Другие названия и синонимы
Coronary stent thrombosis.
МКБ-10 коды
|
|
Описание
Тромбоз коронарного стента. Он включает образование тромба в пораженной коронарной артерии после стентирования. Он проявляется в виде приступов боли в груди продолжительностью от нескольких минут до получаса или более, одышки, слабости до обморока. Основными методами диагностики являются электрокардиография и анализ кардиоспецифических ферментов. Для подтверждения тромбоза стента проводится эхокардиография и коронарография. Только хирургическое лечение - в остром периоде рекомендуется баллонная ангиопластика с последующей реимплантацией стента.
Дополнительные факты
Тромбоз стента в коронарной артерии является серьезным осложнением сердечно-сосудистого вмешательства, что связано с высоким риском смерти. Встречается у 1,5-2,8% пациентов, частота зависит от материалов, используемых для реваскуляризации. Вероятность повторного тромбоза коронарного стента значительно выше - около 16%. Осложнение развивается в основном у мужчин старше 60 лет, у которых есть другие факторы риска сердечно-сосудистых заболеваний. У больных сахарным диабетом вероятность тромбоза после стента в 2-3 раза выше.
Причины
Развитие тромбоза в значительной степени связано с типом имплантированного стента. Наиболее неблагоприятные результаты при использовании металлоконструкций, к которым накладки прикрепляются очень быстро. При установке стентов с лекарственным покрытием вероятность осложнений значительно ниже, но существует риск смертельного позднего тромбоза. Помимо материала стента, риск коронарного тромбоза зависит от:
Стент является инородным телом для организма, поэтому вызывает воспалительную реакцию. Процесс сопровождается пролиферацией клеток гладких мышц в стенке артерии и повышенным выделением медиаторов, что облегчает миграцию тромбоцитов к месту имплантации коронарного стента.
• Условия коронарного кровотока. Риск тромбоза возрастает на 20-30%, если у пациента имеется многососудистое поражение коронарного бассейна или тяжелая кальцификация стенок артерий. Вероятность тромбоза увеличивается, если сосудистая окклюзия локализована в области их бифуркации, или если стенозированная зона длинная.
• Технические характеристики стента. Важной причиной тромбоза является явление медленного или отсутствия кровотока в области стента. Тромбоз ускоряется неполным (неоптимальным) открытием стента, если диаметр просвета коронарной артерии ниже нормального значения.
• статус пациента. Тромбоз возникает гораздо чаще, если в первые 30 дней послеоперационного периода развиваются кардиологические осложнения - острый коронарный синдром, низкая фракция выброса. Возникновение тромба наблюдается у 50-70% пациентов с наследственной устойчивостью к ингибиторам агрегации тромбоцитов, применяемым в послеоперационном периоде.
Стент является инородным телом для организма, поэтому вызывает воспалительную реакцию. Процесс сопровождается пролиферацией клеток гладких мышц в стенке артерии и повышенным выделением медиаторов, что облегчает миграцию тромбоцитов к месту имплантации коронарного стента.
• Условия коронарного кровотока. Риск тромбоза возрастает на 20-30%, если у пациента имеется многососудистое поражение коронарного бассейна или тяжелая кальцификация стенок артерий. Вероятность тромбоза увеличивается, если сосудистая окклюзия локализована в области их бифуркации, или если стенозированная зона длинная.
• Технические характеристики стента. Важной причиной тромбоза является явление медленного или отсутствия кровотока в области стента. Тромбоз ускоряется неполным (неоптимальным) открытием стента, если диаметр просвета коронарной артерии ниже нормального значения.
• статус пациента. Тромбоз возникает гораздо чаще, если в первые 30 дней послеоперационного периода развиваются кардиологические осложнения - острый коронарный синдром, низкая фракция выброса. Возникновение тромба наблюдается у 50-70% пациентов с наследственной устойчивостью к ингибиторам агрегации тромбоцитов, применяемым в послеоперационном периоде.
Патогенез
Начало тромбоза происходит из-за сочетания местных воспалительных реакций на месте стента и системных нарушений процессов свертывания крови. Под воздействием специфических факторов адгезии тромбоциты, образующие первичный нестабильный тромб, «прилипают» к поверхности коронарного стента. Тромбоциты начинают выделять свои цитокины, вызывая каскад коагуляции с образованием резистентного фибрина.
