Продолжая работу с сайтом, вы разрешаете использование сookies и соглашаетесь с политикой конфиденциальности.
.,о.,р..и.:г,.и.,н.;н.,а;,л.. .,н.:а,.х.,о.,д.;и.,т..с.:я,, ..н.;а., .,k;,i..b.:e,;r.,i.,s.,.;.r.:u,

Острый некротизирующий язвенный гингивит

ДобавьАналогиСравни
Используемые препараты: ... скрыть
 
Фарм. гр. Вещество Препараты
Амбазон
Лизоцим + Пиридоксин
Бензилдиметил-миристоиламино-пропиламмоний
Метронидазол + Хлоргексидин | | | | |
Грамицидин С
Бутилгидрокситолуол
Кетопрофен
Тинидазол | |
Мать-и-мачехи листья
Нифлумовая кислота
Тинидазол + Ципрофлоксацин
Лечат в 2511 клиниках 115 городов
X
X
Нужен: терапевт, 1 анализ, 3 услуги
Екатеринбург, ул. Надеждинская, д. 9А +7(343..показать+7(495) 104-88-01, +7(343) 204-95-05, +7(343) 310-93-56, +7(343) 310-95-30 от 3677₽
Екатеринбург, ул. Гражданская, д. 9 +7(343..показать+7(495) 104-88-01, +7(343) 204-95-05, +7(343) 358-34-16, +7(800) 234-34-34 от 3677₽
Серпухов, ул. Авангардная, д. 3 +7(495..показать+7(495) 104-88-01, +7(495) 190-03-03, +7(499) 433-07-50 от 4100₽
Санкт-Петербург, пр-т Обуховской Обороны, д. 120Б +7(495..показать+7(495) 104-88-01 от 5340₽
Москва, ул. Маршала Голованова, д. 1, корп. 2 +7(495..показать+7(495) 104-88-01, +7(495) 023-60-84 от 6510₽
Москва, Солнцевский пр-т, д. 19 +7(495..показать+7(495) 104-88-01, +7(495) 212-92-92 от 6550₽
Москва, Зубовский б-р, д. 22/39 +7(495..показать+7(495) 104-88-01, +7(495) 739-53-67, +7(495) 152-55-46 от 6710₽
Москва, Ленинградский пр-т, д. 52 +7(495..показать+7(495) 104-88-01, +7(495) 229-18-75, +7(495) 152-55-46 от 7960₽
Москва, ул. Дубининская, д. 57, стр. 8 +7(495..показать+7(495) 104-88-01, +7(495) 737-01-90, +7(495) 152-55-46 от 8160₽
Москва, ул. Старокачаловская, д. 3, корп. 3 +7(495..показать+7(495) 104-88-01, +7(495) 023-60-84 от 8160₽
Ещё 2501 клинику
  1. МКБ-10 коды
  2. Описание
  3. Клиническая картина
  4. Причины
  5. Лечение
  6. Похожие заболевания
  7. Основные медицинские услуги
  8. Клиники для лечения

Другие названия и синонимы

Acute necrotizing ulcerative gingivitis.
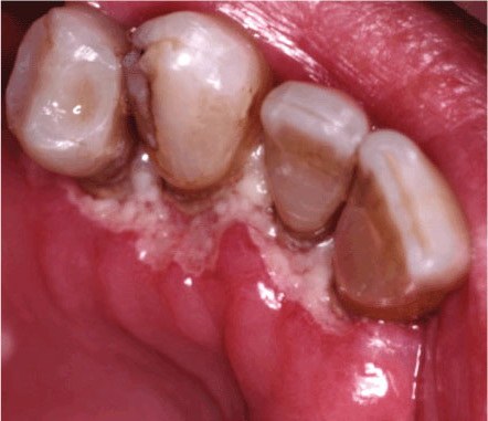
Клиническая картина некротизирующего язвенного гингивита

МКБ-10 коды

Описание

 Острый некротизирующий язвенный гингивит (язвенный гингивит, фузо-спирохетозный гингивит или гингивит Венсана) встречается редко, у детей старше 6 лет, преимущественно подростков. Патогенез определяют измененная реактивность организма и снижение устойчивости тканей пародонта к сапрофитам полости рта.

