Другие названия и синонимы
Secondary caries.
МКБ-10 коды
- МКБ-10
- K02.8 Другой кариес зубов
|
|
Описание
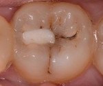
Это новый кариозный процесс, который происходит в ранее обработанных и заполненных зубах и часто связан с неадекватным лечением полости и плохим пломбированием. Симптомы в течение длительного времени не выражены, со временем меняется цвет эмали, появляются разбитые пломбы, неприятные ощущения при воздействии холода, жара, кисло-сладкого. Из-за бессимптомного течения разрушение зубов может осложниться пульпитом. Диагностика путем осмотра зубов, рентгенографии и флюороскопии зубов. Лечение включает удаление старых пломб и пораженной части зуба с последующим повторным заполнением.
Дополнительные факты
Вторичный кариес часто называют рецидивом, но некоторые эксперты разделяют эти термины. Рецидивирующий кариес появляется под пломбой, если начальное лечение было выполнено плохо, и некротические участки зуба не были полностью удалены. Вторичный кариес означает кариес, который появился рядом с пломбой как новое поражение. Около 40% всех терапевтических процедур в амбулаторной стоматологии связаны с лечением вторичного кариеса. Согласно исследованиям, патология обычно поражает детей со сменным прикусом и взрослых в возрасте от 20 до 40 лет. В большинстве случаев повторные полости возникают вокруг цементных и амальгамных реставраций, статистически реже - вблизи реставраций с композитными материалами фотополимеризации и фотополимеризации.
Причины
На возникновение и прогрессирование патологии влияет ряд взаимодействующих факторов. Уровень восприимчивости твердых тканей зуба к кариесу, гигиене полости рта имеет значение. Местные причины развития вторичных кариозных поражений обычно связаны со свойствами начинки:
• Плохой контакт уплотнения с полостью. Низкое качество лечения кариозной полости и несоблюдение алгоритма размещения пломбы приводят к плохой адгезии контактных поверхностей полости зуба и пломбировочного материала. Это приводит к образованию микротрещин и трещин, в которых накапливается зубной налет и размножаются бактерии.
• Уплотнение с высокой усадкой. Физические свойства пломбировочного материала вызывают постепенное уменьшение объема уплотнения - его усадку. Стенки полости обнажены, между краем пломбы и твердыми тканями зуба образовано пространство. Открытая эмаль и дентин начинают разрушаться под воздействием ротовой жидкости и налета.
• Недостаточное шлифование и полировка уплотнения. Плохо обработанная пломбировочная поверхность повышает степень адгезии налета на твердых зубных тканях. При поверхностных дефектах бактерии осаждают кислоты, которые разрушают эмаль и дентин. Неравномерно обработанное уплотнение увеличивает вероятность появления микротрещин и сколов.
Кариес является системным заболеванием, и в дополнение к местным причинам ряд вероятных факторов также влияет на вероятность его возникновения. Повторные исследования с участием жителей регионов с низким содержанием фтора в почве и воде (в пределах 0,05-0,5 мг / л) показали, что первичный и вторичный кариес распространен у 97% молодых пациентов и у 24% пациентов после 44 лет. Также вероятным фактором развития вторичных изменений может быть отказ от иммуномодулирующей терапии при остром течении кариеса и обработка поверхностей эмали реминерализующими растворами до и после заполнения полости. Квалификация стоматолога-терапевта также имеет значение: некачественные пломбы и нарушения в лечении полости зуба часто являются признаком недостаточной подготовки врача.
• Плохой контакт уплотнения с полостью. Низкое качество лечения кариозной полости и несоблюдение алгоритма размещения пломбы приводят к плохой адгезии контактных поверхностей полости зуба и пломбировочного материала. Это приводит к образованию микротрещин и трещин, в которых накапливается зубной налет и размножаются бактерии.
