Другие названия и синонимы
Foreign body of the maxillary sinus.
МКБ-10 коды
|
|
Описание
Инородное тело верхнечелюстной пазухи. Это посторонний предмет, расположенный в верхнечелюстной (верхнечелюстной) пазухе. Его наличие может протекать как бессимптомно, так и с различными клиническими проявлениями: ухудшение общего самочувствия, боль, повышение температуры, заложенность носа, гнойная секреция, носовые кровотечения. Диагноз ставится на основании жалоб, анамнеза, физического осмотра и визуализации методов исследования - рентгенографии, КТ, прямой и эндоскопической риноскопии. Лечение заключается в хирургическом удалении инородного тела, промывании придаточных пазух носа и проведении антибактериальной и противовоспалительной терапии.
Дополнительные факты
Инородное тело верхнечелюстной пазухи является довольно распространенным явлением в современной оториноларингологии. У маленьких детей (до 6-7 лет) обычно встречаются мелкие бусы, семена подсолнечника или арбуза, семена ягод; у взрослых остроконечные фрагменты дерева, куски резины, фрагменты кости и даже пули. Однако чаще всего зубные имплантаты (38,8%), пломбировочный материал (28,6%), металлические штифты (10,2%), фрагменты зубов (6,1%) и зубные боры (4,1%) извлекаются из верхнечелюстных пазух. ), марлевые тампоны и дренажные трубки. Из-за топографических и анатомических особенностей верхнечелюстной пазухи инородные тела попадают в нее гораздо чаще (около 60%), чем другие околоносовые пазухи.
Причины
У маленьких детей посторонние предметы попадают в верхнечелюстную пазуху из-за каждодневных шуток или любопытства, у взрослых - с домашней или профессиональной травмой, из огнестрельного ранения. Инородные тела также могут попасть в пазуху, если они проходят через задние носовые ходы. Тем не менее, это явление в большей степени касается случая. Наиболее частой причиной инородного тела в молочных железах является ятрогенная Последствия медицинских вмешательств. Львиная доля (более 80%) обусловлена зубными вмешательствами на зубах верхней челюсти - имплантацией, протезированием, пломбами.
Различные факторы способствуют проникновению инородных тел в пазухи во время стоматологических процедур. Внутренние факторы включают близость дна верхнечелюстной пазухи к корням зубов и истончение костной ткани вследствие существующих хронических заболеваний (сахарный диабет, кисты верхнечелюстных пазух, остеопороз, гиперпаратиреоз, злокачественные новообразования, множественная миелома). Внешними факторами являются несоблюдение техники работы с корневым каналом и недостаточное оснащение стоматологических клиник необходимым оборудованием и инструментами.
Различные факторы способствуют проникновению инородных тел в пазухи во время стоматологических процедур. Внутренние факторы включают близость дна верхнечелюстной пазухи к корням зубов и истончение костной ткани вследствие существующих хронических заболеваний (сахарный диабет, кисты верхнечелюстных пазух, остеопороз, гиперпаратиреоз, злокачественные новообразования, множественная миелома). Внешними факторами являются несоблюдение техники работы с корневым каналом и недостаточное оснащение стоматологических клиник необходимым оборудованием и инструментами.
Патогенез
Реакция ткани верхнечелюстной пазухи на посторонний предмет определяется ее характеристиками (материал, всасываемость, острые края, стерильность или инфекция) и иммунологической реактивностью макроорганизма. В редких случаях (с очень маленькими размерами, плоскими краями и низким уровнем инфекции) инородное тело может удалить себя сначала в полости носа через анастомоз, а затем из полости носа. Это возможно благодаря функционированию мерцательного эпителия слизистой оболочки пазухи.
Однако в подавляющем большинстве случаев из-за постоянного раздражающего действия развивается воспалительный процесс той или иной степени. Слизистая оболочка отекает и утолщается, просвет анастомоза с полостью носа блокируется, функция мерцательного эпителия прерывается. При введении кокковой микрофлоры происходит массивная миграция лейкоцитов через стенку сосуда, появляется гнойный экссудат. Если предмет имеет острые края, слизистая оболочка повреждается и возникает кровотечение.
Однако в подавляющем большинстве случаев из-за постоянного раздражающего действия развивается воспалительный процесс той или иной степени. Слизистая оболочка отекает и утолщается, просвет анастомоза с полостью носа блокируется, функция мерцательного эпителия прерывается. При введении кокковой микрофлоры происходит массивная миграция лейкоцитов через стенку сосуда, появляется гнойный экссудат. Если предмет имеет острые края, слизистая оболочка повреждается и возникает кровотечение.
Клиническая картина
Клиническая картина разнообразна. При отсутствии сильного воспаления и повреждения слизистой оболочки инородное тело может не появляться годами. Иногда небольшая температура и незначительные прозрачные или желтоватые выделения из носа могут вызывать постоянный кашель.
