Другие названия и синонимы
Porencephalic cyst.
МКБ-10 коды
|
|
Описание
Порэнцефальная киста. Это образование в головном мозге патологических полостей различной формы и размера, которые заполнены жидкостью. Заболевание возникает в первую очередь во внутриутробной фазе под влиянием генетических, тератогенных или гипоксических влияний, а во вторую - на фоне энцефалита, кровоизлияния в мозг. Порэнцефалия проявляется эпилептическими припадками, снижением двигательных функций и умственной отсталостью. Для диагностики заболевания необходимы МРТ, компьютерная томография, нейросонография и ЭЭГ. Лечение консервативное (противосудорожные препараты, дегидраторы, ноотропы) или хирургическое.
Дополнительные факты
Термин «порэнцефалия» впервые был использован в 1859 году для описания дефекта полушарий головного мозга у новорожденных. Истинная врожденная порэнцефалия более известна как шизэнцефалия. Серьезная степень патологии называется поликистозом головного мозга. Заболеваемость составляет примерно 2-3 случая на 100 000 населения, гендерных различий в заболеваемости нет. Постреакционные кистозные образования не теряют своего значения в детской неврологии, что связано с отсутствием эффективных методов лечения, риском необратимого неврологического дефицита.
Причины
Первичная (истинная) порэнцефальная киста формируется при внутриутробном развитии ребенка под влиянием генетических мутаций (COL4A1, EMX2), гипоксии плода, тератогенных факторов (химические токсины, нейроинфекции, некоторые лекарственные препараты) и обычно проявляется у новорожденных. Точные причины врожденного порока пока не выяснены. Этиологическая структура вторичной порэнцефалии изучена более подробно и включает следующие факторы:
• воспалительные процессы. Формирование порэнцефалии возможно у больных менингитом, энцефалитом, вентрикулитом, имеющим затяжное или хроническое течение. Патологические изменения вызваны разрастанием соединительной ткани, которая заполняет образовавшуюся полость спинномозговой жидкостью.
• кровоизлияние в мозг. Возможно образование порэнцефальных кист при рассасывании и организации крупных очагов, появившихся после ЧМТ, геморрагического инсульта. Это часто происходит у новорожденных, перенесших гипоксию или родовую травму головы.
• Оперативные вмешательства. К ятрогенным факторам развития кистозной полости относятся осложнения после пункции желудочков головного мозга, в том числе нарушение работы шунта, продолжающийся гипертонически-гидроцефальный синдром.
• воспалительные процессы. Формирование порэнцефалии возможно у больных менингитом, энцефалитом, вентрикулитом, имеющим затяжное или хроническое течение. Патологические изменения вызваны разрастанием соединительной ткани, которая заполняет образовавшуюся полость спинномозговой жидкостью.
• кровоизлияние в мозг. Возможно образование порэнцефальных кист при рассасывании и организации крупных очагов, появившихся после ЧМТ, геморрагического инсульта. Это часто происходит у новорожденных, перенесших гипоксию или родовую травму головы.
• Оперативные вмешательства. К ятрогенным факторам развития кистозной полости относятся осложнения после пункции желудочков головного мозга, в том числе нарушение работы шунта, продолжающийся гипертонически-гидроцефальный синдром.
Патогенез
Порэнцефалия возникает при внутриутробном развитии в результате нарушений морфогенеза тканей черепных нервов или при различных нарушениях мозгового кровотока. В патогенезе играют роль генетически обусловленные нарушения сосудистой структуры (при наличии патологических коллагеновых цепей) и тератогенные влияния. У новорожденных гипоксически-ишемическая энцефалопатия является важным звеном в механизме образования кистозных образований.
Размеры патологических полостей варьируются в широких пределах, в тяжелых случаях они занимают все полушарие. Изнутри новообразования имеют гладкую поверхность, покрытую эпендимальной оболочкой. Под микроскопом определяются участки гетеротопической коры головного мозга. Порэнцефальные кисты могут быть заполнены ликвором или кистозной жидкостью, которая имеет желтый цвет и содержит много белковых включений.
Среди ученых до сих пор ведутся споры относительно морфологических особенностей связи порэнцефальных кист с желудочковой системой мозга. Некоторые считают наличие такого сообщения необязательным условием для постановки диагноза, другие диагностируют порэнцефалию, если существует хотя бы один путь выброса (в желудочках или в субарахноидальном пространстве), в то время как другие убеждены в необходимости обоих типов. коммуникации.
