Другие названия и синонимы
Computer necrosis of teeth.
МКБ-10 коды
|
|
Описание
Компьютерный некроз зубов - это прижизненный некроз твердых зубных тканей, который возникает из-за вредного воздействия компьютерного электромагнитного излучения на организм. Он относится к группе некариозных поражений зубов, которые развиваются после прорезывания зубов. Пациентов беспокоит гиперестезия зубов (гиперчувствительность), наличие коричневых пятен на эмали и сухость в полости рта. Компьютерный некроз можно диагностировать на этапе обследования, анамнеза, дополнительно с помощью рентгенографии, лабораторных анализов, электроодонтометрии. Лечение включает реминерализующую терапию, подготовку и устранение дефектов.
Дополнительные факты
Компьютеризированный некроз тканей зубов впервые был описан в 1997 г. Ю.А. Федоров. Заболевание обычно развивается у молодых и практически здоровых людей в возрасте от 25 до 30 лет с опытом работы в сфере информационных технологий 8-10 лет в режиме 10-12 часов в день. Имеются данные о патологии у пациентов, чья профессиональная деятельность, связанная с компьютером, была ограничена 10 часами в день в течение 7 лет в присутствии различных источников электромагнитного излучения. По мнению некоторых авторов, заболевание может возникать у людей, которые работают за компьютером по 9-10 часов в день всего 2-4 года.
Причины
Длительное пребывание перед экраном компьютера оказывает вредное влияние на здоровье человека. Электромагнитное излучение, исходящее от монитора и процессорного блока, негативно влияет на ткани и органы полости рта, в частности, может провоцировать компьютерный некроз зубов. Электромагнитное поле образуется при неравномерном движении и взаимодействии электрических зарядов и способно вызывать гибель одонтобластов (клеток дентина), нарушать нормальное функционирование пульпы, отрицательно влиять на состояние эмали, слюнных желез и ротовой жидкости.
Патогенез
Электромагнитное излучение ПК вызывает гибель одонтобластов, увеличивает скорость растворения важных минеральных компонентов твердых тканей зуба: кальция на 77%, фосфора на 91%. Это указывает на уменьшение количества этих элементов в эмали, в результате чего она становится менее долговечной. Кроме того, увеличивается удельная электропроводность эмали под воздействием электромагнитных волн, уменьшается ее кислотостойкость, что также отражает негативное влияние компьютерного излучения на здоровье зубной эмали.
Наблюдается изменение физико-химических параметров ротовой жидкости: деградация форм кристаллов, входящих в ее структуру, снижение концентрации общего белка, активных ионов калия. Поверхностное натяжение ротовой жидкости уменьшается, а вязкость увеличивается. Нарушение структуры ротовой жидкости приводит к снижению ее минерализующей функции: она становится неспособной обеспечить эмаль необходимым количеством минеральных веществ. В результате эмаль не может полностью противостоять воздействию неблагоприятных факторов.
Наблюдается изменение физико-химических параметров ротовой жидкости: деградация форм кристаллов, входящих в ее структуру, снижение концентрации общего белка, активных ионов калия. Поверхностное натяжение ротовой жидкости уменьшается, а вязкость увеличивается. Нарушение структуры ротовой жидкости приводит к снижению ее минерализующей функции: она становится неспособной обеспечить эмаль необходимым количеством минеральных веществ. В результате эмаль не может полностью противостоять воздействию неблагоприятных факторов.
Клиническая картина
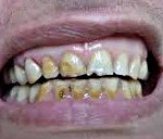
На начальной стадии заболевания пациент отмечает незначительное повышение чувствительности зубов к механическим (горячая, холодная пища), химическим (использование кислых пищевых продуктов) раздражителям. В дальнейшем компьютерный некроз характеризуется отсутствием болевых симптомов, поэтому большинство пациентов не обращаются к врачу в течение длительного времени. Особо внимательные пациенты могут жаловаться на эстетику, отмечая многочисленные темно-коричневые дефекты на губных поверхностях зубов.
