Другие названия и синонимы
Pigmentation of teeth.
МКБ-10 коды
|
|
Описание
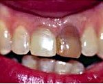
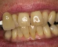
Пигментация зубов. Это патологическое состояние, сопровождающееся изменением естественного цвета зубов в результате воздействия экзогенных и эндогенных факторов. Зубы могут приобретать желтый, коричневый, серый, розовый, черный, красный оттенок. Часто наряду с пигментацией зубов выявляют деминерализацию эмали, сопровождающуюся гиперестезией. Диагностика пигментации зубов включает сбор жалоб, физикальное обследование, рентгенографию, ЭОД, термографию. Для устранения пигментации зубов выполняют профессиональную чистку, проводят внутриканальное и внешнее отбеливание или восстанавливают естественный цвет путем протезирования.
Дополнительные факты
Пигментация зубов (дисколорит) - стойкое окрашивание зубов, возникающее по причине воздействия общих или местных факторов. На сегодняшний день пигментация зубов является очень распространенной патологией. Дисколориты выявляют у 85% людей молодого возраста, что связано с неправильным питанием, вредными привычками, травмами. У мужчин пигментацию зубов обнаруживают в 60%, у женщин - в 40% случаев. Среди основных причин дисколоритов выделяют неудовлетворительную гигиену полости рта, никотиновую и медикаментозную пигментацию, травмы, окрашивание депульпированных зубов силерами на основе йодоформа, резорцин-формалина. В стоматологию чаще обращаются пациенты с пигментацией зубов сочетанной этиологии. Установлена тесная корреляционная связь между цветом зубов, уровнем гигиены и степенью резистентности эмали.
Причины
Спровоцировать пигментацию зубов могут факторы, влияющие как на этапе фолликулярного развития, так и после прорезывания зубов. Прием беременной женщиной тетрациклинов вызывает стойкий дисколорит временных зубов у ребенка. Это происходит по причине того, что тетрациклины, являясь хелатными солями кальция, способны проникать через плаценту, накапливаясь при этом в костях и твердых тканях зуба в фазе их минерализации. Глубина пигментации зубов в большей мере зависит от суммарной дозы препарата.
Так как состав эмали и дентина со временем практически не изменяется, желто-коричневое окрашивание остается постоянной меткой, свидетельствующей об эндогенном происхождении пигментации зубов. У детей дошкольного возраста прием тетрациклинов также вызывает пигментацию зубов, что часто наблюдается у больных муковисцидозом. Диметилхлортетрациклин придает зубам более насыщенный окрас, окситетрациклин менее агрессивно воздействует на ткани зуба.
При гемолитической болезни новорожденных пигментация зубов развивается вследствие резус-конфликта между антителами матери и антигенами эритроцитов плода, в результате чего происходит гемолиз, характеризующийся массивным разрушением эритроцитов. Избыточное количество непрямого билирубина откладывается в дентине и эмали, вызывая их окрашивание. Эндогенная пигментация зубов возникает у детей с порфирией. Вследствие нарушения обмена порфирина и его предшественников наблюдается повышенный синтез пигмента. Накопление порфирина в дентине приводит к изменению цвета не только временных, но и постоянных зубов.
В постнатальном периоде причинами пигментации зубов становятся пищевые красители, табакокурение. В результате травматического повреждения может произойти разрыв сосудисто-нервного пучка. Внутрипульпарное кровоизлияние приводит к разрушению эритроцитов. Диффундирование сульфида железа и продуктов распада пульпы в дентинные канальцы вызывает пигментацию зуба. Пломбирование корневых каналов резорцин-формалиновой пастой, длительный контакт материала на основе йодоформа со стенками корневого канала, применение серебряной амальгамы, остатки эндогерметика на стенках коронковой полости зуба - все эти факторы ятрогенного происхождения также способны вызвать стойкую пигментацию зубов.
