Другие названия и синонимы
Meningioma.
МКБ-10 коды
|
|
Описание
В большинстве случаев менингиома является доброкачественной опухолью, которая развивается из арахнендотелиальных клеток (твердой мозговой оболочки или реже из сплетений кровеносных сосудов). Симптомами новообразования являются головные боли, нарушение сознания, памяти; мышечная слабость; эпилептические припадки; нарушение работы анализаторов (слуховое, зрительное, обонятельное). Диагноз ставится на основании неврологического обследования, магнитно-резонансной или компьютерной томографии головного мозга, ПЭТ. Хирургическое лечение менингиомы, включающее лучевую или стереотаксическую радиохирургию.
Дополнительные факты
Менингиома - это опухоль, чаще всего доброкачественной природы, которая растет из арахноэндотелия менингов. Как правило, опухоль располагается на поверхности мозга (реже на выпуклой поверхности или на основании черепа, редко в желудочках или костной ткани). Как и многие другие доброкачественные опухоли, менингиомы характеризуются медленным ростом. Очень часто это не дает о себе знать, пока не произойдет значительное увеличение новообразования; иногда это случайное открытие в компьютерной томографии или магнитно-резонансной томографии.
В клинической неврологии частота появления менингиомы занимает второе место после глиом. В целом, менингиомы составляют около 20-25% всех случаев рака центральной нервной системы. Менингиомы встречаются в основном у людей в возрасте от 35 до 70 лет; чаще всего наблюдается у женщин. У детей они встречаются довольно редко и составляют около 1,5% всех злокачественных новообразований центральной нервной системы у детей. 8-10% опухолей арахноидальных мозговых оболочек - атипичные и злокачественные менингиомы.
В клинической неврологии частота появления менингиомы занимает второе место после глиом. В целом, менингиомы составляют около 20-25% всех случаев рака центральной нервной системы. Менингиомы встречаются в основном у людей в возрасте от 35 до 70 лет; чаще всего наблюдается у женщин. У детей они встречаются довольно редко и составляют около 1,5% всех злокачественных новообразований центральной нервной системы у детей. 8-10% опухолей арахноидальных мозговых оболочек - атипичные и злокачественные менингиомы.
Причины
Генетический дефект был идентифицирован на 22 хромосоме, ответственной за развитие опухоли. Он расположен недалеко от гена нейрофиброматоза (NF2), поэтому они связаны с повышенным риском развития менингиомы у пациентов с NF2. Наблюдается связь между развитием опухоли и гормональным анамнезом у женщин, что вызывает высокую частоту возникновения менингиомы у женщин. Выявлена регулярная связь между развитием рака молочной железы и менингеальной опухолью. Кроме того, менингиома имеет тенденцию увеличиваться в размерах во время беременности.
Факторами, провоцирующими развитие опухоли, также могут быть: черепно-мозговая травма, облучение (любое ионизирующее излучение, рентген), все виды отравлений. Тип роста опухоли является более широким, то есть менингиома растет как единый узел, толкая окружающие ткани. Рост многоцентровых опухолей из двух или более очагов также возможен.
Макроскопически менингиома представляет собой округлое новообразование (или, реже, подкову), которое чаще всего сливается с твердой мозговой оболочкой. Размер опухоли может составлять от нескольких миллиметров до 15 см и более. Опухоль плотной консистенции обычно имеет капсулу. Цвет среза может варьироваться от оттенков серого до желтого с серым. Формирование кистозных новообразований не характерно.
Факторами, провоцирующими развитие опухоли, также могут быть: черепно-мозговая травма, облучение (любое ионизирующее излучение, рентген), все виды отравлений. Тип роста опухоли является более широким, то есть менингиома растет как единый узел, толкая окружающие ткани. Рост многоцентровых опухолей из двух или более очагов также возможен.
Макроскопически менингиома представляет собой округлое новообразование (или, реже, подкову), которое чаще всего сливается с твердой мозговой оболочкой. Размер опухоли может составлять от нескольких миллиметров до 15 см и более. Опухоль плотной консистенции обычно имеет капсулу. Цвет среза может варьироваться от оттенков серого до желтого с серым. Формирование кистозных новообразований не характерно.
Классификация
В зависимости от степени злокачественности выделяют три основных типа менингиом. Первый из них включает типичные опухоли, которые делятся на 9 гистологических вариантов. Более половины из них представлены менинготелиальными опухолями; около четверти составляют менингиомы смешанного типа и чуть более 10% фиброзных новообразований; другие гистологические формы крайне редки.
Атипичные опухоли с высокой митотической активностью следует отнести ко второй степени злокачественности. Такие опухоли могут расти инвазивно и превращаться в вещество мозга. Атипичные формы имеют тенденцию повторяться. И, наконец, наиболее злокачественные или анапластические менингиомы (менингосаркомы) относятся к третьему типу. Они отличаются не только способностью проникать в вещество мозга, но и способностью метастазировать в отдаленные органы и часто появляться снова.
