Другие названия и синонимы
Diffuse axonal brain damage.
МКБ-10 коды
|
|
Описание
Диффузное повреждение аксонов головного мозга - это вариант тяжелой черепно-мозговой травмы, основным субстратом которой являются диффузные разрывы или разрывы аксонов. Клинически с первых минут травмы возникает кома с симптомами поражения ствола, которое может перейти в вегетативное состояние. Диагноз по травматическому анамнезу, клиническим признакам и томографическим данным. Лечение комы состоит из искусственной вентиляции легких и интенсивной терапии; после выхода из комы используются сосудистые, ноотропные, метаболические препараты, лечебная физкультура, психостимуляция, коррекция логопедии.
Дополнительные факты
Диффузное повреждение аксонов головного мозга как отдельный тип тяжелой травмы головы впервые было описано в 1956 году, термин был предложен в 1982 году. Диффузное повреждение аксонов (DAP) характеризуется длительной комой, возникшей после травмы головы , Его морфологический субстрат состоит из разрывов аксонов и небольших очаговых кровоизлияний, вызванных травмой, широко распространенной вдоль структур головного мозга. Наиболее типичными областями повреждения являются ствол мозга, белое вещество полушарий, мозолистое тело и перивентрикулярные области. DAP распространен в основном среди молодежи и детей. В детстве это сопровождается более серьезными неврологическими расстройствами и более глубокой комой.
Некоторые авторы предлагают разделение DAP под действием силы тяжести. Легкая степень соответствует длительности комы 6-24 часа, умеренная кома длится более суток, но без грубых проявлений стебля. Тяжелое диффузное повреждение аксонов характеризуется длительной комой с симптомами декортикации и децеребрации. В любом случае DAP является серьезным состоянием с высоким риском перехода в вегетативное состояние и смерти. В связи с этим его эффективное лечение остается актуальной проблемой в практической травматологии и неврологии.
Некоторые авторы предлагают разделение DAP под действием силы тяжести. Легкая степень соответствует длительности комы 6-24 часа, умеренная кома длится более суток, но без грубых проявлений стебля. Тяжелое диффузное повреждение аксонов характеризуется длительной комой с симптомами декортикации и децеребрации. В любом случае DAP является серьезным состоянием с высоким риском перехода в вегетативное состояние и смерти. В связи с этим его эффективное лечение остается актуальной проблемой в практической травматологии и неврологии.
Причины
DAP возникает из-за травм, вызванных угловым ускорением головы. В этом случае не может быть прямого контакта головки с твердым телом. Поэтому у многих пациентов с DAP нет переломов черепа или других повреждений зрения. Наблюдения показали, что ускорение в сагиттальной плоскости главным образом вызывает повреждение кровеносных сосудов с образованием кровоизлияний в веществе мозга, а ускорения в наклонной и боковой плоскостях вызывают повреждение аксонов.
Причинами DAP являются в основном автомобильные травмы, падения с высоты (кататравма) и баротравма. Именно с такими травмами происходит угловое ускорение головы. В этом случае более подвижные полушария головного мозга вращаются, а более установленные участки ствола скручиваются. Кроме того, возможно относительное смещение отдельных слоев или частей мозга. Даже небольшое смещение структур мозга может привести к частичному или полному разрыву аксонов, а также мелких сосудов.
Морфологически для DAP характерны 3 признака: поражение мозолистого тела, поражение ствола головного мозга и диффузные разрывы аксонов. Первые 2 признака являются макроскопическими и вначале они похожи на обычные кровоизлияния (гематомы) размером до 5 Иногда они выглядят как разрыв ткани, края которой пропитаны кровью. Через несколько дней после ЧМТ поражения превращаются в участки, пигментированные в цвет ржавчины, а затем на их месте образуются рубцы. Очаги повреждения мозолистого тела могут разрешаться с образованием мелких кист.
Идентификация повреждений аксонов возможна только с помощью специальных микроскопических исследований мозговой ткани (иммуногистохимическим методом и пропиткой серебром), которые позволяют визуализировать множество аксональных сфер, расположенных в местах разрыва нервного волокна. Другие изменения характеризуются реакцией макрофагов с появлением реактивных микроглиоцитов и астроцитов. Отсутствие сегментированных элементов четко отличает картину DAP от изменений, которые происходят при повреждении головного мозга. Через 2-3 недели наблюдается фрагментация и демиелинизация поврежденных аксонов. Кроме того, процесс демиелинизации имеет тенденцию распространяться по путям, и чем дольше длится кома и вегетативное состояние, тем чаще оно происходит.
