Другие названия и синонимы
Fracture of the radius in children.
МКБ-10 коды
|
|
Описание
Перелом лучевой кости у детей. Это нарушение целостности нижней, реже средней или верхней трети одной из двух костей предплечья, расположенной сбоку от большого пальца. Сопровождается болью, припухлостью, ограничением движений. Деформация и патологическая подвижность присутствуют не всегда, клиническая картина может сглаживаться, напоминая синяк. Диагноз ставится на основании анамнеза, данных внешнего осмотра, рентгенологического исследования, УЗИ. В сомнительных случаях назначают КТ, МРТ. Лечение часто консервативное: репозиция, фиксация гипсовой повязкой. При невозможности репозиции или сохранения фрагментов выполняются операции.
Дополнительные факты
Лучевой перелом у детей - один из самых частых переломов в детском возрасте. Частота травматических повреждений предплечья (включая повреждения локтевой кости и обеих костей), по разным данным, составляет от 25 до 53% от общего числа повреждений костей конечностей. Мальчики страдают чаще девочек. При своевременном лечении травмы хорошо поддаются лечению, функция конечностей полностью восстанавливается. При неблагоприятном исходе возможны остаточные деформации и ограничение движений.
Причины
У маленьких детей основной причиной являются бытовые травмы. Дети среднего и старшего возраста чаще получают травмы на улице - они падают на руки во время подвижных игр, бега трусцой, езды на велосипеде, обычных или роликовых коньках. В некоторых случаях причиной являются дорожно-транспортные происшествия, падение с высоты, драки между детьми и насилие в семье. Уровень перелома луча определяется характером травматического воздействия:
• Нижняя треть. Основная причина - падение с упором на ладонь, реже на тыльную сторону кисти, иногда травма спровоцирована ударом по тыльной поверхности запястья.
• Средняя треть. Кость ломается при ударе о лучевую сторону предплечья.
• Верхняя треть. Причиной считается падение на вытянутую и слегка отведенную руку.
• Нижняя треть. Основная причина - падение с упором на ладонь, реже на тыльную сторону кисти, иногда травма спровоцирована ударом по тыльной поверхности запястья.
• Средняя треть. Кость ломается при ударе о лучевую сторону предплечья.
• Верхняя треть. Причиной считается падение на вытянутую и слегка отведенную руку.
Патогенез
Нарушение целостности кости происходит, когда сила удара превышает ее прочностные характеристики. В классическом варианте кость полностью ломается. У детей рядом с классическими переломами возможны травмы, при которых кость повреждается, но надкостница остается целой. Еще один вид детского перелома - эпифизеолиз - нарушение целостности хряща в зоне роста. Эпифизеолиз можно увидеть только на суставных концах костей, вокруг запястья или локтя.
Классификация
Принимая во внимание уровень и тип травмы у детей, можно выделить следующие повреждения балки:
• В нижней трети. Перелом лучевой кости в типичном положении, поднадкостничный перелом, эпифиз, остеоэпифиз (повреждение зоны роста с переходом на кость). Самый частый вид травм.
• В средней трети. Нормальный и поднадкостничный перелом. Рефлекторное защитное сгибание предплечья во время схваток и несчастных случаев встречается редко из-за неудобства удара в эту область.
• В верхней трети. Остеоэпизифеолиз, эпифизиолиз головы, перелом шейки лучевой кости. На его долю приходится 20-50% от общего количества переломов лучевой кости, часто сочетающихся с вывихом, повреждением других структур локтевого сустава.
Перелом Галеацци может произойти в нижней или средней трети сегмента, характеризуясь нарушением целостности лучевой кости в сочетании с вывихом головки локтевой кости в области запястья. Все переломы могут быть закрытыми или открытыми, сопровождаться или не сопровождаться смещением костных отломков.
Рука фиксируется платочной повязкой. При тяжелых травмах вала и верхней части иммобилизация проводится шиной с захватом двух соседних сегментов: кисти и плеча. При наличии ран и ссадин накладывается асептическая повязка. К пораженному месту прикладывают холод: пакет со льдом, завернутый в полотенце, грелку с холодной водой.
Не рекомендуется мочить место перелома (применение влажных салфеток, полотенец), это серьезно сказывается на состоянии кожи. В случае сильной боли назначают анальгетик в дозе, соответствующей возрасту. Ребенка сразу отправляют в специализированное лечебное учреждение.
• В нижней трети. Перелом лучевой кости в типичном положении, поднадкостничный перелом, эпифиз, остеоэпифиз (повреждение зоны роста с переходом на кость). Самый частый вид травм.
