Другие названия и синонимы
Short lip bridle.
МКБ-10 коды
|
|
Описание
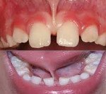
Короткая уздечка губы - это врожденный дефект развития складки мягких тканей слизистой оболочки полости рта, которая представляет собой связку между губой (верхней или нижней) и десной и расположена вдоль линии мнимая середина сагиттальной. Пациенты жалуются на плохую эстетику (эта патология может вызвать образование диастем), боль, кровоточивость десен, невнятную речь. Короткая уздечка диагностируется при обследовании, осмотре больного, рентгенологическом исследовании. Лечение является хирургическим (с массажем и физиотерапией в послеоперационном периоде) или ортодонтическим (при наличии других аномалий).
Дополнительные факты
Аномалия губной уздечки означает укорочение, низкую (для верхней губы) или высокую (для нижней губы) адгезию к слизистой оболочке альвеолярного отростка. Исследователи говорят, что аномальное образование уздечки верхней губы происходит в среднем у 18,4% детей в возрасте от 3 до 8 лет, а у нижней - 3,7%. По мнению других авторов, эти значения составляют примерно 20,9% и 15,5% соответственно, а низкая адгезия верхней связки у половины детей связана с диастемой на верхней челюсти - образованием зазора между центральными резцами от 1 до 6 мм или больше. Короткая уздечка нижней губы иногда сочетается с небольшим вестибюлем ротовой полости.
Причины
Уздечки губ образуются в пренатальный период, их ненормальное состояние можно диагностировать в первые дни после рождения ребенка. Этиология этой патологии еще полностью не изучена, но считается, что причина образования короткой губной связки является наследственной. Предполагается, что формирование аномалий происходит в пренатальном периоде развития ребенка из-за нарушения физиологического процесса укладки мягких тканевых структур полости рта. В результате образуется укороченный или ненормально прикрепленный фланец.
Патогенез
Механизм развития короткого тормоза, как и этиология, до конца не установлен. Скорее всего, на этапе морфологической дифференцировки тканевых структур губного тормоза волокна соединительной ткани образуются в недостаточном или избыточном количестве. Это приводит к различным структурным характеристикам слизистого шнура: его ненормальной фиксации, его укорочению, изменчивости в толщине, его неэластичности. Короткая или плохо прикрепленная уздечка вызывает травмы десен ребенка во время еды, развитие воспалительных и дистрофических явлений в периодонте.
Классификация
Аномалии связок нижних половых губ не классифицируются, хотя многие специалисты по клинической стоматологии выделяют более или менее плотную уздечку. Верхняя короткая уздечка систематизирована многими авторами по различным критериям. Некоторые исследователи считают, что в детстве следует различать два типа пороков развития связок верхней губы:
• Короткая толстая треугольная уздечка. Сильная губная связка десен с нижним концом вплетена в резцовый подбородок в твердом небе или десневой подбородок между верхними центральными резцами. После вытягивания верхней губы бородавка становится бледной или полностью сдвигается, обнажая шейки зуба. Короткая уздечка образует плотный шнур соединительной ткани, прикрепленный к кости по средней линии. Подвижность губ затруднена.
• Тонкая короткая уздечка. Это складка слизистой оболочки полости рта, прочно прикрепленная к вершине альвеолярного отростка среди центральных резцов, которая иногда бывает прозрачной. В этом случае часто говорят не столько об укорочении данного анатомического образования, сколько о недооцененной привязанности.
• Короткая толстая треугольная уздечка. Сильная губная связка десен с нижним концом вплетена в резцовый подбородок в твердом небе или десневой подбородок между верхними центральными резцами. После вытягивания верхней губы бородавка становится бледной или полностью сдвигается, обнажая шейки зуба. Короткая уздечка образует плотный шнур соединительной ткани, прикрепленный к кости по средней линии. Подвижность губ затруднена.
• Тонкая короткая уздечка. Это складка слизистой оболочки полости рта, прочно прикрепленная к вершине альвеолярного отростка среди центральных резцов, которая иногда бывает прозрачной. В этом случае часто говорят не столько об укорочении данного анатомического образования, сколько о недооцененной привязанности.
Клиническая картина
Пациенты с укороченной уздечкой верхней губы жалуются на «разрыв» между первыми резцами верхней челюсти. При первом типе уздечки диастема обычно широкая (более 3 мм). Из-за регулярной травмы десневого сосочка у ребенка появляются кровоточащие десны во время еды. Второй тип, как правило, характеризуется шириной диастемы 2-3 иногда с признаками воспаления, дистрофии пародонта. Диастема мешает правильной дикции ребенка.
Ненормальное состояние нижней уздечки вызывает жалобы на кровоточивость десен, которая усиливается при чистке зубов. Шейки нижних центральных резцов обнажены. Эти патологические процессы практически не обнаруживаются при укусе молока, они появляются только после прорезывания постоянных зубов. В некоторых случаях ребенок или его родители могут заметить подвижность передних зубов.
Ассоциированные симптомы: Боль в губе. Искажение звуков. Сигматизм.
Ненормальное состояние нижней уздечки вызывает жалобы на кровоточивость десен, которая усиливается при чистке зубов. Шейки нижних центральных резцов обнажены. Эти патологические процессы практически не обнаруживаются при укусе молока, они появляются только после прорезывания постоянных зубов. В некоторых случаях ребенок или его родители могут заметить подвижность передних зубов.
