Другие названия и синонимы
Lung endometriosis.
МКБ-10 коды
- МКБ-10
- N80.8 Другой эндометриоз
|
|
Описание
Это патологическое состояние, которое возникает у женщин и вызвано имплантацией клеток и стромы слизистой оболочки матки в органы дыхания. Это проявляется эпизодами кровохарканья, рецидивирующим пневмо- или гемотораксом во время менструации, образованием узелковых образований в легких. Диагноз устанавливается на основании анамнестических данных, результатов лабораторных исследований, рентгенологического и компьютерного обследования органов грудной клетки, бронхоскопии, биопсии и видео-торакоскопии. Очаги эндометриоза удаляются хирургическим путем с последующим назначением антиэстрогенных гормональных препаратов.
Дополнительные факты
Эндометриоз легких развивается у женщин преимущественно репродуктивного возраста (15-50 лет). Первые проявления заболевания появляются чаще у пациентов в возрасте от 30 до 35 лет. 50-95% пациентов страдают от сопутствующих поражений органов малого таза, которые проявляются за 5-7 лет до начала респираторного эндометриоза. Патологические очаги в паренхиме легкого и в бронхах обычно двусторонние, обычно сопровождаются кровохарканьем. Эндометриоз плевры обычно односторонний и проявляется в повторном пневмо- или гемотораксе. Правая половина грудной клетки поражена в 92% случаев, левая - в 5%, двусторонний процесс еще реже.
Причины
Этиология эндометриоза до конца не изучена. Существует несколько гипотез, касающихся причин патологии.
• Теория растений. По ее словам, клетки эндометрия попадают в дыхательную систему с кровотоком и лимфой. Найти подтверждение, что заболевание возникает у женщин через некоторое время после аборта, родов, операций на органах малого таза, различных гинекологических манипуляций.
• Ретроградная менструация. В этом случае кровь вместе с фрагментами эндометрия сначала проходит через маточные трубы в брюшную полость, а затем из-за дефектов диафрагмы и градиента давления в области грудной клетки.
Основными процессами, способствующими экстрагенитальной имплантации клеток эндометрия, являются воспалительные заболевания органов малого таза. Некоторые авторы указывают на гормональный дисбаланс, нарушение функции иммунной системы и генетическую предрасположенность как этиологические факторы.
• Теория растений. По ее словам, клетки эндометрия попадают в дыхательную систему с кровотоком и лимфой. Найти подтверждение, что заболевание возникает у женщин через некоторое время после аборта, родов, операций на органах малого таза, различных гинекологических манипуляций.
• Ретроградная менструация. В этом случае кровь вместе с фрагментами эндометрия сначала проходит через маточные трубы в брюшную полость, а затем из-за дефектов диафрагмы и градиента давления в области грудной клетки.
Основными процессами, способствующими экстрагенитальной имплантации клеток эндометрия, являются воспалительные заболевания органов малого таза. Некоторые авторы указывают на гормональный дисбаланс, нарушение функции иммунной системы и генетическую предрасположенность как этиологические факторы.
Патогенез
Механизм развития патологического процесса в легких до конца не изучен. Установлено, что имплантированная ткань под воздействием женских половых гормонов претерпевает циклические изменения, характерные для маточного эндометрия, отеки и кровотечения во время менструации. Если имплантат связывается с бронхами, появляется кровохарканье. При кистозной форме заболевания в мокроте нет загрязнения крови. Крупные субплевральные очаги раздражают плевру, богатую болевыми рецепторами, вызывая боль в соответствующей половине грудной клетки.
Зоны имплантации эндометрия, сдавливая бронхи извне, частично нарушают его проходимость. В области легкого образуется клапан, который часто приводит к разрыву плевры и пневмотораксу. Этому процессу способствует массовое выделение биологически активных веществ макрофагами, которые скопились в пораженной фолликулярной ткани. Гемоторакс обычно вызывается эндометриозом серозных оболочек легких - кровь из очага, расположенного в плевре, переливается в ее полость.
Зоны имплантации эндометрия, сдавливая бронхи извне, частично нарушают его проходимость. В области легкого образуется клапан, который часто приводит к разрыву плевры и пневмотораксу. Этому процессу способствует массовое выделение биологически активных веществ макрофагами, которые скопились в пораженной фолликулярной ткани. Гемоторакс обычно вызывается эндометриозом серозных оболочек легких - кровь из очага, расположенного в плевре, переливается в ее полость.