• В средней трети. Нормальный и поднадкостничный перелом. Рефлекторное защитное сгибание предплечья во время схваток и несчастных случаев встречается редко из-за неудобства удара в эту область.
• В верхней трети. Остеоэпизифеолиз, эпифизиолиз головы, перелом шейки лучевой кости. На его долю приходится 20-50% от общего количества переломов лучевой кости, часто сочетающихся с вывихом, повреждением других структур локтевого сустава.
Перелом Галеацци может произойти в нижней или средней трети сегмента, характеризуясь нарушением целостности лучевой кости в сочетании с вывихом головки локтевой кости в области запястья. Все переломы могут быть закрытыми или открытыми, сопровождаться или не сопровождаться смещением костных отломков.
Рука фиксируется платочной повязкой. При тяжелых травмах вала и верхней части иммобилизация проводится шиной с захватом двух соседних сегментов: кисти и плеча. При наличии ран и ссадин накладывается асептическая повязка. К пораженному месту прикладывают холод: пакет со льдом, завернутый в полотенце, грелку с холодной водой.
Не рекомендуется мочить место перелома (применение влажных салфеток, полотенец), это серьезно сказывается на состоянии кожи. В случае сильной боли назначают анальгетик в дозе, соответствующей возрасту. Ребенка сразу отправляют в специализированное лечебное учреждение.
Клиническая картина
Чаще всего у детей наблюдается эпифиз лучевой кости - поражение зоны роста, расположенной непосредственно у сустава. Возможно изолированное повреждение, соединение с эпифизом локтевой кости, отслойка шиловидного отростка. Клинические признаки часто сглаживаются. Ребенок жалуется на боли слабые или умеренные, при осмотре обнаружена локальная припухлость на стороне 1 пальца.
В сочетании с другими травмами дистального отдела предплечья опухоль распространяется на весь сустав. Из-за расплывчатых симптомов родители часто воспринимают травму как синяк, через несколько дней обращаются к специалистам, когда становится ясно, что симптомы слишком устойчивы и со временем не проходят. При выраженном смещении симптомы соответствуют перелому, возникает резкая боль, деформация, прогрессирующая разлитая отечность.
Поднадкостничные переломы лучевой кости располагаются чуть выше эпифизолиза - по линии метафиза. Симптомы скудные, легкие ломоты и боли, отечность умеренная. Важным признаком, отличающим перелом от синяка, является болезненность при осевой нагрузке. Видимое искажение обнаруживается при значительном угловом смещении. Частые переломы чаще встречаются у детей старшего возраста. Симптомы аналогичны переломам у взрослых.
Ребенка одновременно беспокоят боли в средней или нижней трети предплечья и боли в лучезапястном суставе со стороны мизинца. В обоих местах обнаруживаются кровоизлияния, отек мягких тканей и деформации. Увеличение отека приводит к высокой вероятности осложнений.
Клиническая картина мрачная. Есть жалобы на боль, усиливающуюся при движении, особенно при вращении руки. В случае поднадкостничных поражений может быть заметна угловая деформация; в случае полных переломов на уровне поражения может ощущаться «ступенька». Патологическая подвижность и растрескивание костей встречаются крайне редко, так как костные отломки удерживаются в фиксированном положении межкостной перепонкой и локтевой костью.
Травма возможна по всей длине от головы до шеи, но в клинической практике переломы преобладают на краях этих анатомических структур. Благодаря внутрисуставной локализации клиника достаточно выраженная. Дети жалуются на боли в суставах, преимущественно в области локтевой ямки. Сустав отечный, контуры сглажены, все виды движений ограничены. Наибольшее ограничение наблюдается при попытке повернуть руку ладонью вверх. Крепитация отсутствует.
Ассоциированные симптомы: Боль в предплечье. Боль в руке. Ограничение амплитуды движений. Отеки рук.
В сочетании с другими травмами дистального отдела предплечья опухоль распространяется на весь сустав. Из-за расплывчатых симптомов родители часто воспринимают травму как синяк, через несколько дней обращаются к специалистам, когда становится ясно, что симптомы слишком устойчивы и со временем не проходят. При выраженном смещении симптомы соответствуют перелому, возникает резкая боль, деформация, прогрессирующая разлитая отечность.
Поднадкостничные переломы лучевой кости располагаются чуть выше эпифизолиза - по линии метафиза. Симптомы скудные, легкие ломоты и боли, отечность умеренная. Важным признаком, отличающим перелом от синяка, является болезненность при осевой нагрузке. Видимое искажение обнаруживается при значительном угловом смещении. Частые переломы чаще встречаются у детей старшего возраста. Симптомы аналогичны переломам у взрослых.