Клиническая картина

 Выражены симптомы общей интоксикации: плохое самочувствие, головная есть, разбитость, слабость, бессонница, отсутствие аппетита, расстройства пищеварения, повышенная кожно-мышечная чувствительность, лихорадка. Больных беспокоит увеличение и болезненность подчелюстных и шейных лимфатических узлов, резкая боль и выраженная кровоточивость десны, невозможность приема пищи, зловонный запах изо рта, изъязвление десны, изменение вкуса и металлический привкус во рту.
 При общем осмотре отмечается бледность кожных покровов, вялость и заторможенность ребенка, слабость (родители ведут или несут ребенка), лихорадка, челюстной и шейный лимфаденит. Выявляют характерный гнилостный запах из рта (галитоз), выраженный отек, гиперемию, болезненность и кровоточивость жены, некротизацию десневых сосочков (характерно усечение вершин межзубных лиютжов) и маргинального края, изъязвление поверхности десны. Участки изъязвления располагаются чаще в области передних зубов, но при тяжелом процессе захватывают области премоляров и моляров . Десна выглядит серой из-за некротического налета, при удалении которого возникает кровоточивость. Язык обложен, на зубах отложения мягкого и пигментированного налета, слюна вязкая, тягучая, с примесью крови.
 Лабораторные исследования выявляют лейкоцитоз, сдвиг лейкоцитарной формулы влево, увеличение СОЭ в крови и белок в моче. При гистологическом исследовании обнаруживают изъязвление эпителия десны, набухание и разрушение коллагеновых волокон, выраженную лейкоцитарную и лимфоплазмоцитарную инфильтрацию.

Причины

 Заболевание чаще возникает у детей, ослабленных после перенесенных инфекций, операций, на фоне иммунодефицита (СПИД - синдром приобретенного иммунодефицита) и тяжелых хронических заболеваний (болезни крови и ), вследствие стресса. Предрасполагающие общие факторы - нарушение питания, недоедание, дефицит витаминов, переохлаждение, плохие жизненные условия. Определенную роль играют местные факторы: плохая гигиена полости рта, отложение зубного камня, скученность и затрудненное прорезывание зубов, кариозные полости и нависающие края пломб Гормональный дисбаланс подросткового возраста, курение и алкоголь повышают восприимчивость детей к инфекции. Развитию острого некротизирующего язвенного гингивита часто предшествует хронический маргинальный гингивит.
 Заболевание вызывается условно патогенной микрофлорой, поэтому не контагиозно.

Лечение

 В зависимости от того, какая степень тяжести заболевания, проводят соответствующее лечение, которое может заключаться как в профессиональной чистке ротовой полости, так и в хирургическом методе лечения. При тяжёлом или затяжном течении гингивита возможно системное применение антибиотиков таких как пенициллин, тетрациклин, доксициклин, метронидазол, ципрофлоксацин, клиндамицин. Для облегчения боли применяют парацетамол или ибупрофен.

Похожие заболевания

42a96bb5c8a2acfb07fc866444b97bf1
Доступно только при использовании PRO аккаунта
Модератор контента: Васин А.С.


  1. Киберис НЕ является интернет-магазином и НЕ осуществляет закупку, хранение, продажу и доставку препаратов. Ресурс выступает лишь в роли посредника между вами и производителем препаратов или аптечными пунктами, которые и осуществляют поставку.
  2. На Киберис размещены описания препаратов, часть из которых предназначена только для врачей. Данная информация не может быть использована пациентами для принятия решения об использовании препаратов, их отмене или коррекции дозировок.
  3. Ничто в представленной информации не должно быть истолковано как призыв использовать данные препараты.
  4. К Киберис не могут быть обращены претензии по поводу любого ущерба или вреда, понесенного в результате использования размещенной на сайте информации.