Другие названия и синонимы
Small bowel obstruction.
МКБ-10 коды
|
|
Описание
Обструкция тонкой кишки. Это частичное или полное прекращение прохождения химуса через тонкую кишку, вызванное органическими или функциональными причинами. Он проявляется как боль в животе, рвота, задержка газов и стула, интоксикация, нарушения обмена веществ и гемодинамики. Поставлен диагноз МСКТ, рентгенография и УЗИ брюшной полости. Для терапии используются регуляторы моторики кишечника, инфузионная терапия, антибиотики, обезболивающие. Хирургическое лечение предполагает ревизию органов брюшной полости, секторальную резекцию тонкой кишки.
Дополнительные факты
В структуре вмешательств по поводу острой хирургической патологии операции из-за непроходимости тонкой кишки составляют примерно 15%. К категории риска относятся пациенты, ранее прооперированные по поводу травматических повреждений и заболеваний органов брюшной полости, а также люди с хроническими заболеваниями желудочно-кишечного тракта. Актуальность экспресс-диагностики заболевания обусловлена высоким уровнем общей и послеоперационной смертности (до 15,8% и до 36,2% соответственно), возникновением гнойных осложнений у 20% пациенты во время процедуры не позднее одного дня после появления симптомов.
Причины
Развитие непроходимости тонкой кишки связано с действием одного или нескольких провоцирующих факторов у пациентов с различными типами абдоминальной патологии. Анатомо-морфологические изменения в органах брюшной полости обычно становятся предпосылками возникновения заболевания. Нарушение проходимости тонкой кишки также может быть функциональным. Специалисты в области современной гастроэнтерологии и абдоминальной хирургии включают следующие предрасполагающие факторы:
• Врожденные пороки развития. Увеличение подвижности кишечника за счет удлинения брыжейки, наличия мешков брюшины, брыжеечных отверстий и слабых участков диафрагмы способствуют нарушению проницаемости тонкой кишки. Кроме того, дивертикул Меккеля может стать органическим субстратом заболевания.
В 50-75% случаев заболевание связано с адгезией в брюшной полости и рубцовой деформацией кишечника. В группу риска входят пациенты, перенесшие перитонит, абдоминальные вмешательства при травмах живота, язвенной болезни, рака.
У 18-20% пациентов обструкция происходит из-за защемления петли тонкой кишки у ворот грыжевого выпячивания. Кишечная компрессия наблюдается как при наружных грыжах живота (пупочная, белая линия, паховая), так и при внутренних (диафрагма, внутрибрюшинная).
• Доброкачественные и злокачественные новообразования. Тонкая кишка чаще сдавливается опухолями из других органов брюшной полости. Реже просвет кишечника скрыт полипами тонкой кишки, аденокарциномой и другими видами рака, возникающими из его стенки.
Редкой причиной обструкции тонкой кишки является зубной камень, образующийся в органах пищеварения. Механическим препятствием для развития химуса являются камни, которые попадают в кишечник из желчного пузыря через фистулу, кишечный и желудочный фитобезоар.
Производственные факторы необходимы для окклюзии и морфологических условий. Укрепление моторики тонкой кишки при воспалении кишечника, лекарственная стимуляция, значительные пищевые нагрузки после продолжительного голодания часто становятся толчком для развития патологии. Заболевание вызвано значительным повышением внутрибрюшного давления во время тренировок (поднятие тяжестей, интенсивные тренировки, роды). В редких случаях вторичная блокировка потока пищи через тонкую кишку вызвана обструкцией толстой кишки.
У некоторых пациентов состояние динамическое и возникает на фоне двигательных расстройств стенки тонкой кишки. Паретическая форма обструкции наблюдается после травм живота, на фоне перитонита, гипокалиемии. Спастическое нарушение прохождения химуса связано с нарушениями позвоночника и мозга в третичной коре, метастазами злокачественных новообразований, отравлением солями свинца и другими тяжелыми металлами. Очень редко заболевание развивается на фоне истерии.
• Врожденные пороки развития. Увеличение подвижности кишечника за счет удлинения брыжейки, наличия мешков брюшины, брыжеечных отверстий и слабых участков диафрагмы способствуют нарушению проницаемости тонкой кишки. Кроме того, дивертикул Меккеля может стать органическим субстратом заболевания.
