Другие названия и синонимы
Microgyria, Врожденный двусторонний перисильвиев синдром.
МКБ-10 коды
|
|
Описание
Микро винт. Это редкая форма корковой дисплазии, для которой характерно уменьшение размеров ганглиев полушарий головного мозга (CBP) по мере увеличения их общего количества. Заболевание возникает из-за моногенных аномалий, внутриутробных нейроинфекций и других врожденных структурных заболеваний центральной нервной системы. Микрогирия проявляется умственной отсталостью, судорогами и нарушением двигательных функций. В диагностических целях проводят МРТ головного мозга, ЭЭГ и психиатрическое обследование. Лечение включает противосудорожные препараты, нейропротекторы, реабилитацию с помощью логопедов, корректоров и кинезиотерапевтов.
Дополнительные факты
Микрогирия, имеющая второе название «Врожденный перисильвиевый двусторонний синдром», встречается крайне редко, поэтому в современной неврологии недостаточно наблюдений для выявления эпидемиологических особенностей заболевания. Патология имеет множество клинических симптомов, определяемых тяжестью, локализацией поражения, и в результате может долгое время не диагностироваться. Микрогирия часто связана с пахигирией - уплощением корковых ганглиев полушарий головного мозга.
Причины
Большинство случаев патологии являются врожденными: они образуются при внутриутробном развитии плода под воздействием неблагоприятных факторов. Хотя точная этиологическая структура заболевания на сегодняшний день не выяснена, ученые выделяют несколько групп предрасполагающих факторов:
• Генетические аномалии. Наиболее изученный дефект гена SRPX2, отвечающего за формирование речевой функции, способствует образованию новых нейронных связей. Заболевание может быть вызвано мутациями PAX6, TBR2.KIAA1279, RAB3GAP1, сOL18A1, делецией длинного плеча 22-й хромосомы.
• Врожденные нейроинфекции. Цитомегаловирус остается основным фактором риска внутриутробных инфекций. Наиболее тяжелые случаи наблюдаются при первичном заражении матери во время беременности, из-за чего она не успевает выработать антитела, и вирус быстро атакует нервную систему плода.
• Порэнцефалия. Вокруг порэнцефальных кист могут образовываться ишемические зоны нервной ткани, что приводит к частичному сморщиванию, уплощению корковых извилин. Вероятность микрогирии увеличивается при больших полостях.
• Генетические аномалии. Наиболее изученный дефект гена SRPX2, отвечающего за формирование речевой функции, способствует образованию новых нейронных связей. Заболевание может быть вызвано мутациями PAX6, TBR2.KIAA1279, RAB3GAP1, сOL18A1, делецией длинного плеча 22-й хромосомы.
• Врожденные нейроинфекции. Цитомегаловирус остается основным фактором риска внутриутробных инфекций. Наиболее тяжелые случаи наблюдаются при первичном заражении матери во время беременности, из-за чего она не успевает выработать антитела, и вирус быстро атакует нервную систему плода.
• Порэнцефалия. Вокруг порэнцефальных кист могут образовываться ишемические зоны нервной ткани, что приводит к частичному сморщиванию, уплощению корковых извилин. Вероятность микрогирии увеличивается при больших полостях.
Патогенез
Мозг - это складки серого вещества на поверхности полушарий головного мозга, расположенные между бороздками (бороздками). Они увеличивают объем нервной ткани в черепе, при этом череп относительно невелик. Обычно дифференциация слоев коры головного мозга начинается на 6-м месяце внутриутробного развития, а к 8-9-му месяцу активно формируются вторичные, третичные ганглии.
Появление врожденного микроповорота часто связано с аномальной миграцией нейронов, в результате которой нарушается нормальная архитектура нервной ткани и изменяются размер, структура и последовательность ганглиев. При вторичной форме заболевания важную роль играют сосудистые нарушения, приводящие к смещению нервной ткани и сглаживанию рельефа отдельных участков ПКС.
При микрогирии возможны разные варианты структурных поражений коры с гетеротопией серого вещества, сочетающиеся с аномалиями других зон головного мозга: гипоплазией или аплазией мозолистого тела, прозрачной перегородки, аномалиями мозжечка, ствола мозга. Наиболее частая локализация микрогирических изменений - это область вокруг сильвиевой борозды, которая отделяет височную долю коры от лобной и теменной зон.
Появление врожденного микроповорота часто связано с аномальной миграцией нейронов, в результате которой нарушается нормальная архитектура нервной ткани и изменяются размер, структура и последовательность ганглиев. При вторичной форме заболевания важную роль играют сосудистые нарушения, приводящие к смещению нервной ткани и сглаживанию рельефа отдельных участков ПКС.
При микрогирии возможны разные варианты структурных поражений коры с гетеротопией серого вещества, сочетающиеся с аномалиями других зон головного мозга: гипоплазией или аплазией мозолистого тела, прозрачной перегородки, аномалиями мозжечка, ствола мозга. Наиболее частая локализация микрогирических изменений - это область вокруг сильвиевой борозды, которая отделяет височную долю коры от лобной и теменной зон.