В результате образуется плотный сгусток крови, который нарушает кровообращение в одной из коронарных артерий. Характер повреждения сердечной мышцы определяется степенью окклюзии сосудов. При полном прекращении кровотока развивается крупноочаговый или мелкоочаговый некроз миокарда. Неполное перекрытие просвета сосуда вызывает приступы обратимой ишемии миокарда, что клинически проявляется нестабильной стенокардией.
В результате образуется плотный сгусток крови, который нарушает кровообращение в одной из коронарных артерий. Характер повреждения сердечной мышцы определяется степенью окклюзии сосудов. При полном прекращении кровотока развивается крупноочаговый или мелкоочаговый некроз миокарда. Неполное перекрытие просвета сосуда вызывает приступы обратимой ишемии миокарда, что клинически проявляется нестабильной стенокардией.
Классификация
По степени достоверности выделяют 3 типа тромбоза стента:
• Определенный тромбоз имеет ангиографические или патологические признаки.
• Вероятный тромбоз возникает при инфаркте миокарда в любой период после стентирования без ангиографического подтверждения.
• Возможный тромбоз - предварительный диагноз любой внезапной сердечной смерти через месяц или более после имплантации стента.
К моменту начала можно выделить 4 категории тромбозов:
Осложнения возникают в первые 24 часа после стентирования и обычно связаны с нарушением эндоваскулярного вмешательства.
Сгусток крови развивается в течение 30 дней после операции по установке коронарного стента. Подострый тромбоз, как правило, обусловлен неправильным ведением послеоперационного периода.
Тромбоз возникает в период времени более 1 месяца, но менее 1 года после реваскуляризации.
• Очень поздно (2%). К этой категории относятся эпизоды повторного тромбоза в коронарных артериях спустя 12 месяцев и дольше после вмешательства.
• Определенный тромбоз имеет ангиографические или патологические признаки.
• Вероятный тромбоз возникает при инфаркте миокарда в любой период после стентирования без ангиографического подтверждения.
• Возможный тромбоз - предварительный диагноз любой внезапной сердечной смерти через месяц или более после имплантации стента.
К моменту начала можно выделить 4 категории тромбозов:
Осложнения возникают в первые 24 часа после стентирования и обычно связаны с нарушением эндоваскулярного вмешательства.
Сгусток крови развивается в течение 30 дней после операции по установке коронарного стента. Подострый тромбоз, как правило, обусловлен неправильным ведением послеоперационного периода.
Тромбоз возникает в период времени более 1 месяца, но менее 1 года после реваскуляризации.
• Очень поздно (2%). К этой категории относятся эпизоды повторного тромбоза в коронарных артериях спустя 12 месяцев и дольше после вмешательства.
Клиническая картина
Клиника тромбоза коронарной артерии представлена эпизодами стернальной боли типа приступа стенокардии. Во время физической нагрузки или эмоционального напряжения человек чувствует внезапное давление или давление на грудь. Чтобы объяснить локализацию боли, пациенты кладут кулак в область сердца. Боль часто распространяется на левую руку, лопатку, шею и нижнюю челюсть.
Боль в груди может длиться около 10-15 минут и исчезать сама собой после отдыха. Нитроглицерин необходим чаще, чтобы облегчить приступ. В случае полного прерывания кровотока в коронарной артерии боль длится от 20 до 30 минут или дольше и не устраняется с помощью лекарств. Иногда боль настолько сильна, что человек принимает вынужденное неподвижное положение или теряет сознание.
Приступы стенокардии сопровождаются сильной одышкой, которая сохраняется даже в состоянии покоя и усиливается при активных движениях. Кожа становится бледной и свежей на ощупь, на лице появляется холодный пот. Частота сердечных сокращений человека увеличивается, возникают эпизоды «замерзания» сердца. Характерны сильная слабость, головокружение и потемнение глаз. Иногда на фоне болевых ощущений начинается рефлекторная рвота.
Ассоциированные симптомы: Боль в груди слева. Одышка. Рвота. Общая слабость. Холодный пот.