• Уплотнение с высокой усадкой. Физические свойства пломбировочного материала вызывают постепенное уменьшение объема уплотнения - его усадку. Стенки полости обнажены, между краем пломбы и твердыми тканями зуба образовано пространство. Открытая эмаль и дентин начинают разрушаться под воздействием ротовой жидкости и налета.
• Недостаточное шлифование и полировка уплотнения. Плохо обработанная пломбировочная поверхность повышает степень адгезии налета на твердых зубных тканях. При поверхностных дефектах бактерии осаждают кислоты, которые разрушают эмаль и дентин. Неравномерно обработанное уплотнение увеличивает вероятность появления микротрещин и сколов.
Кариес является системным заболеванием, и в дополнение к местным причинам ряд вероятных факторов также влияет на вероятность его возникновения. Повторные исследования с участием жителей регионов с низким содержанием фтора в почве и воде (в пределах 0,05-0,5 мг / л) показали, что первичный и вторичный кариес распространен у 97% молодых пациентов и у 24% пациентов после 44 лет. Также вероятным фактором развития вторичных изменений может быть отказ от иммуномодулирующей терапии при остром течении кариеса и обработка поверхностей эмали реминерализующими растворами до и после заполнения полости. Квалификация стоматолога-терапевта также имеет значение: некачественные пломбы и нарушения в лечении полости зуба часто являются признаком недостаточной подготовки врача.
Патогенез
Развитие заболевания проходит несколько этапов. Во-первых, между суставом и прилегающей стенкой полости образуется краевой микрослот, куда просачивается ротовая жидкость с кислотами и ферментами в композиции. Впоследствии бактерии в полости рта попадают в образовавшуюся микротрещину. Бактерии производят кислоты, которые разрушают зубную эмаль и дентин. Дентин подвержен большему разрушению, потому что он содержит много органических соединений. Кислоты и ферменты в ротовой жидкости также разрушают структуру композитной пломбы. Это приводит к отклонению стыка стенок полости. При патологическом исследовании выявляются участки разложения и деминерализации эмали и дентина с остатками разрушающей композиции.
Клиническая картина
В течение длительного времени патология может протекать бессимптомно. Клинические признаки редко появляются раньше, чем через 3-6 месяцев после лечения. Если дефекты пломбы возникли раньше, чем этот период, то они обычно связаны с другими причинами. Боль в зубе через 2-4 недели после лечения может свидетельствовать о рецидиве кариеса, ошибках в лечении или открытии рога пульпы во время небрежной работы врача.
Внешние признаки включают пигментацию эмали около края печати, часто в форме края. Печать также может изменить цвет. Зуб становится сероватым, через эмаль просвечивает измененный дентин. На резцах эти изменения замечены раньше, чем на молярах. Иногда наблюдаются трещины и сколы зубной эмали и пломб. С серьезными дефектами подвижность печати может быть обнаружена; Если кариес развивается в течение длительного времени, а полость увеличена, пломба может выпасть. Бактериальный налет накапливается в трещинах, что приводит к неприятному запаху изо рта.
Когда кариес углубляется, пациенты жалуются на ноющие боли при чистке зубов, болезненную реакцию на кислую, сладкую, горячую и холодную. Нервные окончания в канальцах открытого дентина реагируют на химические и термические раздражители. Иногда только чувство болезненности в области обработанного зуба может указывать на проблему. Развившийся вторичный кариес часто сопровождается отеком, припухлостью и болезненностью десен рядом с заполненным зубом, десны могут кровоточить при еде и чистке зубов. При жевательной нагрузке зуб может вызвать легкую боль. У детей процесс часто наблюдается в области шеек зубов, появляются жалобы на боли при воздействии тепла и холода.
Ассоциированные симптомы: Зубная боль. Потеря веса. Привкус крови во рту.
Внешние признаки включают пигментацию эмали около края печати, часто в форме края. Печать также может изменить цвет. Зуб становится сероватым, через эмаль просвечивает измененный дентин. На резцах эти изменения замечены раньше, чем на молярах. Иногда наблюдаются трещины и сколы зубной эмали и пломб. С серьезными дефектами подвижность печати может быть обнаружена; Если кариес развивается в течение длительного времени, а полость увеличена, пломба может выпасть. Бактериальный налет накапливается в трещинах, что приводит к неприятному запаху изо рта.