Атипичные опухоли с высокой митотической активностью следует отнести ко второй степени злокачественности. Такие опухоли могут расти инвазивно и превращаться в вещество мозга. Атипичные формы имеют тенденцию повторяться. И, наконец, наиболее злокачественные или анапластические менингиомы (менингосаркомы) относятся к третьему типу. Они отличаются не только способностью проникать в вещество мозга, но и способностью метастазировать в отдаленные органы и часто появляться снова.
Клиническая картина
Заболевание может протекать бессимптомно и не влиять на общее состояние пациента, вплоть до приобретения опухоли большого размера. Симптомы менингиомы зависят от анатомической области мозга, к которой она прикреплена (область полушарий головного мозга, пирамиды височной кости, парасагиттальный синус, тенториум, угол церебеллопонтина ). Общие церебральные клинические проявления опухоли могут быть: головная боль; тошнота, рвота, эпилептические припадки; нарушение сознания; мышечная слабость, нарушение координации; ухудшение зрения; проблемы со слухом и запахом.
Очаговые симптомы зависят от расположения менингиомы. Когда опухоль располагается на поверхности полушарий, может возникнуть судорожный синдром. В некоторых случаях при такой локализации менингиомы наблюдается ощутимый гиперостоз костей черепа.
При поражении парасагиттальной пазухи лобной доли возникают нарушения, связанные с умственной деятельностью и памятью. Если поражена его средняя часть, то в противоположном очаге опухоли нижней конечности возникают мышечная слабость, судороги и онемение. Продолжение роста опухоли приводит к гемипарезу. Для менингиом основания лобной доли характерны нарушения обоняния - гипо- и аносмия.
При развитии опухоли в задней черепной ямке могут возникнуть проблемы со слуховым восприятием (потеря слуха), нарушение координации движений и походки. Находясь в районе турецкого седла, нарушения со стороны зрительного анализатора происходят вплоть до полной потери зрительного восприятия.
Ассоциированные симптомы: Боль в шейном отделе позвоночника. Боль во всей голове. Гемипарез. Гемипаретическая походка. Обонятельные галлюцинации. Обострение обоняния. Потеря обоняния. Рвота. Судороги. Судороги в ногах. Тетрапарез. Тошнота. Тремор при движении.
Очаговые симптомы зависят от расположения менингиомы. Когда опухоль располагается на поверхности полушарий, может возникнуть судорожный синдром. В некоторых случаях при такой локализации менингиомы наблюдается ощутимый гиперостоз костей черепа.
При поражении парасагиттальной пазухи лобной доли возникают нарушения, связанные с умственной деятельностью и памятью. Если поражена его средняя часть, то в противоположном очаге опухоли нижней конечности возникают мышечная слабость, судороги и онемение. Продолжение роста опухоли приводит к гемипарезу. Для менингиом основания лобной доли характерны нарушения обоняния - гипо- и аносмия.
При развитии опухоли в задней черепной ямке могут возникнуть проблемы со слуховым восприятием (потеря слуха), нарушение координации движений и походки. Находясь в районе турецкого седла, нарушения со стороны зрительного анализатора происходят вплоть до полной потери зрительного восприятия.
Ассоциированные симптомы: Боль в шейном отделе позвоночника. Боль во всей голове. Гемипарез. Гемипаретическая походка. Обонятельные галлюцинации. Обострение обоняния. Потеря обоняния. Рвота. Судороги. Судороги в ногах. Тетрапарез. Тошнота. Тремор при движении.
Диагностика
Диагностика опухоли представляет собой трудную задачу из-за того, что в течение многих лет менингиома может не проявляться клинически из-за ее медленного роста. Часто возрастные признаки старения приписывают пациентам с неспецифическими проявлениями, поэтому неправильный диагноз дисциркуляторной энцефалопатии у пациентов с менингиомой не является редкостью.
Когда появляются первые клинические симптомы, назначают полное неврологическое обследование и офтальмологическое обследование, во время которого офтальмолог проверяет остроту зрения, определяет размер полей зрения и выполняет офтальмоскопию. Нарушение слуха является показанием для консультации отоларинголога с пороговой аудиометрией и отоскопией.
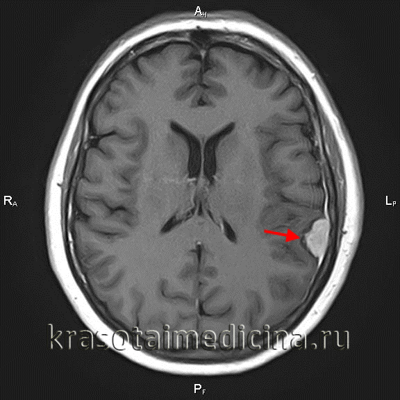
Назначение томографических методов исследования является обязательным при диагностике менингиом. МРТ головного мозга позволяет определить наличие объемного образования. Сплоченность опухоли с твердой мозговой оболочкой помогает визуализировать состояние окружающей ткани. Сигнал МРТ в режиме Т1 напоминает сигнал от мозга, в режиме Т2 обнаруживается гиперинтенсивный сигнал и отек мозга. МРТ можно использовать во время операции для мониторинга удаления всех опухолей и получения материала для гистологического исследования. МР-спектроскопия используется для определения химического профиля опухоли.
