Другие названия и синонимы
Small vestibule of the oral cavity.
МКБ-10 коды
|
|
Описание
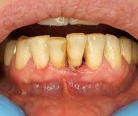
Небольшой преддверие рта - это меньшее пространство по сравнению с нормой, пределы которого составляют альвеолярные отростки челюстей и зубов (если они есть) изнутри, а также щеки и губы снаружи. Пациенты могут жаловаться на эстетические нарушения, кровоточивость десен, неприятный запах и подвижность зубов. Диагностика патологии включает стоматологическое обследование, радиационные испытания, экструзию с изготовлением и анализ гипсовых моделей. Лечение включает терапевтический, ортодонтический и хирургический подход, дополненный массажем и физиотерапией.
Дополнительные факты
Преддверие полости рта называется маленьким, если у детей старше 6-7 лет расстояние от переходной складки до основания десневых сосочков передней группы зубов составляет менее 5 По мере взросления ребенка глубина преддверия постепенно увеличивается и достигает подросткового возраста 9-14 Небольшой вестибюль встречается примерно у 7% детей в возрасте 6-14 лет, часто в сочетании с короткой уздечкой нижней губы. В более чем половине случаев патология сопровождается скученностью зубов в переднем секторе нижней челюсти, неправильным положением отдельных зубов и глубоким прикусом.
Причины
Небольшой вестибюль ротовой полости можно найти как в детстве, так и во взрослом возрасте. Традиционно врожденный и приобретенный плоский вестибюль дифференцируется в зависимости от этиологических факторов, влияющих на его формирование. Врожденная патология встречается значительно реже, чем приобретенная. Основными причинами являются:
• Челюсти и черты лица. Патология может быть связана с короткой уздечкой губ и языка, а также с полосками рта. Формирование малого вестибюля облегчается неадекватным развитием переднего альвеолярного отростка нижней челюсти, переполненным положением резцов. В этом случае делается вывод о врожденном характере патологии.
• Рубцы на слизистой оболочке. Небольшой вестибюль часто является приобретенным патологическим состоянием и развивается в результате рубцовых процессов, вызванных хирургическими вмешательствами при опухолях, ожогах и травматических поражениях мягких частей полости рта. Проблема также возникает из операций по удалению врожденных расщелин верхней губы - хейлопластика.
• Челюсти и черты лица. Патология может быть связана с короткой уздечкой губ и языка, а также с полосками рта. Формирование малого вестибюля облегчается неадекватным развитием переднего альвеолярного отростка нижней челюсти, переполненным положением резцов. В этом случае делается вывод о врожденном характере патологии.
• Рубцы на слизистой оболочке. Небольшой вестибюль часто является приобретенным патологическим состоянием и развивается в результате рубцовых процессов, вызванных хирургическими вмешательствами при опухолях, ожогах и травматических поражениях мягких частей полости рта. Проблема также возникает из операций по удалению врожденных расщелин верхней губы - хейлопластика.
Патогенез
Небольшой вестибюль полости рта фактически характеризуется уменьшением высоты неподвижной области десны. Малая глубина вестибюля обусловлена аномалиями в прикреплении структур мягких тканей к альвеолярному отростку в виде дополнительных струн, губных складок (стигма) или рубцов (часто в верхней челюсти), когда соединительная ткань неэластичная форма в результате повреждения тканей. Верхняя челюсть может позже остановиться и образовать неправильный прикус.
Слишком высокая фиксация мягких тканей в лобной части альвеолярной части нижней челюсти вызывает повышенное натяжение десен в этой области. Это вызывает хроническую травму ткани десны во время приема пищи, может вызвать патологию пародонта и «отделение» края десны от шейной части нижних передних зубов. Небольшой вестибюль в полости рта способствует снижению вазомоторной активности кровеносных сосудов и кровотока тканей, что ухудшает выносливость тканей пародонта при горизонтальной нагрузке.
Слишком высокая фиксация мягких тканей в лобной части альвеолярной части нижней челюсти вызывает повышенное натяжение десен в этой области. Это вызывает хроническую травму ткани десны во время приема пищи, может вызвать патологию пародонта и «отделение» края десны от шейной части нижних передних зубов. Небольшой вестибюль в полости рта способствует снижению вазомоторной активности кровеносных сосудов и кровотока тканей, что ухудшает выносливость тканей пародонта при горизонтальной нагрузке.