Когда кариес углубляется, пациенты жалуются на ноющие боли при чистке зубов, болезненную реакцию на кислую, сладкую, горячую и холодную. Нервные окончания в канальцах открытого дентина реагируют на химические и термические раздражители. Иногда только чувство болезненности в области обработанного зуба может указывать на проблему. Развившийся вторичный кариес часто сопровождается отеком, припухлостью и болезненностью десен рядом с заполненным зубом, десны могут кровоточить при еде и чистке зубов. При жевательной нагрузке зуб может вызвать легкую боль. У детей процесс часто наблюдается в области шеек зубов, появляются жалобы на боли при воздействии тепла и холода.
Ассоциированные симптомы: Зубная боль. Потеря веса. Привкус крови во рту.
Возможные осложнения
Распространенным осложнением является воспаление зубной пульпы. Происходит, когда при отсутствии своевременного лечения разрушение эмали и дентина достигает сосудисто-нервного пучка зуба. На этом этапе необходимо чистить зуб. Пульпит определяется сильной, острой и постоянной болью, которая усиливается ночью. Боль появляется по причине, она может распространиться на всю челюсть, схватить ветви тройничного нерва. Если пульпит не лечить, он переходит в хроническое состояние. Хронический пульпит длительное время безболезненный. В то же время некроз тканей и инфекция поражают зубы, пародонтит - возникает воспаление связок зуба. Последующее распространение инфекции может захватить челюсть вплоть до остеомиелита.
Диагностика
Поражение ранее обработанного зуба выявляется стоматологом при повторном посещении с помощью стоматологического осмотра и аппаратной диагностики. В процессе осмотра пациента врач выясняет реакцию зуба на раздражители, наличие и степень боли, время появления симптомов. История необходима, чтобы отличить вторичный кариес от рецидива. Опрос включает в себя:
• Стоматологическое обследование. Это делается для того, чтобы выявить изменения, видимые невооруженным глазом, и их дифференциальную диагностику. При осмотре используются зонд и зеркало, с их помощью определяется состояние пломбы:
• Уплотнение плотно, датчик не застревает при движении по краю уплотнения, зазор не обнаружен. Это может означать, что симптомы связаны с другим заболеванием или рецидивирующий кариес развился под пломбой.
• Зонд застревает при сохранении пломб и зубцов, есть зазор, в который проникает зонд, дентин не открыт. Это указывает на дефект наполнения и начальный период развития нового кариозного процесса.
• Зонд попадает в зазор до глубины дентина, исследование может сопровождаться болевыми симптомами при прикосновении к дентину. Боль является признаком разрушения эмали и обнажения дентина, что указывает на большую кариозную полость.
• Сколы на сальнике, его подвижность, он может упасть частично. Зуб сильно поврежден, можно предполагать осложнения кариеса в виде пульпита.
• Диагностика оборудования. Необходимо уточнить диагноз и степень развития патологии. Включает целевую рентгенографию, трансиллюминацию, радиовизиографию. Используя рентген, оценивается глубина процесса кариеса под и около пломбы. Метод трансиллюминации позволяет отличить здоровую ткань от больной путем специальной передачи. Кариозная полость под пломбой выглядит как полусфера коричневого цвета. Рентгенография используется для оценки состояния пломб различных наполнителей.
• Стоматологическое обследование. Это делается для того, чтобы выявить изменения, видимые невооруженным глазом, и их дифференциальную диагностику. При осмотре используются зонд и зеркало, с их помощью определяется состояние пломбы:
• Уплотнение плотно, датчик не застревает при движении по краю уплотнения, зазор не обнаружен. Это может означать, что симптомы связаны с другим заболеванием или рецидивирующий кариес развился под пломбой.