Размеры патологических полостей варьируются в широких пределах, в тяжелых случаях они занимают все полушарие. Изнутри новообразования имеют гладкую поверхность, покрытую эпендимальной оболочкой. Под микроскопом определяются участки гетеротопической коры головного мозга. Порэнцефальные кисты могут быть заполнены ликвором или кистозной жидкостью, которая имеет желтый цвет и содержит много белковых включений.
Среди ученых до сих пор ведутся споры относительно морфологических особенностей связи порэнцефальных кист с желудочковой системой мозга. Некоторые считают наличие такого сообщения необязательным условием для постановки диагноза, другие диагностируют порэнцефалию, если существует хотя бы один путь выброса (в желудочках или в субарахноидальном пространстве), в то время как другие убеждены в необходимости обоих типов. коммуникации.
Клиническая картина
Клинические симптомы сильно различаются в зависимости от размера, количества и расположения новообразований. Большие кистозные полости проявляются в период новорожденности или на первом году жизни ребенка. Первыми признаками обычно являются различные типы приступов: генерализованные тонико-клонические, простые и сложные фокальные приступы, фокальные приступы с вторичной генерализацией.
Патологическая спастичность мышц выявляется уже в первые несколько месяцев жизни, из-за чего у новорожденного или малыша наблюдается скованность движений с пониженной амплитудой, развитие моторики отстает от возрастной нормы. Постепенно прогрессируют двигательные нарушения: развиваются параличи и параличи мышц, в процесс вовлекаются мышцы бульбарной группы, что выражается в нарушениях глотания, мурлыканья и произношения первых слов.
Неврологические признаки во многом определяются расположением порэнцефальной кисты. Часто поражается зрительный анализатор: снижается острота зрения, сужаются поля зрения, появляются фотопсии. Поражение височной доли головного мозга чревато ощущением шума в голове, вестибулярными нарушениями, затруднениями речевого развития. При поражении мозжечка жалобы дополняются тремором рук, нестабильностью осанки и походки.
По мере взросления ребенка когнитивный дефицит становится более выраженным. Пациенты с крупными порэнцефалическими кистами значительно отстают в речевом развитии, часто вообще не разговаривают или выражаются отдельными словами. Дети страдают различной степенью умственной отсталости и не могут учиться в обычных классах. Также нередки случаи психических расстройств, особенно расстройств аутистического спектра.
Ассоциированные симптомы: Нарушение походки. Слабость мышц (парез). Судороги. Судороги в ногах. Тонико-клонические судороги. Тремор. Тремор рук. Шаткая походка.
Патологическая спастичность мышц выявляется уже в первые несколько месяцев жизни, из-за чего у новорожденного или малыша наблюдается скованность движений с пониженной амплитудой, развитие моторики отстает от возрастной нормы. Постепенно прогрессируют двигательные нарушения: развиваются параличи и параличи мышц, в процесс вовлекаются мышцы бульбарной группы, что выражается в нарушениях глотания, мурлыканья и произношения первых слов.
Неврологические признаки во многом определяются расположением порэнцефальной кисты. Часто поражается зрительный анализатор: снижается острота зрения, сужаются поля зрения, появляются фотопсии. Поражение височной доли головного мозга чревато ощущением шума в голове, вестибулярными нарушениями, затруднениями речевого развития. При поражении мозжечка жалобы дополняются тремором рук, нестабильностью осанки и походки.
По мере взросления ребенка когнитивный дефицит становится более выраженным. Пациенты с крупными порэнцефалическими кистами значительно отстают в речевом развитии, часто вообще не разговаривают или выражаются отдельными словами. Дети страдают различной степенью умственной отсталости и не могут учиться в обычных классах. Также нередки случаи психических расстройств, особенно расстройств аутистического спектра.
Ассоциированные симптомы: Нарушение походки. Слабость мышц (парез). Судороги. Судороги в ногах. Тонико-клонические судороги. Тремор. Тремор рук. Шаткая походка.