Ассоциированные симптомы: Боль в губе. Искажение звуков. Сигматизм.
Возможные осложнения
Нарушения губной уздечки могут привести к хронической травме десневой ткани, нарушающей трофический периодонт. Из-за переплетения волокон соединительной ткани верхней уздечки в небном резце или межзубном сосочке часто развивается диастема, которая может вызвать психологические проблемы у ребенка из-за неэстетичного внешнего вида. Короткая уздечка верхней губы является предрасполагающим фактором для воспалительных процессов в области центральных резцов. Короткая связка нижней губы способна вызвать атрофию, рецессию десны, воспалительные и дистрофические процессы в пародонте.
Диагностика
Короткая уздечка губы у ребенка диагностируется детским стоматологом при первом клиническом посещении. Собран анамнез, установлен факт наличия аномалий в настоящем или в прошлом у родителей пациента. Оказывается, что беспокоит самого ребенка: боль, кровоточивость десен, психологический дискомфорт и другие симптомы. Затем перейдите к более продвинутым методам диагностики:
Особое внимание уделяется типу губно-десневой связки, типу и ширине диастемы, если таковые имеются. Он учитывает наличие или отсутствие других аномалий центральных резцов, состояние пародонта, наличие мягкого или твердого налета. Эта информация необходима врачу для выбора тактики лечения.
• Рентгенологическое обследование. Рентгенография челюстно-лицевой зоны обязательно проводится с размером диастемы, равным или превышающим 4 Кроме того, рентгенологическое исследование с диастемой показано, если обнаружены другие аномалии центральных резцов: задержка (задержка прорезывания зубов), положение губ или полости рта, разрушение костной ткани Это необходимо для уточнения диагноза и разработки правильного алгоритма лечения.
Особое внимание уделяется типу губно-десневой связки, типу и ширине диастемы, если таковые имеются. Он учитывает наличие или отсутствие других аномалий центральных резцов, состояние пародонта, наличие мягкого или твердого налета. Эта информация необходима врачу для выбора тактики лечения.
• Рентгенологическое обследование. Рентгенография челюстно-лицевой зоны обязательно проводится с размером диастемы, равным или превышающим 4 Кроме того, рентгенологическое исследование с диастемой показано, если обнаружены другие аномалии центральных резцов: задержка (задержка прорезывания зубов), положение губ или полости рта, разрушение костной ткани Это необходимо для уточнения диагноза и разработки правильного алгоритма лечения.
Лечение
Эта аномалия в стоматологии не считается серьезным заболеванием и может быть исправлена. План лечения составляется на основании клинического, рентгенологического обследования ребенка, с учетом наличия или отсутствия диастемы, ее характера и размеров и других нарушений зубочелюстной системы. Основным методом лечения является хирургический с грамотным ведением послеоперационного периода, затем ортодонтическое вмешательство, если указано.
• Пластика уздечки губы. Пластическая хирургия верхних и нижних складок десны требуется только при наличии диастемы или воспалительно-дистрофических процессов в периодонте первых резцов (гингивит, пародонтит и ), Обычно выполняемых через 7-8 лет. Иногда используется компактостеотомия, вестибулопластика. После операции можно назначать физиотерапию, массаж для профилактики грубого рубца.
• Ортодонтическое лечение. Это не метод коррекции связки десны, но рекомендуется, если у ребенка диастема, неправильный прикус или передние зубы. Наклон резцов с ортодонтическими брекетами с диастемой можно начинать после заживления хирургической раны в течение 6-7 дней (по другим данным через 10-14 дней) после операции. В качестве пружинного ортодонтического оборудования используют пружинные пластины, опорные системы.
• Пластика уздечки губы. Пластическая хирургия верхних и нижних складок десны требуется только при наличии диастемы или воспалительно-дистрофических процессов в периодонте первых резцов (гингивит, пародонтит и ), Обычно выполняемых через 7-8 лет. Иногда используется компактостеотомия, вестибулопластика. После операции можно назначать физиотерапию, массаж для профилактики грубого рубца.
• Ортодонтическое лечение. Это не метод коррекции связки десны, но рекомендуется, если у ребенка диастема, неправильный прикус или передние зубы. Наклон резцов с ортодонтическими брекетами с диастемой можно начинать после заживления хирургической раны в течение 6-7 дней (по другим данным через 10-14 дней) после операции. В качестве пружинного ортодонтического оборудования используют пружинные пластины, опорные системы.
|
|
Список литературы
1. Хирургическая стоматология детского возраста: учебно-методическое пособие/ А. Корсак А.Н. Кушнер, Н.И. Петрович, А.В. Любецкий. 2009.
2. Врожденные пороки развития челюстно-лицевой области у детей: Учебно-методическое пособие/ Корсак А., Терехова Т.Н., Кузнецова С.В., Трихманенко С.В., Кушнер А.Н. 2000.
3. Аномальные уздечки губ и языка: классификация, терминология с подходом диагностики/ Телебаева Г.Т., Шарипова С. Вестник КазНМУ. 2014- №2(2).
2. Врожденные пороки развития челюстно-лицевой области у детей: Учебно-методическое пособие/ Корсак А., Терехова Т.Н., Кузнецова С.В., Трихманенко С.В., Кушнер А.Н. 2000.
3. Аномальные уздечки губ и языка: классификация, терминология с подходом диагностики/ Телебаева Г.Т., Шарипова С. Вестник КазНМУ. 2014- №2(2).