В некоторых случаях образуется острый гнойный синусит. Общее состояние значительно ухудшается - возникает слабость, нарушается аппетит и сон, температура поднимается до 38-39 градусов. Выделения густые, вязкие, имеют желто-зеленый или зеленый цвет и неприятный запах; если слизистая оболочка повреждена острыми краями объекта, они могут содержать примеси крови. Голос становится носовым, нарушается носовое дыхание, обоняние на пораженной стороне уменьшается. Существует боль или тяжесть в проекции верхнечелюстной пазухи, особенно при пальпации и наклоне головы вперед. Пациент может испытывать неприятный запах из носа.
Ассоциированные симптомы: Заложенность носа. Кашель. Рвота.
В некоторых случаях образуется острый гнойный синусит. Общее состояние значительно ухудшается - возникает слабость, нарушается аппетит и сон, температура поднимается до 38-39 градусов. Выделения густые, вязкие, имеют желто-зеленый или зеленый цвет и неприятный запах; если слизистая оболочка повреждена острыми краями объекта, они могут содержать примеси крови. Голос становится носовым, нарушается носовое дыхание, обоняние на пораженной стороне уменьшается. Существует боль или тяжесть в проекции верхнечелюстной пазухи, особенно при пальпации и наклоне головы вперед. Пациент может испытывать неприятный запах из носа.
Ассоциированные симптомы: Заложенность носа. Кашель. Рвота.
Возможные осложнения
Инородное тело верхнечелюстной пазухи с преждевременной диагностикой и лечением может осложняться грибковой инфекцией (аспергиллезом), полипозом и гипертрофическими изменениями слизистой оболочки, иногда вплоть до полного перекрытия просвета молочной железы. Аспергиллез особенно распространен при введении пломбировочного материала, содержащего оксид цинка и сульфат бария, которые ингибируют функцию мерцательного эпителия и являются питательной средой для грибов аспергилл. Также могут развиваться воспаление всех околоносовых пазух (пансинусит), орбитальная флегмона (с инфекцией верхней синусной стенки), остеомиелит верхней челюсти, риногенные внутричерепные патологии (менингит, тромбоз кавернозного синуса), сепсис и септический шок.
Диагностика
При постановке диагноза они основаны на жалобах пациента, на физикальном осмотре (характерна боль с давлением в области пазухи). Особенно важны данные анамнеза - упоминание о зубных процедурах или травмах. При наличии гнойных выделений проводится бактериальная инокуляция с определением чувствительности к антибиотикам. Решающими в диагностике инородных тел являются инструментальные методы:
• Радиационные исследования. При рентгенографии и компьютерной томографии околоносовых пазух обнаруживаются нарушение пневматизации, потемнение синусов, утолщение слизистой оболочки, уровень жидкости и наличие инородного тела. Для лучшей наглядности эти исследования проводятся с контрастом. В этом случае инородное тело выглядит как дефект наполнения пазухи. Экосинусоскопия (УЗИ околоносовых пазух) может обнаружить инородные тела, отрицательные для рентгеновских лучей.
• Эндоскопия ЛОР-органов. При прямой или эндоскопической риноскопии гиперемированная и отечная слизистая оболочка становится видимой, которая покрыта гнойными выделениями и корками. С помощью диагностической эндоскопии пазухи вы можете обнаружить признаки воспаления и непосредственно идентифицировать инородное тело.
Инородное тело в верхнечелюстной пазухе отличается от острого или хронического синусита, кист, полипозов, доброкачественных и злокачественных новообразований. Не исключено сочетание присутствия инородного тела в пазухе и одного из заболеваний, упомянутых выше. Отоларингологи, рентгенологи, эндоскописты и онкологи участвуют в дифференциальной диагностике.
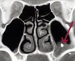
КТ пазух. В полости левого верхнечелюстного синуса плотное инородное тело (пломбировочный материал выходит из корня зуба).
• Радиационные исследования. При рентгенографии и компьютерной томографии околоносовых пазух обнаруживаются нарушение пневматизации, потемнение синусов, утолщение слизистой оболочки, уровень жидкости и наличие инородного тела. Для лучшей наглядности эти исследования проводятся с контрастом. В этом случае инородное тело выглядит как дефект наполнения пазухи. Экосинусоскопия (УЗИ околоносовых пазух) может обнаружить инородные тела, отрицательные для рентгеновских лучей.
• Эндоскопия ЛОР-органов. При прямой или эндоскопической риноскопии гиперемированная и отечная слизистая оболочка становится видимой, которая покрыта гнойными выделениями и корками. С помощью диагностической эндоскопии пазухи вы можете обнаружить признаки воспаления и непосредственно идентифицировать инородное тело.
