Другие названия и синонимы
Kaplan syndrome, Ревматоидный пневмокониоз, Силикоартрит, Синдром Каплана-Колине.
МКБ-10 коды
|
|
Описание
Это состояние, характеризуемое развитием первичного хронического артрита в условиях прогрессирующего пневмокониоза. Клиническая картина состоит из симптомов общей интоксикации, одышки, сухого кашля и травм суставов, подобных ревматоидному артриту (симметричная симметричная боль, утренняя скованность). Диагноз устанавливается на основании профессионального анамнеза, выявления высокого титра ревматоидного фактора в крови и радиологических изменений. Для лечения используется комплексный подход - прекращение контакта с промышленной пылью, бронхолитиками, противовоспалительными средствами.
Дополнительные факты
Синдром Каплана (синдром Каплана-Колина, силикоартрит, ревматоидный пневмокониоз) является осложнением профессионального заболевания легких - пневмокониозом. Болезнь впервые была описана в 1953 году английским врачом Э. Капланом, который обнаружил связь прогрессивного полиартрита с работой на угольных шахтах и возникновением пневмокониоза. Патология поражает в основном мужчин в возрасте от 40 до 55 лет. Согласно статистике, повреждение суставов происходит примерно в 0,1-0,6% случаев силикоза.
Причины
Возникновение синдрома Каплана обусловлено длительным воздействием на организм человека промышленной пыли, содержащей оксид кремния. Работники горнодобывающей, литейной, машиностроительной, металлообрабатывающей и керамической промышленности находятся в постоянном контакте с этим веществом. Люди в этих профессиях подвергаются повышенному риску силикоза. Точная причина возникновения артрита при пневмокониозе не установлена.
Патогенез
Механизм легочных расстройств при синдроме Каплана хорошо известен. Мелкие частицы пыли, проникающие в дыхательную систему вместе с воздухом, оседают на слизистой оболочке мелких бронхов и альвеол. Затем они фагоцитируются альвеолярными макрофагами. Диоксид кремния повреждает цитоплазму, вызывает дегенерацию митохондрий и увеличивает проницаемость мембран.
В результате неполного фагоцитоза накапливаются гипоксические соединения (альфа-кетоглутарат), которые стимулируют ферменты, участвующие в синтезе коллагена. Это приводит к пролиферации волокон коллагена в легких - фиброзу. При патологическом исследовании легочных фиброзных зон выявляются некротические коллагеновые фибриллы, окруженные фагоцитами и полиморфными ядерными лейкоцитами, эпителиальными клетками.
Патогенез артропатии основан на иммунологических нарушениях. Предполагается, что макрофаги, которые поглощают молекулы кремния, начинают секретировать различные цитокины и медиаторы воспаления: интерлейкин-1, интерлейкин-6 и фактор некроза опухолей. Это вызывает аутоиммунный ответ, в том числе продукцию ревматоидного фактора.
В результате неполного фагоцитоза накапливаются гипоксические соединения (альфа-кетоглутарат), которые стимулируют ферменты, участвующие в синтезе коллагена. Это приводит к пролиферации волокон коллагена в легких - фиброзу. При патологическом исследовании легочных фиброзных зон выявляются некротические коллагеновые фибриллы, окруженные фагоцитами и полиморфными ядерными лейкоцитами, эпителиальными клетками.
Патогенез артропатии основан на иммунологических нарушениях. Предполагается, что макрофаги, которые поглощают молекулы кремния, начинают секретировать различные цитокины и медиаторы воспаления: интерлейкин-1, интерлейкин-6 и фактор некроза опухолей. Это вызывает аутоиммунный ответ, в том числе продукцию ревматоидного фактора.
Клиническая картина
Заболевание характеризуется постепенным медленным проявлением. На начальном этапе часто наблюдается бессимптомное течение. Возможно небольшое затруднение дыхания при интенсивных физических нагрузках, умеренные колющие боли в груди без четкой локализации, периодический сухой непродуктивный кашель. С увеличением продолжительности воздействия частиц кремния на ткань легких симптоматика становится более выраженной.
