Другие названия и синонимы
Failure of the bronchial stump.
МКБ-10 коды
|
|
Описание
Отказ культи бронха. Осложнение лба, билоба или пульмонэктомия, которое представляет собой дефект в точках, расположенных на культю и обеспечивающий прохождение воздуха в плевральную полость, выделяющуюся в бронхах и трахее. Это проявляется в виде болей на стороне операции, кашля с обильным выделением кровоточащей жидкости, одышки, лихорадки, подкожной эмфиземы. Диагноз ставится на основании данных клиники, даны лучевые методы исследования легких, бронхоскопия. Чтобы закрыть дефект культи, проводят бронхоскопию с электрохимической коагуляцией или торакопластикой, торакопластикой или бронхиальной повторной ампутацией.
Дополнительные факты
Разрушение культи бронха является серьезным осложнением хирургической резекции легкого или воспаления легких, что приводит к появлению бронхиального свища. Он развивается у 2-30% пациентов, оперированных по поводу различных заболеваний легких. Справа это встречается в 5 раз чаще, чем слева. Занимает первое место в структуре послеоперационной смертности в грудной хирургии. При расхождении швов главного бронха этот показатель составляет 50-70%. Чем больше просвет ампутированного бронха, тем выше риск дефекта шва и тем сложнее лечить их неудачу. У пациентов, перенесших пневмонию, осложнение наблюдается в 10-20 раз чаще, чем у пациентов, перенесших лобэктомию.
Причины
Несмотря на новые методы отображения культи бронха, частота дефектов шва остается высокой. До настоящего времени ведутся исследования с целью выявления основных причин образования бронхиальных свищей и способов их профилактики. До настоящего времени были выявлены следующие факторы, которые вызывают развитие этого послеоперационного осложнения:
• Характеристики бронхиального строения. Шовная недостаточность чаще всего выявляется в мембранной части органа. Появление дефекта может быть связано с его чрезмерным растяжением. Наличие широкой перепончатой части (более 14 мм) характерно для правого главного бронха и требует специальной обработки культи во время операции.
• Технические ошибки в хирургии. Технические ошибки во время операции могут привести к прерыванию микроциркуляции краев раны и стать препятствием для нормального заживления первичным натяжением. При использовании степлера можно раздавливать стенки органа его ветвями. При неправильном выделении основных бронхов из окружающего волокна бронхиальные артерии повреждаются. Технические ошибки также включают в себя слишком длительное оставление культи, пересечение органа вблизи бифуркации трахеи, травму хряща и перихондрия и швы низкого качества.
• Распространение инфекции, опухолевый процесс. При распространении опухолевого процесса в скрещенных бронхах бронхиальный свищ появляется вследствие тканевого кариеса. Инфекция культи бронха приводит к нагноению швов. Их провал возникает. Абсцессы легких и пещеры, регионарные лимфатические узлы и плевральная полость являются источником инфекции. Возможно случайное ятрогенное заражение.
• Другие патологические состояния. Несостоятельность резецированного бронха часто диагностируется при наличии у пациента сопутствующей патологии - сахарного диабета, хронических неспецифических заболеваний легких. Риск развития дефектов выше у пациентов с длительной интубацией трахеи, массивной интраоперационной кровопотерей. Использование предоперационной химиотерапии при лечении рака легких снижает частоту возникновения этого осложнения.
• Характеристики бронхиального строения. Шовная недостаточность чаще всего выявляется в мембранной части органа. Появление дефекта может быть связано с его чрезмерным растяжением. Наличие широкой перепончатой части (более 14 мм) характерно для правого главного бронха и требует специальной обработки культи во время операции.
• Технические ошибки в хирургии. Технические ошибки во время операции могут привести к прерыванию микроциркуляции краев раны и стать препятствием для нормального заживления первичным натяжением. При использовании степлера можно раздавливать стенки органа его ветвями. При неправильном выделении основных бронхов из окружающего волокна бронхиальные артерии повреждаются. Технические ошибки также включают в себя слишком длительное оставление культи, пересечение органа вблизи бифуркации трахеи, травму хряща и перихондрия и швы низкого качества.
• Распространение инфекции, опухолевый процесс. При распространении опухолевого процесса в скрещенных бронхах бронхиальный свищ появляется вследствие тканевого кариеса. Инфекция культи бронха приводит к нагноению швов. Их провал возникает. Абсцессы легких и пещеры, регионарные лимфатические узлы и плевральная полость являются источником инфекции. Возможно случайное ятрогенное заражение.