Инородное тело в верхнечелюстной пазухе отличается от острого или хронического синусита, кист, полипозов, доброкачественных и злокачественных новообразований. Не исключено сочетание присутствия инородного тела в пазухе и одного из заболеваний, упомянутых выше. Отоларингологи, рентгенологи, эндоскописты и онкологи участвуют в дифференциальной диагностике.
КТ пазух. В полости левого верхнечелюстного синуса плотное инородное тело (пломбировочный материал выходит из корня зуба).
Лечение
Основным лечением является хирургическое удаление инородного тела из околоносовых пазух. В зависимости от размера объекта, оборудования клиники и квалификации врача применяются разные хирургические методы. После удаления инородного тела пазуху промывают. При бактериальной инфекции назначаются антибактериальные препараты. Эффективны антибиотики типа пенициллина - амоксициллин, амоксициллин / клавулановая кислота. Для уменьшения отека слизистой оболочки применяются вазоконстрикторы (противоотечные) - оксиметазолин, ксилометазолин. Методы хирургического удаления инородного тела делятся на две группы:
Синусотомия Колдуэлла-Люка проводится под местной или общей анестезией. Во время этой операции десна рассекается по верхнечелюстной пазухе, трепанация косой стенки, прикус и удаление костной пластинки. Затем инородное тело удаляется, а слизистая оболочка очищается. Искусственное отверстие (анастомоз) создается между пазухой и полостью носа. Однако этот метод имеет высокую частоту осложнений в виде нарушения чувствительности верхней губы и рецидива синусита.
Это более мягкие методы с использованием эндоскопических инструментов. Они выполняются под местной анестезией. При микрогиротомии разрез и отверстие для трепанации маленькие (около 8 миллиметров). При верхнечелюстной синусотомии троакара делается не разрез, а одновременная пункция слизистой оболочки и кости, из-за которой края раны полностью закрыты, что препятствует попаданию крови в пазухи через рану. Небольшой размер хирургической раны позволяет быстрее заживлять и снизить частоту осложнений. Эндоназальная синусотомия является наименее инвазивной и наиболее травматичной, при которой пункция или трепанация стенки пазухи не выполняются, а инструменты вводятся через естественную связь пазухи и полости носа.
Синусотомия Колдуэлла-Люка проводится под местной или общей анестезией. Во время этой операции десна рассекается по верхнечелюстной пазухе, трепанация косой стенки, прикус и удаление костной пластинки. Затем инородное тело удаляется, а слизистая оболочка очищается. Искусственное отверстие (анастомоз) создается между пазухой и полостью носа. Однако этот метод имеет высокую частоту осложнений в виде нарушения чувствительности верхней губы и рецидива синусита.
Это более мягкие методы с использованием эндоскопических инструментов. Они выполняются под местной анестезией. При микрогиротомии разрез и отверстие для трепанации маленькие (около 8 миллиметров). При верхнечелюстной синусотомии троакара делается не разрез, а одновременная пункция слизистой оболочки и кости, из-за которой края раны полностью закрыты, что препятствует попаданию крови в пазухи через рану. Небольшой размер хирургической раны позволяет быстрее заживлять и снизить частоту осложнений. Эндоназальная синусотомия является наименее инвазивной и наиболее травматичной, при которой пункция или трепанация стенки пазухи не выполняются, а инструменты вводятся через естественную связь пазухи и полости носа.
|
|
Список литературы
1. Инородные тела верхнечелюстных пазух по данным ЛОР-клиники Клинической Больницы СГМУ им. С.Р. Миротворцева/ Мареев Г.О., Ермаков И.Ю., Бебко В. 2017.
2. Анализ хирургических методик лечения одонтогенных верхнечелюстных синуситов, вызванных попаданием в пазуху инородных тел/ Мареев О.В., Лепилин А.В ., Коваленко И.П., Мареев Г.О. Современные проблемы науки и образования. 2012 - № 5.
3. Одонтогенные верхнечелюстные синуситы, вызванные введением в пазуху пломбировочного материала: Автореферат диссертации/ Коваленко И.П. 2013.
4. Хирургическое лечение одонтогенных синуситов верхнечелюстных пазух/ Пархимович Н.П. Ленькова И.И. Ермаркевич А.А. Современная стоматология. 2016.
2. Анализ хирургических методик лечения одонтогенных верхнечелюстных синуситов, вызванных попаданием в пазуху инородных тел/ Мареев О.В., Лепилин А.В ., Коваленко И.П., Мареев Г.О. Современные проблемы науки и образования. 2012 - № 5.
3. Одонтогенные верхнечелюстные синуситы, вызванные введением в пазуху пломбировочного материала: Автореферат диссертации/ Коваленко И.П. 2013.
4. Хирургическое лечение одонтогенных синуситов верхнечелюстных пазух/ Пархимович Н.П. Ленькова И.И. Ермаркевич А.А. Современная стоматология. 2016.