Другие названия и синонимы
Vapers' disease, EVALI.
Описание
Болезнь вейпинга. Это острое ингаляционное поражение легочной ткани, возникающее в результате употребления электронных сигарет - вейпов. Симптомы респираторной патологии включают одышку, кашель, лихорадку и озноб, боль в груди, учащенное сердцебиение. Также отмечают диарею, рвоту, похудание, головные боли. Поражение легких, связанное с вейпингом, диагностируется на основании анамнестических данных, рентгенографии и КТ легких, биопсии, анализа мочи на токсические вещества, бронхоальвеолярного лаважа. Лечение основано на кортикостероидах. Пациентам требуется кислородная поддержка, иногда искусственная вентиляция легких и ЭКМО.
|
|
Дополнительные факты
Термин EVALI (электронная сигарета или повреждение легких, связанное с использованием продуктов для вейпинга) был придуман в 2019 году, когда в США произошла вспышка повреждения легких, связанная с использованием электронных устройств для подачи табака и продуктов для вейпинга. Буквально за 6 месяцев диагностировано около 2,8 тысяч случаев заболевания вейперами и более 60 летальных исходов от этой патологии. Самый высокий процент заболевших наблюдается среди мужчин (66%) до 35 лет (80%). Наиболее уязвимой возрастной группой являются подростки до 18 лет: их доля в структуре заболеваемости составляет 15%. В 2021 году российские медики сделали первое сообщение о болезни вейпинга у 17-летнего мальчика.
Причины
Этиология болезни вейпинга связана с вдыханием аэрозолей, образующихся при нагревании жидкости для электронных сигарет. При этом до сих пор точно не установлено, какое вещество в составе жидкостей для электронных сигарет повреждает бронхиолы и альвеолы. Известно, что большинство пациентов с EVALI использовали препараты, содержащие тетрагидроканнабинол и каннабидиол, для курения.
Также в смесях обнаружен альфа-токоферола ацетат, который используется производителями в качестве вспомогательного компонента. Не исключено, что к повреждению альвеолярной ткани могут быть причастны вкусовые и ароматические добавки, масла, никотин.
Взаимодействие между веществами, присутствующими в аэрозольных смесях, мало изучено. Не исключено, что в процессе их нагревания происходят химические реакции с выделением токсических продуктов, вызывающих поражение легочной ткани. Нет данных об инфекционной этиологии EVALI. Среди наиболее значимых факторов риска были выделены бронхиальная астма (ее наличие подтверждено у 22% больных с EVALI), а также зависимость от психоактивных веществ.
Также в смесях обнаружен альфа-токоферола ацетат, который используется производителями в качестве вспомогательного компонента. Не исключено, что к повреждению альвеолярной ткани могут быть причастны вкусовые и ароматические добавки, масла, никотин.
Взаимодействие между веществами, присутствующими в аэрозольных смесях, мало изучено. Не исключено, что в процессе их нагревания происходят химические реакции с выделением токсических продуктов, вызывающих поражение легочной ткани. Нет данных об инфекционной этиологии EVALI. Среди наиболее значимых факторов риска были выделены бронхиальная астма (ее наличие подтверждено у 22% больных с EVALI), а также зависимость от психоактивных веществ.
Патогенез
Механизмы развития EVALI плохо изучены. По-видимому, заболевание представляет собой форму острого поражения легких с признаками фибринозной пневмонии, диффузного альвеолярного поражения, интерстициальной пневмонии с бронхиолитом. Поражение легких может быть представлено разнообразными патологическими процессами. Различные сообщения о вейпинге описывают острую эозинофильную пневмонию, диффузное альвеолярное кровотечение, липоидную пневмонию, облитерирующий бронхиолит с организующейся пневмонией ;
Известно, что жидкости для электронных сигарет содержат как минимум семь групп потенциально токсичных соединений: никотин, карбонильные комплексы, летучие органические соединения (такие как бензол и толуол), частицы металлов, алкандиолы, бактериальные эндотоксины и грибковые бета-глюканы. Эти компоненты могут быть термически расщеплены (пиролизированы) металлическими нагревательными элементами электронных сигарет с образованием аэрозолей с различными токсикологическими профилями.
