Другие названия и синонимы
Dolichocolon.
МКБ-10 коды
|
|
Описание
Это ненормальное удлинение толстой кишки. Он проявляется в виде стойких длительных запоров, ощущения неполного опорожнения после дефекации, нелокальной боли в животе, метеоризма. Ирроскопия, колоноскопия, рентгенография брюшной полости, гистологический анализ биопсии и тесты AChE. Для терапии используются препараты, увеличивающие объем кишечного содержимого, осмотические и контактные слабительные, прокинетики, спазмолитики и противопенные вещества. Хирургическое лечение включает в себя выполнение частичной или субтотальной резекции толстой кишки, колэктомии или деформации.
Дополнительные факты
Долихоколон является наиболее распространенным пороком развития толстой кишки, встречающимся у более трети детей. Аномальное удлинение различных отделов толстой кишки диагностируется у половины пациентов, страдающих запорами в течение длительного времени. Поскольку хронические задержки стула обнаруживаются в развитых странах у 30-40% активного населения, распространенность клинически выраженных форм доликоколона, по-видимому, может достигать 15-20%. Учитывая наличие бессимптомных форм удлинения кишечника, этот показатель может быть еще выше. Некоторые трудности в диагностике состояния связаны с тем, что сегодня критерии нормального размера толстой кишки не определены четко.
Причины
Традиционно долихоколон считается врожденным пороком развития толстой кишки. Вероятно, аномалия имеет скорее дизонтогенетическое, чем наследственное происхождение. Скорее всего, критическое влияние на эмбриогенез происходит в 8, 13, 16 и 20-й неделях внутриутробного периода, когда развивающаяся толстая кишка наиболее чувствительна к тератогенным воздействиям. Возможные повреждающие факторы:
• Инфекционные заболевания. Нормальное развитие толстой кишки может быть нарушено патогенными микроорганизмами, которые попадают в организм плода через мать. Токсоплазмы, бледные трепонемы, возбудители краснухи, герпетические инфекции и цитомегаловирусы оказывают наибольшее тератогенное действие.
• Токсичные вещества. Дизонтогенез органов пищеварения чаще наблюдается у детей, рожденных от матерей, которые курили, употребляли алкоголь и наркотики во время беременности. Образование долихоколона также может происходить под воздействием промышленных ядов - солей лития, свинца и ртути.
• Ионизирующее излучение. Возможно получить тератогенную дозу облучения в случае нарушения правил безопасности на ядерных установках и в радиологических исследовательских лабораториях. В отдельных случаях критическое облучение дается беременным женщинам в отделениях лучевой терапии.
Несколько авторов допускают возможность приобретения форм долихоколона. По мнению некоторых специалистов в области современной проктологии, растяжение отдельных частей или всей толстой кишки наблюдается у пациентов, которые ведут малоподвижный образ жизни, ведут вегетарианские или веганские, злоупотребляют клизмами. В качестве предпосылок для заболевания рассматриваются дисбактериоз, дискинезия желчевыводящих путей и варикозное расширение вен кишечника.
• Инфекционные заболевания. Нормальное развитие толстой кишки может быть нарушено патогенными микроорганизмами, которые попадают в организм плода через мать. Токсоплазмы, бледные трепонемы, возбудители краснухи, герпетические инфекции и цитомегаловирусы оказывают наибольшее тератогенное действие.
• Токсичные вещества. Дизонтогенез органов пищеварения чаще наблюдается у детей, рожденных от матерей, которые курили, употребляли алкоголь и наркотики во время беременности. Образование долихоколона также может происходить под воздействием промышленных ядов - солей лития, свинца и ртути.
• Ионизирующее излучение. Возможно получить тератогенную дозу облучения в случае нарушения правил безопасности на ядерных установках и в радиологических исследовательских лабораториях. В отдельных случаях критическое облучение дается беременным женщинам в отделениях лучевой терапии.
Несколько авторов допускают возможность приобретения форм долихоколона. По мнению некоторых специалистов в области современной проктологии, растяжение отдельных частей или всей толстой кишки наблюдается у пациентов, которые ведут малоподвижный образ жизни, ведут вегетарианские или веганские, злоупотребляют клизмами. В качестве предпосылок для заболевания рассматриваются дисбактериоз, дискинезия желчевыводящих путей и варикозное расширение вен кишечника.
Патогенез
Механизм развития долихоколонов окончательно не установлен. Предположительно при врожденных формах аномалии влияние тератогенных факторов в чувствительные периоды формирования нижнего отдела желудочно-кишечного тракта приводит к разрастанию одной или нескольких частей кишечника. Поскольку структура мышечного слоя нормальная, кишечник не расширяется. Образование приобретенного долихоколона связано с переполнением толстой кишки фекалиями из-за ухудшения подвижности ее стенки, нарушения всасывания и большого количества клетчатки.
