Другие названия и синонимы
Stomach tumors.
МКБ-10 коды
|
|
Описание
Опухоли желудка. Полиморфная группа новообразований, поражающих все слои желудка, с разной степенью пролиферативной активности и влияющих на здоровье и жизнь пациента. Основные признаки рака желудка включают слабость, истощение, дискомфорт в области пищеварения, потерю аппетита, анемию, депрессию и потерю интереса к жизни. Для выявления опухолей используются рентгеновские и эндоскопические методы, ультразвуковое исследование, компьютерная томография и магнитно-резонансная томография органов брюшной полости. Лечение данной патологии в основном хирургическое, при обнаружении злокачественного новообразования в комбинированную терапию также входят лучевая и полихимиотерапия.
Дополнительные факты
Опухоли желудка могут различаться по характеру роста опухоли, происхождению и степени дифференцировки. Среди всех новообразований желудка доброкачественные опухоли встречаются не более чем в 4% случаев, подавляющее большинство из них - полипы желудка. Среди злокачественных новообразований чаще всего выявляется рак желудка; другие виды злокачественных новообразований составляют не более 5%.
Соотношение мужчин и женщин среди больных раком желудка составляет 3: 2. Возрастная планка смещена в сторону пожилых людей: более двух третей составляют пациенты старше 50 лет. В последние годы значительно снизилась заболеваемость раком желудка, и гастроэнтерологи связывают это со своевременным выявлением и искоренением инфекции H. pylori. Известно, что именно H. pylori играет ведущую роль в образовании язвы желудка и двенадцатиперстной кишки, а давняя язва способна вызывать злокачественные новообразования и приводит к развитию рака желудка.
Соотношение мужчин и женщин среди больных раком желудка составляет 3: 2. Возрастная планка смещена в сторону пожилых людей: более двух третей составляют пациенты старше 50 лет. В последние годы значительно снизилась заболеваемость раком желудка, и гастроэнтерологи связывают это со своевременным выявлением и искоренением инфекции H. pylori. Известно, что именно H. pylori играет ведущую роль в образовании язвы желудка и двенадцатиперстной кишки, а давняя язва способна вызывать злокачественные новообразования и приводит к развитию рака желудка.
Классификация
В зависимости от степени дифференцировки опухоли желудка делятся на доброкачественные и злокачественные. Дальнейшее деление внутри этих групп выполняется в зависимости от типа ткани, из которой происходит это опухолевое образование. Среди доброкачественных опухолей желудка больше всего представлены полипы - железистые новообразования, растущие в просвете желудка, имеющие округлую форму, тонкую ножку или широкое основание. По количественному критерию выделяют один полип, несколько полипов и полипоз желудка (наследственное заболевание, характеризующееся поражением слизистой оболочки желудочно-кишечного тракта).
По строению полипы являются аденоматозными (происходят из железистого эпителия желудка, в 20% случаев трансформируются в рак, особенно при размере полипа более 15 мм); гиперпластические (развиваются на фоне атрофического гастрита, составляют более 80% всех полипов, очень редко становятся злокачественными); воспалительная соединительная ткань (инфильтрированная эозинофилами, не являются настоящими опухолями, но внешне очень напоминают онкологический процесс). Отдельно выделяют болезнь Менетри - предраковое состояние, которое описывается как полиаденоматозный гастрит. Доброкачественные опухоли желудка могут возникать из различных тканей: мышц (лейомиома), подслизистого слоя (липома), сосудов (ангиома), нервных волокон (невринома), соединительной ткани (фиброма).
Большинство злокачественных опухолей желудка (более 95% случаев) представляют собой аденокарциному (рак желудка эпителиального происхождения). К другим видам рака относятся карциноид (имеет нейроэндокринный генез, опухоль способна вырабатывать гормоны), лейомиома (содержит клетки, похожие на эпителий и гладкие мышцы), лейомиосаркома (состоит из трансформированных гладкомышечных клеток), злокачественная лимфома (происходит из дегенерированных лимфоидных клеток). ткани) . Реже выявляются опухоли желудка, такие как фибросаркома и ангиопластическая саркома, саркома сетчатки и нейробластома.
По строению полипы являются аденоматозными (происходят из железистого эпителия желудка, в 20% случаев трансформируются в рак, особенно при размере полипа более 15 мм); гиперпластические (развиваются на фоне атрофического гастрита, составляют более 80% всех полипов, очень редко становятся злокачественными); воспалительная соединительная ткань (инфильтрированная эозинофилами, не являются настоящими опухолями, но внешне очень напоминают онкологический процесс). Отдельно выделяют болезнь Менетри - предраковое состояние, которое описывается как полиаденоматозный гастрит. Доброкачественные опухоли желудка могут возникать из различных тканей: мышц (лейомиома), подслизистого слоя (липома), сосудов (ангиома), нервных волокон (невринома), соединительной ткани (фиброма).