Было показано, что некоторые ароматизирующие агенты, такие как диацетил и 2,3-пентандиол, нарушают пути экспрессии генов, связанных с ресничками, и функцию цитоскелета в нормальных клетках бронхиального эпителия человека. Патофизиологический каскад включает воспаление и отек бронхиол и альвеол, которые, вероятно, развиваются при участии иммунных механизмов. Массивное поражение легочной ткани приводит к гипоксемии. Гистологическими признаками EVALI являются наличие насыщенных липидами легочных альвеолярных макрофагов и вакуолизированных пневмоцитов в биопсии.
Болезнь вейпера.
Известно, что жидкости для электронных сигарет содержат как минимум семь групп потенциально токсичных соединений: никотин, карбонильные комплексы, летучие органические соединения (такие как бензол и толуол), частицы металлов, алкандиолы, бактериальные эндотоксины и грибковые бета-глюканы. Эти компоненты могут быть термически расщеплены (пиролизированы) металлическими нагревательными элементами электронных сигарет с образованием аэрозолей с различными токсикологическими профилями.
Было показано, что некоторые ароматизирующие агенты, такие как диацетил и 2,3-пентандиол, нарушают пути экспрессии генов, связанных с ресничками, и функцию цитоскелета в нормальных клетках бронхиального эпителия человека. Патофизиологический каскад включает воспаление и отек бронхиол и альвеол, которые, вероятно, развиваются при участии иммунных механизмов. Массивное поражение легочной ткани приводит к гипоксемии. Гистологическими признаками EVALI являются наличие насыщенных липидами легочных альвеолярных макрофагов и вакуолизированных пневмоцитов в биопсии.
Болезнь вейпера.
Клиническая картина
В зависимости от типа химического вещества и количества вдыхаемого аэрозоля пациенты с EVALI могут испытывать симптомы, варьирующиеся от легкого дискомфорта в дыхательных путях до острого респираторного дистресс-синдрома (ОРДС). Начало обычно подострое с прогрессирующим ухудшением в течение нескольких дней.
В начальном периоде преобладают желудочно-кишечные расстройства: тошнота со рвотой или без нее, боли в животе, диарея. В дальнейшем больные дополнительно отмечают одышку (87%), кашель (83%), боль в груди (55%), кровохарканье (11%). Во всех случаях наблюдаются общие неспецифические симптомы, в том числе лихорадка с ознобом, похудание, недомогание. Наблюдаются головные боли, сердцебиение и учащенное дыхание.
В начальном периоде преобладают желудочно-кишечные расстройства: тошнота со рвотой или без нее, боли в животе, диарея. В дальнейшем больные дополнительно отмечают одышку (87%), кашель (83%), боль в груди (55%), кровохарканье (11%). Во всех случаях наблюдаются общие неспецифические симптомы, в том числе лихорадка с ознобом, похудание, недомогание. Наблюдаются головные боли, сердцебиение и учащенное дыхание.
Возможные осложнения
Более половины больных страдают гипоксемией различной степени тяжести. При оценке насыщения треть вейперов, использующих EVALI, имеют насыщение крови кислородом от 89% до 94%, такой же показатель - ≤88%. Возможно вторичное присоединение к бактериальной или грибковой инфекции, ухудшающее прогноз.
Респираторные расстройства постепенно прогрессируют до дыхательной недостаточности, требующей дополнительной кислородной поддержки. Возможна смерть от ОРДС. Более высокая смертность наблюдается у лиц старше 50 лет с сопутствующей астмой, сердечной недостаточностью, психическими расстройствами и ожирением.
Респираторные расстройства постепенно прогрессируют до дыхательной недостаточности, требующей дополнительной кислородной поддержки. Возможна смерть от ОРДС. Более высокая смертность наблюдается у лиц старше 50 лет с сопутствующей астмой, сердечной недостаточностью, психическими расстройствами и ожирением.