Пациенты могут испытывать ощущение сухости во рту в результате снижения секреции слюны (ксеростомия). Уменьшение его секреции может вызвать затруднения речи и приема пищи, спровоцировать боль из-за инфекционных и воспалительных поражений, трещин, эрозии слизистой оболочки полости рта. Из сопутствующих заболеваний у больных отмечается компьютерный некроз зубов, нейродермит, замедление свертывания крови и заболевание печени.
Ассоциированные симптомы: Зубная боль. Сухость во рту.
Пациенты могут испытывать ощущение сухости во рту в результате снижения секреции слюны (ксеростомия). Уменьшение его секреции может вызвать затруднения речи и приема пищи, спровоцировать боль из-за инфекционных и воспалительных поражений, трещин, эрозии слизистой оболочки полости рта. Из сопутствующих заболеваний у больных отмечается компьютерный некроз зубов, нейродермит, замедление свертывания крови и заболевание печени.
Ассоциированные симптомы: Зубная боль. Сухость во рту.
Возможные осложнения
Отсутствие быстрой диагностики и правильного лечения компьютерного некроза приводит к неприглядному появлению зубочелюстной системы, что может вызвать психологические проблемы у чувствительных пациентов. Компьютерный некроз может осложняться потерей зубов из-за прикрепления к некротическим очагам кариозного процесса, что приводит к риску пульпита и периодонтита. Дистрофические процессы заболеваний пародонта, возникающие в результате атрофии окружающей костной ткани, могут непосредственно привести к потере зуба.
Диагностика
Вы должны обратиться к стоматологу для правильного диагноза. Жалобы пациента выявляются на стойке регистрации, изучается история болезни пациента, определяется профессия пациента - компьютеры, радиоактивное излучение, химические вещества Это помогает отличить компьютерный некроз зубов от других некариозных поражений и кариеса. Дальнейшая диагностика основана на следующем плане:
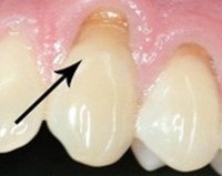
Повреждение зубной ткани разнообразно, обширно и системно. Очаги некроза в основном пигментированы и заполнены мертвой тканью с мягкой консистенцией, которая может быть легко удалена инструментом. Поврежденные области покрывают значительную часть зубных коронок, корней, костей, особенно шейных и «иммунных» (наиболее устойчивых к кариесу) областей зуба - бугорка, экватора и изгибов. Окружающая ткань мутно-белая и тусклая. Корни с эрозионно-подобными дефектами особенно обнажены с вестибулярной поверхности.
• Электродонтометрия. Это исследование иногда используется для оценки состояния зубной пульпы с использованием электрического тока определенной силы. Компьютерный некроз характеризуется электроодонометром 25-30 мкА, что может свидетельствовать о нарушении функции клеток пульпарной камеры.
• Панорамная рентгенография. На ортопантомограмме выявлена гипоминерализация кости и тканей зуба: структура зуба и структуры кости более прозрачна, ей не хватает четкости. Отмечены депрессии, которые соответствуют участкам некроза. В пародонте признаки дистрофического процесса видны в виде атрофии кости.
Чтобы установить сопутствующие нарушения свертываемости крови, назначают клинический анализ крови, прежде всего обращая внимание на количество тромбоцитов. Коагулограмма также выполняется для оценки времени коагуляции, исследования образцов печени.
Повреждение зубной ткани разнообразно, обширно и системно. Очаги некроза в основном пигментированы и заполнены мертвой тканью с мягкой консистенцией, которая может быть легко удалена инструментом. Поврежденные области покрывают значительную часть зубных коронок, корней, костей, особенно шейных и «иммунных» (наиболее устойчивых к кариесу) областей зуба - бугорка, экватора и изгибов. Окружающая ткань мутно-белая и тусклая. Корни с эрозионно-подобными дефектами особенно обнажены с вестибулярной поверхности.
• Электродонтометрия. Это исследование иногда используется для оценки состояния зубной пульпы с использованием электрического тока определенной силы. Компьютерный некроз характеризуется электроодонометром 25-30 мкА, что может свидетельствовать о нарушении функции клеток пульпарной камеры.
• Панорамная рентгенография. На ортопантомограмме выявлена гипоминерализация кости и тканей зуба: структура зуба и структуры кости более прозрачна, ей не хватает четкости. Отмечены депрессии, которые соответствуют участкам некроза. В пародонте признаки дистрофического процесса видны в виде атрофии кости.
