Другие названия и синонимы
Empyema of the pleura, Гнойный плеврит, Пиоторакс.
МКБ-10 коды
- МКБ-10
- J86 Пиоторакс
|
|
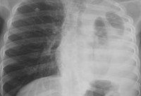
Описание
Эмпиема плевры - скопление гнойного экссудата в полости плевры с вторичной компрессией лёгочной ткани при плеврите.
Классификация
По локализации:
1. Односторонняя или двусторонняя.
2. Ограниченная (локализованная в какой-либо части плевральной полости, окружённой плевральными сращениями); субтотальные (эмпиема ограничена двумя или тремя анатомическими стенками плевральной полости, например рёберной и диафрагмальной, или медиастинальной, диафрагмальной и рёберной; тотальная (гнойный экссудат заполняет всю плевральную полость).
3. Базальная или парамедиастинальная.
По причине:
1. Метапневмоническая, развившаяся в исходе пневмонии.
2. Парапневмоническая, возникшая одновременно с пневмонией.
3. Послеоперационная, возникшая как осложнение хирургической операции на органах грудной или верхнего отдела брюшной полости.
По течению:
1. Острая (длительность заболевания - до 8 нед).
2. Хроническая (длительность - более 8 нед).
По количеству выпота различают малый пиоторакс - скопление экссудата в плевральных синусах (количество 200-500 мл); средний пиоторакс - скопление экссудата до угла лопатки в VII межреберье (количество 500-1000 мл); большой пиоторакс - скопление экссудата выше угла лопатки (количество более 1 литра).
Частота - около 320 на 100 000 населения в промышленных странах.
1. Односторонняя или двусторонняя.
2. Ограниченная (локализованная в какой-либо части плевральной полости, окружённой плевральными сращениями); субтотальные (эмпиема ограничена двумя или тремя анатомическими стенками плевральной полости, например рёберной и диафрагмальной, или медиастинальной, диафрагмальной и рёберной; тотальная (гнойный экссудат заполняет всю плевральную полость).
3. Базальная или парамедиастинальная.
По причине:
1. Метапневмоническая, развившаяся в исходе пневмонии.
2. Парапневмоническая, возникшая одновременно с пневмонией.
3. Послеоперационная, возникшая как осложнение хирургической операции на органах грудной или верхнего отдела брюшной полости.
По течению:
1. Острая (длительность заболевания - до 8 нед).
2. Хроническая (длительность - более 8 нед).
По количеству выпота различают малый пиоторакс - скопление экссудата в плевральных синусах (количество 200-500 мл); средний пиоторакс - скопление экссудата до угла лопатки в VII межреберье (количество 500-1000 мл); большой пиоторакс - скопление экссудата выше угла лопатки (количество более 1 литра).
Частота - около 320 на 100 000 населения в промышленных странах.
Клиническая картина
Острая эмпиема плевры. Кашель с выделением мокроты. Длительные и частые приступы кашля с отделением большого количества мокроты свидетельствуют о наличии бронхоплеврального свища. Боль в грудной клетке минимально выражена при спокойном дыхании, резко усиливается во время полного глубокого вдоха. Одышка. Нарушение голосового дрожания или отчётливая эгофония. Тупой или притуплённый перкуторный звук на стороне поражения, верхняя граница тупости соответствует линии Эллиса-Дамуазо-Соколова. Ослабление или отсутствие дыхания при аускультации над областью выпота. Бронхиальное дыхание над прилежащим к выпоту сдавленным лёгким. Покраснение кожи возникает только при прорыве гноя из полости эмпиемы под кожу. Общее состояние прогрессивно ухудшается: слабость, потеря аппетита, похудание, гектическая температура тела, частый пульс.
Хроническая эмпиема плевры. Температура тела может быть субфебрильной или нормальной, при нарушении оттока гноя становится гектической. Кашель с отхождением гнойной мокроты. Деформация грудной клетки на стороне поражения из-за сужения межрёберных промежутков. У детей развивается сколиоз. Перкуторные данные зависят от степени наполнения полости гноем, дыхательные шумы над полостью не выслушиваются.
Ассоциированные симптомы: Боль в грудной клетке. Высокая температура тела. Общая слабость. Гнойная мокрота. Зловонная мокрота. Кашель. Мокрота. Одышка. Озноб. Отсутствие аппетита. Пальцы - барабанные палочки. Потливость.
Хроническая эмпиема плевры. Температура тела может быть субфебрильной или нормальной, при нарушении оттока гноя становится гектической. Кашель с отхождением гнойной мокроты. Деформация грудной клетки на стороне поражения из-за сужения межрёберных промежутков. У детей развивается сколиоз. Перкуторные данные зависят от степени наполнения полости гноем, дыхательные шумы над полостью не выслушиваются.
Ассоциированные симптомы: Боль в грудной клетке. Высокая температура тела. Общая слабость. Гнойная мокрота. Зловонная мокрота. Кашель. Мокрота. Одышка. Озноб. Отсутствие аппетита. Пальцы - барабанные палочки. Потливость.
Причины
Возбудители:стафилококки, пневмококки, факультативные и облигатные анаэробы.
Прямой путь проникновения инфекции :
1. Травма лёгкого.
2. Ранения грудной клетки.
3. Разрыв пищевода.