Большинство злокачественных опухолей желудка (более 95% случаев) представляют собой аденокарциному (рак желудка эпителиального происхождения). К другим видам рака относятся карциноид (имеет нейроэндокринный генез, опухоль способна вырабатывать гормоны), лейомиома (содержит клетки, похожие на эпителий и гладкие мышцы), лейомиосаркома (состоит из трансформированных гладкомышечных клеток), злокачественная лимфома (происходит из дегенерированных лимфоидных клеток). ткани) . Реже выявляются опухоли желудка, такие как фибросаркома и ангиопластическая саркома, саркома сетчатки и нейробластома.
Причины
На сегодняшний день точные причины превращения нормальной ткани в опухоль желудка еще не известны. Однако в гастроэнтерологии выявлены основные предрасполагающие факторы и состояния, которые с наибольшей вероятностью могут привести к формированию онкопатологии.
Факторы, предрасполагающие к развитию злокачественных и доброкачественных новообразований, в основном одинаковы. К ним относятся хроническая инфекция Helicobacter pylori, атрофический гастрит, генетическая предрасположенность (наличие рака желудка у родственников, выявление гена IL-1), недоедание, курение и алкоголизм, проживание в зоне экологической катастрофы, иммуносупрессия. Наличие полипов желудка (аденоматозный), резекция части желудка, пернициозная анемия, болезнь Менетри также предрасполагают к злокачественному перерождению.
Факторы, предрасполагающие к развитию злокачественных и доброкачественных новообразований, в основном одинаковы. К ним относятся хроническая инфекция Helicobacter pylori, атрофический гастрит, генетическая предрасположенность (наличие рака желудка у родственников, выявление гена IL-1), недоедание, курение и алкоголизм, проживание в зоне экологической катастрофы, иммуносупрессия. Наличие полипов желудка (аденоматозный), резекция части желудка, пернициозная анемия, болезнь Менетри также предрасполагают к злокачественному перерождению.
Клиническая картина
Доброкачественные опухоли желудка чаще всего никак не появляются и обнаруживаются случайно при обследовании на другую патологию. Большие полипы могут проявляться ноющей болью в эпигастрии после еды; тошнота и рвота с прожилками крови; изжога и отрыжка; слабое место; головокружение (на фоне анемии, желудочного кровотечения); частая смена запоров и поносов. Симптомы лейомиомы появляются при некрозе опухоли и внутреннем кровотечении. В этой ситуации пациента беспокоят слабость, бледность, головокружение.
Признаки злокачественной опухоли желудка могут возникать как на фоне полного здоровья, так и сопровождать симптомы язвенной болезни, хронического гастрита. На ранних стадиях рака желудка пациент отмечает снижение аппетита, боли и чувство распирания в желудке после еды, прогрессирующее исхудание, извращение вкуса и отказ от некоторых продуктов из-за этого. На более поздних стадиях болезни развивается онкологическая интоксикация; наблюдается усиление болей в животе на фоне прорастания опухолью соседних органов; рвота пищей, съеденной накануне; мелена (стул с измененной кровью); увеличение регионарных лимфатических узлов.
Осложнения доброкачественного ракового процесса включают злокачественные новообразования; прорастание опухоли стенки желудка с перфорацией и развитием перитонита; перекрытие просвета желудка конгломератом опухоли с нарушением прохождения пищевого комка; изъязвление опухоли с распадом и кровотечением из опухолевого узла; миграция полипа на ножке в двенадцатиперстную кишку с повреждением и некрозом полипа.
Злокачественные опухоли желудка также осложняются сужением полости желудка, изъязвлением и кровотечением и перфорацией желудка. Кроме того, злокачественные опухоли характеризуются метастазами, быстрой потерей веса с развитием раковой кахексии.
Ассоциированные симптомы: Запор. Изжога. Изменение веса. Истощение. Мелена. Неприятный запах изо рта. Отрыжка. Отсутствие аппетита. Понос (диарея). Рвота. Рвота пищей. Тошнота.
Признаки злокачественной опухоли желудка могут возникать как на фоне полного здоровья, так и сопровождать симптомы язвенной болезни, хронического гастрита. На ранних стадиях рака желудка пациент отмечает снижение аппетита, боли и чувство распирания в желудке после еды, прогрессирующее исхудание, извращение вкуса и отказ от некоторых продуктов из-за этого. На более поздних стадиях болезни развивается онкологическая интоксикация; наблюдается усиление болей в животе на фоне прорастания опухолью соседних органов; рвота пищей, съеденной накануне; мелена (стул с измененной кровью); увеличение регионарных лимфатических узлов.
