Другие названия и синонимы
Ovarian cystoma.
Описание
Настоящая опухоль яичника, которая развивается из эпителиальных тканей и имеет пролиферативный рост. На ранних стадиях кистома яичника протекает бессимптомно; со временем может развиться увеличение размеров живота, чувство сытости, мучительная боль, дизурические расстройства, нарушение работы кишечника. Диагноз включает гинекологическое обследование, УЗИ органов малого таза и брюшной полости, анализ опухолевого маркера опухоли яичника (СА-125), лапароскопию. Осложнениями кистомы яичника могут быть процессы малигнизации, некроза, перфорации, кровоизлияния, скручивания опухоли ног, сдавливания близлежащих органов. Лечение кистомы яичника строго оперативно. Прогноз определяется гистологической структурой образования.
|
|
Дополнительные факты
Кистома яичника вместе с миомой матки относится к наиболее распространенным опухолям женской репродуктивной системы. Кистомы представляют собой доброкачественные опухоли яичников, однако они часто подвержены вторичной злокачественности. Отличительной чертой кистомы является быстрый пролиферативный рост, поэтому он часто достигает больших размеров. Кистома яичника может развиваться на основе уже существующей кисты яичника. Кистома соединяется с яичником через анатомическую ногу, которая включает связки (поддерживающие, часть широкой, связки собственно яичника), маточные и яичниковые артерии, нервы и лимфатические сосуды.
Причины
Точные причины образования кисты яичника не установлены. Наблюдается, что наибольшая предрасположенность к развитию цистомы наблюдается у женщин с нарушением гормональной функции яичников, отягощенных наследственностью, переносящих вирус герпеса типа II и ВПЧ.
К риску развития кист яичников также относятся пациенты:
• при хронических женских заболеваниях (кольпит, оофорит, эндометрит).
• нерегулярный менструальный цикл.
• рак молочной железы.
• делает аборт, операцию на яичнике или внематочную беременность.
Вероятность развития цитомы яичника увеличивается во время пременопаузы и менопаузы. Женщины с повышенным риском развития цистомы яичников осмотрены гинекологом.
К риску развития кист яичников также относятся пациенты:
• при хронических женских заболеваниях (кольпит, оофорит, эндометрит).
• нерегулярный менструальный цикл.
• рак молочной железы.
• делает аборт, операцию на яичнике или внематочную беременность.
Вероятность развития цитомы яичника увеличивается во время пременопаузы и менопаузы. Женщины с повышенным риском развития цистомы яичников осмотрены гинекологом.
Классификация
Современная гинекология классифицирует кистомы яичников с учетом типа течения, типа содержимого, слизистой оболочки их полости и расположения. В зависимости от типа кисты яичника могут быть доброкачественными, пролиферирующими (пограничными) и злокачественными. Доброкачественные кистомы яичника могут размножаться со временем и затем становиться злокачественными. В зависимости от содержания, обычно различают серозные и слизистые кисты яичника.
Облицована трубчатым или поверхностным эпителием яичника, заполнена прозрачной серозной жидкостью соломенного цвета. Они чаще однопалатные и могут достигать диаметра 30 и более сантиметров. Обычно встречается у женщин от 40 до 50 лет. Злокачественная дегенерация пролиферирующих серозных кист яичников встречается у 10-15% больных.
• Муцинозные цистомы. Наиболее распространенными являются слизистые (псевдомуциновые) цистомы яичника с эпителиальной оболочкой, сходной с клетками шейного канала. Цистомы слизистых яичников, как правило, многокамерные, содержат секрет, похожий на слизь. Они могут быть диагностированы у женщин любой возрастной группы, но все еще чаще определяются у женщин в постменопаузе. Слизистые цистомы яичников реже становятся злокачественными (в 3-5% случаев).
Из-за характера слизистой оболочки полости выделяются железистые (железистые), мезонефроидные, реснично-эпителиальные (гладкие стенки), эндометриоидные и папиллярные кисты яичника. Цистомы яичников могут развиваться в одном яичнике (односторонний) или в обоих яичниках (двусторонний), они имеют одинаковую или разную структуру. Муцинозные цистомы чаще всего поражают яичники, причем оба серозные.
Облицована трубчатым или поверхностным эпителием яичника, заполнена прозрачной серозной жидкостью соломенного цвета. Они чаще однопалатные и могут достигать диаметра 30 и более сантиметров. Обычно встречается у женщин от 40 до 50 лет. Злокачественная дегенерация пролиферирующих серозных кист яичников встречается у 10-15% больных.
