Другие названия и синонимы
Gasoline pneumonia.
Описание
В процессе развития бензиновой пневмонии образуются пневматические мишени. Очень редко в результате разрыва субплеврально расположенных кист возникает пневмоторакс или пневмомедиастинум. Массивная аспирация и значительное снижение иммунитета иногда являются причиной образования абсцесса легких. Тяжелые случаи заболевания могут осложняться острой дыхательной недостаточностью и легочным кровотечением. Результатом обширных поражений альвеолярной ткани является появление срезов пневмофиброза и с результатом в сDN.
|
|
Диагностика
Диагноз поставлен пульмонологом. Обследование уточняет род деятельности пациента, историю контакта с горюче-смазочными материалами. Бензиновая пневмония не имеет патогномоничных симптомов. При осмотре выявлены характерные признаки любого воспалительного процесса в легких. Существует гиперемия кожи лица, задержка половины грудной клетки в акте дыхания, тахикардия и тахипноэ. Перкуссия выявила ослабление звука легких. При аускультации слышно ослабленное, реже тяжелое или бронхиальное дыхание, диффузные локальные сухие и влажные хрипы разных размеров. Подтверждение диагноза производится с использованием следующих методов исследования:
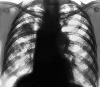
• Радиационная диагностика. Симптомы экзогенной липидной пневмонии появляются на КТ легких через 30 минут, на рентгенограммах - через 24 часа после контакта с патологическим фактором. Рентгенологически определены участки дренирования легочной инфильтрации, расположенные в средней и нижней долях правого легкого. Обнаружены КТ инфильтраты из матированного стекла низкой интенсивности или узелковые образования, расположенные в тех же областях.
• Бронхиальная эндоскопия. Бронхоскопия позволяет оценить анатомию дыхательных путей и исключить другие причины пневмонии. Бронхоальвеолярный лаваж является диагностической и терапевтической процедурой. Когда летучие углеводороды попадают в дыхательные пути, смывается промывочная жидкость с жирными каплями. Макрофаги, заполненные жиром, выявляются цитологически. С помощью химического анализа, хроматографии и инфракрасной спектроскопии можно объяснить тип масла в дыхательных путях.
В неясных случаях при длительном течении воспалительного процесса проводится биопсия легкого. Манипуляции обычно проводятся с минимально инвазивным трансбронхиальным доступом. При гистологическом исследовании патологического материала в легочном интерстиции визуализируются альвеолы, альвеолярные макрофаги, легкие вакуоли, заполненные жиром.
• Лабораторный анализ. Это вспомогательные диагностические исследования. В периферической крови определяются лейкоцитоз, ускорение СОЭ и смещение формулы лейкоцитов влево. В биохимическом анализе наблюдается повышение уровня трансаминаз, билирубина и С-реактивного белка. При исследовании мочи иногда выявляется эритроцитурия.
Лабораторные показатели не являются специфическими маркерами этой патологии. Они отражают наличие воспалительного процесса в организме, позволяют оценить его динамику, установить наличие токсического повреждения других органов и систем. Заболевание следует дифференцировать от бактериальной, грибковой пневмонии, онкопатологии. При необходимости к пациенту обращаются специалисты-инфекционисты, онкологи. В процессе диагностики сопутствующего токсического повреждения органов пищеварения и почек участвуют гастроэнтерологи и нефрологи.
• Радиационная диагностика. Симптомы экзогенной липидной пневмонии появляются на КТ легких через 30 минут, на рентгенограммах - через 24 часа после контакта с патологическим фактором. Рентгенологически определены участки дренирования легочной инфильтрации, расположенные в средней и нижней долях правого легкого. Обнаружены КТ инфильтраты из матированного стекла низкой интенсивности или узелковые образования, расположенные в тех же областях.
• Бронхиальная эндоскопия. Бронхоскопия позволяет оценить анатомию дыхательных путей и исключить другие причины пневмонии. Бронхоальвеолярный лаваж является диагностической и терапевтической процедурой. Когда летучие углеводороды попадают в дыхательные пути, смывается промывочная жидкость с жирными каплями. Макрофаги, заполненные жиром, выявляются цитологически. С помощью химического анализа, хроматографии и инфракрасной спектроскопии можно объяснить тип масла в дыхательных путях.