Причинами DAP являются в основном автомобильные травмы, падения с высоты (кататравма) и баротравма. Именно с такими травмами происходит угловое ускорение головы. В этом случае более подвижные полушария головного мозга вращаются, а более установленные участки ствола скручиваются. Кроме того, возможно относительное смещение отдельных слоев или частей мозга. Даже небольшое смещение структур мозга может привести к частичному или полному разрыву аксонов, а также мелких сосудов.
Морфологически для DAP характерны 3 признака: поражение мозолистого тела, поражение ствола головного мозга и диффузные разрывы аксонов. Первые 2 признака являются макроскопическими и вначале они похожи на обычные кровоизлияния (гематомы) размером до 5 Иногда они выглядят как разрыв ткани, края которой пропитаны кровью. Через несколько дней после ЧМТ поражения превращаются в участки, пигментированные в цвет ржавчины, а затем на их месте образуются рубцы. Очаги повреждения мозолистого тела могут разрешаться с образованием мелких кист.
Идентификация повреждений аксонов возможна только с помощью специальных микроскопических исследований мозговой ткани (иммуногистохимическим методом и пропиткой серебром), которые позволяют визуализировать множество аксональных сфер, расположенных в местах разрыва нервного волокна. Другие изменения характеризуются реакцией макрофагов с появлением реактивных микроглиоцитов и астроцитов. Отсутствие сегментированных элементов четко отличает картину DAP от изменений, которые происходят при повреждении головного мозга. Через 2-3 недели наблюдается фрагментация и демиелинизация поврежденных аксонов. Кроме того, процесс демиелинизации имеет тенденцию распространяться по путям, и чем дольше длится кома и вегетативное состояние, тем чаще оно происходит.
Клиническая картина
Симптомы диффузного аксонального повреждения.
Отличительной особенностью DAP по сравнению с клиническими признаками других травм головы является длительная умеренная или глубокая кома, возникающая сразу после травмы. У взрослых доля умеренной до глубокой комы составляет от 63% до 37%, у детей - от 43% до 57%. Средняя продолжительность комы варьируется от 3 до 13 дней.Типичные комы в PAD - диффузные посттонические реакции, вызванные различными стимулами, периодическое моторное возбуждение в контексте адинамии Симптомы ствола характерны: уменьшение или полная потеря фотореакции и роговичных рефлексов, анизокория, различное горизонтальное положение зрачков, ритм дыхания и нарушение дыхания. Кроме того, неврологический статус обычно выявляет вариабельный спонтанный нистагм, ригидность затылочных мышц и симптомы Кернига, вегетативные симптомы (гипергидроз, гипертония, гиперсаливация ).
Нарушения движения обычно представлены грубым пирамидальным экстрапирамидным тетрасиндромом. У большинства жертв руки с опущенными руками подносятся к телу и сгибаются в локтях (так называемые «лапы кенгуру»). Сухожильные рефлексы сначала повышаются, затем уменьшаются или полностью выпадают. Часто встречаются патологические стоп-сигналы. Нарушения тонуса мышц варьируют от генерализованной гипотонии до горметонии, имеют тенденцию к изменению, часто носят асимметричный или диссоциативный характер.
Диагностика
В пользу DAP, механизм травмы головы, полученный с угловым ускорением головы, наступление комы сразу после травмы и характеристики ее клиники свидетельствуют. Отличительной особенностью является отсутствие застойных изменений диска зрительного нерва при офтальмоскопии у пациентов с ДАП даже в случае длительной комы. Однако неврологу и травматологу довольно сложно диагностировать ДАП.
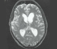
Диагноз «Диффузное повреждение аксонов» может быть надежно диагностирован по наличию патогномоничных макроскопических признаков при МРТ или КТ головного мозга. На КТ и МРТ головного мозга в остром периоде определяется отек мозга с уменьшением желудочков и субарахноидальных пространств; часто над лобными долями визуализируется накопление жидкости. Более сложным является диагноз ДАП легкой и средней степени тяжести, при котором макроскопические признаки обычно отсутствуют, отек мозга и кровоизлияние слабо выражены, а в некоторых случаях томографическая картина существенно не отличается от нормы. В такой ситуации они опираются на типичную томографическую динамику - регресс кровоизлияния и отек с тенденцией к расширению желудочков, последующей вентрикуломегалией и увеличением диффузной атрофии структур головного мозга.