Одышка беспокоит при небольшой физической нагрузке или даже в покое. Появляется постоянный изнурительный кашель. Боли в груди усиливаются. Удушающие атаки возможны. В дальнейшем образуется эмфизема легких, грудная клетка приобретает бочкообразную форму. Из-за развивающейся дыхательной недостаточности присоединяются признаки общей гипоксии: головокружение, синеватый оттенок губ, носа и кончиков пальцев. Для синдрома Каплана типично волнообразное течение с периодами обострений и ремиссий.
Многие пациенты страдают от проявлений общего отравления: повышенная утомляемость, субфебрильная лихорадка, потливость. Может потребоваться несколько месяцев или даже лет от начала заболевания до повреждения суставов. Артропатия ничем не отличается от ревматоидного артрита. Меньшие запястья (пястно-фаланговые, проксимальные межфаланговые) чаще вовлекаются в патологический процесс.
Он характеризуется утренней скованностью и болезненными болями, которые уменьшаются после физической нагрузки. Пик боли наблюдается по утрам. Суставы опухшие, кожа над ними гиперемирована. По мере прогрессирования заболевания развиваются деформации, движения значительно ограничены. Крупные суставы чаще поражают коленные, голеностопные и плечевые суставы. У некоторых пациентов обнаруживаются ревматоидные узелки - подкожные безболезненные образования диаметром до 3-5.
Одышка беспокоит при небольшой физической нагрузке или даже в покое. Появляется постоянный изнурительный кашель. Боли в груди усиливаются. Удушающие атаки возможны. В дальнейшем образуется эмфизема легких, грудная клетка приобретает бочкообразную форму. Из-за развивающейся дыхательной недостаточности присоединяются признаки общей гипоксии: головокружение, синеватый оттенок губ, носа и кончиков пальцев. Для синдрома Каплана типично волнообразное течение с периодами обострений и ремиссий.
Многие пациенты страдают от проявлений общего отравления: повышенная утомляемость, субфебрильная лихорадка, потливость. Может потребоваться несколько месяцев или даже лет от начала заболевания до повреждения суставов. Артропатия ничем не отличается от ревматоидного артрита. Меньшие запястья (пястно-фаланговые, проксимальные межфаланговые) чаще вовлекаются в патологический процесс.
Он характеризуется утренней скованностью и болезненными болями, которые уменьшаются после физической нагрузки. Пик боли наблюдается по утрам. Суставы опухшие, кожа над ними гиперемирована. По мере прогрессирования заболевания развиваются деформации, движения значительно ограничены. Крупные суставы чаще поражают коленные, голеностопные и плечевые суставы. У некоторых пациентов обнаруживаются ревматоидные узелки - подкожные безболезненные образования диаметром до 3-5.
Возможные осложнения
Синдром Каплана часто приводит к инвалидности и инвалидности. Из-за серьезной деформации сустава, вызванной артритом, пациент становится неспособным к самообслуживанию. Диффузный легочный фиброз вызывает опасные для жизни осложнения, такие как легочная гипертензия и сердечная недостаточность правого желудочка. По некоторым данным, пациенты с синдромом Каплана имеют повышенный риск (примерно в 30 раз) микобактериальной инфекции туберкулеза.
Полости, образованные в легочной ткани, могут нагноиться (абсцесс). Редкие осложнения включают рак легких, спонтанный пневмоторакс. В результате иммунологических нарушений при силикозе возможно развитие других аутоиммунных заболеваний из группы системных заболеваний соединительной ткани, в частности системной склеродермии.
Полости, образованные в легочной ткани, могут нагноиться (абсцесс). Редкие осложнения включают рак легких, спонтанный пневмоторакс. В результате иммунологических нарушений при силикозе возможно развитие других аутоиммунных заболеваний из группы системных заболеваний соединительной ткани, в частности системной склеродермии.
Диагностика
Пациенты с синдромом Каплана должны находиться под наблюдением пульмонолога, патологоанатома и ревматолога. Профессиональная история играет важную роль в диагностике. При общем осмотре они обращают внимание на бочкообразную форму грудной клетки, звук барабанов в коробке, слабость или затрудненное дыхание. Для уточнения диагноза рекомендуется дополнительное обследование, в том числе:
• Лабораторные испытания. В общем анализе крови обнаруживаются воспалительные маркеры - лейкоцитоз, увеличение СОЭ. Компенсаторный эритроцитоз и увеличение гемоглобина возможны. Наиболее специфическим лабораторным показателем считается очень высокий титр ревматоидного фактора. На поздней стадии, при анализе газов крови, определяют повышенное парциальное давление углекислого газа (PaCO2) и пониженное парциальное давление кислорода (PaO2).
