Продолжая работу с сайтом, вы разрешаете использование сookies и соглашаетесь с политикой конфиденциальности.
.,о.,р..и.:г,.и.,н.;н.,а;,л.. .,н.:а,.х.,о.,д.;и.,т..с.:я,, ..н.;а., .,k;,i..b.:e,;r.,i.,s.,.;.r.:u,

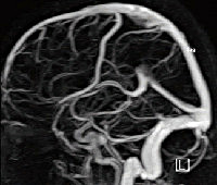
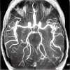
МРТ сосудов головного мозга

Средняя цена: ≈6685₽
Лечат в 725 клиниках
X
X

Дерево медицинских услуг

  1. Описание
  2. Дополнительные факты
  3. Показания к применению
  4. Противопоказания
  5. Подготовка

Другие названия и синонимы

MRI of brain vessels.
МРТ сосудов головного мозга

Описание

 МРТ сосудов головного мозга. Диагностический метод для изучения строения сосудов головного мозга и характера кровотока. Этот метод позволяет визуализировать артерии, вены и венозные пазухи, чтобы оценить характеристики кровотока и его кровообращения в тканях мозга. В процессе МР ангиографии могут быть обнаружены компрессия, окклюзия, воспаление или нарушение целостности сосудистой стенки, порок развития, артериовенозный свищ, кровотечение. МРТ головного мозга не требует специальной подготовки. Перед контрастом оценивается функция почек и выявляется история аллергических реакций.

Дополнительные факты

 МРТ сосудов головного мозга основана на явлении ядерного магнитного резонанса. Суть его заключается в кратковременном колебании протонов ядер атомов водорода с образованием собственного магнитного поля, которое фиксируется аппаратом. Кровообращение в сосудах может значительно улучшить сигнал МРТ во внешнем магнитном поле. Это называется явлением импульсного потока (эффект). В радиологии существует два типа таких сигналов. Первый - это время полета, которое включает в себя эффект «улучшения потока в потоке» (эффект «притока») и эффект «потери сигнала» (нулевой поток), второй - фазовый контраст. Эти явления играют ключевую роль в исследовании кровеносных сосудов при церебральной ангиографии с помощью МРТ, поскольку они позволяют визуализировать сосудистое русло без дополнительного применения контрастных веществ. Этот метод широко используется в неврологии, нейрохирургии, травматологии и онкологии.
МРТ сосудов головного мозга

Показания к применению

 МРТ сосудов головного мозга назначается с низкой информативностью других методов исследования. Основными жалобами, которые могут потребовать этой процедуры, являются регулярные головные боли, частая потеря сознания или предсознательное состояние, нарушение координации, лабильность артериального давления, сопровождающиеся тошнотой и рвотой, резким ухудшением зрения, слуха, речи или памяти, эпилептиформными припадками,мигрени. МРТ также проводится при наличии симптомов тромбоза мозгового синуса - резкой головной боли, рвоты, спутанности сознания, отека век, экзофтальма, озноба.
 Список показаний включает травмы головы с подозрением на перелом основания черепа или внутричерепное кровоизлияние, доброкачественные или злокачественные опухоли, ишемический или геморрагический инсульт, дисциркуляторная энцефалопатия на фоне инфекционных патологий, гипертонических кризов или острой интоксикации. Сканирование проводится с нарушениями в структуре сосудов головного мозга, атеросклерозом, арахноидитом, аневризмой, болезнью Альцгеймера, Бинсвангера, Паркинсона. Методика используется для оценки эффективности лечения после перенесенных травм, инсультов или операций на открытом мозге.

Противопоказания

 Процедура противопоказана людям с имплантируемыми металлическими конструкциями, ферромагнитными устройствами или электронными устройствами (стальные пластины, спицы, кардиостимуляторы, дефибрилляторы, внутренние слуховые имплантаты, инсулиновые помпы, сосудистые зажимы). В список противопоказаний также входят татуировки из краски, смешанной с металлами, механические клапаны сердца и триместр беременности. Относительными противопоказаниями являются тяжелое общее состояние пациента, психические заболевания, клаустрофобия, тяжелая сердечная недостаточность, триместр II-III беременности, наличие неферромагнитных имплантатов среднего уха, масса тела пациента превышает 120-150 кг. Введение контрастных веществ не возникает при аллергических реакциях на аналогичные препараты в анамнезе, почечной недостаточности, гипертиреозе.

Подготовка

 Ссылку на исследование обычно дает врач, занимающийся патологией головного мозга и травмой головы: невролог, нейрохирург, онколог. В случае травмы головы на начальном этапе обследования проводится рентгенография костей черепа. По показаниям проводится эхография и пункция позвоночника. В неврологии, электроэнцефалографии, эхоэнцефалографии, реоэнцефалографии выполняются ранее. При необходимости выберите контрастные образцы для определения чувствительности к лекарственным препаратам, назначьте дополнительные анализы крови и мочи для оценки секреторной функции почек.
 Непосредственно перед обследованием должны быть удалены все металлические предметы: ювелирные изделия, часы, заколки, зубные протезы, слуховые аппараты Не рекомендуется использовать косметику, поскольку они могут содержать компоненты, которые искажают полученные данные. Пациентам, которые могут оставаться неподвижными (дети, люди с психическими заболеваниями, фобиями, сильной болью или непроизвольными движениями), рекомендуется принять медицинское заверение, которое выполняется анестезиологом непосредственно перед началом сканирования.
42a96bb5c8a2acfb07fc866444b97bf1
Доступно только при использовании PRO аккаунта
Модератор контента: Васин А.С.


  1. Киберис НЕ является интернет-магазином и НЕ осуществляет закупку, хранение, продажу и доставку препаратов. Ресурс выступает лишь в роли посредника между вами и производителем препаратов или аптечными пунктами, которые и осуществляют поставку.
  2. На Киберис размещены описания препаратов, часть из которых предназначена только для врачей. Данная информация не может быть использована пациентами для принятия решения об использовании препаратов, их отмене или коррекции дозировок.
  3. Ничто в представленной информации не должно быть истолковано как призыв использовать данные препараты.
  4. К Киберис не могут быть обращены претензии по поводу любого ущерба или вреда, понесенного в результате использования размещенной на сайте информации.