Боль в груди может длиться около 10-15 минут и исчезать сама собой после отдыха. Нитроглицерин необходим чаще, чтобы облегчить приступ. В случае полного прерывания кровотока в коронарной артерии боль длится от 20 до 30 минут или дольше и не устраняется с помощью лекарств. Иногда боль настолько сильна, что человек принимает вынужденное неподвижное положение или теряет сознание.
Приступы стенокардии сопровождаются сильной одышкой, которая сохраняется даже в состоянии покоя и усиливается при активных движениях. Кожа становится бледной и свежей на ощупь, на лице появляется холодный пот. Частота сердечных сокращений человека увеличивается, возникают эпизоды «замерзания» сердца. Характерны сильная слабость, головокружение и потемнение глаз. Иногда на фоне болевых ощущений начинается рефлекторная рвота.
Ассоциированные симптомы: Боль в груди слева. Одышка. Рвота. Общая слабость. Холодный пот.
Возможные осложнения
Наиболее серьезным последствием тромбоза стента коронарной артерии является внезапная сердечная смерть, которая возникает в 10-16% случаев при преждевременном получении медицинской помощи. Летальный исход обусловлен как тяжелой аритмией и асистолией, так и резким снижением сердечного выброса из-за кардиогенного шока. При большом некрозе ишемического миокарда существует возможность разрыва стенки сердца с образованием тампонады сердца.
При эффективном лечении острой фазы патологии риск отдаленных осложнений тромбоза сохраняется. У 50-60% пациентов хроническая сердечная недостаточность обусловлена кардиосклерозом после сердечного приступа. Тромбоэмболические осложнения возникают у 20% людей, вызванные попаданием фрагментов тромба в легочные сосуды, почки, селезенку и мозг. Аутоиммунный постинфарктный синдром Постлера обнаруживается редко.
При эффективном лечении острой фазы патологии риск отдаленных осложнений тромбоза сохраняется. У 50-60% пациентов хроническая сердечная недостаточность обусловлена кардиосклерозом после сердечного приступа. Тромбоэмболические осложнения возникают у 20% людей, вызванные попаданием фрагментов тромба в легочные сосуды, почки, селезенку и мозг. Аутоиммунный постинфарктный синдром Постлера обнаруживается редко.
|
|
Диагностика
Тромбоз коронарного стента можно предполагать уже при первом осмотре, если есть информация о ранее выполненном стентировании. Патогномоничные физические данные отсутствуют, поэтому для постановки диагноза конкретного тромбоза требуется лабораторно-инструментальное обследование. Диагноз назначается кардиологом, проводится в кратчайшие сроки и включает следующие методы:
• ЭКГ. На развитие некроза миокарда указывает регистрация на кардиограмме высокой зубца Т в сочетании с подъемом сегмента ST. Типичные изменения сочетаются с глубокой отрицательной волной Q, которая вызвана предыдущим сердечным приступом. При нестабильной стенокардии, различных проявлениях ишемии миокарда, экстрасистолах не наблюдается.
• Анализ на кардиомаркеры. Исследование позволяет установить окончательный диагноз в рамках острого коронарного синдрома. У пациентов с инфарктом миокарда увеличение миоглобина, сPK MV и тропонина выявляется в десять раз. При стенокардии уровень ферментов в норме или увеличивается не более чем на 50% от нормы.
Ультразвуковое исследование сердца проводится для оценки состояния сердечной мышцы и измерения фракции выброса. Благодаря эхокардиографии, недостаточной сократимости области сердечной стенки, наличие шрама после сердечного приступа заметно. При снижении сердечного выброса менее чем на 40% диагностируется сердечная недостаточность.
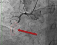
• Коронарная ангиография. Рентгеновская инвазивная коронарная артерия является основным методом проверки тромбоза стента. Коронарная ангиография выявляет дефект в одном из коронарных сосудов и отсутствие дальнейшего кровотока в этом месте. Часто встречается многососудистая коронарная окклюзия.
• ЭКГ. На развитие некроза миокарда указывает регистрация на кардиограмме высокой зубца Т в сочетании с подъемом сегмента ST. Типичные изменения сочетаются с глубокой отрицательной волной Q, которая вызвана предыдущим сердечным приступом. При нестабильной стенокардии, различных проявлениях ишемии миокарда, экстрасистолах не наблюдается.