Клиническая картина
Признаки заболевания чаще появляются у детей, но могут появиться в любом возрасте. Классическим проявлением патологии считаются судороги, протекающие как генерализованные пароксизмы с потерей сознания, судороги всего тела или частичные эпизоды, которые длятся несколько секунд и вначале остаются незамеченными. Судороги связаны с провоцирующими факторами.
Второй типичный симптом корковой дисплазии - двигательные нарушения, которые определяются размером и расположением пораженного участка. Наиболее часто встречается центральная спастическая гемиплегия - паралич одной половины тела на стороне, противоположной патологическому очагу, или диплегия - двустороннее поражение с преимущественным снижением двигательной функции нижних конечностей.
Третий характерный симптом микрогирии - умственная отсталость, которая в большинстве случаев наблюдается в раннем детстве. Родители замечают, что ребенок начинает поздно сидеть и ходить, в 2-3 года он не может говорить, неправильно понимает обращенную к нему речь, не интересуется развивающими играми. По мере прогрессирования заболевания возрастает эмоциональная нестабильность, изоляция и поведение в детстве.
Ассоциированные симптомы: Гемипарез. Клонические судороги. Нарушение понимания речи. Отсутствие речи. Парапарез. Слабость мышц (парез). Судороги. Судороги в ногах.
Второй типичный симптом корковой дисплазии - двигательные нарушения, которые определяются размером и расположением пораженного участка. Наиболее часто встречается центральная спастическая гемиплегия - паралич одной половины тела на стороне, противоположной патологическому очагу, или диплегия - двустороннее поражение с преимущественным снижением двигательной функции нижних конечностей.
Третий характерный симптом микрогирии - умственная отсталость, которая в большинстве случаев наблюдается в раннем детстве. Родители замечают, что ребенок начинает поздно сидеть и ходить, в 2-3 года он не может говорить, неправильно понимает обращенную к нему речь, не интересуется развивающими играми. По мере прогрессирования заболевания возрастает эмоциональная нестабильность, изоляция и поведение в детстве.
Ассоциированные симптомы: Гемипарез. Клонические судороги. Нарушение понимания речи. Отсутствие речи. Парапарез. Слабость мышц (парез). Судороги. Судороги в ногах.
Возможные осложнения
Осложненный вариант микрогирии выявляется при сочетании заболевания с другими видами корковой дисплазии, особенно агирией - полным отсутствием извилин в той или иной области ПКС, шизэнцефалией или пореэнцефалией, очаговой трансмантной дисплазией. В этом случае с рождения выражается глубокий неврологический дефицит, необратимая задержка психомоторного развития.
Умеренная или тяжелая умственная отсталость приводит к серьезным нарушениям в обучении и социализации пациентов, лишает возможности жить самостоятельно и распоряжаться материальными благами. Больные получают инвалидность, им нужна помощь родственников и грамотная медицинская помощь, особенно в случае тяжелой умственной отсталости, которая проявляется полной нетрудоспособностью.
Умеренная или тяжелая умственная отсталость приводит к серьезным нарушениям в обучении и социализации пациентов, лишает возможности жить самостоятельно и распоряжаться материальными благами. Больные получают инвалидность, им нужна помощь родственников и грамотная медицинская помощь, особенно в случае тяжелой умственной отсталости, которая проявляется полной нетрудоспособностью.
Диагностика
Обследование пациентов с подозрением на микрогирию является обязанностью невролога, и, как указано, психиатр и нейрохирург участвуют в диагностике. Первичная консультация начинается с выяснения жалоб, оценки времени и характера появления симптомов, выявления особенностей внутриутробного течения, раннего периода новорожденности. Для постановки диагноза используются следующие методы обследования:
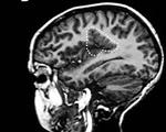
• МРТ головного мозга. Нейровизуализация - основной способ подтвердить диагноз микрогирии. По результатам МРТ определяется уменьшение размеров корковых извилин в области сильвиевой борозды или других участках головного мозга, также могут быть трещины или кисты вещества головного мозга, участки нарушения кровотока, участки некроза или ишемии.
• Электроэнцефалография. ЭЭГ проводится при наличии припадков на фоне микрогирии для выявления очагов эпилептической активности, выявления типичных сигналов в виде комплексов «медленная-медленная волна», высокоамплитудных резких волн.
• Психиатрическое консультирование. Чтобы диагностировать наличие и тяжесть умственной отсталости, необходимо обследование у психиатра для сбора жалоб и анамнеза, оценки результатов инструментальных изображений, а также проведения тестов и экспериментального психологического исследования.
• МРТ головного мозга. Нейровизуализация - основной способ подтвердить диагноз микрогирии. По результатам МРТ определяется уменьшение размеров корковых извилин в области сильвиевой борозды или других участках головного мозга, также могут быть трещины или кисты вещества головного мозга, участки нарушения кровотока, участки некроза или ишемии.