• Муцинозные цистомы. Наиболее распространенными являются слизистые (псевдомуциновые) цистомы яичника с эпителиальной оболочкой, сходной с клетками шейного канала. Цистомы слизистых яичников, как правило, многокамерные, содержат секрет, похожий на слизь. Они могут быть диагностированы у женщин любой возрастной группы, но все еще чаще определяются у женщин в постменопаузе. Слизистые цистомы яичников реже становятся злокачественными (в 3-5% случаев).
Из-за характера слизистой оболочки полости выделяются железистые (железистые), мезонефроидные, реснично-эпителиальные (гладкие стенки), эндометриоидные и папиллярные кисты яичника. Цистомы яичников могут развиваться в одном яичнике (односторонний) или в обоих яичниках (двусторонний), они имеют одинаковую или разную структуру. Муцинозные цистомы чаще всего поражают яичники, причем оба серозные.
Клиническая картина
Цистомы яичников небольших размеров, как правило, не вызывают жалоб и субъективных нарушений менструального цикла. На ранних стадиях кисты яичника она обычно выявляется случайно во время обычного гинекологического обследования или из-за бесплодия.
При достижении больших размеров киста яичника может вызывать несколько симптомов - боль в брюшной полости и нижней части спины при облучении паховой области или нижней части спины, увеличение размеров живота, чувство тяжести и разрыва в животе и нарушения менструального цикла. Сжатие цистомы яичника мочевого пузыря проявляется частым мочеиспусканием; толстая кишка - запор (иногда диарея); крупные сосуды - отечность ног. При серозных кистах яичников, асците обычно развивается гидросальпинкс.
Ассоциированные симптомы: Запор. Понос (диарея). Тошнота. Увеличение объема живота.
При достижении больших размеров киста яичника может вызывать несколько симптомов - боль в брюшной полости и нижней части спины при облучении паховой области или нижней части спины, увеличение размеров живота, чувство тяжести и разрыва в животе и нарушения менструального цикла. Сжатие цистомы яичника мочевого пузыря проявляется частым мочеиспусканием; толстая кишка - запор (иногда диарея); крупные сосуды - отечность ног. При серозных кистах яичников, асците обычно развивается гидросальпинкс.
Ассоциированные симптомы: Запор. Понос (диарея). Тошнота. Увеличение объема живота.
Возможные осложнения
При скручивании ног кистой яичника появляются ярко выраженные клинические симптомы - острая боль, лихорадка, тошнота, тахикардия, мышечное напряжение в брюшной стенке. Физическая нагрузка, травма живота, неосторожное гинекологическое обследование могут вызвать разрыв капсулы цистомы - апоплексия яичника.
Наибольшую угрозу для жизни представляет злокачественная опухоль яичниковой кисты, поэтому ее лечение может быть только хирургическим. Кроме того, при физических нагрузках или резких движениях высока вероятность скручивания кистом ног, кровоизлияния в полость или капсулу кисты яичника.
При гематогенном или лимфогенном введении инфекции кишечного тракта содержимое цистото может нагреться. При опухолевом поражении или нарушении трофики его стенок капсула цистомы яичника разрывается, сопровождается острой болью, внутрибрюшным кровотечением, шоком, потерей сознания, перитонитом.
Рост кистом яичников до гигантских размеров идет рука об руку с функциональными нарушениями кишечника, мочевого пузыря и кровотока. Осложнения кистомы яичника всегда требуют большего объема хирургического вмешательства, чем запланированное лечение заболевания.
Наибольшую угрозу для жизни представляет злокачественная опухоль яичниковой кисты, поэтому ее лечение может быть только хирургическим. Кроме того, при физических нагрузках или резких движениях высока вероятность скручивания кистом ног, кровоизлияния в полость или капсулу кисты яичника.
При гематогенном или лимфогенном введении инфекции кишечного тракта содержимое цистото может нагреться. При опухолевом поражении или нарушении трофики его стенок капсула цистомы яичника разрывается, сопровождается острой болью, внутрибрюшным кровотечением, шоком, потерей сознания, перитонитом.
Рост кистом яичников до гигантских размеров идет рука об руку с функциональными нарушениями кишечника, мочевого пузыря и кровотока. Осложнения кистомы яичника всегда требуют большего объема хирургического вмешательства, чем запланированное лечение заболевания.