Классификация
Систематизация форм долихоколона учитывает анатомические и клинические критерии. В зависимости от пораженной части кишечника, такие как общий, промежуточный, левый, правый, долихотрансверсум и долихосигма различаются. При выборе оптимальной тактики ведения пациента учитывается клиническая форма заболевания:
• Бессимптомный долихоколон. Обнаружен случайно при плановом осмотре при другой патологии брюшной полости. Никакого специального лечения не требуется. Первичная профилактика запоров необходима.
• Долихоколон с транспортными расстройствами. Основной клинический вариант патологии. В большинстве случаев консервативное лечение слабительными и прокинетиками достаточно для устранения запоров.
• Сложный долихокон. Тяжелый вариант заболевания с инверсией, инвагинацией или туберкулезом. Срочная операция рекомендуется для выявления или резекции кишечника.
• Бессимптомный долихоколон. Обнаружен случайно при плановом осмотре при другой патологии брюшной полости. Никакого специального лечения не требуется. Первичная профилактика запоров необходима.
• Долихоколон с транспортными расстройствами. Основной клинический вариант патологии. В большинстве случаев консервативное лечение слабительными и прокинетиками достаточно для устранения запоров.
• Сложный долихокон. Тяжелый вариант заболевания с инверсией, инвагинацией или туберкулезом. Срочная операция рекомендуется для выявления или резекции кишечника.
Клиническая картина
В случае небольшого удлинения толстой кишки заболевание может протекать скрыто в течение длительного времени. Первым и основным признаком долихоколона является задержка стула более чем на 3 дня. Существует изменение внешнего вида стула. Пациентов может беспокоить чувство неполного движения кишечника или чувство обструкции в прямой кишке. В запущенных случаях пациенты используют несколько ручных методов, которые облегчают выведение фекалий.
Запор может сопровождаться болью без четкого расположения, отечностью и затрудненным выделением газов. При пальпации местная боль обнаруживается в пупке и в левой половине живота. Общее состояние пациентов не нарушено; при длительном течении заболевания могут возникнуть симптомы астении. Для сложного течения доликоколона характерны асимметрия передней брюшной стенки, недостаточное участие живота в дыхательных движениях, нарушения общих состояний и изменение характера местных симптомов.
Ассоциированные симптомы: Боль в кишечнике. Запор. Запор при беременности. Метеоризм.
Запор может сопровождаться болью без четкого расположения, отечностью и затрудненным выделением газов. При пальпации местная боль обнаруживается в пупке и в левой половине живота. Общее состояние пациентов не нарушено; при длительном течении заболевания могут возникнуть симптомы астении. Для сложного течения доликоколона характерны асимметрия передней брюшной стенки, недостаточное участие живота в дыхательных движениях, нарушения общих состояний и изменение характера местных симптомов.
Ассоциированные симптомы: Боль в кишечнике. Запор. Запор при беременности. Метеоризм.
Возможные осложнения
Чаще всего долихоколон приводит к обструктивной непроходимости кишечника из-за непроходимости переросшего кишечника с твердыми испражнениями. У пациентов наблюдаются сильные боли в животе, острый стул и задержка газа. При ранней диагностике этого осложнения возникает ишемия кишечной стенки. Пациенты также могут испытывать инвагинацию (вставка одной части кишечника в другую), которая сопровождается сильной болью до развития болевого шока.
Ужасным осложнением долихоколона является инверсия сигмы, которая характеризуется уровнем смертности до 15% даже при медицинской помощи. При некрозе кишечника уровень смертности может достигать 46%. При длительном течении заболевания у пациентов наблюдается нарушение процессов пищеварения и всасывания питательных веществ, что приводит к значительной потере массы тела. Также возможно определенное осложнение заболевания - потеря рефлекса движения стула, который требует длительного лечения.
Ужасным осложнением долихоколона является инверсия сигмы, которая характеризуется уровнем смертности до 15% даже при медицинской помощи. При некрозе кишечника уровень смертности может достигать 46%. При длительном течении заболевания у пациентов наблюдается нарушение процессов пищеварения и всасывания питательных веществ, что приводит к значительной потере массы тела. Также возможно определенное осложнение заболевания - потеря рефлекса движения стула, который требует длительного лечения.
