Другие названия и синонимы
Syringobulbia.
МКБ-10 коды
|
|
Описание
Сирингобульбия - это образовавшаяся в стволе мозга щель, которая сдавливает ядра нижних пар черепных нервов, повреждает сенсорные и двигательные пути. Заболевание возникает на фоне мальформации Киари, опухоли, травматического или ишемического поражения центральной нервной системы. Заболевание проявляется бульбарным синдромом, нарушением сенсорных и двигательных функций, невропатической болью. Для постановки диагноза требуется неврологическое обследование, МРТ головного и спинного мозга, компьютерная томография позвоночника. Лечение включает нейрохирургические методы коррекции динамики ликвора, симптоматическую медикаментозную терапию и длительную реабилитацию.
Дополнительные факты
Сирингобульбия - частный случай сирингомиелии: эти два заболевания схожи по этиопатогенезу, но различаются локализацией дефекта в центральной нервной системе, а потому имеют разную клиническую картину. В отличие от сирингобульбических полостей сирингомиелические полости расположены в спинном мозге. Истинная частота сирингобульбии статистически не установлена; В среднем патология составляет до 3% от всех диагностированных случаев сирингомиелии. Заболевание сопровождается серьезным неврологическим дефицитом, требует своевременного комплексного лечения, поэтому не теряет актуальности в современной неврологии.
Причины
Основным этиологическим фактором, вызывающим до 80% случаев заболевания, является мальформация Киари 1 типа (MC1) - вывих миндалин мозжечка с нарушением нормального анатомо-функционального положения структур, содержащих заднюю черепную ямку. Остальные причины сирингобульбии встречаются гораздо реже и могут быть сгруппированы в следующие категории:
• Поражения краниоцервикальной области (0,4-12%). Патология ствола головного мозга развивается с базилярным отпечатком, аномалией Денди-Уокера, небольшой задней черепной ямкой. Изредка причиной заболевания становятся арахнопатии, супратенториальные опухоли.
• Травматические факторы (4-10%). Полость в стволе головного мозга - результат посттравматического некроза, образования спаек в субарахноидальном пространстве. Часто под влиянием травмы возникает сочетанная сирингомиелия и сирингобульбия.
• Нейроинфекция. При вирусном или бактериальном энцефалите происходит активное накопление умирающих воспалительных клеток, образующих пустоты в стволе мозга, выстланном глиальными клетками.
• Церебральная ишемия. В редких случаях образование патологических полостей в стволе головного мозга связано с некрозом нервной ткани, вызванным резким прекращением кровообращения в той или иной ветви мозговой артерии.
• Поражения краниоцервикальной области (0,4-12%). Патология ствола головного мозга развивается с базилярным отпечатком, аномалией Денди-Уокера, небольшой задней черепной ямкой. Изредка причиной заболевания становятся арахнопатии, супратенториальные опухоли.
• Травматические факторы (4-10%). Полость в стволе головного мозга - результат посттравматического некроза, образования спаек в субарахноидальном пространстве. Часто под влиянием травмы возникает сочетанная сирингомиелия и сирингобульбия.
• Нейроинфекция. При вирусном или бактериальном энцефалите происходит активное накопление умирающих воспалительных клеток, образующих пустоты в стволе мозга, выстланном глиальными клетками.
• Церебральная ишемия. В редких случаях образование патологических полостей в стволе головного мозга связано с некрозом нервной ткани, вызванным резким прекращением кровообращения в той или иной ветви мозговой артерии.
Патогенез
Ключевым звеном в механизме развития сирингобульбии является нарушение динамики спинномозговой жидкости, которое сопровождается проникновением спинномозговой жидкости в вещество ствола мозга по градиенту давления. Формирование полостей происходит также при интрамедуллярном скоплении внеклеточной жидкости из-за нарушения ее оттока в субарахноидальное пространство. Чаще всего ликвородинамические нарушения выступают проявлением патологий в области большого затылочного отверстия.
