Другие названия и синонимы
Transposition of internal organs.
МКБ-10 коды
- МКБ-10
- Q89.3 Situs inversus
|
|
Описание
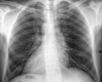
Транспозиция внутренних органов. Это полное или частичное зеркальное отображение органов грудной клетки и брюшной полости. Среди причин патологии - генетические мутации, действие тератогенных факторов на эмбрион. Простые формы транспозиции бессимптомны и выявляются случайно при профилактическом обследовании. Сочетание situs inversus и других внутренних дефектов проявляется нарушениями кровообращения, задержкой роста и развития, частыми инфекционными заболеваниями. Для диагностики назначаются инструментальные методы: УЗИ, рентгенография, МРТ и КТ брюшной полости и грудной клетки. Лечение неосложненных форм аномалии не проводится.
Дополнительные факты
Декстрокардия как один из вариантов транспозиции была описана в 1643 году итальянским хирургом и анатомом Марко Северино, а первое упоминание латинского термина «situs inversus» относится к 1797 году и названо в честь британского врача и патолога Мэтью Бейли. Заболеваемость патологией - 1 случай на 15-20 000 населения. Транспозиция чаще всего протекает бессимптомно, поскольку перевернутые органы работают так же, как которые находятся на своих обычных местах. Врачам сложно диагностировать различные соматические заболевания на основании атипичных симптомов и результатов физикального обследования.
Причины
Этиологические факторы точно не установлены. В генетической диагностике было показано, что большой процент situs inversus связан с мутациями генов HAND, Pitxz, ZIC3Shh, ACVR2, возникающими в первые 12 недель беременности. Транспозиции способствуют тератогенному воздействию на развивающийся эмбрион: при курении и употреблении алкоголя беременной женщиной, воздействии радиации и канцерогенов. Существует теория о «проглатывании» эмбриона-близнеца как о причине транспозиции.
В клинической практике транспозиция встречается при изолированной декстрокардии (обратное положение сердца), синдроме Зиверта-Картагенера (инверсия легочно-сердечного комплекса), синдроме Ивемарка (декстрокардия, зеркальное положение органов брюшной полости).
В клинической практике транспозиция встречается при изолированной декстрокардии (обратное положение сердца), синдроме Зиверта-Картагенера (инверсия легочно-сердечного комплекса), синдроме Ивемарка (декстрокардия, зеркальное положение органов брюшной полости).
Патогенез
Патологические изменения возникают в раннем эмбриональном периоде. Обычно во время развития эмбриона вся висцеральная ткань откладывается по средней линии тела, а затем по мере роста эмбриона происходит вращение по часовой стрелке, в результате чего внутренние органы занимают свое типичное место. Если вращение выполняется в обратном направлении, происходит транспозиция одного, всех или нескольких внутренних органов.
Классификация
По количеству аномально локализованных органов и с учетом их расположения относительно средней линии можно выделить 4 типа транспозиции:
• situs inversus cordis. Простая декстрокардия, при которой только сердце имеет атипичную локализацию справа в груди;
• situs viscerum inversus partialis. Частичное обращение, когда сердце и отдельные органы желудочно-кишечного тракта и дыхательной системы зеркально отражены;
• situs viscerum inversus totalis. Зеркальное отражение всех внутренних органов пищеварительной и дыхательной систем;
• неоднозначное положение (гетеротаксис). Редкий вариант с неопределенной локализацией, при котором печень обычно занимает место посередине тела, а селезенка отсутствует.
• situs inversus cordis. Простая декстрокардия, при которой только сердце имеет атипичную локализацию справа в груди;
• situs viscerum inversus partialis. Частичное обращение, когда сердце и отдельные органы желудочно-кишечного тракта и дыхательной системы зеркально отражены;
• situs viscerum inversus totalis. Зеркальное отражение всех внутренних органов пищеварительной и дыхательной систем;
• неоднозначное положение (гетеротаксис). Редкий вариант с неопределенной локализацией, при котором печень обычно занимает место посередине тела, а селезенка отсутствует.
Клиническая картина
Если транспозиция не сопровождается врожденными дефектами или генетическими аномалиями, клинических признаков нет. Атипичное расположение внутренних органов, как правило, диагностируется даже у детей при плановых медицинских осмотрах или обращении за медицинской помощью. Чаще всего врач может заподозрить транспозицию по тембрам сердца, которые слышны в нетипичных точках.
В случае сочетания транспозиции внутренних органов с аномалиями развития патологические симптомы проявляются в раннем детстве. В основном это признаки сердечно-сосудистых нарушений: одышка при физической нагрузке, бледность или посинение кожи, пальцы в виде «голеней» и ногти в виде «часовых стекол». Симптомы часто сопровождаются плохим физическим развитием, задержкой роста.
Симптомы осложненного situs inversus также включают частые заболевания органов дыхания и инфекционные заболевания различной локализации. Нарушения пищеварения проявляются аномальным стулом, пожелтением кожи, недостаточным набором веса у детей и похуданием у взрослых. Иногда транспозиция дополняется характерными изменениями внешнего вида - признаками дизэмбриогенеза.
Ассоциированные симптомы: Одышка. Пальцы - барабанные палочки. Потеря веса.
