Другие названия и синонимы
Urography for a child.
Описание
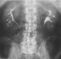
Обзорная урография ребенка предшествует более детальному рентгенологическому обследованию больного с заболеваниями мочевыделительной системы. Обзорная урограмма показывает область от верхних полюсов почек до уретры. Обзорная урография позволяет ребенку оценить топографию, размеры и форму почек, выявить наличие камней в различных отделах мочевыводящих путей, ненормальное развитие мочевыводящих путей, наметить объем и последовательность дальнейшего обследования. Накануне обзорной урографии ребенку назначают безгазовую диету и очистительную клизму.
|
|
Дополнительные факты
Обзорная урография ребенка - рентгенологическая техника, которая достигается путем визуализации верхнего и среднего отделов мочевыводящих путей. В детской урологии и нефрологии обзорная урография и УЗИ почек ребенка обычно являются самой первой стадией обследования молодого пациента, что позволяет наметить ход дальнейшей диагностики. Чтобы получить более детальное изображение исследуемой области после обзорной урографии, ребенку можно сделать контрастную экскреторную урографию, цистографию, ретроградную пиелографию, селективную почечную ангиографию, флебографию, компьютерную томографию (МСКТ) почек, МРТ почек, статическую или динамическая сцинтиграфия почек.
Показания к применению
Необходимость записи с детской урографией определяет специалист: детский нефролог, детский уролог, педиатр.
Рентгенологическое исследование ребенка является частью контрастной урографии и всегда предшествует его осуществлению. Согласно изображению исследования, рентгенолог оценивает наличие газа в кишечнике, определяя таким образом возможность выполнения других урограмм контраста. Зачастую на обзорном изображении врач может поставить предварительный диагноз.
Детское урографическое исследование назначают при поражениях почечной области, болях в животе и поясничной области, затрудненном или частом мочеиспускании, отечности лица и нижних конечностей, гематурии мочевой пузырь, инородные тела мочевыводящих путей, опухоли почек (опухоли Вильмса). Урографическое исследование ребенка необходимо для выявления анатомических и структурных аномалий развития мочевыводящих путей: агенеза и почечной гипоплазии, дистопии почек, подковообразной почки.
XII пара ребер, нижней части позвоночника, таза и почек тени визуализируются в рентгеновских лучах. В норме правая почка находится в 12-м видении грудной клетки - 3 поясничных позвонка (Th12-L3), слева - на уровне 11-го грудного отдела - 2 поясничных позвонка (Th11-L2). Край XII слева пересекает центр почки, а справа - уровень ее верхнего сегмента. Наполненный мочевой пузырь определяется как эллипсоидная формация. Тени почек однородные, контуры ровные. Неизмененные мочеточники не видны при детском урографическом исследовании. Мышцы поясницы определяются как тени в форме усеченной пирамиды, направленные вверх.
Рентгенологическое исследование ребенка является частью контрастной урографии и всегда предшествует его осуществлению. Согласно изображению исследования, рентгенолог оценивает наличие газа в кишечнике, определяя таким образом возможность выполнения других урограмм контраста. Зачастую на обзорном изображении врач может поставить предварительный диагноз.
Детское урографическое исследование назначают при поражениях почечной области, болях в животе и поясничной области, затрудненном или частом мочеиспускании, отечности лица и нижних конечностей, гематурии мочевой пузырь, инородные тела мочевыводящих путей, опухоли почек (опухоли Вильмса). Урографическое исследование ребенка необходимо для выявления анатомических и структурных аномалий развития мочевыводящих путей: агенеза и почечной гипоплазии, дистопии почек, подковообразной почки.
XII пара ребер, нижней части позвоночника, таза и почек тени визуализируются в рентгеновских лучах. В норме правая почка находится в 12-м видении грудной клетки - 3 поясничных позвонка (Th12-L3), слева - на уровне 11-го грудного отдела - 2 поясничных позвонка (Th11-L2). Край XII слева пересекает центр почки, а справа - уровень ее верхнего сегмента. Наполненный мочевой пузырь определяется как эллипсоидная формация. Тени почек однородные, контуры ровные. Неизмененные мочеточники не видны при детском урографическом исследовании. Мышцы поясницы определяются как тени в форме усеченной пирамиды, направленные вверх.
Методика проведения
Обычная урография ребенка может быть выполнена амбулаторно. За 2-3 дня до урографической ревизии ребенку предоставляется подготовка к исследованию, включающая диету, предотвращающую образование газа (с ограничением черного хлеба, сырых овощей и фруктов, цельного молока, газированных напитков). Ферменты, активированный уголь, эспумизан могут назначаться лекарствами. Если накануне ребенок подвержен запорам, ему ставят очищающую клизму. В рентгенологическом кабинете для прохождения ревизионной урографии ребенок должен появиться натощак.
Непосредственно перед тестом необходимо снять одежду с металлических деталей ребенка. Урография проводится в положении лежа на спине, во время исследования ребенок должен стоять на месте и, по команде рентгенолога, задерживать дыхание. Для безопасности обследуемого ребенка используется так называемое экранирование (специальное защитное снаряжение, охватывающее грудь и шею). Если во время учебы ребенок удерживается матерью или другим взрослым помощником, он также одевается в специальный защитный фартук. Результат исследования записывается на рентгеновской пленке размером 30х40 см или в компьютерной памяти.
Общая стоимость обзорной урографии для ребенка обычно состоит из цены изображения и заключения рентгенолога. Лучше всего выполнить обзорную урографию для ребенка в Москве в специализированных центрах для лицензированных детей, чтобы сделать рентген в педиатрии. Ниже приведен список детских поликлиник в Москве, которые предоставляют услугу просмотра урографии для ребенка и текущие цены на исследования.
Непосредственно перед тестом необходимо снять одежду с металлических деталей ребенка. Урография проводится в положении лежа на спине, во время исследования ребенок должен стоять на месте и, по команде рентгенолога, задерживать дыхание. Для безопасности обследуемого ребенка используется так называемое экранирование (специальное защитное снаряжение, охватывающее грудь и шею). Если во время учебы ребенок удерживается матерью или другим взрослым помощником, он также одевается в специальный защитный фартук. Результат исследования записывается на рентгеновской пленке размером 30х40 см или в компьютерной памяти.
Общая стоимость обзорной урографии для ребенка обычно состоит из цены изображения и заключения рентгенолога. Лучше всего выполнить обзорную урографию для ребенка в Москве в специализированных центрах для лицензированных детей, чтобы сделать рентген в педиатрии. Ниже приведен список детских поликлиник в Москве, которые предоставляют услугу просмотра урографии для ребенка и текущие цены на исследования.