• Другие патологические состояния. Несостоятельность резецированного бронха часто диагностируется при наличии у пациента сопутствующей патологии - сахарного диабета, хронических неспецифических заболеваний легких. Риск развития дефектов выше у пациентов с длительной интубацией трахеи, массивной интраоперационной кровопотерей. Использование предоперационной химиотерапии при лечении рака легких снижает частоту возникновения этого осложнения.
Патогенез
Механизм развития патологического состояния до конца не изучен. Выяснилось, что в результате некробиотических процессов на стенках оперированного бронха швы смягчались и расслаблялись через 7-10 дней после операции. Их провал определяется, если ткань культи недостаточно связана. Кроме того, отсутствие легочной паренхимы, которая может покрывать резецированный бронх, способствует образованию дефекта после пневмонэктомии.
Отказ к бронхиальной культе после лба или билобэктомии наблюдается при недостаточном расширении оставшейся части легкого и образовании полости. Содержащийся в нем экссудат соприкасается с швами, еще больше смягчает их и прорывается в бронхи, образуя фистулу. Многие авторы считают, что разгерметизация культи образуется в результате кашля или глубокого вдоха из-за градиента давления, направленного трахеобронхиальным деревом в остаточную плевральную полость. Через образовавшееся отверстие воздух направляется в плевральную полость, что впоследствии вызывает эмпиему. Экссудат устремляется в противоположном направлении, аспирация которого приводит к развитию острой пневмонии противоположного легкого.
Отказ к бронхиальной культе после лба или билобэктомии наблюдается при недостаточном расширении оставшейся части легкого и образовании полости. Содержащийся в нем экссудат соприкасается с швами, еще больше смягчает их и прорывается в бронхи, образуя фистулу. Многие авторы считают, что разгерметизация культи образуется в результате кашля или глубокого вдоха из-за градиента давления, направленного трахеобронхиальным деревом в остаточную плевральную полость. Через образовавшееся отверстие воздух направляется в плевральную полость, что впоследствии вызывает эмпиему. Экссудат устремляется в противоположном направлении, аспирация которого приводит к развитию острой пневмонии противоположного легкого.
Классификация
В зависимости от времени возникновения выделяется острая недостаточность культи бронха, которая возникает рано в первые два дня, диагностируется на дни с 3 по 14, и поздно, через 15 дней после операции. В зависимости от размера дефекта, I (диаметр отверстия до 0,4 см), II (0,4-1 см) и III (от 1 см до полного раскрытия бронха) отличаются от степени патологического состояния. В зависимости от этиологического фактора повреждение ампутированной части дыхательных путей классифицируется следующим образом:
Диагноз ставится в первую неделю послеоперационного периода. Это связано с техническими ошибками в хирургических процедурах, которые препятствуют заживлению краев раны.
Первичные заживляющие швы растворяются в результате вторичной инфекции, внутригрудного кровотечения или распространения опухоли на культю. Диагноз ставится через 1-3 недели после пневмонэктомии или резекции легкого.
Диагноз ставится в первую неделю послеоперационного периода. Это связано с техническими ошибками в хирургических процедурах, которые препятствуют заживлению краев раны.
Первичные заживляющие швы растворяются в результате вторичной инфекции, внутригрудного кровотечения или распространения опухоли на культю. Диагноз ставится через 1-3 недели после пневмонэктомии или резекции легкого.
Клиническая картина
Клиническая картина острого вскрытия бронха III степени разворачивается быстро. Состояние больного резко тяжелее. Отмечаются сильные боли, чувство тяжести в груди, кашель с выделением большого количества (полный рот) жидкого кровянистого содержимого плевральной полости. Общая слабость быстро нарастает, артериальное давление снижается. Кожа больного приобретает бледно-синюшный оттенок, покрытый холодным липким потом. Наблюдается выраженная одышка, нарушается сознание. Иногда подкожная эмфизема присутствует.
Несостоятельность I-II степени легче. Симптомы осложнений появляются на 7-21 сутки послеоперационного периода. Характерно повышение температуры тела до фебрильных значений, развитие или усиление болей в груди и кашле. Вначале сухой, болезненный кашель постепенно становится влажным. Слизисто-гнойная мокрота очищается. В определенном положении тела приступ сильного кашля заканчивается обильным выделением жидкого сакрального содержимого. Запах лекарств, которые вводятся внутриплеврально, ощущается пациентом во время выдоха. У некоторых пациентов наблюдается подкожная эмфизема лица, шеи, груди и живота.
Ассоциированные симптомы: Кашель. Одышка. Подкожная эмфизема. Слизисто-гнойная мокрота. Тяжесть в груди.