• Электроэнцефалография. ЭЭГ проводится при наличии припадков на фоне микрогирии для выявления очагов эпилептической активности, выявления типичных сигналов в виде комплексов «медленная-медленная волна», высокоамплитудных резких волн.
• Психиатрическое консультирование. Чтобы диагностировать наличие и тяжесть умственной отсталости, необходимо обследование у психиатра для сбора жалоб и анамнеза, оценки результатов инструментальных изображений, а также проведения тестов и экспериментального психологического исследования.
Лечение
Корковые аномалии не поддаются этиопатогенетическому лечению, поэтому пациентам доступна только симптоматическая поддерживающая терапия. Для устранения эпилептических припадков у больных микрогирией назначается индивидуальный курс противосудорожных препаратов и проводится коррекция поведения с помощью транквилизаторов, нейролептиков. Для стимуляции когнитивного развития используются нейропротекторные, нейрометаболические препараты.
Наличие выраженных когнитивных нарушений требует комплексных реабилитационных мероприятий для максимально возможной адаптации таких пациентов. В лечении принимают участие кинезиотерапевты, клинические психологи и педагоги-корректоры. Программа терапии может включать следующие направления:
• Нейрокоррекция. Работа с дефектологом по индивидуальной схеме, основанной на нейропсихологических характеристиках пациента, с учетом «ресурсных» аспектов его психики. Обеспечивает развитие моторики, зрительно-моторной координации, тренировку функций концентрации внимания, мышления, памяти.
• Специальная программа обучения. Больные с легкой степенью умственной отсталости в одних случаях обучаются в общеобразовательных учреждениях, остальным требуются занятия в инклюзивных классах, в основе которых лежит конкретно-наглядное обучение, овладение элементарными рабочими навыками.
• Психологическая помощь. У пациентов с задержкой умственного развития нестабильная психика, которая усугубляется проблемами с социальной адаптацией, трудностями в общении с окружающими. Для решения этих проблем привлекаются нейропсихологи.
Наличие выраженных когнитивных нарушений требует комплексных реабилитационных мероприятий для максимально возможной адаптации таких пациентов. В лечении принимают участие кинезиотерапевты, клинические психологи и педагоги-корректоры. Программа терапии может включать следующие направления:
• Нейрокоррекция. Работа с дефектологом по индивидуальной схеме, основанной на нейропсихологических характеристиках пациента, с учетом «ресурсных» аспектов его психики. Обеспечивает развитие моторики, зрительно-моторной координации, тренировку функций концентрации внимания, мышления, памяти.
• Специальная программа обучения. Больные с легкой степенью умственной отсталости в одних случаях обучаются в общеобразовательных учреждениях, остальным требуются занятия в инклюзивных классах, в основе которых лежит конкретно-наглядное обучение, овладение элементарными рабочими навыками.
• Психологическая помощь. У пациентов с задержкой умственного развития нестабильная психика, которая усугубляется проблемами с социальной адаптацией, трудностями в общении с окружающими. Для решения этих проблем привлекаются нейропсихологи.
|
|
Прогноз
Прогноз у пациентов с микрогирией определяется тяжестью неврологического дефицита, наличием сопутствующих аномалий ЦНС, своевременностью и полнотой оказания медицинской помощи. Из-за органического характера патологии полностью устранить симптомы невозможно, однако медикаментозное лечение в сочетании с реабилитационными программами значительно улучшает качество жизни пациентов.
Возможности предотвращения микрогирии ограничены из-за неясного этиопатогенеза заболевания. Основной метод - профилактика цитомегаловирусной инфекции у беременных. Для снижения риска других врожденных аномалий, связанных с микрогирией, требуется рациональное ведение беременности и родов и исключение тератогенных эффектов.
Возможности предотвращения микрогирии ограничены из-за неясного этиопатогенеза заболевания. Основной метод - профилактика цитомегаловирусной инфекции у беременных. Для снижения риска других врожденных аномалий, связанных с микрогирией, требуется рациональное ведение беременности и родов и исключение тератогенных эффектов.
Список литературы
1. Кортикальные дисплазии и эпилепсия/ О.В. Кистень, В.В. Евстигнеев, Н.Н. Мисюк, А.И. Антоненко. 2015.
2. Аномалии развития нервной системы/ А.Н. Лукиных, Т.Ю. Дегтяревская// Материалы XXIV студенческой международной заочной научно-практической конференции. 2015.
3. Федеральные клинические рекомендации по диагностике и лечению умственной отсталости у взрослых. 2013.
4. Нейрорадиологическая модель различных вариантов нарушения нейронной миграции/ А.А. Алиханов// Журнал неврологии и психиатрии. 2004. №10.
2. Аномалии развития нервной системы/ А.Н. Лукиных, Т.Ю. Дегтяревская// Материалы XXIV студенческой международной заочной научно-практической конференции. 2015.
3. Федеральные клинические рекомендации по диагностике и лечению умственной отсталости у взрослых. 2013.
4. Нейрорадиологическая модель различных вариантов нарушения нейронной миграции/ А.А. Алиханов// Журнал неврологии и психиатрии. 2004. №10.