Другие названия и синонимы
Pneumothorax in newborns.
МКБ-10 коды
- МКБ-10
- J93 Пневмоторакс
|
|
Описание
Пневмоторакс у новорожденных. Это скопление воздуха в плевральной полости, вызванное повреждением альвеолярной стенки. Патология возникает при недостаточной вентиляции легких, перинатальных респираторных заболеваниях, влиянии ятрогенных факторов. Пневмоторакс проявляется учащенным дыханием, асимметрией грудной клетки, цианозом кожи и другими признаками гипоксии. Диагностика состояния новорожденных проводится с помощью рентгеноскопии, рентгенографии ОГК, пульсоксиметрии. Лечение консервативное с кислородной терапией или с помощью инвазивных вмешательств (плевральная пункция, дренирование).
Дополнительные факты
Пневмоторакс в неонатологии относится к проявлениям синдрома утечки воздуха, встречается у 0,07-1% новорожденных по российским данным и до 1-1,5% по зарубежным коллегам. Среди младенцев, находящихся в отделении интенсивной терапии, распространенность проблемы составляет 1,86%. Это состояние в 6 раз чаще диагностируется у недоношенных детей, и существует обратная зависимость между сроком беременности и вероятностью заболевания. В 85% случаев развивается односторонний пневмоторакс, около 2/3 патологий приходится на правое легкое.
Причины
Пневмоторакс иногда имеет физиологические предпосылки: при первых вдохах новорожденного формируется большое отрицательное внутригрудное давление, легкие быстро растягиваются, в результате чего альвеолы могут разорваться. Однако состояние ребенка ухудшается редко, а последствия поражения легочной ткани бесследно исчезают после нормализации функции внешнего дыхания. Среди патологических причин пневмоторакса новорожденных выделяют:
• Респираторная терапия. Механическая вентиляция легких остается основным этиологическим фактором возникновения заболевания, поскольку разрывы легочной ткани образуются у 34% новорожденных. Когда ИВЛ выполняется в режиме сPAP, риск снижается до 16%. У детей, получавших кислородную терапию с маской, она составляет не более 4%.
• Заболевания дыхательной системы. Пневмоторакс диагностируется у 5-20% новорожденных с РДС (заболевание гиалиновых мембран), которое вызвано нарушением эластических свойств легких. При преходящем тахипноэ состояние развивается в 10% случаев. При аспирации мекония риск увеличивается до 20-50%.
• Травма легких. У новорожденных пневмоторакс иногда является результатом неаккуратного проведения лечебно-диагностических манипуляций - катетеризации подключичной и яремной вен по методике Сельдингера, санации трахеобронхиального дерева.
• Кесарево сечение. Плановая операция значительно увеличивает риск пневмоторакса по сравнению с естественными родами или экстренной операцией, проводимой после определенного периода родов. Эту закономерность можно объяснить более частым развитием синдрома «влажного легкого» после планового кесарева сечения.
• Респираторная терапия. Механическая вентиляция легких остается основным этиологическим фактором возникновения заболевания, поскольку разрывы легочной ткани образуются у 34% новорожденных. Когда ИВЛ выполняется в режиме сPAP, риск снижается до 16%. У детей, получавших кислородную терапию с маской, она составляет не более 4%.
• Заболевания дыхательной системы. Пневмоторакс диагностируется у 5-20% новорожденных с РДС (заболевание гиалиновых мембран), которое вызвано нарушением эластических свойств легких. При преходящем тахипноэ состояние развивается в 10% случаев. При аспирации мекония риск увеличивается до 20-50%.
• Травма легких. У новорожденных пневмоторакс иногда является результатом неаккуратного проведения лечебно-диагностических манипуляций - катетеризации подключичной и яремной вен по методике Сельдингера, санации трахеобронхиального дерева.
• Кесарево сечение. Плановая операция значительно увеличивает риск пневмоторакса по сравнению с естественными родами или экстренной операцией, проводимой после определенного периода родов. Эту закономерность можно объяснить более частым развитием синдрома «влажного легкого» после планового кесарева сечения.
Патогенез
Заболевание возникает, когда альвеолы растягиваются и разрываются, в результате чего воздух выходит из легких и скапливается в плевральной полости. Основным пусковым фактором является физиологическое или патологическое повышение внутрилегочного давления. Пневмоторакс часто развивается при неравномерной вентиляции, такой как механическая вентиляция, когда большой поток воздуха попадает в субплевральные альвеолы.