Осложнения доброкачественного ракового процесса включают злокачественные новообразования; прорастание опухоли стенки желудка с перфорацией и развитием перитонита; перекрытие просвета желудка конгломератом опухоли с нарушением прохождения пищевого комка; изъязвление опухоли с распадом и кровотечением из опухолевого узла; миграция полипа на ножке в двенадцатиперстную кишку с повреждением и некрозом полипа.
Злокачественные опухоли желудка также осложняются сужением полости желудка, изъязвлением и кровотечением и перфорацией желудка. Кроме того, злокачественные опухоли характеризуются метастазами, быстрой потерей веса с развитием раковой кахексии.
Ассоциированные симптомы: Запор. Изжога. Изменение веса. Истощение. Мелена. Неприятный запах изо рта. Отрыжка. Отсутствие аппетита. Понос (диарея). Рвота. Рвота пищей. Тошнота.
Диагностика
В предыдущие годы рентген был основным методом диагностики опухоли желудка, но сегодня эндоскопические исследования берут верх. Тем не менее нельзя отрицать информативность и широкие возможности рентгенографии - в некоторых клиниках она до сих пор остается основным методом диагностики.
Простой рентген органов брюшной полости дает возможность заподозрить опухоль из-за деформации контуров желудка, смещения соседних органов. Для более точной диагностики используются контрастные исследования (рентген желудка с двойным контрастом) - при таком исследовании выявляются различные дефекты наполнения, свидетельствующие о наличии опухоли, растущей в полости органа, либо дефекты слизистой оболочки, свидетельствующие о злокачественность и распад новообразования.
Необходима консультация эндоскописта для визуализации опухолевого процесса и назначения эзофагогастродуоденоскопии и эндоскопической биопсии. Проведение морфологического исследования дает возможность установить правильный диагноз и вовремя начать лечение в 95% случаев. Для уточнения распространенности конгломерата опухоли, степени поражения окружающих органов и наличия метастазов может быть проведено УЗИ, КТ и КТ органов брюшной полости. Клинические и биохимические анализы позволяют оценить общее состояние пациента, степень опухолевой интоксикации.
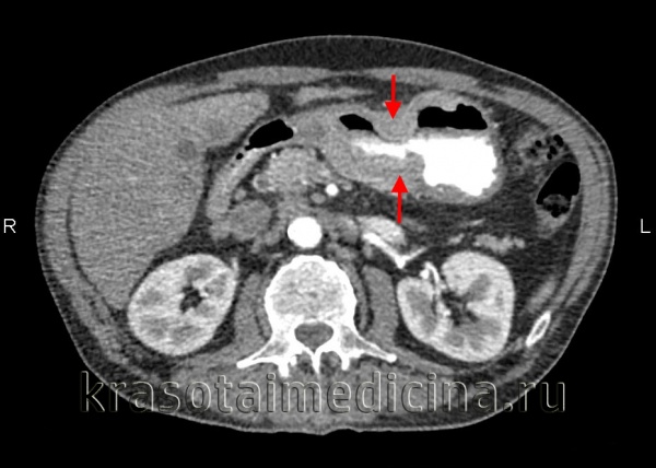
КТ органов брюшной полости. Злокачественная циркулярная опухоль стенки тела желудка.
Простой рентген органов брюшной полости дает возможность заподозрить опухоль из-за деформации контуров желудка, смещения соседних органов. Для более точной диагностики используются контрастные исследования (рентген желудка с двойным контрастом) - при таком исследовании выявляются различные дефекты наполнения, свидетельствующие о наличии опухоли, растущей в полости органа, либо дефекты слизистой оболочки, свидетельствующие о злокачественность и распад новообразования.
Необходима консультация эндоскописта для визуализации опухолевого процесса и назначения эзофагогастродуоденоскопии и эндоскопической биопсии. Проведение морфологического исследования дает возможность установить правильный диагноз и вовремя начать лечение в 95% случаев. Для уточнения распространенности конгломерата опухоли, степени поражения окружающих органов и наличия метастазов может быть проведено УЗИ, КТ и КТ органов брюшной полости. Клинические и биохимические анализы позволяют оценить общее состояние пациента, степень опухолевой интоксикации.