4. Прорыв абсцесса, гангрены лёгкого, каверны.
5. Пневмония.
6. Туберкулёз.
7. Прогрессирование бактериального поражения лёгких (абсцесса или бактериальной деструкции).
8. Бронхоэктазы.
9. Резекция лёгких и другие операции на органах грудной клетки.
10. Пневмоторакс.
11. Острые медиастиниты.
12. Остеомиелиты рёбер и позвонков.
Непрямой путь проникновения инфекции:
1. Поддиафрагмальный абсцесс.
2. Острый панкреатит.
3. Абсцессы печени.
4. Воспаление мягких тканей и костного каркаса грудной стенки.
5. Идиопатическая эмпиема.
Прямой путь проникновения инфекции :
1. Травма лёгкого.
2. Ранения грудной клетки.
3. Разрыв пищевода.
4. Прорыв абсцесса, гангрены лёгкого, каверны.
5. Пневмония.
6. Туберкулёз.
7. Прогрессирование бактериального поражения лёгких (абсцесса или бактериальной деструкции).
8. Бронхоэктазы.
9. Резекция лёгких и другие операции на органах грудной клетки.
10. Пневмоторакс.
11. Острые медиастиниты.
12. Остеомиелиты рёбер и позвонков.
Непрямой путь проникновения инфекции:
1. Поддиафрагмальный абсцесс.
2. Острый панкреатит.
3. Абсцессы печени.
4. Воспаление мягких тканей и костного каркаса грудной стенки.
5. Идиопатическая эмпиема.
Лечение
Общие принципы :
Лечение основного заболевания.
Раннее полное удаление экссудата из плевральной полости с помощью пункции или при дренировании.
Расправление лёгкого применением постоянной аспирации.
ЛФК.
Рациональная антибиотикотерапия.
Консервативная терапия. Ранние острые эмпиемы - необходимы повторные плевральные пункции с аспирацией гнойного экссудата и адекватной антибиотикотерапией (клиндамицин, цефтриаксон в сочетании с метронидазолом; можно назначить аминогликозиды, монобактамы, карбапенемы). Промывание полости плевры с введением антибиотиков, протеолитических ферментов. Иммуностимулирующая терапия. УФО крови. Инфузионная терапия и частичное парентеральное питание. Сформировавшиеся эмпиемы с густым гнойным экссудатом - показание к длительному закрытому дренированию.
Хирургическое лечение.
Острые эмпиемы. Свободные эмпиемы плевры - постоянное промывание плевральной полости через две трубки, через 2-3 дня отсасывают содержимое через обе трубки и добиваются полного расправления лёгкого. Широкая торакотомия с резекцией рёбер, туалетом плевральной полости и последующим дренированием показана при наличии больших секвестров и сгустков в плевральной полости. При наличии бронхиального свища - тампонада соответствующего бронха. При неэффективности вышеперечисленных мероприятий показана ранняя декортикация лёгкого.
Хроническая эмпиема. Санация эмпиемы через дренаж с активной аспирацией. При наличии бронхиального свища: то же + тампонада бронха. При неэффективности - хирургическое лечение: репневмолиз, декортикация лёгкого, выскабливание пиогенного слоя до фиброзной капсулы, ушивание бронхиального свища или резекция поражённого участка лёгкого. При туберкулёзной эмпиеме объём операции увеличивают - проводят тотальную париетальную плеврэктомию.
Лечение основного заболевания.
Раннее полное удаление экссудата из плевральной полости с помощью пункции или при дренировании.
Расправление лёгкого применением постоянной аспирации.
ЛФК.
Рациональная антибиотикотерапия.
Консервативная терапия. Ранние острые эмпиемы - необходимы повторные плевральные пункции с аспирацией гнойного экссудата и адекватной антибиотикотерапией (клиндамицин, цефтриаксон в сочетании с метронидазолом; можно назначить аминогликозиды, монобактамы, карбапенемы). Промывание полости плевры с введением антибиотиков, протеолитических ферментов. Иммуностимулирующая терапия. УФО крови. Инфузионная терапия и частичное парентеральное питание. Сформировавшиеся эмпиемы с густым гнойным экссудатом - показание к длительному закрытому дренированию.
Хирургическое лечение.
Острые эмпиемы. Свободные эмпиемы плевры - постоянное промывание плевральной полости через две трубки, через 2-3 дня отсасывают содержимое через обе трубки и добиваются полного расправления лёгкого. Широкая торакотомия с резекцией рёбер, туалетом плевральной полости и последующим дренированием показана при наличии больших секвестров и сгустков в плевральной полости. При наличии бронхиального свища - тампонада соответствующего бронха. При неэффективности вышеперечисленных мероприятий показана ранняя декортикация лёгкого.
Хроническая эмпиема. Санация эмпиемы через дренаж с активной аспирацией. При наличии бронхиального свища: то же + тампонада бронха. При неэффективности - хирургическое лечение: репневмолиз, декортикация лёгкого, выскабливание пиогенного слоя до фиброзной капсулы, ушивание бронхиального свища или резекция поражённого участка лёгкого. При туберкулёзной эмпиеме объём операции увеличивают - проводят тотальную париетальную плеврэктомию.
|
|
Прогноз
Прогноз при своевременном лечении благоприятный, при хронической эмпиеме может быть неблагоприятным.