Другие названия и синонимы
Bottle caries.
МКБ-10 коды
- МКБ-10
- K02 Кариес зубов
|
|
Описание
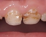
Бутылочный кариес. Групповое кариозное поражение молочных зубов у детей раннего возраста, обусловленное неправильной диетой и недостаточной гигиеной полости рта ребенка. Бутылочный кариес поражает пришеечные области верхних резцов и клыков и проходит несколько стадий: стадию деминерализации, разрушения эмали, разрушения эмалево-дентинного соединения, глубокого поражения твердых тканей зуба. Диагностика бутылочного кариеса проводится детским стоматологом по итогам осмотра полости рта ребенка и наличия характерных поражений. На ранних этапах лечение бутылочного кариеса может включать проведение реминерализирующей терапии, серебрение зубов. В запущенных случаях - обработку и пломбирование кариозных полостей.
Дополнительные факты
Бутылочный кариес - ранний детский кариес, выявляющийся у детей в возрасте 1-3 лет. Другие названия раннего детского кариеса - «ясельный», «бутылочный», «кефирный», «кариес вскармливания», «циркулярный» и тд в той или иной степени отражают возраст, в котором возникает заболевание, пути его возникновения и характер поражения зубов. Риск развития бутылочного кариеса прямо пропорционален продолжительности грудного или бутылочного вскармливания ребенка: так, у детей, сосавших грудь или бутылочку до 1 года, кариес выявляется в 6% случаев; до 1,5 лет - в 25%; до 2-х лет - в 38-40% случаев. Проблема раннего выявления и лечения бутылочного кариеса заслуживает самого пристального внимания со стороны детской стоматологии и педиатрии в целом, поскольку осложненные формы патологии могут вызывать поражение и гибель зачатков постоянных зубов.
Клиническая картина
Зубная боль.
Причины
В основе бутылочного кариеса, как и любого другого вида кариеса, лежат очаговые скопления бактериальной флоры, которые способствуют ферментированию углеводов с образованием органических кислот и сдвигу кислотно-щелочного равновесия в кислую сторону. Эти процессы приводят к повреждению эмали и облегчают проникновение бактерий в дентинные канальцы, что приводит к размягчению и разрушению твердых тканей зуба.
Кроме общих причин, в развитии бутылочного кариеса важная роль принадлежит частным факторам, а именно - нарушению режима питания ребенка раннего возраста, низкому уровню гигиены полости рта, изменению состава слюны, снижению защитных сил организма, наличию хронических заболеваний у родителей малыша.
Известно, что развитию бутылочного кариеса в большей степени подвержены дети, получающие естественное или искусственное вскармливание «по требованию» дольше одного года. При этом особенно негативно на состоянии молочных зубов отражаются ночные кормления ребенка (грудью, смесью или подслащенными напитками из бутылочки), способствующие скоплению на зубах остатков пищи. После ночного кормления ребенок сразу засыпает, и по понятным причинам зубки ему никто не чистит. Малое количество слюны, выделяющееся во время сна, не способно смыть пищевые остатки, нейтрализовать бактерии и кислоты, восполнить минеральный состав эмали. Таким образом, неправильный режим кормления ребенка в сочетании с отсутствием адекватной гигиены полости рта и гипосекрецией слюны во время сна играют пусковую роль в развитии бутылочного кариеса.
Помимо причин местного порядка, свой вклад в формирование бутылочного кариеса вносит ослабление общего иммунитета, связанное с инфекционными заболеваниями (ОРВИ, кишечной инфекцией, энтеровирусной инфекцией и тд ), общесоматическими заболеваниями (сахарным диабетом ). Изменения общего иммунитета всегда сопровождаются снижением в слюне концентрации иммуноглобулинов - специфических местных защитных факторов, препятствуют размножению бактерий в полости рта. В свою очередь, беспрепятственное развитие патогенных микроорганизмов, выделение ими токсинов и кислых продукты жизнедеятельности вызывают повышение вязкости и снижение pH слюны. В кислой среде слюна не выполняет свою реминерализирующую функцию; вместе с этим, кальций легко выходит из минерального компонента зубной эмали, что опять же запускает процесс развития бутылочного кариеса.
Поражению зубов ребенка раннего возраста бутылочным кариесом также способствуют стоматологические, желудочно-кишечные и ЛОР заболевания родителей, которые при тесном общении с ребенком «делятся» с ним своей микрофлорой. Наличие у родителей зубного налета, кариеса, пародонтита, гингивита, тонзиллита, хронического гастрита и пр. приводит к тому, что организм ребенка с первых дней жизни сталкивается с высоковирулентной патогенной микрофлорой, противостоять которой он оказывается не в силах. Поэтому будущей маме крайне важно еще до зачатия или в рамках программы ведения беременности устранить все имеющиеся в организме очаги хронической инфекции.
Кроме общих причин, в развитии бутылочного кариеса важная роль принадлежит частным факторам, а именно - нарушению режима питания ребенка раннего возраста, низкому уровню гигиены полости рта, изменению состава слюны, снижению защитных сил организма, наличию хронических заболеваний у родителей малыша.
