Другие названия и синонимы
Gothic sky, Аркообразное небо, Высокое сводчатое небо.
Описание
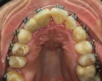
Готический вкус. Это аномалия развития верхней челюсти, характеризующаяся высоким сводчатым сводом твердого неба. Высокий небный свод препятствует полноценному грудному вскармливанию малыша, затрудняет носовое дыхание, вызывает нарушения звукового произношения, может способствовать развитию аномалий прорезывания зубов, синдрома апноэ во сне. Готическое небо диагностируется при осмотре ротовой полости педиатром или стоматологом на основании рентгеновских снимков и компьютерной томографии. Лечение может включать миофункциональную терапию, ортодонтические приспособления и, в тяжелых случаях, хирургическое вмешательство.
|
|
Дополнительные факты
Готическое небо (высокий свод, арочный) - довольно распространенное, но малоизученное состояние. По некоторым данным, арочное небо встречается примерно у 30% жителей Северной Америки. Врожденный порок челюстно-лицевой области определяется как дизэмбриогенетические родинки, его сочетание с другими черепно-лицевыми аномалиями часто связано с хромосомными заболеваниями и внутриутробными изменениями. Приобретенный готический вкус обычно вызван патологическими оральными привычками.
Причины
Врожденное готическое небо в настоящее время считается цилиопатией, связанной с мутацией в генах Fgf8 и FGF. Высокая дуга неба связана примерно с 300 различными генетическими синдромами, включая:
• Синдром Дауна (черепно-лицевой дисморфизм, аномалии зубов, макроглоссия, ИБС, косоглазие);
• синдром Элерса-Данлоса (гипермобильность суставов, кифосколиоз, дерматоспарксис, пороки сердца);
• синдром Марфана (миопия, деформация позвоночника, грудная клетка, плоскостопие, готическое небо, пролапс митрального клапана);
• синдром Сотоса (гигантизм, гипертелоризм, выпуклый лоб, дугообразное небо);
• синдром Аперта (краниосиностоз, деформация лицевого черепа и челюстей, синдактилия);
• Синдром Тричера-Коллинза (аномалии строения лицевой части черепа, неправильный прикус, верхний свод и волчья пасть, дефекты наружного и среднего уха).
Приобретенное дугообразное небо может образовываться у детей, которые долго сосут соску, держат большой палец во рту, вынуждены дышать через рот из-за хронического ринита, увеличенных аденоидов, искривления носовой перегородки и бронхиальной астмы.
• Синдром Дауна (черепно-лицевой дисморфизм, аномалии зубов, макроглоссия, ИБС, косоглазие);
• синдром Элерса-Данлоса (гипермобильность суставов, кифосколиоз, дерматоспарксис, пороки сердца);
• синдром Марфана (миопия, деформация позвоночника, грудная клетка, плоскостопие, готическое небо, пролапс митрального клапана);
• синдром Сотоса (гигантизм, гипертелоризм, выпуклый лоб, дугообразное небо);
• синдром Аперта (краниосиностоз, деформация лицевого черепа и челюстей, синдактилия);
• Синдром Тричера-Коллинза (аномалии строения лицевой части черепа, неправильный прикус, верхний свод и волчья пасть, дефекты наружного и среднего уха).
Приобретенное дугообразное небо может образовываться у детей, которые долго сосут соску, держат большой палец во рту, вынуждены дышать через рот из-за хронического ринита, увеличенных аденоидов, искривления носовой перегородки и бронхиальной астмы.
Патогенез
Избыточная активность некоторых генов, ответственных за цилиогенез, вызывает перепроизводство клеток нервного гребня. Эти клетки образуют черепно-лицевую мезенхиму, зачатки зубов, кости челюсти и многое другое. При их чрезмерном синтезе и ускоренном разрастании происходит преждевременное разрастание небного шва и сжатие купола до дугообразной формы.
В формировании приобретенного готического неба важную роль играет механическое давление на небные отростки верхней челюсти пальцем и соском. В детском возрасте костные структуры податливы, поэтому постоянное длительное воздействие на свод ротовой полости способствует деформации неба в виде арочного купола. Кроме того, положение языка, которое обычно бережно поддерживает форму неба, имеет определенное значение в формировании правильной анатомии полости рта. Если носовое дыхание нарушено, рот постоянно открыт, а язык разложен на дне рта, то небо образуется высоким и узким.
