Другие названия и синонимы
Atrophic gingivitis.
МКБ-10 коды
- МКБ-10
- K05.1 Хронический гингивит
|
|
Описание
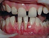
Атрофический гингивит. Хроническое заболевание полости рта, которое характеризуется уменьшением объема окружающей зубы десневой ткани. При атрофическом гингивите признаки воспаления чаще всего отсутствуют, но происходит постепенное оголение шеек зубов и развитие болезненной чувствительности к изменениям температуры. Диагностируется атрофический гингивит на основании анамнеза и оценки состояния десен во время стоматологического осмотра. Лечение атрофического гингивита включает в себя устранение травмирующих и раздражающих маргинальный пародонт факторов, медикаментозную терапию, массаж десен и физиотерапевтические процедуры. В запущенных случаях проводится хирургическая операция - гингивопластика.
Дополнительные факты
Атрофический гингивит - хроническая форма гингивита, при которой вследствие дистрофических изменений эпителиальной ткани происходит уменьшение общего объема десны, исчезновение межзубных сосочков, а также обнажение шеек и корней зубов. При этом признаки воспаления отсутствуют, либо выражены слабо. Атрофическим гингивитом чаще болеют мужчины старше 60 лет, у женщин он встречается реже. Вследствие некорректного ортодонтического лечения или аномалий полости рта атрофический гингивит также может развиться у детей.
Атрофическую форму хронического гингивита стоматология рассматривает в качестве первого признака начинающегося пародонтоза - невоспалительного системного поражения окружающих зубы тканей. Прогрессирование атрофического гингивита грозит развитием пародонтита - воспалительного заболевания тканей вокруг зубов, приводящего к разрушению зубодесневого соединения, расшатыванию и потере зубов. Поэтому во избежание тяжелых последствий начинать лечение следует как можно раньше.
Атрофическую форму хронического гингивита стоматология рассматривает в качестве первого признака начинающегося пародонтоза - невоспалительного системного поражения окружающих зубы тканей. Прогрессирование атрофического гингивита грозит развитием пародонтита - воспалительного заболевания тканей вокруг зубов, приводящего к разрушению зубодесневого соединения, расшатыванию и потере зубов. Поэтому во избежание тяжелых последствий начинать лечение следует как можно раньше.
Клиническая картина
Ассоциированные симптомы: Металлический привкус во рту. Потеря веса. Привкус крови во рту.
Причины
Атрофический гингивит является последней стадией хронического гингивита и очень часто связан с несоблюдением правил гигиены полости рта. Основными причинами атрофического гингивита считают нарушения обмена веществ, ослабление иммунитета вследствие различных заболеваний (сахарный диабет, туберкулез, язвенная болезнь, гастрит, гепатит и тд ), а также курение. Кроме того, пусковыми факторами могут служить гормональные изменения, происходящие в организме подростков, беременных женщин и пожилых людей.
Атрофический гингивит могут вызывать неправильная ортодонтическая терапия, травмы десневой ткани вследствие дефектов протезирования, деформации десен и врожденные аномалии, например, мощные десневые связки или неправильное прикрепление уздечки.
Различают две формы атрофического гингивита:
• ограниченную - оголяются шейки и корни в области 1-2 зубов (в основном - резцов, клыков и премоляров);
Атрофический гингивит могут вызывать неправильная ортодонтическая терапия, травмы десневой ткани вследствие дефектов протезирования, деформации десен и врожденные аномалии, например, мощные десневые связки или неправильное прикрепление уздечки.
Различают две формы атрофического гингивита:
• ограниченную - оголяются шейки и корни в области 1-2 зубов (в основном - резцов, клыков и премоляров);
Классификация
• генерализованную - десневой край постепенно теряет свой объем, десневые сосочки исчезают, и образуются большие межзубные промежутки.
Диагностика
Атрофический гингивит диагностируется стоматологом или пародонтологом на основании данных анамнеза и оценки состояния полости рта при визуальном и инструментальном обследовании. Во время визуального осмотра врач оценивает состояние зубов, межзубных сосочков и десневого края, возможные аномалии десен, а также особенности прикуса, количество отложений на зубах и состояние протезов при их наличии. Инструментальное обследование при помощи зонда позволяет выявить кровоточивость, целостность зубодесневых соединений, отсутствие десневых карманов и степень подвижности зубов. На основании данных осмотра составляется пародонтограмма.
Для того чтобы оценить состояние костной ткани, выполняется дентальная рентгенография. Для более точной диагностики возможно проведение различных тестов, индексов и проб, а также посева из полости рта на микрофлору. Эти исследования необходимы, чтобы дифференцировать атрофический гингивит от схожих по симптоматике заболеваний, например, пародонтоза и пародонтита. При атрофическом гингивите поражаются только мягкие десневые ткани, а костные структуры и связки остаются незатронутыми.
