Другие названия и синонимы
Puncture of the brain cyst.
Описание
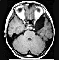
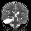
Пункция кисты головного мозга. Диагностическая операция, при которой нейрохирург входит в кисту специальной иглой, чтобы взять образец жидкого содержимого. Вмешательство проводится для последующего лабораторного исследования полученной жидкости, введения контрастного или в терапевтических целях. Пункция кисты головного мозга показана пациентам с недавно диагностированной патологией, проводится для выяснения характера патологического процесса, определения размеров и расположения кисты перед хирургическим удалением, снижения давления жидкости на окружающие ткани головного мозга. Выполняется в плановом порядке в условиях отделения нейрохирургии.
|
|
Дополнительные факты
Обычно в неврологии вмешательство назначают пациентам с недавно диагностированной кистой головного мозга, без травм, кровотечений или хирургических вмешательств. Поскольку киста образуется на месте мертвых клеток головного мозга, необходимо определить исход гибели нейрона. Ответ на этот вопрос может быть дан только путем изучения содержимого кисты, во время которой проводится дифференциация формирования воспалительного генеза и кисты, которая является частью опухоли. Если киста находится в продолговатом мозге, исследование ее содержимого позволяет выявить или устранить сирингомиелию.
Введение контрастной среды в кисту во время ее пункции с последующей МРТ головного мозга выполняется для точного определения положения кисты и оценки ее размера. Эти данные необходимы нейрохирургу для планирования операции. Результаты контрастирования и анализа содержимого кисты позволяют уточнить показания к ее хирургическому лечению и выбрать наиболее приемлемый метод ее удаления. Процедура вмешательства похожа на укус абсцесса и подробно описана здесь. Подготовка пациента, облегчение боли, противопоказания и осложнения подробно описаны здесь.
Введение контрастной среды в кисту во время ее пункции с последующей МРТ головного мозга выполняется для точного определения положения кисты и оценки ее размера. Эти данные необходимы нейрохирургу для планирования операции. Результаты контрастирования и анализа содержимого кисты позволяют уточнить показания к ее хирургическому лечению и выбрать наиболее приемлемый метод ее удаления. Процедура вмешательства похожа на укус абсцесса и подробно описана здесь. Подготовка пациента, облегчение боли, противопоказания и осложнения подробно описаны здесь.
|