Диф. диагностика
При постановке диагноза кисту яичника следует дифференцировать от рака яичника, фолликулярной кисты и кисты желтого тела, миомы матки, беременности матки и маточной трубы, аднексита, метастатических опухолей желудка, опухолей кишечника и мочевого пузыря. Поэтому также может потребоваться УЗИ брюшной полости, гастроскопия, рентгенография желудка, ирригоскопия, консультация гастроэнтеролога, проктолога и уролога.
Если есть обоснованные сомнения относительно диагноза, выполняется диагностическая лапароскопия с биопсией яичника, которая может быть преобразована в медицинскую биопсию. Окончательный диагноз ставится после хирургического лечения кистомы яичника с учетом гистологического строения удаленной опухоли.
Если есть обоснованные сомнения относительно диагноза, выполняется диагностическая лапароскопия с биопсией яичника, которая может быть преобразована в медицинскую биопсию. Окончательный диагноз ставится после хирургического лечения кистомы яичника с учетом гистологического строения удаленной опухоли.
Диагностика
Диагностика.
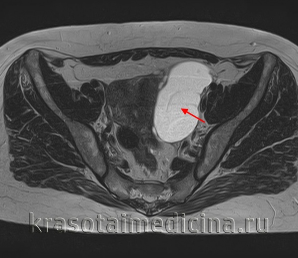
При проведении гинекологического обследования на стуле наличие опухолеподобного образования с анатомической ногой, лежащей в сакральной полости позади матки, определяется пальпацией. В зависимости от размера и количества камер кистома яичника имеет упругую или плотную текстуру, гладкую поверхность.Для объективного подтверждения наличия кистомы яичника и определения ее размера выполняется ультразвуковое сканирование органов малого таза, компьютерная томография или МРТ. Характер кистомы яичника уточняется с помощью анализа крови на опухолевый маркер СА-125, пункции брюшной полости через задний свод влагалища с цитологическим анализом жидкости. Согласно показаниям, проводится биопсия эндометрия, УЗИ молочных желез.
МРТ таза. Большая кистома левого яичника.
Лечение
Независимо от размера и клиники кистомы яичника указана хирургическая тактика. Необходимость удаления кистомы яичника определяется возможностью ее злокачественности, чрезмерного роста и нарушения тазовых органов. Во время операции удалена кистома, выяснена ее природа и исключен злокачественный процесс. Степень предстоящего вмешательства при кистомах яичников определяется типом, размером опухоли, возрастом женщины и планированием беременности. Хирургия кист яичников проводится лапароскопией или лапаротомией.
Для определения объема операции показано срочное интраоперационное гистологическое исследование опухолевых тканей. Цистэктомия возможна у молодых пациентов с исключением факторов осведомленности о раке и наличием серозной гладкой стенки цистомы - удаления образования при сохранении ткани яичника. Серозные папиллярные и муцинозные кисты у женщин детородного возраста требуют удаления пораженного яичника (овариэктомия). У женщин в постменопаузе оптимальным методом лечения кистомы яичника является удаление матки с помощью пангистерэктомии.
В случае перекрута ноги или разрушения капсулы цистомы яичника необходимо срочное вмешательство. Для пограничных или злокачественных кист яичников проводятся химиотерапия, гормонотерапия и лучевая терапия.
Для определения объема операции показано срочное интраоперационное гистологическое исследование опухолевых тканей. Цистэктомия возможна у молодых пациентов с исключением факторов осведомленности о раке и наличием серозной гладкой стенки цистомы - удаления образования при сохранении ткани яичника. Серозные папиллярные и муцинозные кисты у женщин детородного возраста требуют удаления пораженного яичника (овариэктомия). У женщин в постменопаузе оптимальным методом лечения кистомы яичника является удаление матки с помощью пангистерэктомии.
В случае перекрута ноги или разрушения капсулы цистомы яичника необходимо срочное вмешательство. Для пограничных или злокачественных кист яичников проводятся химиотерапия, гормонотерапия и лучевая терапия.
|
|
Прогноз
Скорость операции позволяет выздороветь и благоприятный прогноз. После хирургического лечения кистомы яичника больные нуждаются в наблюдении у гинеколога (гинекологического онколога), маммолога.
Профилактика
Ключом к профилактике кистомы яичника являются регулярные осмотры у гинеколога и УЗИ. Своевременное лечение хронических воспалительных заболеваний яичников, конечностей и матки, правильный выбор контрацепции и профилактика абортов необходимы для устранения неблагоприятного фона.