При гемолитической болезни цвет зубов варьирует от серо-голубого до зеленого или коричневого. Со временем интенсивность пигментации зубов снижается. О гемолитической болезни свидетельствует нарушение структуры эмали, так как отложения билирубина нарушают процессы гистогенеза. При осмотре наряду с пигментацией зубов выявляют признаки системной гипоплазии. Если пигментация зубов возникла вследствие приема ребенком или беременной женщиной тетрациклинов, зубы становятся желто-серыми. В результате окисления тетрациклина под воздействием света интенсивность окрашивания возрастает. Тетрациклиновую пигментацию зубов выявляют как во временном, так и в сменном прикусе. Иногда изменение цвета сочетается с системной гипоплазией.
При эритропоэтической уропорфирии зубы окрашиваются в красный цвет. У больных отсутствуют волосы, возникает фотосенсибилизация, так как свободный уропорфириноген, окислившись, накапливается в коже. На теле ребенка обнаруживают волдыри, после вскрытия которых обнажается язвенная поверхность. При экзогенной пигментации зубов пищевыми красителями изменение цвета напрямую зависит от характера употребляемой пищи. При табакокурении на зубах обнаруживают отложения темно-коричневого или черного цвета. Максимальному окрашиванию подвергаются оральные поверхности зубов.
При некрозе пульпы вследствие травматического повреждения зуб становится серым. Резорцин-формалиновая паста и препараты на основе йодоформа вызывают стойкую пигментацию зубов, коронки при этом окрашиваются в розовый цвет. После восстановления небной поверхности серебряной амальгамой эмаль зубов становится серой и тусклой.
Так как состав эмали и дентина со временем практически не изменяется, желто-коричневое окрашивание остается постоянной меткой, свидетельствующей об эндогенном происхождении пигментации зубов. У детей дошкольного возраста прием тетрациклинов также вызывает пигментацию зубов, что часто наблюдается у больных муковисцидозом. Диметилхлортетрациклин придает зубам более насыщенный окрас, окситетрациклин менее агрессивно воздействует на ткани зуба.
При гемолитической болезни новорожденных пигментация зубов развивается вследствие резус-конфликта между антителами матери и антигенами эритроцитов плода, в результате чего происходит гемолиз, характеризующийся массивным разрушением эритроцитов. Избыточное количество непрямого билирубина откладывается в дентине и эмали, вызывая их окрашивание. Эндогенная пигментация зубов возникает у детей с порфирией. Вследствие нарушения обмена порфирина и его предшественников наблюдается повышенный синтез пигмента. Накопление порфирина в дентине приводит к изменению цвета не только временных, но и постоянных зубов.
В постнатальном периоде причинами пигментации зубов становятся пищевые красители, табакокурение. В результате травматического повреждения может произойти разрыв сосудисто-нервного пучка. Внутрипульпарное кровоизлияние приводит к разрушению эритроцитов. Диффундирование сульфида железа и продуктов распада пульпы в дентинные канальцы вызывает пигментацию зуба. Пломбирование корневых каналов резорцин-формалиновой пастой, длительный контакт материала на основе йодоформа со стенками корневого канала, применение серебряной амальгамы, остатки эндогерметика на стенках коронковой полости зуба - все эти факторы ятрогенного происхождения также способны вызвать стойкую пигментацию зубов.
При гемолитической болезни цвет зубов варьирует от серо-голубого до зеленого или коричневого. Со временем интенсивность пигментации зубов снижается. О гемолитической болезни свидетельствует нарушение структуры эмали, так как отложения билирубина нарушают процессы гистогенеза. При осмотре наряду с пигментацией зубов выявляют признаки системной гипоплазии. Если пигментация зубов возникла вследствие приема ребенком или беременной женщиной тетрациклинов, зубы становятся желто-серыми. В результате окисления тетрациклина под воздействием света интенсивность окрашивания возрастает. Тетрациклиновую пигментацию зубов выявляют как во временном, так и в сменном прикусе. Иногда изменение цвета сочетается с системной гипоплазией.