КТ мозга может обнаружить опухоль, но в основном используется для определения вовлечения костной ткани и кальцификации опухоли. Позитронно-эмиссионная томография (ПЭТ-сканирование головного мозга) используется для определения рецидива менингиомы. Окончательный диагноз ставится неврологом или нейрохирургом на основании результатов гистологического исследования биопсии, которая определяет морфологический тип опухоли.
Когда появляются первые клинические симптомы, назначают полное неврологическое обследование и офтальмологическое обследование, во время которого офтальмолог проверяет остроту зрения, определяет размер полей зрения и выполняет офтальмоскопию. Нарушение слуха является показанием для консультации отоларинголога с пороговой аудиометрией и отоскопией.
Назначение томографических методов исследования является обязательным при диагностике менингиом. МРТ головного мозга позволяет определить наличие объемного образования. Сплоченность опухоли с твердой мозговой оболочкой помогает визуализировать состояние окружающей ткани. Сигнал МРТ в режиме Т1 напоминает сигнал от мозга, в режиме Т2 обнаруживается гиперинтенсивный сигнал и отек мозга. МРТ можно использовать во время операции для мониторинга удаления всех опухолей и получения материала для гистологического исследования. МР-спектроскопия используется для определения химического профиля опухоли.
КТ мозга может обнаружить опухоль, но в основном используется для определения вовлечения костной ткани и кальцификации опухоли. Позитронно-эмиссионная томография (ПЭТ-сканирование головного мозга) используется для определения рецидива менингиомы. Окончательный диагноз ставится неврологом или нейрохирургом на основании результатов гистологического исследования биопсии, которая определяет морфологический тип опухоли.
|
|
Прогноз
Прогноз типичной менингиомы при своевременном выявлении и хирургическом удалении достаточно благоприятный. У таких пациентов 5-летняя выживаемость составляет 70-90%. Остальные типы менингиом склонны к рецидивам, и даже после надлежащего удаления опухоли это может привести к смерти. Пятилетняя выживаемость пациентов с атипичными и злокачественными менингиомами составляет около 30%. Неблагоприятный прогноз также наблюдается при множественных менингиомах, которые составляют около 2% всех случаев развития этой опухоли.
На прогноз также влияют сопутствующие заболевания (сахарный диабет, атеросклероз, ишемическая болезнь сердца - ишемические поражения коронарных артерий ), Возраст пациента (чем моложе пациент, тем лучше прогноз); показатели опухоли: положение, размер, кровоснабжение, поражение близлежащих структур мозга, наличие предыдущих операций на мозге или данные о лучевой терапии в прошлом.
На прогноз также влияют сопутствующие заболевания (сахарный диабет, атеросклероз, ишемическая болезнь сердца - ишемические поражения коронарных артерий ), Возраст пациента (чем моложе пациент, тем лучше прогноз); показатели опухоли: положение, размер, кровоснабжение, поражение близлежащих структур мозга, наличие предыдущих операций на мозге или данные о лучевой терапии в прошлом.
Лечение
Лечение менингиомы.
Доброкачественные или типичные формы менингиомы удаляются хирургическим путем. С этой целью череп вскрывают и выполняют полное или частичное удаление менингиомы, ее капсулы, волокон, пораженной костной ткани и прилегающей твердой мозговой оболочки, прилегающей к опухоли. Возможна одновременная пластичность дефекта, образованного собственными тканями или искусственными трансплантатами.При атипичных или злокачественных опухолях с инфильтративным ростом не всегда возможно полностью удалить опухоль. В таких ситуациях основная часть новообразования удаляется, а остальная часть наблюдается динамически с использованием неврологических исследований и данных МРТ. Наблюдение также указано для симптоматических пациентов; у пожилых пациентов с медленным ростом опухолевой ткани. В случаях, когда хирургическое лечение угрожает осложнить или неосуществимо, принимая во внимание анатомическое расположение менингиомы.
При атипичном и злокачественном типе менингиомы применяется лучевая терапия или ее улучшенная форма - стереотаксическая радиохирургия. Последний представлен в виде гамма-ножа, системы Novalis, кибернетического ножа. Методы радиохирургического воздействия могут устранить опухолевые клетки головного мозга, уменьшить размер опухоли, а ткани и структуры, окружающие опухоль, не пострадают. Радиохирургические методы не требуют анестезии, не вызывают боли и не имеют послеоперационного периода. Пациент обычно может немедленно пойти домой. Подобные методы не используются для впечатляющих мозговых оболочек. Химиотерапия не показана, потому что большинство опухолей дерматита являются доброкачественными, но клинические испытания продолжаются.
Консервативное фармакологическое лечение направлено на уменьшение отека мозга и имеющегося воспаления (если оно есть). Для этого назначают глюкокортикоиды. Симптоматическое лечение включает назначение противосудорожных препаратов (при судорогах); при повышенном внутричерепном давлении возможны хирургические вмешательства для восстановления циркуляции спинномозговой жидкости.