Другие названия и синонимы
Tooth root caries, Кариес цемента.
МКБ-10 коды
- МКБ-10
- K02.2 Кариес цемента
|
|
Описание
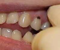
Кариес - это патологический деструктивный процесс, который характеризуется разрушением твердых тканей внутрикостной (корневой) части зуба. Заболевание может быть абсолютно бессимптомным или проявляться как косметический дефект, вызывать боль во время еды и чистить зубы. На стадии осмотра полости рта уже можно заподозрить кариозное поражение корня и подтвердить с помощью тепловых тестов, инструментальной диагностики (рентгенография зубов, ЭДИ). Основными методами лечения являются заполнение кариозного очага и реминерализация терапии.
Дополнительные факты
Разрушение зубов распространено на всех континентах и затрагивает каждую популяцию, заболеваемость которой почти полная - 80-98%. Распространенность корневого кариеса (цементного кариеса) коррелирует с возрастом и колеблется от 4% у пациентов в возрасте до 30 лет до 35-50% в группе старше 65 лет. Поражение чаще встречается у людей с ограниченным связыванием десен - у пациентов с периодонтитом и у пожилых людей с возрастной атрофией костной ткани. Особенно агрессивное течение наблюдается у людей, которые получают облучение головы и шеи. Кариес цемента может возникнуть на любом зубе, но чаще поражаются коренные зубы.
Причины
Современные исследователи выделяют три основных состояния, которые провоцируют появление кариозного поражения в области корня зуба: заболевание развивается только при одновременном сочетании. То есть ни одна из этих причин сама по себе (при отсутствии двух других) не способна вызвать начало патологического процесса:
• Кариогенная микрофлора. Среди различных микроорганизмов, которые колонизируют полость рта, доминируют бактерии. Некоторые из них, например Mutans streptococci, actinomycetes и некоторые виды лактобацилл, производят углеводы из пищи, органических кислот, которые вызывают деминерализацию цемента. Это приводит к увеличению его проницаемости, к появлению кариозного поражения.
• Употребление простых углеводов. Сахароза обладает наибольшей кариогенностью, основным источником которой является рафинированный сахар. Бактерии расщепляют его, синтезируя кислоту и глюкан - вещество, участвующее в образовании зубного налета. Другие углеводы также опасны: например, фруктоза и крахмал. Чтобы начать производство органических кислот, углеводы должны задерживаться на поверхности цемента, чтобы бактериальные клетки могли их поглощать.
• Снижение сопротивления кариесу. Это ухудшение устойчивости тканей зуба и организма в целом к возникновению кариозного процесса. Многие причины могут привести к этому состоянию: снижение содержания кальция в структуре твердых тканей корня, недостаточное слюноотделение, вредные привычки Наблюдается снижение прочности цемента и дентина, процесс естественной очистки поверхности зуба слюной прерывается.
Вероятность развития заболевания возрастает при наличии предрасполагающих факторов. Риск кариозных поражений области корня увеличивается у людей старше 60 лет, когда атрофия костной ткани и воздействие на корень зуба происходят из-за возраста. Люди с пародонтитом, пародонтозом, рецессией десен, при которых наблюдается нарушение прикрепления десен, часто подвергаются радикальному кариесу. Опасность возрастает из-за несоблюдения гигиены полости рта, снижения местного иммунитета слизистой оболочки.
• Кариогенная микрофлора. Среди различных микроорганизмов, которые колонизируют полость рта, доминируют бактерии. Некоторые из них, например Mutans streptococci, actinomycetes и некоторые виды лактобацилл, производят углеводы из пищи, органических кислот, которые вызывают деминерализацию цемента. Это приводит к увеличению его проницаемости, к появлению кариозного поражения.
• Употребление простых углеводов. Сахароза обладает наибольшей кариогенностью, основным источником которой является рафинированный сахар. Бактерии расщепляют его, синтезируя кислоту и глюкан - вещество, участвующее в образовании зубного налета. Другие углеводы также опасны: например, фруктоза и крахмал. Чтобы начать производство органических кислот, углеводы должны задерживаться на поверхности цемента, чтобы бактериальные клетки могли их поглощать.