Сирингобульбические полости образуются с некоторой стадией. Во-первых, в стволе развивается продольный интрамедуллярный отек (так называемый «предшприцевой синдром»), который обратим и успешно снимается нейрохирургической декомпрессией. Если вовремя не провести лечение, внутри нервной ткани образуется полость, которая затем может самопроизвольно стекать в субарахноидальное пространство - «постшприцевой синдром».
Сирингобульбические полости образуются с некоторой стадией. Во-первых, в стволе развивается продольный интрамедуллярный отек (так называемый «предшприцевой синдром»), который обратим и успешно снимается нейрохирургической декомпрессией. Если вовремя не провести лечение, внутри нервной ткани образуется полость, которая затем может самопроизвольно стекать в субарахноидальное пространство - «постшприцевой синдром».
Клиническая картина
Пик проявления приходится на возраст 20-40 лет. Заболевание начинается с неспецифических жалоб на нарушение разных типов чувствительности. Пациенты отмечают эпизоды парестезии (онемение, «ползание»), неадекватное восприятие боли, патологически повышенную чувствительность к обычным по силе раздражителям. Более 39% пациентов жалуются на постоянный озноб в верхних конечностях.
Патогномоничные симптомы заболевания включают бульбарные расстройства. Из-за дисфункции нижних пар черепных нервов у пациентов возникают проблемы с глотанием, часто подавляются твердой пищей и жидкостями, отмечаются сегментарные изменения чувствительности кожи лица. Поражение нервов артикуляционной системы сопровождается охриплостью голоса, от нечеткой речи до дизартрии.
Позже появляются болевые ощущения, локализующиеся в шейно-воротниковой зоне, груди, можно отдать руку. Боли носят ноющий характер, возникают спонтанно без связи с физическими нагрузками или сменой положения тела. Если сирингобульбия вызвана мальформацией Киари, до 81% пациентов испытывают сильные головные боли, 78% - нарушения зрения и 74% - отоневрологические нарушения.
Глазные явления при сирингобульбии включают периодические вспышки света перед глазами, преходящее нечеткое зрение, боль в глазницах. Реже беспокоит светобоязнь, сужается поле зрения, начинает двоиться в глазах. Типичные отоневрологические симптомы: нарушение равновесия, давление и шум в ушах, ощущение «перекатывания» окружающих предметов.
Патогномоничные симптомы заболевания включают бульбарные расстройства. Из-за дисфункции нижних пар черепных нервов у пациентов возникают проблемы с глотанием, часто подавляются твердой пищей и жидкостями, отмечаются сегментарные изменения чувствительности кожи лица. Поражение нервов артикуляционной системы сопровождается охриплостью голоса, от нечеткой речи до дизартрии.
Позже появляются болевые ощущения, локализующиеся в шейно-воротниковой зоне, груди, можно отдать руку. Боли носят ноющий характер, возникают спонтанно без связи с физическими нагрузками или сменой положения тела. Если сирингобульбия вызвана мальформацией Киари, до 81% пациентов испытывают сильные головные боли, 78% - нарушения зрения и 74% - отоневрологические нарушения.
Глазные явления при сирингобульбии включают периодические вспышки света перед глазами, преходящее нечеткое зрение, боль в глазницах. Реже беспокоит светобоязнь, сужается поле зрения, начинает двоиться в глазах. Типичные отоневрологические симптомы: нарушение равновесия, давление и шум в ушах, ощущение «перекатывания» окружающих предметов.
Возможные осложнения
Наиболее серьезным последствием сирингобульбии является прогрессирующий бульбарный паралич, который проявляется в триаде симптомов: дисфагия (неспособность глотать), дизартрия (неспособность артикулировать речь) и дисфония (нарушение голосовой речи). Без лечения состояние заканчивается нарушением дыхания и сердечной аритмией, которые становятся основной причиной смерти пациента.