В случае сочетания транспозиции внутренних органов с аномалиями развития патологические симптомы проявляются в раннем детстве. В основном это признаки сердечно-сосудистых нарушений: одышка при физической нагрузке, бледность или посинение кожи, пальцы в виде «голеней» и ногти в виде «часовых стекол». Симптомы часто сопровождаются плохим физическим развитием, задержкой роста.
Симптомы осложненного situs inversus также включают частые заболевания органов дыхания и инфекционные заболевания различной локализации. Нарушения пищеварения проявляются аномальным стулом, пожелтением кожи, недостаточным набором веса у детей и похуданием у взрослых. Иногда транспозиция дополняется характерными изменениями внешнего вида - признаками дизэмбриогенеза.
Ассоциированные симптомы: Одышка. Пальцы - барабанные палочки. Потеря веса.
Возможные осложнения
Транспозиция - серьезная проблема в медицинской практике, поскольку незнание такой характеристики сбивает с толку специалиста по диагностическим исследованиям. Например, при аппендиците пациент ощущает боль в левой подвздошной ямке, которую ошибочно принимают за гастроэнтерологическую патологию, поэтому хирургической помощи не оказывается. То же самое и с острым заболеванием сердца, при котором боль будет справа от грудины, имитируя межреберную невралгию, пневмонию.
При situs inversus с декстрокардией наблюдаются врожденные пороки сердца: дефект межжелудочковой и / или межпредсердной перегородки, транспозиция крупных сосудов, стеноз легочной артерии. Иногда у пациентов диагностируется тетрада Фалло, эндокардиальные аномалии, аплазия или агенезия легких. Редкие пороки развития включают двух- и трехкамерное сердце - серьезные аномалии с плохим прогнозом и плохой долгосрочной выживаемостью.
При situs inversus с декстрокардией наблюдаются врожденные пороки сердца: дефект межжелудочковой и / или межпредсердной перегородки, транспозиция крупных сосудов, стеноз легочной артерии. Иногда у пациентов диагностируется тетрада Фалло, эндокардиальные аномалии, аплазия или агенезия легких. Редкие пороки развития включают двух- и трехкамерное сердце - серьезные аномалии с плохим прогнозом и плохой долгосрочной выживаемостью.
Диагностика
У большинства взрослых пациентов информация о трансплантации органов заносится в медицинские карты, поэтому врач обязан внимательно прочитать документацию. В анамнезе подробно описан вариант инверсии внутренних органов во избежание диагностических ошибок. Если информации об этой аномалии нет, транспозиция выявляется при инструментальных исследованиях - диагностическом ОГК и рентгенографии брюшной полости, УЗИ внутренних органов, КТ и МРТ.
Первый врач, обнаруживший перестановку, должен внести на карту всю информацию, полученную во время физического и инструментального обследования. Если у пациента есть жалобы, дополнительно назначается консультация кардиолога, пульмонолога, гастроэнтеролога и других профильных специалистов. Генетическое консультирование требуется при сочетании симптомов врожденных внутренних аномалий и транспозиции.
Первый врач, обнаруживший перестановку, должен внести на карту всю информацию, полученную во время физического и инструментального обследования. Если у пациента есть жалобы, дополнительно назначается консультация кардиолога, пульмонолога, гастроэнтеролога и других профильных специалистов. Генетическое консультирование требуется при сочетании симптомов врожденных внутренних аномалий и транспозиции.
Лечение
При отсутствии нарушений здоровья транспозиционное лечение не показано. Врожденные аномалии сердца и пищеварительной системы, вызывающие клинические симптомы и нарушения функций организма, требуют хирургической коррекции. Тяжелые формы сочетанных внутренних пороков могут привести к инвалидности, поэтому пациентам необходим курс медико-социальной и профессиональной реабилитации.
Прогноз
Простые варианты транспозиции не влияют на функционирование организма и не ухудшают качество жизни пациентов. Поскольку транспозиция не относится к наследственным заболеваниям, люди с этой чертой могут иметь здоровых детей. Плохой прогноз для пациентов с тяжелыми врожденными дефектами строения и функции внутренних органов. Меры по предотвращению транспозиции включают внутриутробную защиту плода.
Список литературы
1. Национальные проекты: вызовы и решения. Случай транспозиции внутренних органов/ В.Н. Герасимов, В.Е. Бригиневич, А.В. Борисов // Материалы 55 межрегиональной научно-практической конференции. 2020.
2. Транспозиция внутренних органов/ М.А. Гаибова, А.А. Медведева // Молодежь, наука, медицина. 2019.
3. Полная транспозиция органов (клинический случай)/ И.А. Бондаренко, Т.В. Чеснакова// Радиология - Практика. 2014.
4. Approach to dextrocardia in adults: review / Maldjian P.D., Saric M // AJR Am J Roentgenol. 2007.
2. Транспозиция внутренних органов/ М.А. Гаибова, А.А. Медведева // Молодежь, наука, медицина. 2019.
3. Полная транспозиция органов (клинический случай)/ И.А. Бондаренко, Т.В. Чеснакова// Радиология - Практика. 2014.
4. Approach to dextrocardia in adults: review / Maldjian P.D., Saric M // AJR Am J Roentgenol. 2007.
|
|