Другие названия и синонимы
Erosion of teeth.
МКБ-10 коды
- МКБ-10
- K03.2 Эрозия зубов
|
|
Описание
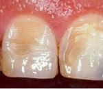
Эрозия зубов. Разновидность некариозного поражения, характеризующаяся образованием дефектов эмали и дентина на вестибулярной поверхности зубов. Участки эрозии зубов локализуются симметрично: на резцах, клыках, премолярах; их образование приводит к изменению цвета эмали, гиперестезии зубов, косметическому дефекту. Эрозия зубов обнаруживается при визуальном осмотре, после высушивания поверхности зуба и обработки йодной настойкой. Лечение эрозии зубов включает проведение комплексной реминерализирующей терапии (прием внутрь препаратов кальция, фосфора, витаминно-минеральных комплексов; местные аппликации, электрофорез), при необходимости - пломбирование дефектов или покрытие зубов коронками.
Дополнительные факты
Эрозия зубов - поражение твердых тканей зуба, характеризующееся прогрессирующей убылью эмали и дентина. В стоматологии эрозия зубов относится к некариозным поражениям, наряду с клиновидными дефектами, гипоплазией эмали, кислотным некрозом, патологическим стиранием, флюорозом зубов. Эрозия эмали выявляется у 10-23% пациентов, не занятых на вредных производствах. Заболевание возникает преимущественно у женщин среднего возраста; имеет длительное (до 10-15 лет) течение. Эрозия зубов - это не только эстетический дефект, но и серьезная стоматологическая проблема, нуждающаяся в незамедлительном лечении.
Причины
Среди концепций этиологии эрозии зубов наибольшей популярностью пользуются механическая, химическая и эндокринная, хотя ни одна из этих теорий не является исчерпывающей. Ряд исследователей связывает эрозию зубов с избыточным механическим воздействием на эмаль, а именно - использованием жестких зубных щеток, отбеливающих зубных паст и порошков с повышенной абразивностью.
Химическая теория развития эрозии зубов в качестве ведущих причин рассматривает воздействие на эмаль агрессивных химических агентов - кислотосодержащих продуктов и напитков (маринадов, солений, цитрусовых, соков, газированных напитков и пр. В группе риска по развитию эрозии зубов находятся работники вредных производств, связанных с вдыханием кислотных испарений, частиц металлической и минеральной пыли. Повреждающее действие на зубную эмаль оказывает ряд медикаментов, например, с высоким содержанием аскорбиновой кислоты. Эрозии зубов могут быть обусловлены хронической желудочно-пищеводной регургитацией при гастроэзофагеальной рефлюксной болезни.
Эндокринная теория опирается на исследования, выявившие связь эрозии зубов с гиперфункцией щитовидной железы. Установлено, что у пациентов с тиреотоксикозом эрозия зубов возникает в 2 раза чаще, чем у лиц с нормальной функционирующей щитовидной железой, а каждый год течения гипертиреоза повышает риск эрозивного поражения зубов на 20%.
Химическая теория развития эрозии зубов в качестве ведущих причин рассматривает воздействие на эмаль агрессивных химических агентов - кислотосодержащих продуктов и напитков (маринадов, солений, цитрусовых, соков, газированных напитков и пр. В группе риска по развитию эрозии зубов находятся работники вредных производств, связанных с вдыханием кислотных испарений, частиц металлической и минеральной пыли. Повреждающее действие на зубную эмаль оказывает ряд медикаментов, например, с высоким содержанием аскорбиновой кислоты. Эрозии зубов могут быть обусловлены хронической желудочно-пищеводной регургитацией при гастроэзофагеальной рефлюксной болезни.
Эндокринная теория опирается на исследования, выявившие связь эрозии зубов с гиперфункцией щитовидной железы. Установлено, что у пациентов с тиреотоксикозом эрозия зубов возникает в 2 раза чаще, чем у лиц с нормальной функционирующей щитовидной железой, а каждый год течения гипертиреоза повышает риск эрозивного поражения зубов на 20%.
Классификация
В основу классификации эрозии зубов легли критерии активности течения процесса и глубины поражения.
В клиническом течении эрозии зубов выделяют 2 фазы: активную и неактивную. В активную фазу происходит особенно стремительное разрушение эмали; размер эрозии меняется каждые 1,5-2 месяца; отмечается повышенная чувствительность зубов. В неактивную фазу наблюдается относительная стабилизация процесса в течение 9-11 месяцев; снижение гиперестезии зубов.
В зависимости от глубины дефекта различают эрозию зуба 3-х степеней:
• I степень (поверхностная, начальная). С поражением только верхнего слоя эмали.
• II степень (средняя). С поражением эмали по всей глубине до эмалево - дентинной границы.
• III степень (глубокая). С поражением всей эмали и верхнего слоя дентина.
В клиническом течении эрозии зубов выделяют 2 фазы: активную и неактивную. В активную фазу происходит особенно стремительное разрушение эмали; размер эрозии меняется каждые 1,5-2 месяца; отмечается повышенная чувствительность зубов. В неактивную фазу наблюдается относительная стабилизация процесса в течение 9-11 месяцев; снижение гиперестезии зубов.