• Снижение сопротивления кариесу. Это ухудшение устойчивости тканей зуба и организма в целом к возникновению кариозного процесса. Многие причины могут привести к этому состоянию: снижение содержания кальция в структуре твердых тканей корня, недостаточное слюноотделение, вредные привычки Наблюдается снижение прочности цемента и дентина, процесс естественной очистки поверхности зуба слюной прерывается.
Вероятность развития заболевания возрастает при наличии предрасполагающих факторов. Риск кариозных поражений области корня увеличивается у людей старше 60 лет, когда атрофия костной ткани и воздействие на корень зуба происходят из-за возраста. Люди с пародонтитом, пародонтозом, рецессией десен, при которых наблюдается нарушение прикрепления десен, часто подвергаются радикальному кариесу. Опасность возрастает из-за несоблюдения гигиены полости рта, снижения местного иммунитета слизистой оболочки.
Патогенез
При потреблении пищевых продуктов, содержащих сахарозу или другие кариогенные углеводы, микрофлора зубного налета сбраживает эти вещества с образованием органических кислот: пировиноградной, молочной, муравьиной , Если корень подвергается воздействию, цементное покрытие подвергается воздействию кислот, которые проникают и диссоциируют из-за градиента концентрации, вызывая деминерализацию.
В дальнейшем патология может прогрессировать и влиять на дентин, вызывая появление кариозной полости. Обычно он заполнен остатками пищи, микроорганизмами, частями ротовой жидкости и разлагающейся тканью зуба. Дентин, выстилающий стенки дефекта, деминерализуется, заражается, его глубокие слои склерозируются, постепенно превращаясь в неповрежденную ткань.
В дальнейшем патология может прогрессировать и влиять на дентин, вызывая появление кариозной полости. Обычно он заполнен остатками пищи, микроорганизмами, частями ротовой жидкости и разлагающейся тканью зуба. Дентин, выстилающий стенки дефекта, деминерализуется, заражается, его глубокие слои склерозируются, постепенно превращаясь в неповрежденную ткань.
Классификация
В центральной части корня зуба находится корневой канал с сосудами и нервами. Он окружен дентином, который снаружи покрыт цементом. Эти две ткани, состоящие из минеральных солей и органических соединений в разных пропорциях, могут подвергаться кариозному процессу. В зависимости от глубины поражения в терапевтической стоматологии выделяют три формы кариеса корня:
Характеризуется частичным разрушением цемента, но граница с дентином остается. В этом случае на поверхности корня может появиться коричневое или темное пятно.
Цементно-дентиновое соединение разрушается, образуется мелкий коричневатый дефект, окруженный верхним слоем дентина. Глубина полости не превышает 0,5.
Эта форма отличается диффузией процесса на глубину более 0,5 миллиметра. Кариозная полость отделена от пульповой камеры только тонким слоем дентина.
Характеризуется частичным разрушением цемента, но граница с дентином остается. В этом случае на поверхности корня может появиться коричневое или темное пятно.
Цементно-дентиновое соединение разрушается, образуется мелкий коричневатый дефект, окруженный верхним слоем дентина. Глубина полости не превышает 0,5.
Эта форма отличается диффузией процесса на глубину более 0,5 миллиметра. Кариозная полость отделена от пульповой камеры только тонким слоем дентина.
Клиническая картина
Процесс может протекать бессимптомно, особенно на начальном этапе, но он может вызывать боль при чистке, употреблении кислой, соленой или сладкой пищи, которая быстро проходит после удаления раздражителя. Иногда неприятные ощущения вызывают горячую или холодную пищу. Если патологический очаг в виде локального потемнения цемента располагается на губной поверхности передних зубов, пациент жалуется на плохую эстетику. Иногда пятно практически сливается с поверхностью корней или прячется под плиту или камень.
Когда кариозный процесс достигает соединения цемент-дентин и проникает в поверхностные слои дентина, полость становится глубже, заполняется мертвой тканью, пищей или зубной нитью. Кратковременная боль также вызвана химическими, температурными и механическими факторами, но может полностью отсутствовать. Когда кариес поражает слои дентина, прилегающие к полости зуба, боль часто возникает при употреблении горячей или холодной пищи. В остальном, симптомы глубокой формы кариеса похожи на симптомы на предыдущих этапах.