• Анализ на кардиомаркеры. Исследование позволяет установить окончательный диагноз в рамках острого коронарного синдрома. У пациентов с инфарктом миокарда увеличение миоглобина, сPK MV и тропонина выявляется в десять раз. При стенокардии уровень ферментов в норме или увеличивается не более чем на 50% от нормы.
Ультразвуковое исследование сердца проводится для оценки состояния сердечной мышцы и измерения фракции выброса. Благодаря эхокардиографии, недостаточной сократимости области сердечной стенки, наличие шрама после сердечного приступа заметно. При снижении сердечного выброса менее чем на 40% диагностируется сердечная недостаточность.
• Коронарная ангиография. Рентгеновская инвазивная коронарная артерия является основным методом проверки тромбоза стента. Коронарная ангиография выявляет дефект в одном из коронарных сосудов и отсутствие дальнейшего кровотока в этом месте. Часто встречается многососудистая коронарная окклюзия.
Лечение
Методом выбора тромбоза коронарной артерии является первичная чрескожная ангиопластика, целью которой является быстрая реваскуляризация миокарда. Введение тромболитических препаратов у таких пациентов неэффективно. В острой фазе тромбоза баллонную ангиопластику проводят с использованием устройств для аспирации тромба, которые на 90% гарантируют полное восстановление кровообращения в коронарных артериях.
Около 45% пациентов после стабилизации необходимо переустановить стент. Кардиохирурги объясняют необходимость хирургического вмешательства из-за наличия выраженной остаточной диссекции. Чтобы улучшить долгосрочный прогноз, выполняется имплантация «стент-в-стенте». Операция проводится по эндоваскулярной методике, характеризуется минимальной травмой и коротким периодом восстановления.
В современной кардиологии был успешный опыт применения ингибиторов гликопротеиновых рецепторов IIb / IIIa у пациентов, страдающих генетической нечувствительностью к антиагрегантным препаратам. Препараты действуют в течение 2-3 часов с момента приема, нарушают заключительную стадию агрегации тромбоцитов, за счет чего риск тромбоза снижается в несколько раз. Ингибиторы IIb / IIIa используются во время операции и после восстановления коронарного кровотока.
Около 45% пациентов после стабилизации необходимо переустановить стент. Кардиохирурги объясняют необходимость хирургического вмешательства из-за наличия выраженной остаточной диссекции. Чтобы улучшить долгосрочный прогноз, выполняется имплантация «стент-в-стенте». Операция проводится по эндоваскулярной методике, характеризуется минимальной травмой и коротким периодом восстановления.
В современной кардиологии был успешный опыт применения ингибиторов гликопротеиновых рецепторов IIb / IIIa у пациентов, страдающих генетической нечувствительностью к антиагрегантным препаратам. Препараты действуют в течение 2-3 часов с момента приема, нарушают заключительную стадию агрегации тромбоцитов, за счет чего риск тромбоза снижается в несколько раз. Ингибиторы IIb / IIIa используются во время операции и после восстановления коронарного кровотока.
Список литературы
1. Тромбоз стентов у пациентов с ишемической болезнью сердца: классификация, причины и методы лечения. Систематический обзор/ О. Тайманулы, И.Е. Сагатов, Е.С. Утеулиев, А.О. Мырзагулова, Т.В. Маслов// Вестник КазНМУ. 2017.
2. Причины тромбозов стентов коронарных артерий/ В.И. Ганюков, А.А. Шилов, Н.С. Бохан, Г.В. Моисеенков, Л.С. Барбараш// Интервенционная кардиология. 2012.
3. Реальная ли угроза позднего тромбозе стента с лекарственным покрытием. Сравнение стентов с лекарственным покрытием. Фокус на эверолимус/ Лупанов В.П., Самко А.Н., Бакашвили Г.Н. Кардиоваскулярная терапия и профилактика. 2009.
2. Причины тромбозов стентов коронарных артерий/ В.И. Ганюков, А.А. Шилов, Н.С. Бохан, Г.В. Моисеенков, Л.С. Барбараш// Интервенционная кардиология. 2012.
3. Реальная ли угроза позднего тромбозе стента с лекарственным покрытием. Сравнение стентов с лекарственным покрытием. Фокус на эверолимус/ Лупанов В.П., Самко А.Н., Бакашвили Г.Н. Кардиоваскулярная терапия и профилактика. 2009.