Ребенка одновременно беспокоят боли в средней или нижней трети предплечья и боли в лучезапястном суставе со стороны мизинца. В обоих местах обнаруживаются кровоизлияния, отек мягких тканей и деформации. Увеличение отека приводит к высокой вероятности осложнений.
Клиническая картина мрачная. Есть жалобы на боль, усиливающуюся при движении, особенно при вращении руки. В случае поднадкостничных поражений может быть заметна угловая деформация; в случае полных переломов на уровне поражения может ощущаться «ступенька». Патологическая подвижность и растрескивание костей встречаются крайне редко, так как костные отломки удерживаются в фиксированном положении межкостной перепонкой и локтевой костью.
Травма возможна по всей длине от головы до шеи, но в клинической практике переломы преобладают на краях этих анатомических структур. Благодаря внутрисуставной локализации клиника достаточно выраженная. Дети жалуются на боли в суставах, преимущественно в области локтевой ямки. Сустав отечный, контуры сглажены, все виды движений ограничены. Наибольшее ограничение наблюдается при попытке повернуть руку ладонью вверх. Крепитация отсутствует.
Ассоциированные симптомы: Боль в предплечье. Боль в руке. Ограничение амплитуды движений. Отеки рук.
|
|
Возможные осложнения
К ранним осложнениям можно отнести сдавление нервов и сосудов, развитие компартмент-синдрома из-за нарастания отека конечностей. Негативные последствия чаще наблюдаются при переломе Галеацци, но могут проявляться и при других травмах, особенно тех, которые сопровождаются значительным смещением. Тревожными признаками являются нарушения чувствительности и движений, ослабление или исчезновение пульса, прогрессирующие мучительные боли в дистальных отделах конечностей.
Поздние осложнения - ограничение свободы движений, остаточные деформации и замедление роста лучевой кости с развитием лучевой ракетки руки. Серьезным осложнением, ограничивающим трудоспособность, является контрактура Фолькмана, возникающая на фоне длительного компартмент-синдрома.
Поздние осложнения - ограничение свободы движений, остаточные деформации и замедление роста лучевой кости с развитием лучевой ракетки руки. Серьезным осложнением, ограничивающим трудоспособность, является контрактура Фолькмана, возникающая на фоне длительного компартмент-синдрома.
Диагностика
Диагноз ставит детский травматолог. Определение характера травмы основывается на жалобах, данных объективного обследования и дополнительных исследованиях. Когда клинические симптомы стираются, важность методов визуализации возрастает. Для подтверждения диагноза назначают:
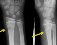
• Рентгенография. Это базовое исследование, позволяющее выявить общие и поднадкостничные переломы, но в случае эпифизиолиза может дать мало информации. В зависимости от степени поражения делается рентген костей предплечья, запястья или локтевого сустава в двух проекциях.
• Ультразвук. УЗИ суставов - доступный и информативный метод исследования при подозрении на эпифизеолиз. Позволяет оценить состояние хрящевой ткани, которая практически не видна на рентгеновских снимках. Дополнительным преимуществом метода является его функциональность - возможность оценить состояние пораженного участка при различных положениях конечностей.
• КТ и МРТ. Методики прописываются на завершающей стадии расследования при недостаточной фундаментальной исследовательской информации. Они позволяют изучить поврежденный участок в разных плоскостях, создать трехмерную модель пораженного участка.
• Рентгенография. Это базовое исследование, позволяющее выявить общие и поднадкостничные переломы, но в случае эпифизиолиза может дать мало информации. В зависимости от степени поражения делается рентген костей предплечья, запястья или локтевого сустава в двух проекциях.
• Ультразвук. УЗИ суставов - доступный и информативный метод исследования при подозрении на эпифизеолиз. Позволяет оценить состояние хрящевой ткани, которая практически не видна на рентгеновских снимках. Дополнительным преимуществом метода является его функциональность - возможность оценить состояние пораженного участка при различных положениях конечностей.
• КТ и МРТ. Методики прописываются на завершающей стадии расследования при недостаточной фундаментальной исследовательской информации. Они позволяют изучить поврежденный участок в разных плоскостях, создать трехмерную модель пораженного участка.
Лечение
Лечение чаще всего амбулаторное. Госпитализация требуется при открытых травмах, признаках сдавления сосудов и нервов, значительном отеке, сочетании с другими травмами, неэффективной репозиции, невозможности удерживать костные отломки в правильном положении. При переломах без смещения накладывается гипсовая повязка. При наличии смещения проводится репозиция.