Возможные осложнения
При больших полостях головного мозга у новорожденных в первые дни жизни возникают серьезные нарушения жизненно важных функций, которые заканчиваются летальным исходом в неонатальном периоде. Если ребенок спасен, у него глубокий неврологический дефицит, отсутствует психомоторное развитие, требуется медицинская помощь в реанимации. Такие пациенты умирают в раннем возрасте.
При образовании синехий в кистозной полости скапливается чрезмерное количество спинномозговой жидкости, что является предиктором развития гидроцефалии. В таких случаях у новорожденных наблюдается увеличение размеров головы и деформация головы, учащение припадков и нарушение сознания. Когда порэнцефалия сочетается с агенезом мозолистого тела, двигательные нарушения усугубляются и повышается риск лекарственно-устойчивой эпилепсии.
При образовании синехий в кистозной полости скапливается чрезмерное количество спинномозговой жидкости, что является предиктором развития гидроцефалии. В таких случаях у новорожденных наблюдается увеличение размеров головы и деформация головы, учащение припадков и нарушение сознания. Когда порэнцефалия сочетается с агенезом мозолистого тела, двигательные нарушения усугубляются и повышается риск лекарственно-устойчивой эпилепсии.
Диагностика
При диспансерном осмотре новорожденного у неонатолога, детей разного возраста - у педиатра, затем у детского невролога определяются различные очаговые признаки: односторонний гемипарез, бульбарный синдром, гипорефлексия, симптомы когнитивного дефицита. В обследовании участвует детский офтальмолог, который оценивает состояние глазного дна. Для подтверждения наличия порэнцефальных кист проводятся следующие диагностические исследования:
• Нейросонография. УЗИ головного мозга - информативный метод обследования новорожденных, с помощью которого визуализируются полости мозга, заполненные жидкостью, определяются их размер и расположение. По показаниям исследование дополняется УЗИ сосудов головного мозга.
• МРТ головного мозга. Наиболее точный метод диагностической верификации, который показывает все структурные изменения нервной ткани, используется для дифференциальной диагностики истинных кистозных полостей (покрытых диспластическим серым веществом коры) и вторичной порэнцефалии (внутренние образования покрыты белым веществом головного мозга). Допускается для обследования новорожденных и младенцев.
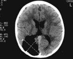
• Компьютерная томография головного мозга. Компьютерная томография проводится детям старшего возраста, взрослым. Новорожденным и детям раннего возраста проводится в исключительных случаях по назначению врача. По изображениям можно обнаружить полое объемное новообразование, не имеющее твердого компонента и не поглощающее рентгеноконтрастные вещества. Одна особенность - отсутствие масс-эффекта даже при большой порэнцефалической кисте.
• ЭЭГ. Всем пациентам с судорожным синдромом, в том числе новорожденным, рекомендуется электроэнцефалография для исследования электрической активности головного мозга. Его результаты выявляют области спонтанной эпилептиформной активности, обычно сопровождающейся вторичной двусторонней синхронизацией.
В современной неврологии истинная порэнцефалия в большинстве случаев диагностируется антенатально при рутинном ультразвуковом обследовании беременности. Информация о наличии аномалии необходима акушерам-гинекологам для рационального выбора тактики родоразрешения, планирования неотложной помощи новорожденным в первые часы жизни.
• Нейросонография. УЗИ головного мозга - информативный метод обследования новорожденных, с помощью которого визуализируются полости мозга, заполненные жидкостью, определяются их размер и расположение. По показаниям исследование дополняется УЗИ сосудов головного мозга.
• МРТ головного мозга. Наиболее точный метод диагностической верификации, который показывает все структурные изменения нервной ткани, используется для дифференциальной диагностики истинных кистозных полостей (покрытых диспластическим серым веществом коры) и вторичной порэнцефалии (внутренние образования покрыты белым веществом головного мозга). Допускается для обследования новорожденных и младенцев.
• Компьютерная томография головного мозга. Компьютерная томография проводится детям старшего возраста, взрослым. Новорожденным и детям раннего возраста проводится в исключительных случаях по назначению врача. По изображениям можно обнаружить полое объемное новообразование, не имеющее твердого компонента и не поглощающее рентгеноконтрастные вещества. Одна особенность - отсутствие масс-эффекта даже при большой порэнцефалической кисте.