Диагностика
Возможное присутствие долихоколона подчеркивается анамнестической информацией о хронических запорах, которая не объясняется другими функциональными или органическими патологиями. При обследовании пациента применяется комплексный подход с использованием лабораторно-инструментальных методов диагностики. Наиболее информативными для подтверждения диагноза долихоколона являются:
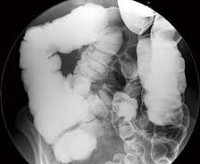
• Рентген толстой кишки. Ирроскопия после перорального введения бариевого контрастного вещества является «золотым» стандартом в диагностике доликоколона. Способ позволяет обнаружить удлиненную ободочную кишку, выявляет значительное замедление прохождения радиокосмических веществ через кишечник.
• Эндоскопическое обследование. Колоноскопия необходима для оценки длины и ширины различных отделов толстой кишки. Во время эндоскопии врач обращает внимание на тонус кишечной стенки, количество и степень выраженности хаустры. Иногда кровотечение из слизистого контакта определяется долихоколоном.
• Проверьте рентгенограмму брюшной полости. Сканирование брюшной полости выполняется для исключения осложнений доликоколона (признаки непроходимости кишечника, инверсии или инвагинации удлиненной кишки). При несложном курсе метод может быть недостаточно информативным.
• Биопсия кишечной стенки. Биопсия патологически измененной кишечной стенки с последующим гистологическим анализом используется для дифференциальной диагностики с врожденными пороками развития кишечной иннервации. В случае долихоколона структура стенки толстой кишки и подслизистых ганглиев не изменяется.
При отсутствии осложнений показатели общего и биохимического анализа крови без отклонений от нормы. Для исключения симптомов мальабсорбции назначается копрограмма. В качестве современного метода визуализации кишечника может быть использована виртуальная компьютерная колонография, которая позволяет определять размер кишечника, не заполняя его суспензией бария.
Дифференциальный диагноз доликоколон должен быть сначала сделан с болезнью Гиршпрунга. Основным диагностическим критерием является результат теста на активность фермента ацетилхолинэстеразы в области слизистой оболочки толстой кишки. При идиопатическом растяжении кишечника результат теста AChE отрицательный. Аноректальная манометрия и морфологический анализ образцов биопсии также принимаются во внимание. В дополнение к осмотру проктолога пациенту может потребоваться встреча с гастроэнтерологом.
• Рентген толстой кишки. Ирроскопия после перорального введения бариевого контрастного вещества является «золотым» стандартом в диагностике доликоколона. Способ позволяет обнаружить удлиненную ободочную кишку, выявляет значительное замедление прохождения радиокосмических веществ через кишечник.
• Эндоскопическое обследование. Колоноскопия необходима для оценки длины и ширины различных отделов толстой кишки. Во время эндоскопии врач обращает внимание на тонус кишечной стенки, количество и степень выраженности хаустры. Иногда кровотечение из слизистого контакта определяется долихоколоном.
• Проверьте рентгенограмму брюшной полости. Сканирование брюшной полости выполняется для исключения осложнений доликоколона (признаки непроходимости кишечника, инверсии или инвагинации удлиненной кишки). При несложном курсе метод может быть недостаточно информативным.
• Биопсия кишечной стенки. Биопсия патологически измененной кишечной стенки с последующим гистологическим анализом используется для дифференциальной диагностики с врожденными пороками развития кишечной иннервации. В случае долихоколона структура стенки толстой кишки и подслизистых ганглиев не изменяется.
При отсутствии осложнений показатели общего и биохимического анализа крови без отклонений от нормы. Для исключения симптомов мальабсорбции назначается копрограмма. В качестве современного метода визуализации кишечника может быть использована виртуальная компьютерная колонография, которая позволяет определять размер кишечника, не заполняя его суспензией бария.
Дифференциальный диагноз доликоколон должен быть сначала сделан с болезнью Гиршпрунга. Основным диагностическим критерием является результат теста на активность фермента ацетилхолинэстеразы в области слизистой оболочки толстой кишки. При идиопатическом растяжении кишечника результат теста AChE отрицательный. Аноректальная манометрия и морфологический анализ образцов биопсии также принимаются во внимание. В дополнение к осмотру проктолога пациенту может потребоваться встреча с гастроэнтерологом.
|
|
Лечение
Выбор лечебной тактики основан на клинической форме заболевания. Первичная профилактика запоров рекомендуется для пациентов с бессимптомным доликоколоном: регулярная физическая активность, сбалансированное питание и большое количество воды, которая отказывается подавлять позывы на дефекацию. В случае нарушения транзита стула указывается изменение образа жизни и питания, а также отмена препаратов, вызывающих запоры. Чтобы восстановить функцию эвакуации толстой кишки:
• Средства для увеличения объема фекалий. Благодаря активному связыванию жидкости растительными и микрокристаллическими препаратами, содержимое кишечника размягчается. Слизистые компоненты препаратов поглощают токсины, препятствуя их всасыванию. Увеличение объема мягкого стула активизирует моторику кишечника, что упрощает и ускоряет движение кишечника.