В 50-75% случаев заболевание связано с адгезией в брюшной полости и рубцовой деформацией кишечника. В группу риска входят пациенты, перенесшие перитонит, абдоминальные вмешательства при травмах живота, язвенной болезни, рака.
У 18-20% пациентов обструкция происходит из-за защемления петли тонкой кишки у ворот грыжевого выпячивания. Кишечная компрессия наблюдается как при наружных грыжах живота (пупочная, белая линия, паховая), так и при внутренних (диафрагма, внутрибрюшинная).
• Доброкачественные и злокачественные новообразования. Тонкая кишка чаще сдавливается опухолями из других органов брюшной полости. Реже просвет кишечника скрыт полипами тонкой кишки, аденокарциномой и другими видами рака, возникающими из его стенки.
Редкой причиной обструкции тонкой кишки является зубной камень, образующийся в органах пищеварения. Механическим препятствием для развития химуса являются камни, которые попадают в кишечник из желчного пузыря через фистулу, кишечный и желудочный фитобезоар.
Производственные факторы необходимы для окклюзии и морфологических условий. Укрепление моторики тонкой кишки при воспалении кишечника, лекарственная стимуляция, значительные пищевые нагрузки после продолжительного голодания часто становятся толчком для развития патологии. Заболевание вызвано значительным повышением внутрибрюшного давления во время тренировок (поднятие тяжестей, интенсивные тренировки, роды). В редких случаях вторичная блокировка потока пищи через тонкую кишку вызвана обструкцией толстой кишки.
У некоторых пациентов состояние динамическое и возникает на фоне двигательных расстройств стенки тонкой кишки. Паретическая форма обструкции наблюдается после травм живота, на фоне перитонита, гипокалиемии. Спастическое нарушение прохождения химуса связано с нарушениями позвоночника и мозга в третичной коре, метастазами злокачественных новообразований, отравлением солями свинца и другими тяжелыми металлами. Очень редко заболевание развивается на фоне истерии.
Патогенез
В зависимости от основного этиологического фактора для возникновения обструкции тонкой кишки выделяются различные варианты: обструктивная, стенотическая, компрессионная, инвагинация, удушение и дискинезия. При сочетании нескольких предпосылок механизм разработки является сложным. Основой патогенеза обструкции тонкой кишки являются быстро прогрессирующие нарушения обмена веществ, структуры и функции кишечной стенки.
Из-за снижения активности фермента в просвете кишечника и морфологических изменений в его слизистой оболочке теменное пищеварение является недостаточным и реабсорбция ухудшается. Ситуация усугубляется массовым выбросом кинина и гистамина, которые увеличивают проницаемость стенок сосудов, вызывают застой микроциркуляции и улучшают ишемические процессы. Интенсивная потеря жидкости приводит к быстрому увеличению объема содержимого тонкой кишки, растяжению кишечника и появлению сильной боли.
В брюшной полости образуется серозный или геморрагический выпот. Прихват жидкости сопровождается обезвоживанием тканей, уменьшением объема циркулирующей крови и ее утолщением, резким уменьшением диуреза. Нарушения гемодинамики и обмена веществ возрастают. Результатом дистрофических процессов в тонкой ишемической кишечной стенке является массивная гибель клеток, усугубляемая активацией кишечной флоры и прогрессирующей эндотоксемией. При отсутствии лечения возникает перфорация кишечника.
Из-за снижения активности фермента в просвете кишечника и морфологических изменений в его слизистой оболочке теменное пищеварение является недостаточным и реабсорбция ухудшается. Ситуация усугубляется массовым выбросом кинина и гистамина, которые увеличивают проницаемость стенок сосудов, вызывают застой микроциркуляции и улучшают ишемические процессы. Интенсивная потеря жидкости приводит к быстрому увеличению объема содержимого тонкой кишки, растяжению кишечника и появлению сильной боли.
В брюшной полости образуется серозный или геморрагический выпот. Прихват жидкости сопровождается обезвоживанием тканей, уменьшением объема циркулирующей крови и ее утолщением, резким уменьшением диуреза. Нарушения гемодинамики и обмена веществ возрастают. Результатом дистрофических процессов в тонкой ишемической кишечной стенке является массивная гибель клеток, усугубляемая активацией кишечной флоры и прогрессирующей эндотоксемией. При отсутствии лечения возникает перфорация кишечника.