В сложных случаях для предотвращения повторного смещения проводится чрескожная фиксация отломков. Детям постарше манипуляция проводится под местной анестезией; для пациентов младшей возрастной группы применяется общий наркоз. Последующее консервативное лечение проводится следующими методами:
• Безопасный режим. Рекомендуется выдерживать приподнятое положение конечности, чтобы исключить нагрузку на руку. Продолжительность иммобилизации зависит от типа перелома, в большинстве случаев составляет от 2 до 4 недель.
• Обезболивание. Обязательно в первые дни после травмы. Чаще его получают с пероральными анальгетиками. Внутримышечное введение возможно при стационарном лечении тяжелых травм после операций на лучевой кости.
• Физиотерапия. На начальных этапах назначают УВЧ для уменьшения отеков и воспалений. Затем используют парафин, озокерит. Термальные процедуры дополняются комплексами лечебной физкультуры.
При переломах лучевой кости у детей хирургическое вмешательство проводится редко. Осуществляются:
• Диафизарные переломы. Показана операция при устойчивом смещении по ширине более 1/3 диаметра кости, угловом смещении более 10 градусов. Остеосинтез проводят редко, чаще фиксируют отломки кетгутовой нитью или вставляют один фрагмент в другой. Иногда применяется дополнительная чрескожная фиксация проволокой.
• Трещины в верхней части балки. Традиционная фиксация головы или шейки балки проволокой почти в половине случаев приводит к длительным ограничениям подвижности. Хорошие результаты достигаются с помощью гибких титановых гвоздей, биоразлагаемых вязальных спиц и шурупов.
• Переломы нижней части балки. Показаниями считаются смещение по ширине на треть, угловое смещение 15-20 градусов. Фиксация проводится теми же методами, что и при диафизарных переломах.
В сложных случаях для предотвращения повторного смещения проводится чрескожная фиксация отломков. Детям постарше манипуляция проводится под местной анестезией; для пациентов младшей возрастной группы применяется общий наркоз. Последующее консервативное лечение проводится следующими методами:
• Безопасный режим. Рекомендуется выдерживать приподнятое положение конечности, чтобы исключить нагрузку на руку. Продолжительность иммобилизации зависит от типа перелома, в большинстве случаев составляет от 2 до 4 недель.
• Обезболивание. Обязательно в первые дни после травмы. Чаще его получают с пероральными анальгетиками. Внутримышечное введение возможно при стационарном лечении тяжелых травм после операций на лучевой кости.
• Физиотерапия. На начальных этапах назначают УВЧ для уменьшения отеков и воспалений. Затем используют парафин, озокерит. Термальные процедуры дополняются комплексами лечебной физкультуры.
При переломах лучевой кости у детей хирургическое вмешательство проводится редко. Осуществляются:
• Диафизарные переломы. Показана операция при устойчивом смещении по ширине более 1/3 диаметра кости, угловом смещении более 10 градусов. Остеосинтез проводят редко, чаще фиксируют отломки кетгутовой нитью или вставляют один фрагмент в другой. Иногда применяется дополнительная чрескожная фиксация проволокой.
• Трещины в верхней части балки. Традиционная фиксация головы или шейки балки проволокой почти в половине случаев приводит к длительным ограничениям подвижности. Хорошие результаты достигаются с помощью гибких титановых гвоздей, биоразлагаемых вязальных спиц и шурупов.
• Переломы нижней части балки. Показаниями считаются смещение по ширине на треть, угловое смещение 15-20 градусов. Фиксация проводится теми же методами, что и при диафизарных переломах.
Прогноз
Прогноз в подавляющем большинстве случаев благоприятный. Переломы лучевой кости заживают хорошо, образование псевдоартроза встречается редко. Небольшие угловые смещения у детей устраняются самостоятельно по мере роста кости. Деформация, ограничение функции конечности, другие последствия возможны при отсутствии репозиции, несвоевременном обращении за медицинской помощью и развитии осложнений.
Профилактика
Основная профилактическая мера - устранение причин травм путем создания безопасной среды, обучения детей основам правильного поведения дома и на улице. Родителям рекомендуется уделять больше внимания жалобам детей на боли в типичных местах, даже если эти жалобы не соответствуют классической картине перелома.
Список литературы
1. Травматология детского возраста/ Жила Н.Г., Зорин В.И. 2020.
2. Травматология и ортопедия детского возраста/ Разин М.П. 2016.
3. Современное состояние вопроса о лечении переломов шейки лучевой кости у детей/ Семенов С.В., Шарпарь В.Д. и // Детская хирургия - 2015 - №2.
2. Травматология и ортопедия детского возраста/ Разин М.П. 2016.
3. Современное состояние вопроса о лечении переломов шейки лучевой кости у детей/ Семенов С.В., Шарпарь В.Д. и // Детская хирургия - 2015 - №2.
|
|