Диагностика
Диагностический процесс усложняется тем, что симптомы ЭВАЛ неспецифичны и напоминают легочную инфекцию. Примерно у трети обратившихся за помощью первоначально диагностируют пневмонию, которая лечится неэффективным лечением антибиотиками. Однако при целенаправленном изучении анамнеза выясняется, что все больные употребляли паровые изделия в течение последних трех месяцев. Для правильной интерпретации диагноза проводят:
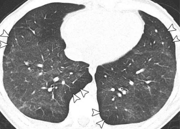
• Рентгенодиагностика. В 90% случаев на рентгенограммах легких видны двусторонние инфильтраты. КТ грудной клетки показывает двусторонние патологические изменения в легочной ткани по типу матового стекла, преимущественно в нижних долях. Кроме того, могут определяться плеврит, пневмоторакс и пневмомедиастинум. Однако эти признаки неспецифичны и проявляются при различных заболеваниях.
• Бронхоскопия. Для уточнения диагностической гипотезы может потребоваться бронхоскопия с забором альвеолярной жидкости и трансбронхиальная биопсия легкого. В большинстве образцов бронхоальвеолярного лаважа обнаружены тетрагидроканнабинол (ТГК) и/или ацетат витамина Е, макрофаги, богатые липидами. Инфекционные возбудители обычно отсутствуют.
• Лабораторные тесты. В крови имеются следующие изменения: лейкоцитоз, нейтрофилез, ускорение СОЭ. Биохимические изменения включают повышение СРБ, прокальцитонина, печеночных трансаминаз, гипонатриемию и гипокалиемию. Проводят мониторинг газов крови и кислотно-щелочного баланса. Анализ мочи на каннабиноиды часто выявляет метаболиты TCH.
Компьютерная томография грудной клетки. Двусторонняя непрозрачность в виде матового стекла.
• Рентгенодиагностика. В 90% случаев на рентгенограммах легких видны двусторонние инфильтраты. КТ грудной клетки показывает двусторонние патологические изменения в легочной ткани по типу матового стекла, преимущественно в нижних долях. Кроме того, могут определяться плеврит, пневмоторакс и пневмомедиастинум. Однако эти признаки неспецифичны и проявляются при различных заболеваниях.
• Бронхоскопия. Для уточнения диагностической гипотезы может потребоваться бронхоскопия с забором альвеолярной жидкости и трансбронхиальная биопсия легкого. В большинстве образцов бронхоальвеолярного лаважа обнаружены тетрагидроканнабинол (ТГК) и/или ацетат витамина Е, макрофаги, богатые липидами. Инфекционные возбудители обычно отсутствуют.
• Лабораторные тесты. В крови имеются следующие изменения: лейкоцитоз, нейтрофилез, ускорение СОЭ. Биохимические изменения включают повышение СРБ, прокальцитонина, печеночных трансаминаз, гипонатриемию и гипокалиемию. Проводят мониторинг газов крови и кислотно-щелочного баланса. Анализ мочи на каннабиноиды часто выявляет метаболиты TCH.
Компьютерная томография грудной клетки. Двусторонняя непрозрачность в виде матового стекла.
Диф. диагностика
EVALI - диагноз исключения, который ставится при отсутствии данных за заболевания другой этиологии у больных со сходными клинико-рентгенологическими проявлениями:
• ОРВИ (грипп, аденовирусная инфекция, парагрипп);
• внебольничная пневмония (бактериальная, микоплазменная, легионеллезная);
• оппортунистические инфекции, связанные с ВИЧ;
• эозинофильная пневмония;
• липоидная пневмония;
• криптогенная организующая пневмония;
• аспирационная пневмония;
• повреждение легких, вызванное сOVID-19;
• экзогенный аллергический альвеолит (гиперчувствительный пневмонит).