Известно, что развитию бутылочного кариеса в большей степени подвержены дети, получающие естественное или искусственное вскармливание «по требованию» дольше одного года. При этом особенно негативно на состоянии молочных зубов отражаются ночные кормления ребенка (грудью, смесью или подслащенными напитками из бутылочки), способствующие скоплению на зубах остатков пищи. После ночного кормления ребенок сразу засыпает, и по понятным причинам зубки ему никто не чистит. Малое количество слюны, выделяющееся во время сна, не способно смыть пищевые остатки, нейтрализовать бактерии и кислоты, восполнить минеральный состав эмали. Таким образом, неправильный режим кормления ребенка в сочетании с отсутствием адекватной гигиены полости рта и гипосекрецией слюны во время сна играют пусковую роль в развитии бутылочного кариеса.
Помимо причин местного порядка, свой вклад в формирование бутылочного кариеса вносит ослабление общего иммунитета, связанное с инфекционными заболеваниями (ОРВИ, кишечной инфекцией, энтеровирусной инфекцией и тд ), общесоматическими заболеваниями (сахарным диабетом ). Изменения общего иммунитета всегда сопровождаются снижением в слюне концентрации иммуноглобулинов - специфических местных защитных факторов, препятствуют размножению бактерий в полости рта. В свою очередь, беспрепятственное развитие патогенных микроорганизмов, выделение ими токсинов и кислых продукты жизнедеятельности вызывают повышение вязкости и снижение pH слюны. В кислой среде слюна не выполняет свою реминерализирующую функцию; вместе с этим, кальций легко выходит из минерального компонента зубной эмали, что опять же запускает процесс развития бутылочного кариеса.
Поражению зубов ребенка раннего возраста бутылочным кариесом также способствуют стоматологические, желудочно-кишечные и ЛОР заболевания родителей, которые при тесном общении с ребенком «делятся» с ним своей микрофлорой. Наличие у родителей зубного налета, кариеса, пародонтита, гингивита, тонзиллита, хронического гастрита и пр. приводит к тому, что организм ребенка с первых дней жизни сталкивается с высоковирулентной патогенной микрофлорой, противостоять которой он оказывается не в силах. Поэтому будущей маме крайне важно еще до зачатия или в рамках программы ведения беременности устранить все имеющиеся в организме очаги хронической инфекции.
Классификация
В зависимости глубины и поражения от возраста ребенка выделяют 4 стадии бутылочного кариеса:
Начальная стадия (10. 20 месяцев) - характеризуется появлением на вестибулярной и палатальной поверхности верхних резцов меловых пятен - очагов деминерализации эмали. В пришеечной области отчетливо определяется белесая линия. Болевые ощущения отсутствуют. На данном этапе бутылочный кариес может быть диагностирован детским стоматологом только после высушивания поверхности пораженного зуба, поэтому родители часто не замечают наметившиеся изменения. При проведении соответствующих лечебно-профилактических мероприятий дальнейшее развитие бутылочного кариеса на начальной стадии может быть приостановлено.
Стадия поверхностного кариеса (16. 24 месяцев) - характеризуется образованием дефекта в пределах зубной эмали и обнажением дентина. Поверхностный кариес поражает не только пришеечные области резцов и клыков, но и проксимальные и окклюзионные поверхности верхних моляров. Кариозные очаги имеют светло-желтый или коричневатый цвет, возникает гиперестезия зубов. Поверхностный бутылочный кариес требует препарирования и пломбирования полости.
Стадия среднего кариеса (20. 36 месяцев) - характеризуется разрушением эмали и частично дентина зуба. Сопровождается образованием глубоких очагов поражения в области верхних резцов, поверхностного кариеса - на молярах верхней челюсти; начального кариеса - на молярах нижней и клыках верхней челюсти. На данной стадии требуется проведение лечения среднего кариеса.
Стадия глубокого кариеса (30. 48 месяцев) - характеризуется поражением эмали и большей части дентина резцов верхней челюсти. Поражение моляров верхней челюсти достигает стадии среднего кариеса; клыков и вторых моляров верхней челюсти, а также первых моляров нижней челюсти - поверхностного кариеса. На данной стадии бутылочного кариеса ребенок страдает от зубной боли, плохо спит, отказывается от приема пищи. Стоматологическая помощь заключается в лечении глубокого кариеса, по показаниям - хирургическом или ортопедическом лечении.
Начальная стадия (10. 20 месяцев) - характеризуется появлением на вестибулярной и палатальной поверхности верхних резцов меловых пятен - очагов деминерализации эмали. В пришеечной области отчетливо определяется белесая линия. Болевые ощущения отсутствуют. На данном этапе бутылочный кариес может быть диагностирован детским стоматологом только после высушивания поверхности пораженного зуба, поэтому родители часто не замечают наметившиеся изменения. При проведении соответствующих лечебно-профилактических мероприятий дальнейшее развитие бутылочного кариеса на начальной стадии может быть приостановлено.