Ассоциированные симптомы: Зубная боль. Неприятный запах изо рта. Потеря веса. Привкус крови во рту.
Когда кариозный процесс достигает соединения цемент-дентин и проникает в поверхностные слои дентина, полость становится глубже, заполняется мертвой тканью, пищей или зубной нитью. Кратковременная боль также вызвана химическими, температурными и механическими факторами, но может полностью отсутствовать. Когда кариес поражает слои дентина, прилегающие к полости зуба, боль часто возникает при употреблении горячей или холодной пищи. В остальном, симптомы глубокой формы кариеса похожи на симптомы на предыдущих этапах.
Ассоциированные симптомы: Зубная боль. Неприятный запах изо рта. Потеря веса. Привкус крови во рту.
Возможные осложнения
Если вы не пытаетесь лечить корневой кариес, процесс может достичь полости зуба и спровоцировать пульпит. В то же время боль настолько невыносима, что поездку к врачу становится невозможно отложить. Если вы терпите боль пульпита, то она может исчезнуть сама по себе, что указывает на хронический процесс. В будущем инфекция может спровоцировать воспаление связки соединительной ткани зуба - периодонтит, и это в случае несвоевременного обращения за медицинской помощью чревато разрушением лежащей в основе кости и потерей зуба.
Диагностика
Наличие кариеса выявляет стоматолог. Диагностика проводится поэтапно при первом клиническом посещении. Процесс обследования направлен на объяснение недомоганий пациента: наличия боли, ее характера и сопутствующих обстоятельств. Кроме того, проводятся различные тесты и исследования:
• Зондирование зуба. Осмотр зубов проводится с помощью зубного зеркала и острого зонда. При исследовании быстро прогрессирующего кариозного поражения отмечается его мягкая или «кожистая» консистенция и неровные острые края. Поверхность патологического очага на стадии ремиссии обычно блестящая, гладкая, твердая с гладкими, плотными краями.
• Температурные испытания. Чтобы отличить глубокий кариес от пульпита, используйте холодную воду и горячий воск. В этом случае обратите внимание на длительность боли: если неприятные ощущения исчезают сразу или быстро после устранения раздражителя, они обычно диагностируют кариозное поражение.
• Электродонтометрия. С помощью специального устройства состояние зубной пульпы определяется в зависимости от ее реакции на электрический ток определенной силы. В случае корневого кариеса чувствительность зубной ткани к силе тока находится в диапазоне 2-6 мкА (иногда больше), при пульпите - примерно 20-90 мкА. Значения выше 100 мкА вызывают подозрение на гибель пульпы и развитие пародонтита.
• Рентгенологическое обследование. Пациент подвергается интраоральной прицельной картине одного, двух или трех больных зубов. На нем размеры и глубина фокуса хорошо визуализируются, что позволяет нам оценить целостность границы между дентином и цементом. Особое внимание уделяется расстоянию от дна полости до пульповой камеры.
• Зондирование зуба. Осмотр зубов проводится с помощью зубного зеркала и острого зонда. При исследовании быстро прогрессирующего кариозного поражения отмечается его мягкая или «кожистая» консистенция и неровные острые края. Поверхность патологического очага на стадии ремиссии обычно блестящая, гладкая, твердая с гладкими, плотными краями.
• Температурные испытания. Чтобы отличить глубокий кариес от пульпита, используйте холодную воду и горячий воск. В этом случае обратите внимание на длительность боли: если неприятные ощущения исчезают сразу или быстро после устранения раздражителя, они обычно диагностируют кариозное поражение.
• Электродонтометрия. С помощью специального устройства состояние зубной пульпы определяется в зависимости от ее реакции на электрический ток определенной силы. В случае корневого кариеса чувствительность зубной ткани к силе тока находится в диапазоне 2-6 мкА (иногда больше), при пульпите - примерно 20-90 мкА. Значения выше 100 мкА вызывают подозрение на гибель пульпы и развитие пародонтита.