В зависимости от глубины дефекта различают эрозию зуба 3-х степеней:
• I степень (поверхностная, начальная). С поражением только верхнего слоя эмали.
• II степень (средняя). С поражением эмали по всей глубине до эмалево - дентинной границы.
• III степень (глубокая). С поражением всей эмали и верхнего слоя дентина.
Клиническая картина
В начальной стадии происходит потеря блеска эмали в области ограниченного участка вестибулярной поверхности зуба. На данном этапе заметить признаки начавшегося эрозивного процесса можно только после высушивания поверхности зуба струей воздуха или нанесения на участок поражения 5% йодной настойки - в этом случае происходит желто-коричневое окрашивание участка эрозии.
Первоначально эрозивный дефект представляет собой округлый или овальный очаг чашеобразной формы с твердым, гладким и блестящим дном. По мере расширения и углубления очага может происходить полная утрата эмалевого слоя и обнажение дентина. При I и II степени эрозии зубов дефект имеет белесоватый цвет; при III степени патологического процесса появляется светло-желтая или коричневая пигментация.
Ассоциированные симптомы: Зубная боль.
Первоначально эрозивный дефект представляет собой округлый или овальный очаг чашеобразной формы с твердым, гладким и блестящим дном. По мере расширения и углубления очага может происходить полная утрата эмалевого слоя и обнажение дентина. При I и II степени эрозии зубов дефект имеет белесоватый цвет; при III степени патологического процесса появляется светло-желтая или коричневая пигментация.
Ассоциированные симптомы: Зубная боль.
Диагностика
Эрозия зубов диагностируется в процессе стоматологического осмотра. Более четкой локализации дефекта способствует высушивание поверхности коронки зуба, йодная проба.
Для выявления сопутствующих эндокринных нарушений пациентам, страдающим эрозией зубов, может потребоваться консультация эндокринолога, проведение УЗИ щитовидной железы, исследование гормонов щитовидной железы. Для исключения ГЭРБ рекомендуется обследование у гастроэнтеролога.
Эрозия зубов требует дифференциации с клиновидными дефектами, гипоплазией эмали, поверхностным кариесом.
Для выявления сопутствующих эндокринных нарушений пациентам, страдающим эрозией зубов, может потребоваться консультация эндокринолога, проведение УЗИ щитовидной железы, исследование гормонов щитовидной железы. Для исключения ГЭРБ рекомендуется обследование у гастроэнтеролога.
Эрозия зубов требует дифференциации с клиновидными дефектами, гипоплазией эмали, поверхностным кариесом.
Лечение
Комплексный подход к лечению эрозии зубов складывается из местных и общих терапевтических мероприятий. В активную фазу усилия стоматологов направлены на достижение стабилизации процесса и прекращение прогрессирующей убыли твердых тканей зуба.
Местная реминерализирующая терапия предполагает проведение курса ежедневных аппликаций фторсодержащих и кальцийсодержащих препаратов в течение 15-20 дней с последующим покрытием поверхности зубов фторлаком. Эти мероприятия также позволяют устранить гиперестезию эмали. Дополнительная минерализация твердых тканей зубов достигается с помощью электрофореза кальция.
При выраженной убыли твердых тканей зуба и заметном эстетическом дефекте производится реставрация эрозии с помощью композита светового отверждения, винира или искусственной коронки. В рамках системной терапии эрозии зубов назначается прим препаратов кальция и фосфора, витаминно-минеральных комплексов.
В стабилизированной стадии показано продолжение приема витаминов и микроэлементов. С целью ликвидации гиперпигментации возможно проведение полировки зуба пастой, щадящее отбеливание с последующим нанесением на эрозию фторгеля или фторлака.
Местная реминерализирующая терапия предполагает проведение курса ежедневных аппликаций фторсодержащих и кальцийсодержащих препаратов в течение 15-20 дней с последующим покрытием поверхности зубов фторлаком. Эти мероприятия также позволяют устранить гиперестезию эмали. Дополнительная минерализация твердых тканей зубов достигается с помощью электрофореза кальция.
При выраженной убыли твердых тканей зуба и заметном эстетическом дефекте производится реставрация эрозии с помощью композита светового отверждения, винира или искусственной коронки. В рамках системной терапии эрозии зубов назначается прим препаратов кальция и фосфора, витаминно-минеральных комплексов.
В стабилизированной стадии показано продолжение приема витаминов и микроэлементов. С целью ликвидации гиперпигментации возможно проведение полировки зуба пастой, щадящее отбеливание с последующим нанесением на эрозию фторгеля или фторлака.
Прогноз
В отличие от кариеса, развитие эрозии зубов никак не связано с неудовлетворительной гигиеной полости рта. Однако на фоне прогрессирования эрозивного дефекта может отмечаться вторичное присоединение кариозного поражения зубов. Поэтому лечение эрозии зубов должно быть своевременным и полноценным. После достижения стабилизации эрозии пациентам требуется диспансерное наблюдение стоматолога-терапевта.
Профилактика
Профилактика эрозии зубов складывается из правильного подбора и использования средств ухода за зубами, ограничения употребления продуктов с высоким эрозивным потенциалом, устранения сопутствующих эндокринных нарушений. Весьма эффективно использование 2-3 раза в неделю фосфатсодержащих зубных паст.