КТ органов брюшной полости. Злокачественная циркулярная опухоль стенки тела желудка.
|
|
Лечение
Тактика лечения доброкачественных и злокачественных опухолей желудка немного отличается. Доброкачественные опухоли желудка обычно удаляются хирургическим путем. В случае полипов желудка гастроэнтерологи могут подождать, но чаще решают удалить полипы желудка с помощью ЭГДС с одновременным интраоперационным гистологическим исследованием.
Выявление морфологических особенностей отдаленной доброкачественной опухоли позволяет принять решение только о резекции полипа или прилегающей слизистой оболочки. Если при эндоскопическом обследовании обнаруживается тотальный полипоз желудка, проводят резекцию желудка. После удаления доброкачественной опухоли назначается лечение ингибиторами протонной помпы, антихеликобактерными препаратами.
Лечение злокачественных опухолей желудка обычно комплексное и включает хирургическое вмешательство, лучевую терапию и полихимиотерапию. На сегодняшний день наиболее эффективным методом терапии считается операция. Объем операции зависит от многих факторов: типа и размера опухоли, частоты онкологического процесса, наличия и количества метастазов, поражения окружающих органов и общего состояния пациента.
В случае злокачественной опухоли может быть проведена радикальная операция или паллиативное вмешательство. Радикальная операция включает удаление опухоли, тотальную резекцию желудка, резекцию сети (оментэктомию) и окружающих органов и лимфатических узлов, вовлеченных в процесс. Паллиативные операции направлены на облегчение общего состояния и обеспечение пациента энтеральным питанием. В комплекс лечения злокачественных новообразований обычно входит лучевая терапия, химиотерапия для достижения наилучшего результата, предотвращения рецидива опухоли.
Выявление морфологических особенностей отдаленной доброкачественной опухоли позволяет принять решение только о резекции полипа или прилегающей слизистой оболочки. Если при эндоскопическом обследовании обнаруживается тотальный полипоз желудка, проводят резекцию желудка. После удаления доброкачественной опухоли назначается лечение ингибиторами протонной помпы, антихеликобактерными препаратами.
Лечение злокачественных опухолей желудка обычно комплексное и включает хирургическое вмешательство, лучевую терапию и полихимиотерапию. На сегодняшний день наиболее эффективным методом терапии считается операция. Объем операции зависит от многих факторов: типа и размера опухоли, частоты онкологического процесса, наличия и количества метастазов, поражения окружающих органов и общего состояния пациента.
В случае злокачественной опухоли может быть проведена радикальная операция или паллиативное вмешательство. Радикальная операция включает удаление опухоли, тотальную резекцию желудка, резекцию сети (оментэктомию) и окружающих органов и лимфатических узлов, вовлеченных в процесс. Паллиативные операции направлены на облегчение общего состояния и обеспечение пациента энтеральным питанием. В комплекс лечения злокачественных новообразований обычно входит лучевая терапия, химиотерапия для достижения наилучшего результата, предотвращения рецидива опухоли.
Прогноз
Прогноз при обнаружении доброкачественных новообразований благоприятный; однако, поскольку эти опухоли подвержены рецидивам, пациенты находятся под наблюдением в течение всей их жизни. Установление злокачественности опухоли значительно ухудшает прогноз. Шансы на выздоровление намного выше при своевременной диагностике и лечении злокачественной опухоли. При обнаружении метастазов, прорастания соседних органов прогноз для жизни значительно хуже.
Профилактика
Специфической профилактики опухолей желудка нет. Для предотвращения формирования онкологического процесса следует исключить провоцирующие факторы: наладить диету, отказаться от вредных привычек, своевременно выявить и лечить воспалительные заболевания желудка, регулярно проходить эндоскопическое обследование при наличии в семье предрасположенности к онкопатологии. По достижении 50 лет нужно ежегодно проходить обследование у гастроэнтеролога.
Связанные клинические рекомендации
Связанные стандарты мед. помощи
- Стандарт специализированной медицинской помощи при злокачественных новообразованиях желудка II-IV стадии (эндоскопическое лечение)
- Стандарт медицинской помощи взрослым при нейроэндокринных опухолях
- Стандарт медицинской помощи детям при меланоме кожи и слизистых оболочек (диагностика и лечение)
- Стандарт медицинской помощи взрослым при гастроинтестинальных стромальных опухолях
- Стандарт медицинской помощи больным со злокачественным новообразованием желудка
- Стандарт медицинской помощи взрослым при раке пищевода и кардии
- Стандарт специализированной медицинской помощи при злокачественных новообразованиях желудка 0-IA стадии (эндоскопическое лечение)
- Стандарт специализированной медицинской помощи при злокачественных новообразованиях желудка IA-IV стадии (хирургическое лечение)