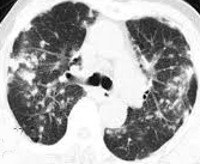
• Рентгенография или КТ легких. На рентгенограмме или компьютерной томограмме видны небольшие темные круглые области, в основном в периферических частях легких. Корневые и средостенные лимфатические узлы часто увеличены. Возможно плевральный отек.
При измерении функции внешнего дыхания отмечается ограничение или смешанный тип нарушения - уменьшение объема легких, остаточного объема и объема форсированного выдоха.
• Рентгенография суставов. На фото пораженные суставы, периартикулярный остеопороз, сужение суставного пространства, видны многочисленные эрозивные дефекты.
Дифференциальная диагностика проводится в случае заболеваний, проявляющихся сочетанием респираторных симптомов и суставного синдрома. Такие заболевания включают саркоидоз, гистиоцитоз клеток Лангерганса, системный васкулит (гранулематоз с полиангиитом, узловой перитонит, синдром Шерге-Штрауса).
• Лабораторные испытания. В общем анализе крови обнаруживаются воспалительные маркеры - лейкоцитоз, увеличение СОЭ. Компенсаторный эритроцитоз и увеличение гемоглобина возможны. Наиболее специфическим лабораторным показателем считается очень высокий титр ревматоидного фактора. На поздней стадии, при анализе газов крови, определяют повышенное парциальное давление углекислого газа (PaCO2) и пониженное парциальное давление кислорода (PaO2).
• Рентгенография или КТ легких. На рентгенограмме или компьютерной томограмме видны небольшие темные круглые области, в основном в периферических частях легких. Корневые и средостенные лимфатические узлы часто увеличены. Возможно плевральный отек.
При измерении функции внешнего дыхания отмечается ограничение или смешанный тип нарушения - уменьшение объема легких, остаточного объема и объема форсированного выдоха.
• Рентгенография суставов. На фото пораженные суставы, периартикулярный остеопороз, сужение суставного пространства, видны многочисленные эрозивные дефекты.
Дифференциальная диагностика проводится в случае заболеваний, проявляющихся сочетанием респираторных симптомов и суставного синдрома. Такие заболевания включают саркоидоз, гистиоцитоз клеток Лангерганса, системный васкулит (гранулематоз с полиангиитом, узловой перитонит, синдром Шерге-Штрауса).
|
|
Лечение
В зависимости от тяжести состояния пациента лечение проводится амбулаторно или в многопрофильной больнице. В настоящее время не существует эффективных методов для достижения полного излечения от этой болезни. Все меры направлены на замедление прогрессирования патологического процесса, облегчение симптомов и предотвращение развития осложнений.
Решающим условием успешной терапии является прекращение или максимальное ограничение контакта с пылью, содержащей диоксид кремния. Это подразумевает изменение режима работы или сферы профессиональной деятельности. Среди других нефармакологических методов лечения стоит выделить отказ от курения, физиотерапевтические упражнения и дыхательные упражнения. Режим консервативной терапии при синдроме Каплана не отличается от такового при пневмокониозе и ревматоидном артрите:
• Антифиброзные средства. Для воздействия на основное звено патогенеза назначают препарат, который подавляет пролиферацию соединительной ткани (азоксимер бовгиалуронидазы).
Поскольку бронхообструкция обычно возникает при пневмокониозе, ингаляторы с бета-адренергическими агонистами используются для снятия спазмов и отеков. Для длительного применения пролонгированные препараты в сочетании с глюкокортикостероидами (сальметерол + флутиказон) подходят для быстрого действия (сальбутамол).
Ацетилцистеин назначают для разжижения вязкой слизи, которая накапливается в бронхах. Этот препарат также обладает антиоксидантным эффектом. Использование через распылитель является предпочтительным.
-4-. При наличии клинических признаков тяжелой дыхательной недостаточности и лабораторного подтверждения общей гипоксии (PaO2 ниже 55 мм ) Рекомендуется вдыхание кислорода через носовую маску или канюлю.