В формировании приобретенного готического неба важную роль играет механическое давление на небные отростки верхней челюсти пальцем и соском. В детском возрасте костные структуры податливы, поэтому постоянное длительное воздействие на свод ротовой полости способствует деформации неба в виде арочного купола. Кроме того, положение языка, которое обычно бережно поддерживает форму неба, имеет определенное значение в формировании правильной анатомии полости рта. Если носовое дыхание нарушено, рот постоянно открыт, а язык разложен на дне рта, то небо образуется высоким и узким.
Клиническая картина
Нарушение питания.
Арочное нёбо вызывает ряд проблем, связанных с питанием, дыханием, звукоизвлечением и прорезыванием зубов. С первых дней жизни у родителей возникают трудности с кормлением таких новорожденных. Из-за высокого и узкого небного свода ребенок не может выполнять правильные сосательные движения невозможно зажать сосок или сосок бутылки между языком и небом верхней челюсти. В результате ребенок не высасывает достаточно молока, не ест, не набирает вес и становится беспокойным. При проглатывании жидкой пищи возможно удушье.Ассоциированные симптомы: Дефект смягчения. Искажение звуков. Каппацизм. Ротацизм. Сигматизм.
Возможные осложнения
Дисфагия при кормлении - потенциальный фактор риска приема пищи и развития аспирационной пневмонии. Дыхание ртом приводит к частым простудным заболеваниям верхних дыхательных путей и отитам. Аномалии зубов и челюстей, формирующиеся на фоне готического неба, приводят к недостаточной гигиене полости рта и большей заболеваемости кариесом.
Диагностика
Готическое небо - это мультидисциплинарная проблема, в диагностике которой участвуют челюстно-лицевые хирурги, ортодонты и логопеды. В диагностический комплекс входят следующие этапы:
• Интраоральный осмотр. Обнаружена небная дуга, имеющая характерную дугообразную форму. Верхняя челюсть узкая, места для постоянных зубов не хватает, поэтому возникает скученность, отмечается рост зубов за пределами зубной дуги. При осмотре можно обнаружить и другие дефекты: укороченную уздечку языка, небную расщелину.
• Стоматологическое обследование. Для составления плана ортодонтической коррекции выполняется цефалограмма (ТРГ), ортопантомограмма, а при необходимости - рентген лицевого черепа, КТ. Необходимые расчеты производятся на основании рентгенограмм. Снимаются слепки, модели челюстей отливаются из гипса, изучаются форма и глубина готического неба.
• Логопедическая диагностика. Исследование устной речи направлено на выявление дефектов звукового произношения. У готического неба нарушается звучание язычных, громких, шипящих хрипов, поскольку язык не может правильно позиционировать себя в полости рта. При закупорке полости носа отмечается гипоназальный тон речи, при наличии расщелины - гиперназальный.
• Интраоральный осмотр. Обнаружена небная дуга, имеющая характерную дугообразную форму. Верхняя челюсть узкая, места для постоянных зубов не хватает, поэтому возникает скученность, отмечается рост зубов за пределами зубной дуги. При осмотре можно обнаружить и другие дефекты: укороченную уздечку языка, небную расщелину.
• Стоматологическое обследование. Для составления плана ортодонтической коррекции выполняется цефалограмма (ТРГ), ортопантомограмма, а при необходимости - рентген лицевого черепа, КТ. Необходимые расчеты производятся на основании рентгенограмм. Снимаются слепки, модели челюстей отливаются из гипса, изучаются форма и глубина готического неба.
• Логопедическая диагностика. Исследование устной речи направлено на выявление дефектов звукового произношения. У готического неба нарушается звучание язычных, громких, шипящих хрипов, поскольку язык не может правильно позиционировать себя в полости рта. При закупорке полости носа отмечается гипоназальный тон речи, при наличии расщелины - гиперназальный.
Лечение
Ранняя ортодонтическая коррекция необходима для успешного устранения проблем с дыханием, питанием, речью. Оптимальный возраст для начала лечения - 5-6 лет. Во время временного и раннего прикуса используются щадящие варианты лечения:
• Ортодонтические пластины. С пружиной, болтом или дуговой проволокой. Расширение твердого неба происходит в результате расширения небного шва, то есть изменения направления роста альвеолярного отростка.