Классификация
Наиболее клинически значимым является систематизация форм обструкции тонкой кишки с учетом ее происхождения, механизма и динамики развития. Нарушение проходимости может быть частичным и полным, острым, подострым, хроническим и периодическим. Учитывая этиопатогенетические характеристики, выделяют следующие виды заболеваний:
В зрелом возрасте чаще всего возникает приобретенная обструкция, возникшая на фоне другой патологии. Врожденная форма заболевания обычно диагностируется у детей.
• Через механизм возникновения. Нарушение прохождения пищи через кишечник может быть механическим (морфологическим). При отсутствии органических нарушений обструкция называется динамикой.
• По состоянию тонкого кишечника кровоснабжение. При обструктивной форме патологии кровообращение в стенке кишечника сохраняется. Для более серьезного удушения и смешанных вариантов характерно нарушение или прекращение кровоснабжения.
В зрелом возрасте чаще всего возникает приобретенная обструкция, возникшая на фоне другой патологии. Врожденная форма заболевания обычно диагностируется у детей.
• Через механизм возникновения. Нарушение прохождения пищи через кишечник может быть механическим (морфологическим). При отсутствии органических нарушений обструкция называется динамикой.
• По состоянию тонкого кишечника кровоснабжение. При обструктивной форме патологии кровообращение в стенке кишечника сохраняется. Для более серьезного удушения и смешанных вариантов характерно нарушение или прекращение кровоснабжения.
Клиническая картина
Клиническая картина заболевания быстро развивается - в течение нескольких часов. Для обструкции тонкой кишки характерна триада признаков: боль в животе, рвота, стул и задержка газа. Боль интенсивная, узкая с локализацией в пупочной и эпигастральной областях. Рвота с пониженной проходимостью тонкой кишки повторяется, сначала с содержимым желудка, затем рвота становится каловой. Недостаток стула возникает только в случае полной обструкции.
В первой фазе заболевания наблюдается активная перистальтика, пациент может слышать грохот и притирку в животе на расстоянии. В поздний период болезни наступает «аускультативная тишина». Отечность и асимметрия живота не отмечены. О тяжелом течении кишечной непроходимости свидетельствуют симптомы шока: бледность кожи, холодный пот, резкое падение артериального давления, учащение пульса. С переходом заболевания в терминальную стадию боль стихает.
Ассоциированные симптомы: Боль в кишечнике. Запор у взрослых. Запор у детей. Каловая рвота. Лейкоцитоз. Нейтрофилез. Рвота. Холодный пот.
В первой фазе заболевания наблюдается активная перистальтика, пациент может слышать грохот и притирку в животе на расстоянии. В поздний период болезни наступает «аускультативная тишина». Отечность и асимметрия живота не отмечены. О тяжелом течении кишечной непроходимости свидетельствуют симптомы шока: бледность кожи, холодный пот, резкое падение артериального давления, учащение пульса. С переходом заболевания в терминальную стадию боль стихает.
Ассоциированные симптомы: Боль в кишечнике. Запор у взрослых. Запор у детей. Каловая рвота. Лейкоцитоз. Нейтрофилез. Рвота. Холодный пот.
|
|
Возможные осложнения
При длительном наличии непроходимости тонкой кишки возникают ишемия и некроз кишечной стенки, что может привести к перфорации и кровотечению. При попадании инфицированного кишечного содержимого в брюшную полость возникает разлитой перитонит, который трудно поддается лечению. Согласно исследованиям, прогрессирующий перитонит является причиной смерти у пациентов со сложной формой кишечной непроходимости в 25% случаев.
Задержка кишечного содержимого приводит к всасыванию токсических соединений в кровоток. Это основная причина почечной недостаточности. Из-за сильного отравления и проникновения бактерий в кровоток из просвета кишечника возможны местные гнойные осложнения или генерализация инфекции с развитием сепсиса. Различают внекишечные осложнения заболевания и тромбоэмболию крупных сосудов и инфаркт миокарда.
Задержка кишечного содержимого приводит к всасыванию токсических соединений в кровоток. Это основная причина почечной недостаточности. Из-за сильного отравления и проникновения бактерий в кровоток из просвета кишечника возможны местные гнойные осложнения или генерализация инфекции с развитием сепсиса. Различают внекишечные осложнения заболевания и тромбоэмболию крупных сосудов и инфаркт миокарда.