Клиническая картина
Основным симптомом эндометриоидного повреждения бронхолегочной системы является кашель с кровью в мокроте. Степень кровопотери колеблется от незначительной (наличие прожилок крови при секреции бронхов) до значительной, что приводит к анемии. Характерным симптомом заболевания является циклический характер кровохарканья, его связь с менструацией. Чем тяжелее менструация, тем больше крови в мокроте. Кровохарканье прекращается в конце менструации и через некоторое время возобновляется, не беспокоит пациента на протяжении всей беременности, но может усилиться после аборта.
У некоторых пациентов эндометриоз легких проявляется болями в груди, расположенными в проекции патологического очага и обычно не связанными с дыхательными движениями. Интенсивность болевого синдрома различна. Многие пациенты жалуются на вялые боли, чувство давления в груди (симптом «тяжелой шерсти»). В некоторых случаях болевой синдром становится выраженным, его трудно остановить с помощью болеутоляющих средств. Боль возникает или усиливается с началом менструации. Его характер и интенсивность изменяются при вовлечении плевры в патологический процесс, возникает связь с глубоким дыханием, кашлем, чиханием. С наступлением беременности острые боли исчезают, а тупые сохраняются.
Рецидивирующий спонтанный пневмоторакс часто является первым проявлением эндометриоидного поражения плевры, которое иногда наблюдается, когда имплантат находится в паренхиме легкого. Он развивается за три дня до начала менструации или в первые три дня после начала менструации. У больного острые боли в груди, сухой и мучительный кашель, ощущение одышки. Накопление крови в плевральной полости при менорее встречается редко. Объем гемоторакса, как правило, незначителен, патология протекает бессимптомно или с небольшими клиническими проявлениями. Процесс в легких часто сопровождается эндометриозом органов малого таза с соответствующими симптомами.
Ассоциированные симптомы: Боль в грудной клетке. Кашель. Кровохарканье. Нехватка воздуха.
У некоторых пациентов эндометриоз легких проявляется болями в груди, расположенными в проекции патологического очага и обычно не связанными с дыхательными движениями. Интенсивность болевого синдрома различна. Многие пациенты жалуются на вялые боли, чувство давления в груди (симптом «тяжелой шерсти»). В некоторых случаях болевой синдром становится выраженным, его трудно остановить с помощью болеутоляющих средств. Боль возникает или усиливается с началом менструации. Его характер и интенсивность изменяются при вовлечении плевры в патологический процесс, возникает связь с глубоким дыханием, кашлем, чиханием. С наступлением беременности острые боли исчезают, а тупые сохраняются.
Рецидивирующий спонтанный пневмоторакс часто является первым проявлением эндометриоидного поражения плевры, которое иногда наблюдается, когда имплантат находится в паренхиме легкого. Он развивается за три дня до начала менструации или в первые три дня после начала менструации. У больного острые боли в груди, сухой и мучительный кашель, ощущение одышки. Накопление крови в плевральной полости при менорее встречается редко. Объем гемоторакса, как правило, незначителен, патология протекает бессимптомно или с небольшими клиническими проявлениями. Процесс в легких часто сопровождается эндометриозом органов малого таза с соответствующими симптомами.
Ассоциированные симптомы: Боль в грудной клетке. Кашель. Кровохарканье. Нехватка воздуха.
Возможные осложнения
Без лечения патологический очаг эндометриотической ткани сохраняется в легких и регулярно подвергается циклическим изменениям. Повторное кровохарканье наряду с обычным ежемесячным кровоизлиянием иногда приводит к развитию анемии. Спонтанный пневмоторакс часто рецидивирует и вызывает плевральные спайки. Экскурсия по легкому нарушается с последующим постепенным формированием дыхательной недостаточности. Двусторонний пневмоторакс является одним из самых опасных осложнений заболевания, при котором несвоевременное оказание медицинской помощи заканчивается смертью больного. Описаны единичные случаи малигнизации эндометриотических кист легких.