Для назначения правильного лечения необходимо точно установить причины, вызвавшие атрофический гингивит, поэтому в случае сопутствующих заболеваний для диагностики требуются консультации других медицинских специалистов: эндокринолога, фтизиатра или гастроэнтеролога.
Для того чтобы оценить состояние костной ткани, выполняется дентальная рентгенография. Для более точной диагностики возможно проведение различных тестов, индексов и проб, а также посева из полости рта на микрофлору. Эти исследования необходимы, чтобы дифференцировать атрофический гингивит от схожих по симптоматике заболеваний, например, пародонтоза и пародонтита. При атрофическом гингивите поражаются только мягкие десневые ткани, а костные структуры и связки остаются незатронутыми.
Для назначения правильного лечения необходимо точно установить причины, вызвавшие атрофический гингивит, поэтому в случае сопутствующих заболеваний для диагностики требуются консультации других медицинских специалистов: эндокринолога, фтизиатра или гастроэнтеролога.
Лечение
При лечении атрофического гингивита необходим индивидуальный комплексный подход. Если патология десен вызвана общесоматическим заболеванием, то нужно провести курс его лечения и принять меры по укреплению общего иммунитета. Кроме того, требуется устранить все травмирующие и раздражающие ткань пародонта факторы, провести профессиональную гигиену полости рта и назначить терапию, улучшающую трофику десен. В случае необходимости производится коррекция ортодонтических аппаратов и зубных протезов.
При наличии инфекции используют антибактериальные препараты. Для обработки десен применяют перекись водорода или другие антисептики. Положительный эффект оказывают полоскания ротовой полости отварами аира, зверобоя, прополиса, ромашки и коры дуба, однако по поводу применения этих средств необходимо обязательно проконсультироваться с врачом. Недопустимо заниматься самолечением, терапия такого серьезного заболевания, как атрофический гингивит, должна проходить под строгим контролем специалиста.
Комплексное лечение атрофического гингивита также включает в себя обработку шеек зубов фтором, вибрационный массаж десен, ауто- и гидромассаж, а также пародонтологические аппликации с маслом облепихи или шиповника. Необходим прием витаминно-минеральных комплексов, содержащих витамины A, в, с, E и P. Помимо этого, в курсе лечения обычно используют несколько видов физиотерапии: электрофорез, дарсонваль, ультразвук или светолечение.
В случае запущенности заболевания врач может рекомендовать проведение хирургической операции - гингивопластики, при которой атрофированные участки десны восстанавливаются лоскутами соседних здоровых тканей.
При наличии инфекции используют антибактериальные препараты. Для обработки десен применяют перекись водорода или другие антисептики. Положительный эффект оказывают полоскания ротовой полости отварами аира, зверобоя, прополиса, ромашки и коры дуба, однако по поводу применения этих средств необходимо обязательно проконсультироваться с врачом. Недопустимо заниматься самолечением, терапия такого серьезного заболевания, как атрофический гингивит, должна проходить под строгим контролем специалиста.
Комплексное лечение атрофического гингивита также включает в себя обработку шеек зубов фтором, вибрационный массаж десен, ауто- и гидромассаж, а также пародонтологические аппликации с маслом облепихи или шиповника. Необходим прием витаминно-минеральных комплексов, содержащих витамины A, в, с, E и P. Помимо этого, в курсе лечения обычно используют несколько видов физиотерапии: электрофорез, дарсонваль, ультразвук или светолечение.
В случае запущенности заболевания врач может рекомендовать проведение хирургической операции - гингивопластики, при которой атрофированные участки десны восстанавливаются лоскутами соседних здоровых тканей.
Профилактика
Полное излечение данной патологии невозможно, но своевременная и правильная терапия может приостановить атрофические процессы. Поэтому следует соблюдать меры профилактики атрофического гингивита и своевременно обращаться к врачу при появлении тревожных симптомов.
Основным профилактическим мероприятием служит правильная гигиена полости рта. Необходимо чистить зубы утром и вечером, используя пасты, препятствующие кровоточивости десен. В случае диагностированного хронического гингивита важно не допустить его перетекания в атрофическую стадию. Для этого рекомендуется применять стоматологические гели, содержащие метронидазол. Необходимо обязательно проходить профилактический осмотр у специалиста не менее 2-х раз в год и регулярно проводить санацию полости рта.
Основным профилактическим мероприятием служит правильная гигиена полости рта. Необходимо чистить зубы утром и вечером, используя пасты, препятствующие кровоточивости десен. В случае диагностированного хронического гингивита важно не допустить его перетекания в атрофическую стадию. Для этого рекомендуется применять стоматологические гели, содержащие метронидазол. Необходимо обязательно проходить профилактический осмотр у специалиста не менее 2-х раз в год и регулярно проводить санацию полости рта.