Диагностика
Диагностика несложна в разгар болезни, когда у пациента появляются патогномоничные признаки. На начальном этапе обструкция тонкой кишки может имитировать другие хирургические заболевания брюшной полости, поэтому требуется тщательное обследование пациента. Наиболее информативными являются:
• УЗИ брюшной полости. Ультразвуковое исследование - это метод скрининга, который позволяет выявить типичные признаки обструкции: расширить просвет тонкой кишки более чем на 5 уменьшив толщину кишечной стенки. Кроме того, УЗИ брюшной полости помогает визуализировать характер моторики кишечника. УЗИ иногда выявляет спайки, которые являются причиной заболевания.
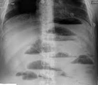
• Рентгенографическое исследование. При панорамном рентгенологическом исследовании брюшной полости, выполненном в положении лежа на спине, видны обширные кишечные петли с присутствием жидкости. На рентгенограмме в вертикальном положении с обструкцией тонкой кишки, чаши Клойбера (опухший кишечный отек с горизонтальным уровнем жидкости), выявляются складки Керкринга.
• Компьютерная томография. Выполнение MDCT брюшной полости с усилением болюсным контрастом является «золотым методом» для диагностики обструкции на уровне тонкой кишки. Наблюдается заметное расширение кишечной петли проксимальнее места обструкции, переходных зон, «фекалоидный» стаз в тонкой кишке. Патологические изменения в толстой кишке отсутствуют.
Лабораторные методы имеют второстепенное значение. В общем анализе крови определяются неспецифические воспалительные изменения: высокий лейкоцитоз и нейтрофилия, повышение СОЭ, повышение скорости интоксикации лейкоцитами. При биохимическом анализе крови, гипоальбуминемии, возможно повышение концентрации мочевины и креатинина. При недостаточной информации о других методах проводится лапароскопическое исследование брюшной полости.
Прежде всего, кишечная форма расстройства должна быть дифференцирована с другими заболеваниями из группы «острого живота» (аппендицит, панкреатит и холецистит). Основным диагностическим критерием является выявление характерных изменений в рентгенографии и КТ. В пользу кишечной непроходимости выделяется быстрое ухудшение состояния больного, рвота фекалиями. Обследование проводится абдоминальным хирургом в соответствии с указаниями других специалистов (например, онкологов с подозрением на новообразование в качестве причины патологии).
• УЗИ брюшной полости. Ультразвуковое исследование - это метод скрининга, который позволяет выявить типичные признаки обструкции: расширить просвет тонкой кишки более чем на 5 уменьшив толщину кишечной стенки. Кроме того, УЗИ брюшной полости помогает визуализировать характер моторики кишечника. УЗИ иногда выявляет спайки, которые являются причиной заболевания.
• Рентгенографическое исследование. При панорамном рентгенологическом исследовании брюшной полости, выполненном в положении лежа на спине, видны обширные кишечные петли с присутствием жидкости. На рентгенограмме в вертикальном положении с обструкцией тонкой кишки, чаши Клойбера (опухший кишечный отек с горизонтальным уровнем жидкости), выявляются складки Керкринга.
• Компьютерная томография. Выполнение MDCT брюшной полости с усилением болюсным контрастом является «золотым методом» для диагностики обструкции на уровне тонкой кишки. Наблюдается заметное расширение кишечной петли проксимальнее места обструкции, переходных зон, «фекалоидный» стаз в тонкой кишке. Патологические изменения в толстой кишке отсутствуют.
Лабораторные методы имеют второстепенное значение. В общем анализе крови определяются неспецифические воспалительные изменения: высокий лейкоцитоз и нейтрофилия, повышение СОЭ, повышение скорости интоксикации лейкоцитами. При биохимическом анализе крови, гипоальбуминемии, возможно повышение концентрации мочевины и креатинина. При недостаточной информации о других методах проводится лапароскопическое исследование брюшной полости.
Прежде всего, кишечная форма расстройства должна быть дифференцирована с другими заболеваниями из группы «острого живота» (аппендицит, панкреатит и холецистит). Основным диагностическим критерием является выявление характерных изменений в рентгенографии и КТ. В пользу кишечной непроходимости выделяется быстрое ухудшение состояния больного, рвота фекалиями. Обследование проводится абдоминальным хирургом в соответствии с указаниями других специалистов (например, онкологов с подозрением на новообразование в качестве причины патологии).