Диагностика
Диагностический поиск подозреваемого эндометриоза легких выполняется хирургом и гинекологом. При опросе пациентов с кровохарканьем, кровотечением или пневмотораксом особое внимание уделяется циклическому характеру клинических симптомов и связи с менструальным циклом. Роды, аборты, гинекологические операции, эндометриоз женских половых органов и других органов малого таза часто предшествуют развитию патологических изменений в легких, что учитывается при сборе анамнеза и изучении медицинских карт. Основными методами диагностики респираторного эндометриоза являются:
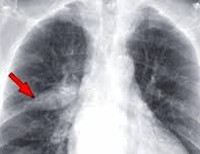
• Рентгенография, КТ грудной полости. Рентген или компьютерная томография пациентов с подозрением на бронхолегочный эндометриоз выполняется повторно для отслеживания динамических изменений. Очаговые тени характерны для данной патологии, инфильтраты определяются за 1-3 дня до менструации и удаляются на 7-10 дней. Кистозные образования сохраняются постоянно, независимо от периода менструального цикла.
• Лабораторные исследования. Анализ периферической крови выявляет снижение гемоглобина и эритроцитов в результате кровопотери. Исследование мокроты на наличие микобактерий туберкулеза позволяет дифференцировать эндометриоз легких с определенной патологией. Во время цитологического анализа эндометриальные клетки обнаруживаются в содержимом бронхов. Серологические методы диагностики, используемые для выявления антител к круглым червям, помогают исключить эозинофильную пневмонию.
Очень трудно визуализировать эндометриоз бронхов или легких, но когда во время кровохарканья проводится фибробронхоскопия, иногда можно определить его источник. Эндометриоз бронхиальной стенки представлен участками отечной, гиперемированной, кровоточащей слизистой оболочки. Полученный бронхо-лаваж подвергается цитологическому исследованию.
При наличии крупных подслизистых образований проводится видеоторакоскопия. Аспирационная биопсия с последующим цитологическим и гистологическим исследованием полученного материала и обнаружением в нем элементов эндометрия помогает установить диагноз. Бронхо-легочный эндометриоз часто скрыт в форме туберкулеза, рака и других респираторных заболеваний. С целью дифференциальной диагностики больных женщин консультируют у пульмонолога, онколога и специалиста по туберкулезу.
• Рентгенография, КТ грудной полости. Рентген или компьютерная томография пациентов с подозрением на бронхолегочный эндометриоз выполняется повторно для отслеживания динамических изменений. Очаговые тени характерны для данной патологии, инфильтраты определяются за 1-3 дня до менструации и удаляются на 7-10 дней. Кистозные образования сохраняются постоянно, независимо от периода менструального цикла.
• Лабораторные исследования. Анализ периферической крови выявляет снижение гемоглобина и эритроцитов в результате кровопотери. Исследование мокроты на наличие микобактерий туберкулеза позволяет дифференцировать эндометриоз легких с определенной патологией. Во время цитологического анализа эндометриальные клетки обнаруживаются в содержимом бронхов. Серологические методы диагностики, используемые для выявления антител к круглым червям, помогают исключить эозинофильную пневмонию.
Очень трудно визуализировать эндометриоз бронхов или легких, но когда во время кровохарканья проводится фибробронхоскопия, иногда можно определить его источник. Эндометриоз бронхиальной стенки представлен участками отечной, гиперемированной, кровоточащей слизистой оболочки. Полученный бронхо-лаваж подвергается цитологическому исследованию.
При наличии крупных подслизистых образований проводится видеоторакоскопия. Аспирационная биопсия с последующим цитологическим и гистологическим исследованием полученного материала и обнаружением в нем элементов эндометрия помогает установить диагноз. Бронхо-легочный эндометриоз часто скрыт в форме туберкулеза, рака и других респираторных заболеваний. С целью дифференциальной диагностики больных женщин консультируют у пульмонолога, онколога и специалиста по туберкулезу.
|
|
Лечение
Тактика лечения заболевания определяется в зависимости от тяжести клинических проявлений, размера, количества и расположения эндометриоидных имплантатов. Кроме того, учитывается риск развития злокачественных новообразований в контексте эндометриоза и согласие пациента на то или иное вмешательство. Существует три варианта лечения этой патологии:
• Хирургическая коррекция. Хирургические процедуры выполняются при легочном эндометриозе, сопровождающемся массивным кровохарканьем, рецидивирующим пневмотораксом или сильной болью в груди. Из-за риска возникновения злокачественных новообразований хирургическое вмешательство также рекомендуется при наличии кистозных образований. Минимально инвазивная видео-ассистированная торакоскопия является предпочтительной. При необходимости проводится торакотомия. Фокус удален, резекция пораженного сегмента, реже доли легкого. При поражении плевры проводится плевродез.