• Каппы Myobrace. Они являются средством коррекции мышечной активности. Они помогают нормализовать носовое дыхание, практиковать глотание, отучать малыша от вредных привычек, вырабатывать правильное положение языка.
Выполняется интраоральный массаж неба. В случае смешанной и постоянной окклюзии показано использование механических конструкций: аппарата Дерихсвейлера, небных расширителей. Положение зубов корректируется с помощью ортодонтического аппарата.
У взрослых пациентов зачастую не удается добиться коррекции готического неба консервативными методами. В таких случаях прибегают к хирургическому вмешательству - компактостеотомии верхней челюсти. На подготовительном этапе часто требуется удаление зуба, чаще двустороннее удаление премоляров, френулэктомия. Компактостеотомия может служить самостоятельным методом лечения или сочетаться с последующей аппаратной коррекцией.
Если не удалить анатомический дефект или исправить его лишь частично стоматологическими методами, невозможно добиться полностью «чистого» звукового произношения. В этом случае допускается компенсаторная артикуляция, позволяющая максимально приблизиться к стандартному акустическому образцу.
• Ортодонтические пластины. С пружиной, болтом или дуговой проволокой. Расширение твердого неба происходит в результате расширения небного шва, то есть изменения направления роста альвеолярного отростка.
• Каппы Myobrace. Они являются средством коррекции мышечной активности. Они помогают нормализовать носовое дыхание, практиковать глотание, отучать малыша от вредных привычек, вырабатывать правильное положение языка.
Выполняется интраоральный массаж неба. В случае смешанной и постоянной окклюзии показано использование механических конструкций: аппарата Дерихсвейлера, небных расширителей. Положение зубов корректируется с помощью ортодонтического аппарата.
У взрослых пациентов зачастую не удается добиться коррекции готического неба консервативными методами. В таких случаях прибегают к хирургическому вмешательству - компактостеотомии верхней челюсти. На подготовительном этапе часто требуется удаление зуба, чаще двустороннее удаление премоляров, френулэктомия. Компактостеотомия может служить самостоятельным методом лечения или сочетаться с последующей аппаратной коррекцией.
Логопедические занятия.
Исправление речевых нарушений в условиях готического неба крайне трудоемко и трудоемко. Миофункциональная терапия - хорошее средство исправления дефектов произношения. На занятиях по коррекции дислалии выполняются артикуляционные и дыхательные упражнения, подбираются оптимальные приемы звукообразования и упражнения для закрепления звука в речи.Если не удалить анатомический дефект или исправить его лишь частично стоматологическими методами, невозможно добиться полностью «чистого» звукового произношения. В этом случае допускается компенсаторная артикуляция, позволяющая максимально приблизиться к стандартному акустическому образцу.
|
|
Прогноз
Готическое небо, как изолированный дефект, обычно не влияет на умственное развитие и соматическое здоровье ребенка. Если эта аномалия входит в структуру сложного генетического синдрома, прогноз определяется рядом нарушений. За счет адресной ранней ортодонтической и логопедической коррекции можно компенсировать функциональные нарушения.
Профилактика
Профилактика аномалий челюстно-лицевой области, в том числе готического нёба, требует тщательного планирования беременности, исключающего влияние вредных факторов на развивающийся плод. После родов следует сразу же отучить ребенка от соска, бороться с вредными ротовыми привычками (сосание большого пальца, карандаш), своевременно лечить заболевания носоглотки.
Список литературы
1. Prosthetics and Speech Therapy in Patients with a High Arched Palate/ S. Sanghvi, G. Mistry, p.m Rathod, N. Swarup // Journal of Interdisciplinary Dentistry. 2019.
2. Feeding an infant with high arched palate by high flow rate bottle nipple/ A. Eren, H. вilgin, S. Kara// Asia Pac J сlin Nutr. 2015. 25(4).
3. Диагностика и коррекция звукопроизносительных расстройств у детей с нетяжелыми аномалиями органов артикуляции/ Григоренко Н.Ю., Цыбульский С.А. 2005.
2. Feeding an infant with high arched palate by high flow rate bottle nipple/ A. Eren, H. вilgin, S. Kara// Asia Pac J сlin Nutr. 2015. 25(4).
3. Диагностика и коррекция звукопроизносительных расстройств у детей с нетяжелыми аномалиями органов артикуляции/ Григоренко Н.Ю., Цыбульский С.А. 2005.