• ОРВИ (грипп, аденовирусная инфекция, парагрипп);
• внебольничная пневмония (бактериальная, микоплазменная, легионеллезная);
• оппортунистические инфекции, связанные с ВИЧ;
• эозинофильная пневмония;
• липоидная пневмония;
• криптогенная организующая пневмония;
• аспирационная пневмония;
• повреждение легких, вызванное сOVID-19;
• экзогенный аллергический альвеолит (гиперчувствительный пневмонит).
|
|
Лечение
Приблизительно 95% жертв EVALI нуждаются в госпитализации в отделение пульмонологии или интенсивной терапии. Общепринятых медицинских стандартов лечения вейпинга не существует. До уточнения нозологического диагноза обычно назначают эмпирическую антибактериальную терапию. В качестве основной линии патогенетического лечения используют системные глюкокортикостероиды - на их фоне клиническое улучшение отмечается в течение 1-3 дней.
Двум третям пациентов требуется респираторная помощь. При легкой степени гипоксемии кислород подается через назальную канюлю или лицевую маску. В случае прогрессирующей дыхательной недостаточности необходима искусственная вентиляция легких (ИВЛ) и, в особо тяжелых случаях, экстракорпоральная оксигенация (ЭКМО).
Двум третям пациентов требуется респираторная помощь. При легкой степени гипоксемии кислород подается через назальную канюлю или лицевую маску. В случае прогрессирующей дыхательной недостаточности необходима искусственная вентиляция легких (ИВЛ) и, в особо тяжелых случаях, экстракорпоральная оксигенация (ЭКМО).
Прогноз
Исход болезни вейперов зависит от многих факторов: тяжести и степени поражения легких, возраста, наличия сопутствующих патологий, времени обращения за медицинской помощью. По имеющимся в литературе данным, некоторым пациентам требуется повторная госпитализация в ближайшие дни после выписки, а также сообщалось о нескольких летальных исходах после окончания лечения.
Лица, находящиеся на амбулаторном наблюдении, нуждаются в приеме пероральных глюкокортикоидов в течение нескольких недель после выписки под наблюдением пульмонолога или терапевта. Долгосрочные последствия болезни вейперов на сегодняшний день не изучены. Пока не выяснены точные механизмы EVALI, желательно полностью отказаться от вейпинга, ни в коем случае не покупать жидкости у нелегальных ритейлеров.
Лица, находящиеся на амбулаторном наблюдении, нуждаются в приеме пероральных глюкокортикоидов в течение нескольких недель после выписки под наблюдением пульмонолога или терапевта. Долгосрочные последствия болезни вейперов на сегодняшний день не изучены. Пока не выяснены точные механизмы EVALI, желательно полностью отказаться от вейпинга, ни в коем случае не покупать жидкости у нелегальных ритейлеров.
Список литературы
1. E-cigarette or vaping product use associated lung injury (EVALI)/ H. Hollingsworth// UpToDate. Jun 2021.
2. E-cigarette, or vaping, product use associated lung injury (EVALI): case series and diagnostic approach/ Kalininskiy A., вach с.T., Nacca N.E., Ginsberg G., Marraffa J., Navarette K.A., McGraw M.D., сroft D.P. Lancet Respir Med. 2019 Dec; 7(12).
3. Lung Injury Associated with E-Cigarette or Vaping Product Use/ Griffiths A., Rauzi A., Stadheim K., Wheeler W. Pediatr Ann. 2020 Feb; 49(2).
4. Pulmonary Illness Related to E-Cigarette Use in Illinois and Wisconsin - Final Report/ Jennifer E. Layden, M.D. NEJM. March 5, 2020.
2. E-cigarette, or vaping, product use associated lung injury (EVALI): case series and diagnostic approach/ Kalininskiy A., вach с.T., Nacca N.E., Ginsberg G., Marraffa J., Navarette K.A., McGraw M.D., сroft D.P. Lancet Respir Med. 2019 Dec; 7(12).
3. Lung Injury Associated with E-Cigarette or Vaping Product Use/ Griffiths A., Rauzi A., Stadheim K., Wheeler W. Pediatr Ann. 2020 Feb; 49(2).
4. Pulmonary Illness Related to E-Cigarette Use in Illinois and Wisconsin - Final Report/ Jennifer E. Layden, M.D. NEJM. March 5, 2020.