Клиническая картина
Из-за хронических поражений десен в лобной области десневые сосочки воспаляются, поэтому пациенты жалуются на дискомфорт, кровоточивость десен во время еды и чистку зубов. Жалобы эстетического характера обусловлены сочетанной патологией: ненормальным положением некоторых зубов, скученностью передней группы, патологическим прикусом, что значительно ухудшает ситуацию. Пациентов может беспокоить неприятный запах из полости рта - неприятный запах изо рта. В запущенных случаях у пациентов (обычно подростков) наблюдается подвижность передних зубов.
Ассоциированные симптомы: Неприятный запах изо рта.
Ассоциированные симптомы: Неприятный запах изо рта.
Возможные осложнения
Самокоррекция малого вестибюля обычно происходит с возрастом: его глубина увеличивается до 22-23 лет, что связано с ростом лицевых скелетных костей, особенно альвеолярного отростка нижней челюсти. При возникновении нескольких поражений развивается небольшой вторичный вестибюль полости рта. При отсутствии своевременной диагностики и лечения в 90% случаев патология приводит к развитию заболеваний пародонта: хронического катарального гингивита (73,8%), рецессии десны (21%), локализованного периодонтита (5,2%). Пародонтит в конечном итоге чреват потерей пораженного зуба.
Диагностика
Для правильного диагноза учитывается классификация преддверия по размеру (большой - более 10 средний - 5-10 маленький - до 5 мм), учитывается возраст ребенка. Врач обязательно собирает анамнез и выясняет жалобы у пациента. Основными методами диагностики при подозрении на небольшой вестибюль полости рта являются:
• Консультация стоматолога. При осмотре обращают внимание на наличие мягкого и твердого налета, обнажение шей и корней, воспалительные изменения в десневых сосочках. Выявлены атрофия и рецессия десен, побледнение десневых сосочков и отслаивание ткани от шеек зуба при вытягивании нижней губы, учитывается наличие зубочелюстных аномалий. Иногда обнаруживаются патологические подвижности зубов, зубно-десневые карманы.
• Рентгенологическое обследование. Используя рентгенологическую диагностику (компьютерная томография, ортопантомография ), Можно выявить резорбцию (разрушение) межзубной перегородки, остеопороз и другие патологические явления при заболеваниях пародонта. Рентгенологическое исследование необходимо для выбора правильной тактики лечения малого преддверия полости рта. Иногда делается теле-радиограмма, чтобы обнаружить зубочелюстные аномалии, деформации.
• Ортодонтическое обследование. Сделана клиническая фотография зубов и лица пациента. Используя альгинатные или силиконовые оттискные материалы, протезы отливаются, а гипсовые модели отливаются. Выполнен расчет гипсовых моделей, изготовление ортодонтических приспособлений, необходимых для прямой коррекции малого преддверия или для послеоперационной профилактики рецидива этого патологического состояния.
• Консультация стоматолога. При осмотре обращают внимание на наличие мягкого и твердого налета, обнажение шей и корней, воспалительные изменения в десневых сосочках. Выявлены атрофия и рецессия десен, побледнение десневых сосочков и отслаивание ткани от шеек зуба при вытягивании нижней губы, учитывается наличие зубочелюстных аномалий. Иногда обнаруживаются патологические подвижности зубов, зубно-десневые карманы.
• Рентгенологическое обследование. Используя рентгенологическую диагностику (компьютерная томография, ортопантомография ), Можно выявить резорбцию (разрушение) межзубной перегородки, остеопороз и другие патологические явления при заболеваниях пародонта. Рентгенологическое исследование необходимо для выбора правильной тактики лечения малого преддверия полости рта. Иногда делается теле-радиограмма, чтобы обнаружить зубочелюстные аномалии, деформации.
• Ортодонтическое обследование. Сделана клиническая фотография зубов и лица пациента. Используя альгинатные или силиконовые оттискные материалы, протезы отливаются, а гипсовые модели отливаются. Выполнен расчет гипсовых моделей, изготовление ортодонтических приспособлений, необходимых для прямой коррекции малого преддверия или для послеоперационной профилактики рецидива этого патологического состояния.