При эритропоэтической уропорфирии зубы окрашиваются в красный цвет. У больных отсутствуют волосы, возникает фотосенсибилизация, так как свободный уропорфириноген, окислившись, накапливается в коже. На теле ребенка обнаруживают волдыри, после вскрытия которых обнажается язвенная поверхность. При экзогенной пигментации зубов пищевыми красителями изменение цвета напрямую зависит от характера употребляемой пищи. При табакокурении на зубах обнаруживают отложения темно-коричневого или черного цвета. Максимальному окрашиванию подвергаются оральные поверхности зубов.
При некрозе пульпы вследствие травматического повреждения зуб становится серым. Резорцин-формалиновая паста и препараты на основе йодоформа вызывают стойкую пигментацию зубов, коронки при этом окрашиваются в розовый цвет. После восстановления небной поверхности серебряной амальгамой эмаль зубов становится серой и тусклой.
Диагностика
Диагноз пигментация зубов ставят, исходя из жалоб пациента, анамнеза заболевания, данных клинического осмотра, результатов дополнительных исследований. При гемолитической болезни новорожденного врач-стоматолог локально выявляет пигментацию зубов в сочетании с признаками системной гипоплазии. Зондирование окрашенных участков безболезненное. ЭОД свидетельствует о витальности пульпы. Поверхность пигментированного зуба не флюоресцирует под воздействием ультрафиолетовых лучей. Анамнез заболевания подтверждает этиологию пигментации зубов. У младенцев при рождении в анализах крови обнаруживают повышенный уровень непрямого билирубина, снижение гемоглобина и общего числа эритроцитов.
При тетрациклиновой пигментации зубов окрашивание наблюдается не по всей площади коронки, а только в той части, где на момент приема лекарственного средства происходят процессы минерализации. В зависимости от длительности приема, вида препарата, суммарной дозы цвет коронок варьирует от желтого до темно-коричневого. Со временем нарастание интенсивности пигментации зубов выявляют только на щечных поверхностях резцов, клыков. Зондирование окрашенных участков безболезненное, ЭОД подтверждает жизнеспособность пульпы. Тетрациклиновая пигментация зубов флюоресцирует под воздействием лучей ультрафиолета.
При порфирии не только временные, но и постоянные зубы становятся пурпурно-красными. Слепота, отсутствие волос, фотосенсибилизация, окрашивание мочи в красный цвет, наличие сходной симптоматики у близких родственников - все это подтверждает наследственную этиологию дисколорита. Если причиной пигментации зубов является табакокурение, индекс Грина-Вермильона свидетельствует о неудовлетворительном уровне гигиены. При наличии в пришеечных участках пигментированных отложений в воспалительный процесс вовлекается маргинальная десна, о чем сигнализируют положительные результаты пробы Шиллера-Писарева.
Если пигментация зубов возникла вследствие разрыва сосудисто-нервного пучка, зуб становится серым. Вертикальная перкуссия положительная. Может наблюдаться патологическая подвижность. При вскрытии пульповой камеры зондирование устьев каналов безболезненное, в каналах обнаруживают путридные массы. Термопроба отрицательная. Показатели ЭОД в диапазоне от 100 мкА и выше, что сигнализирует о гибели пульпы. Если от момента травмы до обращения пациента в клинику прошел длительный отрезок времени - 3-6 месяцев, на рентгенограмме выявляют деструктивные периапикальные изменения.
Чтобы поставить окончательный диагноз, необходимо дифференцировать между собой разные виды экзогенной и эндогенной пигментации зубов, провести дифференциальную диагностику заболевания с несовершенным амелогенезом, синдромом Стентона-Капдепона, некрозом и эрозией эмали. В ходе обследования может возникнуть необходимость в дополнительной консультации узких специалистов (педиатра, генетика).
При тетрациклиновой пигментации зубов окрашивание наблюдается не по всей площади коронки, а только в той части, где на момент приема лекарственного средства происходят процессы минерализации. В зависимости от длительности приема, вида препарата, суммарной дозы цвет коронок варьирует от желтого до темно-коричневого. Со временем нарастание интенсивности пигментации зубов выявляют только на щечных поверхностях резцов, клыков. Зондирование окрашенных участков безболезненное, ЭОД подтверждает жизнеспособность пульпы. Тетрациклиновая пигментация зубов флюоресцирует под воздействием лучей ультрафиолета.