Распространенное проявление патологии у недоношенных детей связано с недоразвитием легких, их недостаточной эластичностью и недостатком сурфактанта. В результате возникает высокая предрасположенность к эмфиземе и образованию «воздушных ловушек», на фоне которых возникает синдром утечки воздуха. Иногда патология образуется при задержке жидкости в легочной ткани, что приводит к чрезмерной растяжимости альвеол.
Распространенное проявление патологии у недоношенных детей связано с недоразвитием легких, их недостаточной эластичностью и недостатком сурфактанта. В результате возникает высокая предрасположенность к эмфиземе и образованию «воздушных ловушек», на фоне которых возникает синдром утечки воздуха. Иногда патология образуется при задержке жидкости в легочной ткани, что приводит к чрезмерной растяжимости альвеол.
Клиническая картина
В 90% случаев заболевание протекает бессимптомно, так как имеется небольшая утечка воздуха, не оказывающая негативного воздействия на здоровье. У других младенцев основным проявлением пневмоторакса является дыхание более 60 раз в минуту. Во время дыхания малыш издает громкие кряхтения или стоны. Младенцы, находящиеся на грудном вскармливании, часто сдаются из-за недостатка кислорода.
Недостаточная вентиляция приводит к дыхательной недостаточности. Кожа новорожденного приобретает голубоватый оттенок в области носогубного треугольника и кончиков пальцев, при повышенной гипоксии образуется тотальный цианоз. При массивном пневмотораксе отекает пораженная сторона грудной клетки, наблюдается заметная асимметрия. Возникают сердечно-сосудистые нарушения: тахикардия, артериальная гипотензия.
Ассоциированные симптомы: Одышка. Пониженное АД.
Недостаточная вентиляция приводит к дыхательной недостаточности. Кожа новорожденного приобретает голубоватый оттенок в области носогубного треугольника и кончиков пальцев, при повышенной гипоксии образуется тотальный цианоз. При массивном пневмотораксе отекает пораженная сторона грудной клетки, наблюдается заметная асимметрия. Возникают сердечно-сосудистые нарушения: тахикардия, артериальная гипотензия.
Ассоциированные симптомы: Одышка. Пониженное АД.
Возможные осложнения
Наиболее опасные последствия пневмоторакса касаются недоношенных детей с симптомами РДС. Летальность в этом случае колеблется от 14% до 31%, остальным новорожденным требуется длительное лечение в отделении интенсивной терапии. У 15% новорожденных на фоне просачивания воздуха в плевральную полость развивается стойкая легочная гипертензия, что связано с патологическим изменением давления в сосудах бронхолегочной системы.
При пневмотораксе воздух часто скапливается в других полостях и тканях, что проявляется пневмотораксом, пневмотораксом, пневмотораксом. Интерстициальная эмфизема легких имеет серьезные последствия, которые в сочетании с наличием воздуха в плевральной полости вызывают тяжелую дыхательную недостаточность. В связи с увеличением давления в венозной системе, приток крови к сердцу уменьшается, сердечный выброс, уменьшается, и ВЧ формируются.
При пневмотораксе воздух часто скапливается в других полостях и тканях, что проявляется пневмотораксом, пневмотораксом, пневмотораксом. Интерстициальная эмфизема легких имеет серьезные последствия, которые в сочетании с наличием воздуха в плевральной полости вызывают тяжелую дыхательную недостаточность. В связи с увеличением давления в венозной системе, приток крови к сердцу уменьшается, сердечный выброс, уменьшается, и ВЧ формируются.
Диагностика
Чтобы заподозрить пневмоторакс, неонатологу достаточно внешнего осмотра новорожденного и оценки физических данных. Врач обращает внимание на асимметрию и размер грудной клетки, считает частоту дыхания и при аускультации отмечает ослабление или отсутствие звуков дыхания на пораженной стороне. Для диагностики патологии и ее негативных последствий со 100% достоверностью используются:
• Просвечивание. Когда он просвечивает через грудную клетку с помощью оптоволоконной лампы в темной комнате, врач видит свободный воздух вокруг легких. Такая манипуляция информативна только для недоношенных новорожденных.
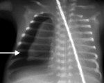
• Рентгенография ОГК. На рентгенограмме неонатолог определяет засветку периферических отделов грудной клетки и коллапс (коллапс) легкого. При этом средостение, как правило, смещается в здоровую сторону. Рентген также используется для диагностики пневмоперикарда.