Лечение
Для лечения пациентов с такой проблемой необходимо привлекать стоматологов разных специализаций: хирург, ортодонт, терапевт. Если патология пародонта, зубочелюстные аномалии и деформации отсутствуют, лечение не проводится. В спорных ситуациях может быть рекомендовано обследование родителей маленького пациента: если диагностирован даже небольшой вестибюль и повреждение пародонта, лечение ребенка считается необходимым. Стоматологическая тактика сочетает в себе следующие подходы:
В первую очередь обезвреживаются загнившие пожары, прекращаются воспалительные процессы в пародонте. Большое внимание уделяется преподаванию детской гигиены полости рта. Врач информирует ребенка и его родителей о принципах рационального использования углеводов, демонстрирует правильные движения зубной щетки на моделях челюстей.
Если есть показания для углубления малого предсердия и расширения области прикрепленной десны, выполняется пластиковое предсердие. Существует точка зрения, что операция должна проводиться не ранее, чем прорезывание передних зубов, формирование их корней, но есть и другие мнения. Закрытые предсердные пластики больше подходят для детей. После снятия швов рекомендуется физиотерапия и массаж в области рубцов, чтобы предотвратить повторение.
В послеоперационном периоде после предсердия, для формирования предсердия и предотвращения рецидива патологии, используется ортодонтическое устройство - пластиковая пластинка с предсердием, которая назначается пациенту на 2-3 месяца. Предложен консервативный метод решения проблемы вместо хирургического - моделирование с помощью пелотта, которое стимулирует рост альвеолярного отростка челюсти.
В первую очередь обезвреживаются загнившие пожары, прекращаются воспалительные процессы в пародонте. Большое внимание уделяется преподаванию детской гигиены полости рта. Врач информирует ребенка и его родителей о принципах рационального использования углеводов, демонстрирует правильные движения зубной щетки на моделях челюстей.
Если есть показания для углубления малого предсердия и расширения области прикрепленной десны, выполняется пластиковое предсердие. Существует точка зрения, что операция должна проводиться не ранее, чем прорезывание передних зубов, формирование их корней, но есть и другие мнения. Закрытые предсердные пластики больше подходят для детей. После снятия швов рекомендуется физиотерапия и массаж в области рубцов, чтобы предотвратить повторение.
В послеоперационном периоде после предсердия, для формирования предсердия и предотвращения рецидива патологии, используется ортодонтическое устройство - пластиковая пластинка с предсердием, которая назначается пациенту на 2-3 месяца. Предложен консервативный метод решения проблемы вместо хирургического - моделирование с помощью пелотта, которое стимулирует рост альвеолярного отростка челюсти.
|
|
Список литературы
1. Хирургическая стоматология детского возраста: учебно-методическое пособие/ А. Корсак А.Н. Кушнер, Н.И. Петрович, А.В. Любецкий. 2009.
2. Врожденные пороки развития челюстно-лицевой области у детей (Учебно-методическое пособие)/ Корсак А., Терехова Т.Н., Кузнецова С.В., Трихманенко С.В., Кушнер А.Н. 2000.
3. Показания и методы коррекции мелкого преддверия рта у детей. Автореферат диссертации/ Утюж А.С. 2000.
4. Эпидемиологические аспекты анатомических особенностей преддверия полости рта и их влияние на развитие патологии пародонта/ Бородулина И.И., Кукшкин В.Л., Кукушкина Е.А. Пародонтология. 2005 - №1 (34).
2. Врожденные пороки развития челюстно-лицевой области у детей (Учебно-методическое пособие)/ Корсак А., Терехова Т.Н., Кузнецова С.В., Трихманенко С.В., Кушнер А.Н. 2000.
3. Показания и методы коррекции мелкого преддверия рта у детей. Автореферат диссертации/ Утюж А.С. 2000.
4. Эпидемиологические аспекты анатомических особенностей преддверия полости рта и их влияние на развитие патологии пародонта/ Бородулина И.И., Кукшкин В.Л., Кукушкина Е.А. Пародонтология. 2005 - №1 (34).