Другие названия и синонимы
Removal of a foreign body of the rectum.
Описание
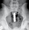
Хирургическое удаление инородного тела прямой кишки. Хирургические вмешательства по удалению посторонних предметов и устранению повреждений кишечника. Хирургическое удаление инородных тел из прямой кишки показано в случае невозможности их малоинвазивного (ручного, эндоскопического, инструментального) удаления, а также в случаях миграции по желудочно-кишечному тракту, повреждения кишечной стенки с развитием кровотечений, перитонита, абсцесса, свища Операция может включать в себя операции лапаротомия с ручным удалением и трансаннеальным удалением объекта без вскрытия кишечной полости; для перфорации - ушивание полости, наложение временной сигмостомии, дезинфекция и дренирование брюшной полости.
Удаление инородного тела прямой кишки через ректоскоп представляет собой неоперативное эндоскопическое удаление инородного объекта из терминальных отделов кишечника через трубку ректоскопа. Эндоскопическое удаление инородных тел прямой кишки показано при небольших предметах, их свободное расположение в прямой кишке и отсутствие признаков перфорации. Это выполняется с использованием различных инструментов (катетер Фолея, зажим, пинцет, пинцет, вакуумный экстрактор ) После введения ректоскопа в просвет прямой кишки под местной анестезией, у детей под общей анестезией. При перфорации кишечника или кровотечении показана экстренная операция.
Удаление инородного тела прямой кишки через ректоскоп представляет собой неоперативное эндоскопическое удаление инородного объекта из терминальных отделов кишечника через трубку ректоскопа. Эндоскопическое удаление инородных тел прямой кишки показано при небольших предметах, их свободное расположение в прямой кишке и отсутствие признаков перфорации. Это выполняется с использованием различных инструментов (катетер Фолея, зажим, пинцет, пинцет, вакуумный экстрактор ) После введения ректоскопа в просвет прямой кишки под местной анестезией, у детей под общей анестезией. При перфорации кишечника или кровотечении показана экстренная операция.
|
|
Номенклатурные коды
|