Прогрессирование сирингобульбии вызывает тяжелое повреждение двигательных нервов, что приводит к спастическому (центральному) параличу, сопровождающемуся гиперрефлексией, мышечной гипертензией. При этом существует риск полного тетрапареза с функциональными нарушениями органов малого таза. Часто заболевание сопровождается вторичными инфекционными осложнениями в виде бактериальной пневмонии, уретрита, пиелонефрита.
Прогрессирование сирингобульбии вызывает тяжелое повреждение двигательных нервов, что приводит к спастическому (центральному) параличу, сопровождающемуся гиперрефлексией, мышечной гипертензией. При этом существует риск полного тетрапареза с функциональными нарушениями органов малого таза. Часто заболевание сопровождается вторичными инфекционными осложнениями в виде бактериальной пневмонии, уретрита, пиелонефрита.
Диагностика
При первом осмотре пациента неврологом необходимо выяснить предпосылки появления симптомов, характер их прогрессирования и тяжесть состояния. Наследственный анамнез тщательно анализируется, чтобы подтвердить или исключить семейные случаи мальформации Киари. Для проверки диагноза назначается комплексное обследование, включающее следующие методы:
• Оценка неврологического статуса. Физикальное обследование выявляет диссоциированные сенсорные нарушения, снижение мышечной силы и атрофию отдельных мышц. Обнаружение бульбарных симптомов - патогномоничный признак, отличающий сирингобульбию от сирингомиелии.
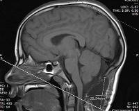
• МРТ головного мозга. С помощью нейровизуализации можно установить наличие, размер, расположение патологической полости в стволе головного мозга. Для оценки движения спинномозговой жидкости, исследования функционального состояния полости используется метод компьютерно-кинематографической МРТ.
• МРТ спинного мозга. Поскольку сирингобульбия часто возникает как осложнение прогрессирующей сирингомиелии, визуализация позвоночного канала необходима для поиска полостей в веществе спинного мозга. Для уточнения диагноза проводится КТ шейного отдела позвоночника и миелография.
• Электронейромиография. Исследование ЭНМГ показано для дифференциальной диагностики центральных и периферических поражений нервной системы. При сирингобульбии патологии нервных окончаний не обнаруживается, так как поражение локализуется в стволе.
• Оценка неврологического статуса. Физикальное обследование выявляет диссоциированные сенсорные нарушения, снижение мышечной силы и атрофию отдельных мышц. Обнаружение бульбарных симптомов - патогномоничный признак, отличающий сирингобульбию от сирингомиелии.
• МРТ головного мозга. С помощью нейровизуализации можно установить наличие, размер, расположение патологической полости в стволе головного мозга. Для оценки движения спинномозговой жидкости, исследования функционального состояния полости используется метод компьютерно-кинематографической МРТ.
• МРТ спинного мозга. Поскольку сирингобульбия часто возникает как осложнение прогрессирующей сирингомиелии, визуализация позвоночного канала необходима для поиска полостей в веществе спинного мозга. Для уточнения диагноза проводится КТ шейного отдела позвоночника и миелография.
• Электронейромиография. Исследование ЭНМГ показано для дифференциальной диагностики центральных и периферических поражений нервной системы. При сирингобульбии патологии нервных окончаний не обнаруживается, так как поражение локализуется в стволе.
|
|
Лечение
Изолированная терапия сирингобульбии оказалась неэффективной. Фармакотерапия рассматривается как дополнение к процедуре, а также как вариант помощи пациентам с временными или постоянными противопоказаниями к процедуре. С целью улучшения неврологического состояния полипрагмазия проводится с применением следующих групп препаратов:
• Обезболивающие. Ненаркотические обезболивающие используются в сочетании с местными анестетиками для облегчения сильной боли. В случае невыносимой боли рассматривает возможность назначения опиоидов.
• Антидепрессанты. Препараты эффективно снимают стойкую невропатическую боль и положительно влияют на психоэмоциональное состояние пациентов. По показаниям антидепрессанты принимают в сочетании с противосудорожными средствами.