Несостоятельность I-II степени легче. Симптомы осложнений появляются на 7-21 сутки послеоперационного периода. Характерно повышение температуры тела до фебрильных значений, развитие или усиление болей в груди и кашле. Вначале сухой, болезненный кашель постепенно становится влажным. Слизисто-гнойная мокрота очищается. В определенном положении тела приступ сильного кашля заканчивается обильным выделением жидкого сакрального содержимого. Запах лекарств, которые вводятся внутриплеврально, ощущается пациентом во время выдоха. У некоторых пациентов наблюдается подкожная эмфизема лица, шеи, груди и живота.
Ассоциированные симптомы: Кашель. Одышка. Подкожная эмфизема. Слизисто-гнойная мокрота. Тяжесть в груди.
|
|
Возможные осложнения
Острая тяжелая недостаточность ампутации культи бронха приводит к развитию дыхательной недостаточности, шока. До 70% случаев этого состояния после пульмонэктомии заканчиваются смертью. Бронхиальная недостаточность всегда становится причиной образования бронхиального свища с последующей эмпиемой плевры. Часто развивается аспирационная пневмония здорового легкого. Если была проведена операция по поводу туберкулезного процесса, происходит распространение.
Диагностика
Диагностическое исследование при подозрении на недостаточность культи бронха выполнено торакальным хирургом. При необходимости к обследованию больного привлекаются фтизиатры и онкологи. При осмотре оценивают общее состояние, сознание и положение тела пациента, цвет кожи и влажность. Повязка на послеоперационную область раны с соответствующими жалобами может служить косвенным признаком развития бронхиальной несостоятельности. Другими симптомами патологического состояния являются кашель плеврального содержимого в положении на болезненной стороне и постоянное выделение воздуха через плевральный дренаж. Окончательный диагноз устанавливается с использованием:
• Физические исследования. При активной аспирации содержимого плевральной полости над трахеей слышен характерный шум движущегося воздуха. Аспирационная пневмония второго легкого проявляется локальной тупостью перкуссионного звука и ослаблением или усилением дыхания и влажных трещин в проекции инфильтрата.
Это относится к основным диагностическим исследованиям. Позволяет визуализировать образовавшееся отверстие, определить его местоположение, оценить размеры, состояние краев раны. С помощью бронхоскопии проводится электрическая, химическая или электрохимическая коагуляция, которая может устранить бронхиальную несостоятельность первой степени или, как временную меру, аллообтурацию крупного дефекта поролоном.
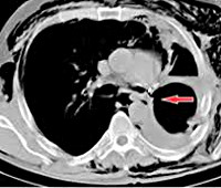
• Рентгенография, КТ грудной полости. В раннем послеоперационном периоде рентген и компьютерные томограммы могут обнаружить смещение или отсутствие скоб из тантала, используемых при механическом сшивании раны. Позднее появляются признаки пневмоторакса, гидроторакса с горизонтальным уровнем. Чтобы выяснить местоположение отверстия, иногда используется бронхография.
• Физические исследования. При активной аспирации содержимого плевральной полости над трахеей слышен характерный шум движущегося воздуха. Аспирационная пневмония второго легкого проявляется локальной тупостью перкуссионного звука и ослаблением или усилением дыхания и влажных трещин в проекции инфильтрата.
Это относится к основным диагностическим исследованиям. Позволяет визуализировать образовавшееся отверстие, определить его местоположение, оценить размеры, состояние краев раны. С помощью бронхоскопии проводится электрическая, химическая или электрохимическая коагуляция, которая может устранить бронхиальную несостоятельность первой степени или, как временную меру, аллообтурацию крупного дефекта поролоном.
• Рентгенография, КТ грудной полости. В раннем послеоперационном периоде рентген и компьютерные томограммы могут обнаружить смещение или отсутствие скоб из тантала, используемых при механическом сшивании раны. Позднее появляются признаки пневмоторакса, гидроторакса с горизонтальным уровнем. Чтобы выяснить местоположение отверстия, иногда используется бронхография.
Лечение
Основные терапевтические меры направлены на снижение смертности от этого осложнения и предотвращение рецидивов. Тактика и этапы лечения патологии зависят от размеров, времени появления и выявления бронхиального свища, а также от общего состояния пациента. Существуют следующие основные варианты обращения с пациентом с диагностированной несостоятельностью культи бронха:
• Аварийное повторное использование. Это наиболее эффективный метод закрытия дефекта в суставах бронха. Он выполняется с полным раскрытием органа, если его несостоятельность выявлена в течение первых двух дней после операции и эмпиема плевры еще не развилась. Состояние пациента должно быть стабильным. Реторототомия выполнена. При достаточно продолжительном культе возможна повторная ампутация бронха. Иногда проводится круговая резекция бифуркации трахеи с созданием анастомоза между дыхательными путями. Достаточно эффективным методом хирургического лечения является пластическая операция культи бронха. Торакопластика восьми ребер, гоментопластика используются чаще, диафрагмопластика или плевризация резецированного органа реже.