• Зонд застревает при сохранении пломб и зубцов, есть зазор, в который проникает зонд, дентин не открыт. Это указывает на дефект наполнения и начальный период развития нового кариозного процесса.
• Зонд попадает в зазор до глубины дентина, исследование может сопровождаться болевыми симптомами при прикосновении к дентину. Боль является признаком разрушения эмали и обнажения дентина, что указывает на большую кариозную полость.
• Сколы на сальнике, его подвижность, он может упасть частично. Зуб сильно поврежден, можно предполагать осложнения кариеса в виде пульпита.
• Диагностика оборудования. Необходимо уточнить диагноз и степень развития патологии. Включает целевую рентгенографию, трансиллюминацию, радиовизиографию. Используя рентген, оценивается глубина процесса кариеса под и около пломбы. Метод трансиллюминации позволяет отличить здоровую ткань от больной путем специальной передачи. Кариозная полость под пломбой выглядит как полусфера коричневого цвета. Рентгенография используется для оценки состояния пломб различных наполнителей.
|
|
Лечение
Выбор тактики зависит от локализации кариозного поражения, его распространенности и глубины. Обработка может заключаться в замене старого уплотнения новым или восстановлении модифицированной части уплотнения. Если локализация вторичного кариеса ограничена и расположена на жевательной поверхности, вы можете удалить некротическую ткань, придать форму этой части полости и заполнить ее тем же материалом.
Если кариес распространяется вокруг пломб или затрагивает несколько мест, где пломбы совпадают с зубом, пломбы вместе с некротическими тканями полностью удаляются, полость регенерируется и дефект восстанавливается путем наслоения фотополимера. Вся процедура проводится под наркозом, требуется антисептическое лечение полости и использование медицинской прокладки.
В случае, когда процесс затрагивает пульпарную камеру и у пациента уже развилось воспаление пульпы, пульпу сначала удаляют (удаление нерва), обработку корневого канала и пломбу, а затем восстановление полости зуба с использованием пломбы или вставки. В случае серьезного повреждения коронки зуба реконструкция проводится с использованием искусственной коронки. Стоматолог выбирает наиболее подходящий метод лечения и восстановления функции и внешнего вида зуба с учетом клинической ситуации пациента.
Если кариес распространяется вокруг пломб или затрагивает несколько мест, где пломбы совпадают с зубом, пломбы вместе с некротическими тканями полностью удаляются, полость регенерируется и дефект восстанавливается путем наслоения фотополимера. Вся процедура проводится под наркозом, требуется антисептическое лечение полости и использование медицинской прокладки.
В случае, когда процесс затрагивает пульпарную камеру и у пациента уже развилось воспаление пульпы, пульпу сначала удаляют (удаление нерва), обработку корневого канала и пломбу, а затем восстановление полости зуба с использованием пломбы или вставки. В случае серьезного повреждения коронки зуба реконструкция проводится с использованием искусственной коронки. Стоматолог выбирает наиболее подходящий метод лечения и восстановления функции и внешнего вида зуба с учетом клинической ситуации пациента.
Список литературы
1. Кариес зубов. Этиология, патогенез, эпидемиология, классификация: учебно-методическое пособие/ Леус П.А. 2007.
2. Кариес зубов: учебное пособие для студентов стоматологических факультетов медицинских вузов/ Фищев С.Б., Климов А.Г., Севастьянов А.В. 2016.
3. Кариес зубов: учебник/ сост. Супатаева Т.У., Кучукова У.И. 2013.
4. Профилактика вторичного и рецидивирующего кариеса зубов: Автореферат диссертации/ Платонова А.Ш. 2005.
2. Кариес зубов: учебное пособие для студентов стоматологических факультетов медицинских вузов/ Фищев С.Б., Климов А.Г., Севастьянов А.В. 2016.
3. Кариес зубов: учебник/ сост. Супатаева Т.У., Кучукова У.И. 2013.
4. Профилактика вторичного и рецидивирующего кариеса зубов: Автореферат диссертации/ Платонова А.Ш. 2005.