• Пульсоксиметрия. Оценка сатурации необходима для определения наличия и степени дыхательной недостаточности, принятия решения о кислородной поддержке. Чем ниже насыщение крови кислородом, тем чаще развиваются побочные эффекты и тем выше риск смерти новорожденного.
• Просвечивание. Когда он просвечивает через грудную клетку с помощью оптоволоконной лампы в темной комнате, врач видит свободный воздух вокруг легких. Такая манипуляция информативна только для недоношенных новорожденных.
• Рентгенография ОГК. На рентгенограмме неонатолог определяет засветку периферических отделов грудной клетки и коллапс (коллапс) легкого. При этом средостение, как правило, смещается в здоровую сторону. Рентген также используется для диагностики пневмоперикарда.
• Пульсоксиметрия. Оценка сатурации необходима для определения наличия и степени дыхательной недостаточности, принятия решения о кислородной поддержке. Чем ниже насыщение крови кислородом, тем чаще развиваются побочные эффекты и тем выше риск смерти новорожденного.
Лечение
При бессимптомном течении случайно диагностированного пневмоторакса лечение не показано. В такой ситуации состояние разрешается самостоятельно, не вызывает отдаленных последствий, не нарушает жизнь новорожденного. При наличии симптомов дыхательной недостаточности рекомендуется респираторная поддержка в виде кислородной палатки или носо-оральной маски, не создающей высокого давления в бронхолегочной системе.
Чтобы предотвратить неблагоприятные последствия, необходимо вовремя выяснить причину патологии и провести ее коррекцию. Например, при респираторном дистресс-синдроме сурфактант вводят путем ингаляции для нормализации функции легких. Для предотвращения инфекционных осложнений при необходимости назначают антибиотики.
При тяжелом пневмотораксе или его быстром росте (клапанная форма) новорожденному требуются инвазивные манипуляции. Самый простой способ - набрать через катетер шприцем воздух. Процесс подходит для однократного удаления небольшого объема газа. Кроме того, применяется непрерывное дренирование плевральной полости узкими трубками, что позволяет постепенно расширять легкое и устранять дефект.
Чтобы предотвратить неблагоприятные последствия, необходимо вовремя выяснить причину патологии и провести ее коррекцию. Например, при респираторном дистресс-синдроме сурфактант вводят путем ингаляции для нормализации функции легких. Для предотвращения инфекционных осложнений при необходимости назначают антибиотики.
При тяжелом пневмотораксе или его быстром росте (клапанная форма) новорожденному требуются инвазивные манипуляции. Самый простой способ - набрать через катетер шприцем воздух. Процесс подходит для однократного удаления небольшого объема газа. Кроме того, применяется непрерывное дренирование плевральной полости узкими трубками, что позволяет постепенно расширять легкое и устранять дефект.
|
|
Прогноз
Вероятность полного выздоровления зависит от степени поражения легких, наличия врожденных или приобретенных бронхолегочных заболеваний. У доношенных новорожденных без RDS и без потребности в ИВЛ прогноз благоприятный; негативные последствия часто возникают у недоношенных детей. Профилактика предполагает рациональный выбор тактики ИВЛ и СРАР-вентиляции, тщательное выполнение инвазивных процедур.
Список литературы
1. Неонатология. Т.1/ Н.П. Шабалов. 2020.
2. Анализ случаев развития спонтанного пневмоторакса у новорожденных/ Ю.В. Перегудова, О.И. Петрусенко, А.В. Шаклеин. 2016.
3. Пневмоторакс у новорожденных детей/ В.ЕГ. Вакульчик, А.В. Худовцова, Ю.В. Попова// Актуальные вопросы хирургии: материалы XV съезда хирургов Республики Беларусь. 2014.
4. Неонатология/ под ред. Н.Н. Володина. 2008.
2. Анализ случаев развития спонтанного пневмоторакса у новорожденных/ Ю.В. Перегудова, О.И. Петрусенко, А.В. Шаклеин. 2016.
3. Пневмоторакс у новорожденных детей/ В.ЕГ. Вакульчик, А.В. Худовцова, Ю.В. Попова// Актуальные вопросы хирургии: материалы XV съезда хирургов Республики Беларусь. 2014.
4. Неонатология/ под ред. Н.Н. Володина. 2008.