• Рентгенологическое обследование. Пациент подвергается интраоральной прицельной картине одного, двух или трех больных зубов. На нем размеры и глубина фокуса хорошо визуализируются, что позволяет нам оценить целостность границы между дентином и цементом. Особое внимание уделяется расстоянию от дна полости до пульповой камеры.
|
|
Лечение
Режим лечения разрабатывается исходя из стадии и скорости кариозного процесса, количества пораженных зубов. В этом случае условия всей полости рта (слизистая оболочка, прикус) и наличие сопутствующей патологии у пациента обязательно учитываются. Основные современные методы, используемые для устранения корневого кариеса, включают в себя:
• Реминерализующая терапия. Этот метод как единственный метод лечения подходит только для начальной стадии заболевания. Зубной цемент подвергается воздействию местных или общих препаратов с высоким содержанием кальция и фтора, которые устраняют или стабилизируют очаг деминерализации. Ремотерапия как вспомогательный метод показана также при быстро прогрессирующем кариесе, когда патологический процесс поражает большое количество зубов за короткий промежуток времени.
• Подготовка и герметизация. Если граница цемент-дентин повреждена, кариозное поражение под местной анестезией постепенно открывается и обрабатывается борами. Затем образовавшаяся полость заполняется пломбой. В современных медицинских учреждениях наиболее распространенными наполнителями на основе полимеров являются светоотверждаемые композиты.
Часто пациентам рекомендуется посещать хирурга и пародонтолога, чтобы закрыть открытый корень десневым лоскутом и лечить заболевания пародонта. Если цемент защищен тканью десны, бактерии и углеводы не смогут проникнуть на его поверхность. Также пациент может быть направлен к гастроэнтерологу или эндокринологу, поскольку желудочно-кишечные заболевания и эндокринные расстройства являются факторами риска развития кариеса.
• Реминерализующая терапия. Этот метод как единственный метод лечения подходит только для начальной стадии заболевания. Зубной цемент подвергается воздействию местных или общих препаратов с высоким содержанием кальция и фтора, которые устраняют или стабилизируют очаг деминерализации. Ремотерапия как вспомогательный метод показана также при быстро прогрессирующем кариесе, когда патологический процесс поражает большое количество зубов за короткий промежуток времени.
• Подготовка и герметизация. Если граница цемент-дентин повреждена, кариозное поражение под местной анестезией постепенно открывается и обрабатывается борами. Затем образовавшаяся полость заполняется пломбой. В современных медицинских учреждениях наиболее распространенными наполнителями на основе полимеров являются светоотверждаемые композиты.
Часто пациентам рекомендуется посещать хирурга и пародонтолога, чтобы закрыть открытый корень десневым лоскутом и лечить заболевания пародонта. Если цемент защищен тканью десны, бактерии и углеводы не смогут проникнуть на его поверхность. Также пациент может быть направлен к гастроэнтерологу или эндокринологу, поскольку желудочно-кишечные заболевания и эндокринные расстройства являются факторами риска развития кариеса.
Прогноз
Прогноз правильного лечения кариеса корня зуба можно рассматривать как благоприятный. Однако вторичный кариозный процесс часто происходит вокруг запечатанной полости, появление которой зависит от состояния здоровья пациента и подхода к гигиене полости рта. Разработка и клинические испытания новых наполнителей, которые могут навсегда предотвратить рецидив заболевания.
Профилактика
Чтобы заполнить и сохранить зубы нетронутыми в течение многих лет, вам нужно регулярно пользоваться зубной нитью, чистить зубы зубной пастой два раза в день после первого и последнего приема пищи. В течение дня после еды (особенно сладостей, сладких фруктов) рекомендуется полоскать рот щелочной минеральной водой. Вы также можете использовать жевательную резинку без фруктовых ароматизаторов через 5-10 минут после еды до 3-5 раз в день, если нет противопоказаний.
Список литературы
1. Практическая терапевтическая стоматология: учебное пособие/ Николаев А.И., Цепов Л.М. 2010.
2. Кариес зубов: учебное пособие/ Фищев С.Б., Климов А.Г., Севастьянов А.В. 2016.
3. Геронтостоматология: учебное пособие / Иорданашвили А. 2015.
4. Практическая гигиена полости рта/ Улитовский С.Б. 2002.
2. Кариес зубов: учебное пособие/ Фищев С.Б., Климов А.Г., Севастьянов А.В. 2016.
3. Геронтостоматология: учебное пособие / Иорданашвили А. 2015.
4. Практическая гигиена полости рта/ Улитовский С.Б. 2002.