Лечение
Пациенты с подозрением на патологию срочно поступают в хирургический стационар. Начать терапию, чтобы восстановить пассаж кишечного содержимого. Потребление пищи полностью ограничено. Назогастральный зонд или кишечный зонд устанавливают для декомпрессии верхних отделов желудочно-кишечного тракта. Сифонные клизмы используются для очистки нижней части кишечника. Медикаментозная пробная терапия назначается без признаков перитонита и включает следующие группы препаратов:
• Регуляторы моторики стенки тонкой кишки. Миотропные противосудорожные препараты и М-антихолинергики рекомендуются при тяжелых спастических явлениях. Показано, что у пациентов с признаками пареза гладких мышц есть ингибиторы холинэстеразы, которые повышают моторику кишечника.
• Инфузионные растворы. Соль и сбалансированные полиионные препараты используются для пополнения объема связанной жидкости, улучшения реологии крови и устранения недостатка энергии. Согласно информации, вводятся коллоидные растворы, жировые эмульсии, составы с аминокислотами.
• Анальгетики. Наиболее эффективными для купирования сильных болей при кишечной непроходимости являются наркотические анальгетики. При необходимости и отсутствии противопоказаний возможно проведение двусторонней паранефральной новокаиновой блокады.
• Антибактериальные препараты. Антибиотики используются профилактически для предотвращения патологической активации кишечной микрофлоры и предотвращения перитонита. Стандартные терапевтические схемы обычно включают введение цефалоспоринов 2-3 поколения.
Эффективность фармакотерапии подтверждается разрешением процесса: облегчение боли, обильные выделения стула, газов, возникающие в течение 1-1,5 часа после приема лекарств. Обычно консервативная терапия позволяет справиться с динамическим вариантом обструкции. При неэффективности лекарств, появлении перитонеальных симптомов, выявлении морфологического субстрата, срединной лапаротомии проводится ревизия органов брюшной полости, сегментарная резекция тонкой кишки и удаление инородного тела из кишечника.
• Регуляторы моторики стенки тонкой кишки. Миотропные противосудорожные препараты и М-антихолинергики рекомендуются при тяжелых спастических явлениях. Показано, что у пациентов с признаками пареза гладких мышц есть ингибиторы холинэстеразы, которые повышают моторику кишечника.
• Инфузионные растворы. Соль и сбалансированные полиионные препараты используются для пополнения объема связанной жидкости, улучшения реологии крови и устранения недостатка энергии. Согласно информации, вводятся коллоидные растворы, жировые эмульсии, составы с аминокислотами.
• Анальгетики. Наиболее эффективными для купирования сильных болей при кишечной непроходимости являются наркотические анальгетики. При необходимости и отсутствии противопоказаний возможно проведение двусторонней паранефральной новокаиновой блокады.
• Антибактериальные препараты. Антибиотики используются профилактически для предотвращения патологической активации кишечной микрофлоры и предотвращения перитонита. Стандартные терапевтические схемы обычно включают введение цефалоспоринов 2-3 поколения.
Эффективность фармакотерапии подтверждается разрешением процесса: облегчение боли, обильные выделения стула, газов, возникающие в течение 1-1,5 часа после приема лекарств. Обычно консервативная терапия позволяет справиться с динамическим вариантом обструкции. При неэффективности лекарств, появлении перитонеальных симптомов, выявлении морфологического субстрата, срединной лапаротомии проводится ревизия органов брюшной полости, сегментарная резекция тонкой кишки и удаление инородного тела из кишечника.
Список литературы
1. Клиническая хирургия: национальное руководство в 3 т. Савельев В.С., Кириенко А.И. 2009.
2. Кишечная непроходимость. Руководство для врачей/ Ерюхин И.А., Петров В.И., Ханевич М.Д. 1999.
3. Кишечная непроходимость: учебно-методическое пособие/ Неверов П.С. 2017.
4. Острая тонкокишечная непроходимость неопухолевого генеза (патогенез, диагностика, лечение) (клинико-экспериментальное исследование). Автореферат диссертации/ Чуприс В.Г. 2009/.
2. Кишечная непроходимость. Руководство для врачей/ Ерюхин И.А., Петров В.И., Ханевич М.Д. 1999.
3. Кишечная непроходимость: учебно-методическое пособие/ Неверов П.С. 2017.
4. Острая тонкокишечная непроходимость неопухолевого генеза (патогенез, диагностика, лечение) (клинико-экспериментальное исследование). Автореферат диссертации/ Чуприс В.Г. 2009/.