В неясных случаях при длительном течении воспалительного процесса проводится биопсия легкого. Манипуляции обычно проводятся с минимально инвазивным трансбронхиальным доступом. При гистологическом исследовании патологического материала в легочном интерстиции визуализируются альвеолы, альвеолярные макрофаги, легкие вакуоли, заполненные жиром.
• Лабораторный анализ. Это вспомогательные диагностические исследования. В периферической крови определяются лейкоцитоз, ускорение СОЭ и смещение формулы лейкоцитов влево. В биохимическом анализе наблюдается повышение уровня трансаминаз, билирубина и С-реактивного белка. При исследовании мочи иногда выявляется эритроцитурия.
Лабораторные показатели не являются специфическими маркерами этой патологии. Они отражают наличие воспалительного процесса в организме, позволяют оценить его динамику, установить наличие токсического повреждения других органов и систем. Заболевание следует дифференцировать от бактериальной, грибковой пневмонии, онкопатологии. При необходимости к пациенту обращаются специалисты-инфекционисты, онкологи. В процессе диагностики сопутствующего токсического повреждения органов пищеварения и почек участвуют гастроэнтерологи и нефрологи.
Клиническая картина
Ассоциированные симптомы: Боль в груди слева. Боль в грудной клетке. Высокая температура тела. Головная боль. Затруднение выдоха. Кашель. Кровохарканье. Лейкоцитоз. Ломота в теле. Мокрота. Одышка. Рвота. Тошнота.
Лечение
Медицинская помощь пациенту с бензиновой пневмонией предоставляется в условиях стационара. Пациент госпитализирован в терапевтическое или легочное отделение. Этиотропное лечение - бронхоальвеолярный лаваж. Процедура проводится сразу после установления факта аспирации. При необходимости лечебная бронхоскопия проводится повторно. Впоследствии проводится патогенетическая терапия, в том числе:
• Антибактериальные препараты. Для подавления жизнедеятельности вторичной бактериальной микрофлоры назначают антибиотики широкого спектра действия - цефалоспорины 3-4 поколения, дыхательные фторхинолоны, карбапенемы. Их эффективность оценивается через 72 часа после начала лечения. При отсутствии положительной динамики показана замена неэффективных препаратов антибиотиками другой группы.
• Глюкокортикоидные гормоны. В медицинской литературе описаны случаи эффективного лечения поражений легких летучими углеводородами с помощью системных кортикостероидов, но эффективность этой группы препаратов считается недоказанной. Средства применяются для снятия бронхоспазма и при комплексном лечении тяжелой дыхательной недостаточности.
При необходимости кислородная терапия и респираторная поддержка. Для облегчения боли при участии плевры в патологическом процессе используются нестероидные противовоспалительные препараты. Раннее назначение с физиотерапевтическими процедурами, массажем груди, лечебной физкультурой и дыхательными упражнениями.
• Антибактериальные препараты. Для подавления жизнедеятельности вторичной бактериальной микрофлоры назначают антибиотики широкого спектра действия - цефалоспорины 3-4 поколения, дыхательные фторхинолоны, карбапенемы. Их эффективность оценивается через 72 часа после начала лечения. При отсутствии положительной динамики показана замена неэффективных препаратов антибиотиками другой группы.
• Глюкокортикоидные гормоны. В медицинской литературе описаны случаи эффективного лечения поражений легких летучими углеводородами с помощью системных кортикостероидов, но эффективность этой группы препаратов считается недоказанной. Средства применяются для снятия бронхоспазма и при комплексном лечении тяжелой дыхательной недостаточности.
При необходимости кислородная терапия и респираторная поддержка. Для облегчения боли при участии плевры в патологическом процессе используются нестероидные противовоспалительные препараты. Раннее назначение с физиотерапевтическими процедурами, массажем груди, лечебной физкультурой и дыхательными упражнениями.