Чтобы установить сопутствующие нарушения свертываемости крови, назначают клинический анализ крови, прежде всего обращая внимание на количество тромбоцитов. Коагулограмма также выполняется для оценки времени коагуляции, исследования образцов печени.
Лечение
Решение этой проблемы в терапевтической стоматологии совместно с терапевтами. Лечение заболевания делится на местное и общее. Местное лечение заключается в непосредственном воздействии на очаг поражения, общее - в назначении препаратов внутрь.
• Системное лечение. Назначаются витамины, антиоксиданты (аскорбиновая кислота, бета-каротин), биологически активные вещества. Для восстановления оптимального уровня минеральных соединений в тканях зуба используются глицерофосфат кальция, препараты, содержащие макро- и микроэлементы.
Мертвая ткань удаляется, дефект подвергается ревматологии. Они выполняют аппликации фосфатсодержащих паст, физиотерапию (электрофорез с глицерофосфатом кальция), полоскания с кальцием, хлорофилл. Через некоторое время отдельные зубы временно заполняются кальциевыми прокладками на 1-2 месяца. Обработка завершена восстановлением стеклоиономерных цементов, использование композитов в первый год контроля запрещено.
• Системное лечение. Назначаются витамины, антиоксиданты (аскорбиновая кислота, бета-каротин), биологически активные вещества. Для восстановления оптимального уровня минеральных соединений в тканях зуба используются глицерофосфат кальция, препараты, содержащие макро- и микроэлементы.
Мертвая ткань удаляется, дефект подвергается ревматологии. Они выполняют аппликации фосфатсодержащих паст, физиотерапию (электрофорез с глицерофосфатом кальция), полоскания с кальцием, хлорофилл. Через некоторое время отдельные зубы временно заполняются кальциевыми прокладками на 1-2 месяца. Обработка завершена восстановлением стеклоиономерных цементов, использование композитов в первый год контроля запрещено.
|
|
Прогноз
Прогноз компьютерного некроза зубов во время лечения можно считать благоприятным. Чтобы избежать полного разрушения и потери зубов при работе на компьютере, следует соблюдать определенные правила. Не рекомендуется проводить более 8 часов в день перед компьютером и на расстоянии менее 70 см от экрана. Если на рабочем месте два компьютера, расстояние между ними должно быть не менее 2 метров.
Профилактика
Для проветривания помещения необходимо каждые 15 часов делать 15-минутные перерывы в работе. Вам следует посещать стоматолога не реже одного раза в шесть месяцев, наблюдать за состоянием полости рта. Рекомендуется использовать зубные пасты с содержанием кальция для чистки зубов или реминерализующих гелей для домашнего использования, правильно питаться, уделять достаточно времени физической активности.
Список литературы
1. Кариес и некариозные поражения: методические рекомендации/ под ред. Л.Ю. Ореховой. 2011.
2. Клинико-лабораторная диагностика органов и тканей полости рта лиц, работающих под воздействием электромагнитного излучения/ Ломиашвили Л.М., Борисенко М.А. Институт стоматологии. 2007. №1.
3. Влияние электромагнитного излучения компьютера на состояние ротовой жидкости и твердых тканей зубов человека (клинико-экспериментальное исследование): Автореферат диссертации/ Васильева Н.А. 2006.
4. Влияние электромагнитного излучения компьютеров на твердые ткани зуба/ Хаджибрагимов М.С. Бюллетень медицинских Интернет‐конференций. 2018. Том 8, No 4.
2. Клинико-лабораторная диагностика органов и тканей полости рта лиц, работающих под воздействием электромагнитного излучения/ Ломиашвили Л.М., Борисенко М.А. Институт стоматологии. 2007. №1.
3. Влияние электромагнитного излучения компьютера на состояние ротовой жидкости и твердых тканей зубов человека (клинико-экспериментальное исследование): Автореферат диссертации/ Васильева Н.А. 2006.
4. Влияние электромагнитного излучения компьютеров на твердые ткани зуба/ Хаджибрагимов М.С. Бюллетень медицинских Интернет‐конференций. 2018. Том 8, No 4.