Диагноз «Диффузное повреждение аксонов» может быть надежно диагностирован по наличию патогномоничных макроскопических признаков при МРТ или КТ головного мозга. На КТ и МРТ головного мозга в остром периоде определяется отек мозга с уменьшением желудочков и субарахноидальных пространств; часто над лобными долями визуализируется накопление жидкости. Более сложным является диагноз ДАП легкой и средней степени тяжести, при котором макроскопические признаки обычно отсутствуют, отек мозга и кровоизлияние слабо выражены, а в некоторых случаях томографическая картина существенно не отличается от нормы. В такой ситуации они опираются на типичную томографическую динамику - регресс кровоизлияния и отек с тенденцией к расширению желудочков, последующей вентрикуломегалией и увеличением диффузной атрофии структур головного мозга.
Лечение
Необходимы длительная искусственная вентиляция легких, парентеральное питание и интенсивная терапия для поддержания гомеостаза и основных систем организма, ослабления отека мозга и предотвращения инфекционных осложнений у пациентов с ДАП в коме. В случае сильного двигательного возбуждения иногда необходимо прибегнуть к терапевтическому применению анестезии. После выхода из комы целесообразно начать психостимулотерапию как можно раньше для быстрого регресса психоэмоциональных расстройств, лечебной физкультуры для восстановления двигательной активности и предотвращения суставных контрактур, коррекции логопедической коррекции нарушений речи. Для улучшения функционирования центральной нервной системы назначаются ноотропные препараты (ницерголин, пирацетам, кортин, гамма-аминомасляная кислота) и сосудистые препараты (винпоцетин, циннаризин). При наличии показаний в схему лечения включаются антихолинэстеразные агенты (неостигмин, галантамин) и нейротрансмиттеры (левадоп, пиридедил).
Хирургическое лечение не указано. Он используется только в случае одновременных внутричерепных повреждений (субдуральные или внутримозговые гематомы, ушибы, депрессивные переломы черепа ), Которые опасны для развития компрессии головного мозга.
Хирургическое лечение не указано. Он используется только в случае одновременных внутричерепных повреждений (субдуральные или внутримозговые гематомы, ушибы, депрессивные переломы черепа ), Которые опасны для развития компрессии головного мозга.
|
|
Прогноз
Результат DAP зависит от его серьезности. Недавно было высказано предположение, что регенерация аксонов возможна у детей и молодых жертв, что частично поддерживается частичным восстановлением неврологических и психических функций у тех, кто перенес DAP. Однако, чем тяжелее кома и чем тяжелее неврологические симптомы, которые она сопровождает, тем выше вероятность тяжелой инвалидности, если жертва выживет. Диффузное повреждение аксонов с комой, продолжительностью не более 7 дней, заканчивается хорошим заживлением или умеренной инвалидностью. ДАП с комой более 8 дней, как правило, приводит к тяжелой инвалидности или переходу в вегетативное состояние.
Остальные остаточные явления после передачи DAP - это парез и паралич, мнестические расстройства, психические расстройства, расстройства речи, синдром Бульбара, экстрапирамидные расстройства. Экстрапирамидные симптомы преобладают у пациентов, которые развиваются из вегетативного состояния: вторичный паркинсонизм и умеренный гиперкинез, сопровождающийся тяжелыми психологическими расстройствами (деменция, расстройства настроения, амнестическая спутанность сознания и спонтанность). Постоянное вегетативное состояние приводит к смерти из-за истощения нейротрансмиттерных реакций и появления соматических осложнений.
Остальные остаточные явления после передачи DAP - это парез и паралич, мнестические расстройства, психические расстройства, расстройства речи, синдром Бульбара, экстрапирамидные расстройства. Экстрапирамидные симптомы преобладают у пациентов, которые развиваются из вегетативного состояния: вторичный паркинсонизм и умеренный гиперкинез, сопровождающийся тяжелыми психологическими расстройствами (деменция, расстройства настроения, амнестическая спутанность сознания и спонтанность). Постоянное вегетативное состояние приводит к смерти из-за истощения нейротрансмиттерных реакций и появления соматических осложнений.