_0 Системные противовоспалительные препараты. НПВП (ибупрофен, диклофенак) используются для облегчения боли в суставах. Глюкокортикостероиды (преднизон), цитостатики (метотрексат), моноклональные антитела (инфликсимаб) используются в качестве базовой терапии, которая уменьшает разрушение суставов.
С развитием терминальной дыхательной недостаточности, сохраняя выраженную гипоксемию на фоне постоянных ингаляций кислорода, трансплантация легких показана для спасения жизни. При распространенном артрите, который вызывает тяжелую деформацию и значительное ограничение движений в суставах, выполняются такие операции, как артроскопическая синовэктомия и замена сустава.
Решающим условием успешной терапии является прекращение или максимальное ограничение контакта с пылью, содержащей диоксид кремния. Это подразумевает изменение режима работы или сферы профессиональной деятельности. Среди других нефармакологических методов лечения стоит выделить отказ от курения, физиотерапевтические упражнения и дыхательные упражнения. Режим консервативной терапии при синдроме Каплана не отличается от такового при пневмокониозе и ревматоидном артрите:
• Антифиброзные средства. Для воздействия на основное звено патогенеза назначают препарат, который подавляет пролиферацию соединительной ткани (азоксимер бовгиалуронидазы).
Поскольку бронхообструкция обычно возникает при пневмокониозе, ингаляторы с бета-адренергическими агонистами используются для снятия спазмов и отеков. Для длительного применения пролонгированные препараты в сочетании с глюкокортикостероидами (сальметерол + флутиказон) подходят для быстрого действия (сальбутамол).
Ацетилцистеин назначают для разжижения вязкой слизи, которая накапливается в бронхах. Этот препарат также обладает антиоксидантным эффектом. Использование через распылитель является предпочтительным.
-4-. При наличии клинических признаков тяжелой дыхательной недостаточности и лабораторного подтверждения общей гипоксии (PaO2 ниже 55 мм ) Рекомендуется вдыхание кислорода через носовую маску или канюлю.
_0 Системные противовоспалительные препараты. НПВП (ибупрофен, диклофенак) используются для облегчения боли в суставах. Глюкокортикостероиды (преднизон), цитостатики (метотрексат), моноклональные антитела (инфликсимаб) используются в качестве базовой терапии, которая уменьшает разрушение суставов.
С развитием терминальной дыхательной недостаточности, сохраняя выраженную гипоксемию на фоне постоянных ингаляций кислорода, трансплантация легких показана для спасения жизни. При распространенном артрите, который вызывает тяжелую деформацию и значительное ограничение движений в суставах, выполняются такие операции, как артроскопическая синовэктомия и замена сустава.
Прогноз
Синдром Каплана является редким осложнением пневмокониоза с высокой степенью инвалидности. Основными причинами смерти являются тяжелая дыхательная недостаточность и заболевание легких. Прогноз напрямую зависит от своевременной диагностики, поэтому регулярные медицинские осмотры играют важную роль.
Профилактика
Основные профилактические меры по снижению воздействия кремниевой пыли осуществляются на рабочем месте. К ним относятся технологическое уплотнение, адекватное вентиляционное оборудование и респираторы. Инфекционные заболевания органов дыхания могут спровоцировать обострение. Чтобы предотвратить их, пациентам делают прививку от гриппа и пневмококковой инфекции.
Список литературы
1. Профессиональные заболевания органов дыхания: национальное руководство/ под ред. Измерова Н.Ф., Чучалина А.Г. -2015.
2. Профессиональная патология: национальное руководство/ под ред. Измерова Н.Ф. 2011.
3. Профессиональные болезни. Учебное пособие/ Артамонова В.Г., Мухин Н.А. 2004.
4. Интерстициальные и орфанные заболевания легких/ под ред. Ильковича М.М. 2016.
2. Профессиональная патология: национальное руководство/ под ред. Измерова Н.Ф. 2011.
3. Профессиональные болезни. Учебное пособие/ Артамонова В.Г., Мухин Н.А. 2004.
4. Интерстициальные и орфанные заболевания легких/ под ред. Ильковича М.М. 2016.