Стадия поверхностного кариеса (16. 24 месяцев) - характеризуется образованием дефекта в пределах зубной эмали и обнажением дентина. Поверхностный кариес поражает не только пришеечные области резцов и клыков, но и проксимальные и окклюзионные поверхности верхних моляров. Кариозные очаги имеют светло-желтый или коричневатый цвет, возникает гиперестезия зубов. Поверхностный бутылочный кариес требует препарирования и пломбирования полости.
Стадия среднего кариеса (20. 36 месяцев) - характеризуется разрушением эмали и частично дентина зуба. Сопровождается образованием глубоких очагов поражения в области верхних резцов, поверхностного кариеса - на молярах верхней челюсти; начального кариеса - на молярах нижней и клыках верхней челюсти. На данной стадии требуется проведение лечения среднего кариеса.
Стадия глубокого кариеса (30. 48 месяцев) - характеризуется поражением эмали и большей части дентина резцов верхней челюсти. Поражение моляров верхней челюсти достигает стадии среднего кариеса; клыков и вторых моляров верхней челюсти, а также первых моляров нижней челюсти - поверхностного кариеса. На данной стадии бутылочного кариеса ребенок страдает от зубной боли, плохо спит, отказывается от приема пищи. Стоматологическая помощь заключается в лечении глубокого кариеса, по показаниям - хирургическом или ортопедическом лечении.
Диагностика
Бутылочный кариес распознается на основании данных тщательного обследования полости рта ребенка детским стоматологом с помощью зеркала и зонда. Для повышения результатов осмотра используются методики высушивания поверхности зуба, стоматоскопии в ультрафиолетовом свете, витального окрашивания зубов, что делает пятна более яркими и заметными.
Критериями постановки диагноза служат: возраст ребенка младше 3-х лет, ночные кормления, преимущественное поражение верхних 4-6 зубов, признаки недостаточной гигиены полости рта и тд При необходимости диагностики осложнений бутылочного кариеса проводится рентгенография зубов.
Критериями постановки диагноза служат: возраст ребенка младше 3-х лет, ночные кормления, преимущественное поражение верхних 4-6 зубов, признаки недостаточной гигиены полости рта и тд При необходимости диагностики осложнений бутылочного кариеса проводится рентгенография зубов.
Дифференциальная диагностика
Дифференциальную диагностику бутылочного кариеса необходимо проводить с аномалиями структуры тканей зубов - несовершенным амелогенезом и гипоплазией эмали, а также другими видами кариеса молочных зубов.
|
|
Лечение
Лечение бутылочного кариеса у детей раннего возраста является непростой задачей, требующей установления контакта врача с ребенком, использования адекватной анестезии, нередко - общего обезболивания.
На начальной стадии бутылочного кариеса применяется метод серебрения - нанесение раствора, содержащего ионы серебра, на пораженную поверхность зуба. Это временная мера, позволяющая приостановить прогрессирование бутылочного кариеса. Однако побочным эффектом таких профилактических мер является стойкое окрашивание зубов в черный цвет, приводящее к неприемлемому эстетическому результату. Поэтому в настоящее время детскими стоматологами на данном этапе бутылочного кариеса после предварительной профессиональной гигиены зубов проводится реминерализирующая терапия - местные аппликации фторсодержащих препаратов.
В стадиях поверхностного, среднего и глубокого поражения показано комплексное лечение кариеса. При значительном разрушении молочных зубов может потребоваться их удаление или реставрация с помощью специальных металлокомпозитных или циркониевых детских коронок.
На начальной стадии бутылочного кариеса применяется метод серебрения - нанесение раствора, содержащего ионы серебра, на пораженную поверхность зуба. Это временная мера, позволяющая приостановить прогрессирование бутылочного кариеса. Однако побочным эффектом таких профилактических мер является стойкое окрашивание зубов в черный цвет, приводящее к неприемлемому эстетическому результату. Поэтому в настоящее время детскими стоматологами на данном этапе бутылочного кариеса после предварительной профессиональной гигиены зубов проводится реминерализирующая терапия - местные аппликации фторсодержащих препаратов.
В стадиях поверхностного, среднего и глубокого поражения показано комплексное лечение кариеса. При значительном разрушении молочных зубов может потребоваться их удаление или реставрация с помощью специальных металлокомпозитных или циркониевых детских коронок.
Прогноз
Нелеченый бутылочный кариес может привести к ухудшению качества жизни ребенка, серьезным проблемам с постоянными зубами. Пораженные бутылочным кариесом зубы не могут выполнять в полном объеме свои физиологические функции, что сопровождается нарушением процесса жевания, заболеваниями ЖКТ, дефектами речи, нарушением прорезывания постоянных зубов.
Профилактика
Мерами профилактики бутылочного кариеса служат правильный гигиенический уход за первыми зубами ребенка, ограничение кормления смесями и молоком в ночное время, своевременный перевод ребенка на твердую пищу, использование лечебно-профилактических зубных паст, регулярное посещение детского стоматолога, начиная с момента прорезывания первых зубов.