• Консервативное лечение. Консервативная терапия эффективна только у пациентов с очень маленькими дефектами культи (до 4-10 мм) в оперированном органе. Терапевтическая бронхоскопия или торакоскопия выполняется. Отверстие коагулируется лазером, используется фибриновый клей, их прижигают специальными химикатами или комбинируют эти методы. При этом проводится активный дренаж плевральной полости, назначается антибактериальная терапия.
• Ожидаемая тактика. Показан при обнаружении свища на фоне гнойного отростка плевральной полости. Выполнять риторакотомию в этом случае не имеет смысла. Установлена торакостомия, регулярно удаляется гнойный экссудат. При необходимости с помощью бронхоскопа область бронхиального дефекта закрывается пенопластовым шариком. Хирургическое лечение проводится после полной реабилитации плевральной полости.
Все пациенты должны получать парентеральное введение антибиотиков широкого спектра действия. Плевральная полость промывается антисептиками, также вводятся бактериофаги, чаще (с учетом возбудителя эмпиемы), активные против Pseudomonas aeruginosa. Иммуномодуляторы, препараты крови используются для стимуляции факторов иммунной защиты. В период реабилитации показаны физиотерапевтические упражнения и дыхательные упражнения.
• Аварийное повторное использование. Это наиболее эффективный метод закрытия дефекта в суставах бронха. Он выполняется с полным раскрытием органа, если его несостоятельность выявлена в течение первых двух дней после операции и эмпиема плевры еще не развилась. Состояние пациента должно быть стабильным. Реторототомия выполнена. При достаточно продолжительном культе возможна повторная ампутация бронха. Иногда проводится круговая резекция бифуркации трахеи с созданием анастомоза между дыхательными путями. Достаточно эффективным методом хирургического лечения является пластическая операция культи бронха. Торакопластика восьми ребер, гоментопластика используются чаще, диафрагмопластика или плевризация резецированного органа реже.
• Консервативное лечение. Консервативная терапия эффективна только у пациентов с очень маленькими дефектами культи (до 4-10 мм) в оперированном органе. Терапевтическая бронхоскопия или торакоскопия выполняется. Отверстие коагулируется лазером, используется фибриновый клей, их прижигают специальными химикатами или комбинируют эти методы. При этом проводится активный дренаж плевральной полости, назначается антибактериальная терапия.
• Ожидаемая тактика. Показан при обнаружении свища на фоне гнойного отростка плевральной полости. Выполнять риторакотомию в этом случае не имеет смысла. Установлена торакостомия, регулярно удаляется гнойный экссудат. При необходимости с помощью бронхоскопа область бронхиального дефекта закрывается пенопластовым шариком. Хирургическое лечение проводится после полной реабилитации плевральной полости.
Все пациенты должны получать парентеральное введение антибиотиков широкого спектра действия. Плевральная полость промывается антисептиками, также вводятся бактериофаги, чаще (с учетом возбудителя эмпиемы), активные против Pseudomonas aeruginosa. Иммуномодуляторы, препараты крови используются для стимуляции факторов иммунной защиты. В период реабилитации показаны физиотерапевтические упражнения и дыхательные упражнения.
Список литературы
1. Система профилактики несостоятельности культи бронха и бронхиальных свищей после пневмонэктомии/ В. В. Лишенко// Военная медицина - 2010 - №4.
2. Лечение постпневмонэктомических бронхиальных свищей в торакальной онкохирургии: обзор литературы и собственный опыт/ Душко Н.Е. Клиническая онкология - 2015 - №2.
3. Несостоятельность швов культи бронха в хирургии рака легкого/ Аксарин А.А., Тер-Ованесов М.Д. Хирургия - 2014 - №9.
4. Торакальная хирургия/ под ред. Бисенкова Л.Н. 2004.
2. Лечение постпневмонэктомических бронхиальных свищей в торакальной онкохирургии: обзор литературы и собственный опыт/ Душко Н.Е. Клиническая онкология - 2015 - №2.
3. Несостоятельность швов культи бронха в хирургии рака легкого/ Аксарин А.А., Тер-Ованесов М.Д. Хирургия - 2014 - №9.
4. Торакальная хирургия/ под ред. Бисенкова Л.Н. 2004.