на основе имплантатов позволяет полностью восстановить эстетические и жевательные функции, утраченные в результате потери зубов.
Коронка на специальном сплаве с опорой на имплантат рекомендуется для замены утраченного зуба тем пациентам, которые имеют аллергическую реакцию и непереносимость конструкций из простого металла. Металлокерамическая коронка на специальном сплаве представляет собой каркас из сплава, содержащего благородный металл и покрытого керамической массой. После имплантации и имплантации имплантат устанавливается на него. Затем временный цемент наносится на внутреннюю поверхность сборной коронки и наносится на вторичный компонент.
Поддерживаемая имплантатом коронка с трансокклюзионным винтом подходит для замены утраченных жевательных зубов. Корона изготавливается путем заливки металлической конструкции и покрытия ее керамической массой. После успеха имплантата коронка фиксируется на вторичном компоненте, установленном на имплантате, с помощью специального винта, а отверстие над винтом закрывается наполнителем. Использование трансокклюзионного винта позволяет при необходимости снять коронку с апсиды для ее ремонта или замены.
Коронка на специальном сплаве с опорой на имплантат рекомендуется для замены утраченного зуба тем пациентам, которые имеют аллергическую реакцию и непереносимость конструкций из простого металла. Металлокерамическая коронка на специальном сплаве представляет собой каркас из сплава, содержащего благородный металл и покрытого керамической массой. После имплантации и имплантации имплантат устанавливается на него. Затем временный цемент наносится на внутреннюю поверхность сборной коронки и наносится на вторичный компонент.
Поддерживаемая имплантатом коронка с трансокклюзионным винтом подходит для замены утраченных жевательных зубов. Корона изготавливается путем заливки металлической конструкции и покрытия ее керамической массой. После успеха имплантата коронка фиксируется на вторичном компоненте, установленном на имплантате, с помощью специального винта, а отверстие над винтом закрывается наполнителем. Использование трансокклюзионного винта позволяет при необходимости снять коронку с апсиды для ее ремонта или замены.
|