При порфирии не только временные, но и постоянные зубы становятся пурпурно-красными. Слепота, отсутствие волос, фотосенсибилизация, окрашивание мочи в красный цвет, наличие сходной симптоматики у близких родственников - все это подтверждает наследственную этиологию дисколорита. Если причиной пигментации зубов является табакокурение, индекс Грина-Вермильона свидетельствует о неудовлетворительном уровне гигиены. При наличии в пришеечных участках пигментированных отложений в воспалительный процесс вовлекается маргинальная десна, о чем сигнализируют положительные результаты пробы Шиллера-Писарева.
Если пигментация зубов возникла вследствие разрыва сосудисто-нервного пучка, зуб становится серым. Вертикальная перкуссия положительная. Может наблюдаться патологическая подвижность. При вскрытии пульповой камеры зондирование устьев каналов безболезненное, в каналах обнаруживают путридные массы. Термопроба отрицательная. Показатели ЭОД в диапазоне от 100 мкА и выше, что сигнализирует о гибели пульпы. Если от момента травмы до обращения пациента в клинику прошел длительный отрезок времени - 3-6 месяцев, на рентгенограмме выявляют деструктивные периапикальные изменения.
Чтобы поставить окончательный диагноз, необходимо дифференцировать между собой разные виды экзогенной и эндогенной пигментации зубов, провести дифференциальную диагностику заболевания с несовершенным амелогенезом, синдромом Стентона-Капдепона, некрозом и эрозией эмали. В ходе обследования может возникнуть необходимость в дополнительной консультации узких специалистов (педиатра, генетика).
|
|
Лечение
Основными методами устранения пигментации зубов являются отбеливание, ламинирование вестибулярных поверхностей адгезивными или керамическими винирами, восстановление естественного цвета путем изготовления металлокерамических или безметалловых конструкций. Перед началом лечения пигментации зубов проводят санацию полости рта. Зубные отложения удаляют с помощью пневматического скейлера и воздушно-абразивной системы, принцип работы которой базируется на очистке эмали смесью воды и бикарбоната натрия под воздействием сжатого под высоким давлением воздуха.
Метод внутреннего (внутриканального) и внешнего отбеливания используют при глубокой пигментации зубов. С этой целью применяют перекись водорода. Активизация реакций окисления происходит под воздействием света или лазера. Для устранения пигментации зубов может понадобиться несколько посещений. Одного визита достаточно только в случае травматического периодонтита, когда окрашивание зубов произошло вследствие пенетрации гнилостных продуктов распада пульпы вглубь дентинных канальцев.
При низкой резистентности эмали отбеливание противопоказано. В таком случае используют ортопедические способы восстановления эстетической составляющей - микропротезирование или изготовление полных керамических коронок. Прогноз зависит от этиологии пигментации зубов. Практически не поддаются отбеливанию тетрациклиновые зубы и дисколориты, возникшие по причине окисления металлических внутриканальных штифтов и серебряных амальгам.
Метод внутреннего (внутриканального) и внешнего отбеливания используют при глубокой пигментации зубов. С этой целью применяют перекись водорода. Активизация реакций окисления происходит под воздействием света или лазера. Для устранения пигментации зубов может понадобиться несколько посещений. Одного визита достаточно только в случае травматического периодонтита, когда окрашивание зубов произошло вследствие пенетрации гнилостных продуктов распада пульпы вглубь дентинных канальцев.
При низкой резистентности эмали отбеливание противопоказано. В таком случае используют ортопедические способы восстановления эстетической составляющей - микропротезирование или изготовление полных керамических коронок. Прогноз зависит от этиологии пигментации зубов. Практически не поддаются отбеливанию тетрациклиновые зубы и дисколориты, возникшие по причине окисления металлических внутриканальных штифтов и серебряных амальгам.