• Фармакологическое лечение. Показан при небольших проявлениях заболевания и генерализованном эндометриозе дыхательной системы, а также при отказе пациента от операции. Комбинированные оральные контрацептивы широко используются в акушерстве и гинекологии, которые подавляют овуляцию и подавляют секрецию эстрогена.
• Комбинированный метод. Это наиболее радикальный и предпочтительный метод лечения, он помогает предотвратить развитие рецидивов. Первым этапом является хирургическое удаление имплантата, выполняемое в отделении торакальной хирургии. На второй амбулаторной стадии препараты с антиэстрогенной активностью используются в течение длительного периода (до 6 месяцев и более).
При случайном обнаружении эндометриоидных узлов в легких, при бессимптомном течении патологии, лечение не назначается. Не рекомендуется использовать оральные контрацептивы в вялом процессе у женщин в пременопаузе. При длительном неэффективном лечении патологии, возникающей с тяжелыми симптомами и тяжелыми осложнениями, иногда выполняется «операция отчаяния» - гистерэктомия с двусторонней овариэктомией.
• Хирургическая коррекция. Хирургические процедуры выполняются при легочном эндометриозе, сопровождающемся массивным кровохарканьем, рецидивирующим пневмотораксом или сильной болью в груди. Из-за риска возникновения злокачественных новообразований хирургическое вмешательство также рекомендуется при наличии кистозных образований. Минимально инвазивная видео-ассистированная торакоскопия является предпочтительной. При необходимости проводится торакотомия. Фокус удален, резекция пораженного сегмента, реже доли легкого. При поражении плевры проводится плевродез.
• Фармакологическое лечение. Показан при небольших проявлениях заболевания и генерализованном эндометриозе дыхательной системы, а также при отказе пациента от операции. Комбинированные оральные контрацептивы широко используются в акушерстве и гинекологии, которые подавляют овуляцию и подавляют секрецию эстрогена.
• Комбинированный метод. Это наиболее радикальный и предпочтительный метод лечения, он помогает предотвратить развитие рецидивов. Первым этапом является хирургическое удаление имплантата, выполняемое в отделении торакальной хирургии. На второй амбулаторной стадии препараты с антиэстрогенной активностью используются в течение длительного периода (до 6 месяцев и более).
При случайном обнаружении эндометриоидных узлов в легких, при бессимптомном течении патологии, лечение не назначается. Не рекомендуется использовать оральные контрацептивы в вялом процессе у женщин в пременопаузе. При длительном неэффективном лечении патологии, возникающей с тяжелыми симптомами и тяжелыми осложнениями, иногда выполняется «операция отчаяния» - гистерэктомия с двусторонней овариэктомией.
Список литературы
1. Легочный эндометриоз как одна из форм эндометриоидной болезни / Двораковская И.В., Печенникова В.А., Ариэль Б.М., Платонова И.С., Новикова Л.Н., Оржешковский О.В., Пичуров А.А., Яблонский П. Оригинальные исследования - 2016 - №26.
2. Торакальный эндометриоз и катамениальный пневмоторакс / Воскресенский О.В., Смоляр А.Н., Дамиров М.М., Галанкина И.Е., Желев И.Г. Хирургия. Журнал им. Н.И. Пирогова - 2014 - №10.
3. Клиника и лечение эндометриоза / Баскаков В.П. 1990.
4. Легочный эндометриоз: лечебная тактика / Романов М.Д., Киреева Е.М. Новости хирургии - 2018 - Т.26, №1.
2. Торакальный эндометриоз и катамениальный пневмоторакс / Воскресенский О.В., Смоляр А.Н., Дамиров М.М., Галанкина И.Е., Желев И.Г. Хирургия. Журнал им. Н.И. Пирогова - 2014 - №10.
3. Клиника и лечение эндометриоза / Баскаков В.П. 1990.
4. Легочный эндометриоз: лечебная тактика / Романов М.Д., Киреева Е.М. Новости хирургии - 2018 - Т.26, №1.