• Осмотические слабительные. С помощью солевых препаратов, неперевариваемых углеводов (пребиотиков) и производных полиэтиленгликоля можно повысить осмотическое давление в просвете кишечника, стимулировать процессы гидратации. После приема плазменной жидкости содержимое кишечника размягчается, что в сочетании с увеличением количества кала вызывает дефекацию.
Для увеличения подвижности толстой кишки используются фитопрепараты, серотонергические и миотропные регуляторы сократительной способности гладкомышечных волокон. Слабительный эффект прокинетических препаратов связан с нейрогуморальными эффектами. Усиление перистальтики кишечной стенки позволяет ускорить движение кала по вытянутой кишке.
При постоянных запорах оправдано добавление пищевых волокон, контактных слабительных средств в виде суппозиториев и клизм. Селективные спазмолитические, ненаркотические анальгетики показаны пациентам с выраженным болевым синдромом. Пеногасители используются для уменьшения отека. Фармакологическое лечение доликоколона сочетается с физиотерапевтическими методами: иглоукалыванием, лазеротерапией и электростимуляцией кишечника.
При терапевтически резистентных формах заболевания со значительным ухудшением качества жизни пациентам рекомендуются хирургические методы: субтотальная резекция толстой кишки, колэктомия с созданием илеоректального анастомоза. Хирургическое лечение сложных форм долихоколона проводится по принципам оперирования больных с ущемленной кишечной непроходимостью. При инверсии кишечника, поддерживающей жизнеспособность кишечной стенки, проводится эндоскопическое или лапаротомное нарушение, при постоянном нарушении кровоснабжения - резекция.
• Средства для увеличения объема фекалий. Благодаря активному связыванию жидкости растительными и микрокристаллическими препаратами, содержимое кишечника размягчается. Слизистые компоненты препаратов поглощают токсины, препятствуя их всасыванию. Увеличение объема мягкого стула активизирует моторику кишечника, что упрощает и ускоряет движение кишечника.
• Осмотические слабительные. С помощью солевых препаратов, неперевариваемых углеводов (пребиотиков) и производных полиэтиленгликоля можно повысить осмотическое давление в просвете кишечника, стимулировать процессы гидратации. После приема плазменной жидкости содержимое кишечника размягчается, что в сочетании с увеличением количества кала вызывает дефекацию.
Для увеличения подвижности толстой кишки используются фитопрепараты, серотонергические и миотропные регуляторы сократительной способности гладкомышечных волокон. Слабительный эффект прокинетических препаратов связан с нейрогуморальными эффектами. Усиление перистальтики кишечной стенки позволяет ускорить движение кала по вытянутой кишке.
При постоянных запорах оправдано добавление пищевых волокон, контактных слабительных средств в виде суппозиториев и клизм. Селективные спазмолитические, ненаркотические анальгетики показаны пациентам с выраженным болевым синдромом. Пеногасители используются для уменьшения отека. Фармакологическое лечение доликоколона сочетается с физиотерапевтическими методами: иглоукалыванием, лазеротерапией и электростимуляцией кишечника.
При терапевтически резистентных формах заболевания со значительным ухудшением качества жизни пациентам рекомендуются хирургические методы: субтотальная резекция толстой кишки, колэктомия с созданием илеоректального анастомоза. Хирургическое лечение сложных форм долихоколона проводится по принципам оперирования больных с ущемленной кишечной непроходимостью. При инверсии кишечника, поддерживающей жизнеспособность кишечной стенки, проводится эндоскопическое или лапаротомное нарушение, при постоянном нарушении кровоснабжения - резекция.
Список литературы
1. Клинические рекомендации. Колопроктология. Долихоколон / под ред. Ю. А. Шелыгина - 2015.
2. Этиопатогенез, классификация, клиника, диагностика и лечение хронического толстокишечного стаза, обусловленного аномалиями развития и фиксации ободочной кишки. Методические рекомендации / Иванов А.И. 1997.
3. Хирургическое лечение больных с хроническим колостазом на фоне долихоколон. Автореферат диссертации / Джавадов Э.А. 2011.
2. Этиопатогенез, классификация, клиника, диагностика и лечение хронического толстокишечного стаза, обусловленного аномалиями развития и фиксации ободочной кишки. Методические рекомендации / Иванов А.И. 1997.
3. Хирургическое лечение больных с хроническим колостазом на фоне долихоколон. Автореферат диссертации / Джавадов Э.А. 2011.