• Нейропротекторные средства. Они улучшают трофику и кровоснабжение мозга и предотвращают прогрессирование неврологических нарушений.
Нейрохирургическая помощь - единственное радикальное лечение, способное остановить прогрессирование болезни. Большинство операций направлено на устранение патологической динамики спинномозговой жидкости, вызвавшей полости. Наиболее распространенными видами являются декомпрессионная субокципитальная краниоэктомия, коагуляция части миндалин мозжечка, декомпрессия задней ямки черепа с дуропластикой или без нее.
Важна своевременность нейрохирургической коррекции. Если операция проводится в течение первых 2 лет с момента появления симптомов, существует вероятность частичного или полного восстановления утраченных неврологических функций, в то время как вмешательства на более позднем этапе направлены только на стабилизацию состояния. Хирургическое лечение рекомендуется всем пациентам, не имеющим абсолютных противопоказаний.
• Обезболивающие. Ненаркотические обезболивающие используются в сочетании с местными анестетиками для облегчения сильной боли. В случае невыносимой боли рассматривает возможность назначения опиоидов.
• Антидепрессанты. Препараты эффективно снимают стойкую невропатическую боль и положительно влияют на психоэмоциональное состояние пациентов. По показаниям антидепрессанты принимают в сочетании с противосудорожными средствами.
• Нейропротекторные средства. Они улучшают трофику и кровоснабжение мозга и предотвращают прогрессирование неврологических нарушений.
Нейрохирургическая помощь - единственное радикальное лечение, способное остановить прогрессирование болезни. Большинство операций направлено на устранение патологической динамики спинномозговой жидкости, вызвавшей полости. Наиболее распространенными видами являются декомпрессионная субокципитальная краниоэктомия, коагуляция части миндалин мозжечка, декомпрессия задней ямки черепа с дуропластикой или без нее.
Важна своевременность нейрохирургической коррекции. Если операция проводится в течение первых 2 лет с момента появления симптомов, существует вероятность частичного или полного восстановления утраченных неврологических функций, в то время как вмешательства на более позднем этапе направлены только на стабилизацию состояния. Хирургическое лечение рекомендуется всем пациентам, не имеющим абсолютных противопоказаний.
Реабилитация и амбулаторное лечение
Важным этапом лечения является программа реабилитации, которая в сочетании с адекватной хирургической коррекцией увеличивает шансы пациента на выздоровление. Используются методы физиотерапии (электромиостимуляция, иглоукалывание), массажные комплексы, индивидуальные занятия лечебной физкультурой. Для уменьшения явлений дизартрии показаны занятия у логопеда-дефектолога.
Прогноз
Стойкое улучшение состояния после хирургического лечения наблюдается у 82-86% пациентов с неосложненным течением заболевания, у 50% пациентов с большими полостями. Учитывая тяжесть заболевания и высокий риск осложнений, прогноз сомнительный. Профилактика заключается в своевременном выявлении и лечении заболеваний, вызывающих кариес, и в амбулаторном наблюдении за больными сирингобульбией с регулярным контролем МРТ.
Список литературы
1. Клинические проявления, диагностика и лечение сирингомиелии/ Л.С. Манвелов// Неврология и нейрохирургия. 2018.
2. Сирингомиелия. Клинические рекомендации. 2017.
3. Лечение нейропатической боли с позиций доказательной медицины/ М.В. Чурюканов// сonsilium medicum. 2014. №2.
4. Сирингомиелия и ее маски/ М.Ф. Иванова// Международный неврологический журнал. 2012. №5.
2. Сирингомиелия. Клинические рекомендации. 2017.
3. Лечение нейропатической боли с позиций доказательной медицины/ М.В. Чурюканов// сonsilium medicum. 2014. №2.
4. Сирингомиелия и ее маски/ М.Ф. Иванова// Международный неврологический журнал. 2012. №5.