• ЭЭГ. Всем пациентам с судорожным синдромом, в том числе новорожденным, рекомендуется электроэнцефалография для исследования электрической активности головного мозга. Его результаты выявляют области спонтанной эпилептиформной активности, обычно сопровождающейся вторичной двусторонней синхронизацией.
В современной неврологии истинная порэнцефалия в большинстве случаев диагностируется антенатально при рутинном ультразвуковом обследовании беременности. Информация о наличии аномалии необходима акушерам-гинекологам для рационального выбора тактики родоразрешения, планирования неотложной помощи новорожденным в первые часы жизни.
|
|
Лечение
Специального ухода за пациентами с порэнцефальными кистами не разработано, поэтому лечение ограничивается поддерживающей терапией. Пациенты находятся под амбулаторным наблюдением детского невролога, а программа обследования включает регулярную нейровизуализацию для контроля размера кисты. Индивидуальный план лечения порэнцефалгии, составленный с учетом клинических проявлений заболевания пациента, может включать:
• Противосудорожная терапия. Для купирования эпилептических припадков подбираются индивидуальные комбинации противосудорожных средств с разным типом действия. В связи с частыми случаями лекарственно-устойчивых приступов в постреакционных кистах требуется постоянный контроль их эффективности.
• Симптоматическое лечение. Для активации кровоснабжения и трофикы тканей головного мозга показаны нейрометаболические, ноотропные препараты, средства, улучшающие микроциркуляцию. При повышении внутричерепного давления применяют осмодиуретики, салуретики.
• Нейрохирургическое лечение. Если возможен оперативный доступ к кистозной полости, производится ее вскрытие, аспирация жидкого содержимого, иссечение сосудистого сплетения. При осложненном течении заболевания требуется вентрикулоперитонеальное или вентрикуло-предсердное шунтирование.
• Реабилитация. Для улучшения координации движений и силы мышц назначают кинезитерапию, механотерапию, массаж. Детям необходимы занятия у логопеда, дефектолога, нейропсихолога.
• Противосудорожная терапия. Для купирования эпилептических припадков подбираются индивидуальные комбинации противосудорожных средств с разным типом действия. В связи с частыми случаями лекарственно-устойчивых приступов в постреакционных кистах требуется постоянный контроль их эффективности.
• Симптоматическое лечение. Для активации кровоснабжения и трофикы тканей головного мозга показаны нейрометаболические, ноотропные препараты, средства, улучшающие микроциркуляцию. При повышении внутричерепного давления применяют осмодиуретики, салуретики.
• Нейрохирургическое лечение. Если возможен оперативный доступ к кистозной полости, производится ее вскрытие, аспирация жидкого содержимого, иссечение сосудистого сплетения. При осложненном течении заболевания требуется вентрикулоперитонеальное или вентрикуло-предсердное шунтирование.
• Реабилитация. Для улучшения координации движений и силы мышц назначают кинезитерапию, механотерапию, массаж. Детям необходимы занятия у логопеда, дефектолога, нейропсихолога.
Прогноз
При небольших порэнцефальных кистах прогноз благоприятный, если нет грубого неврологического дефицита. Крупные образования, занимающие значительную часть мозга, несовместимы с жизнью: наблюдается внутриутробная гибель плода или гибель новорожденного. Профилактика истинной порэнцефалии предполагает правильное ведение беременности и подготовку к родам, своевременное вторичное лечение воспалительных и сосудистых заболеваний центральной нервной системы.
Список литературы
1. МРТ-паттерны гипоксически-ишемического поражения головного мозга у доношенных новорожденных/ Т.В. Мелашенко, А.В. Поздняков, В.С. Львов, Д.О. Иванов// Педиатр. 2017. №6.
2. Порэнцефалия: случай из практики/ Х.Н. Максудова, Л.М. Шашкина, Д. Расулова// Вестник КазНМУ. 2015. №2.
3. Болезни детей раннего возраста/ под ред. И.М. Лысенко. 2014.
4. Клиническая детская неврология/ А.С. Петрухин. 2008.
2. Порэнцефалия: случай из практики/ Х.Н. Максудова, Л.М. Шашкина, Д. Расулова// Вестник КазНМУ. 2015. №2.
3. Болезни детей раннего возраста/ под ред. И.М. Лысенко. 2014.
4. Клиническая детская неврология/ А.С. Петрухин. 2008.