Другие названия и синонимы
Ovarian abscess, Овариальный абсцесс.
МКБ-10 коды
|
|
Описание
Пиовар развивается при проникновении патогенов в овариальную ткань интраканаликулярным, лимфогенным или гематогенным путем. Острое воспаление стромы коркового слоя яичника приводит к локальному расстройству кровообращения, отеку, очаговой или диффузной воспалительной инфильтрации с последующим формированием абсцессов яичника. Слияние гнойных полостей способствует расплавлению овариальной ткани и превращению яичника в заполненное гноем мешотчатое образование - пиовар. Локализация пиовара обычно односторонняя.
Возбудителями гнойных процессов в яичниках служат аэробы (энтерококк, стафилококк, e. сoli, стрептококки, гонококки), анаэробы (пептококки, бактероиды, пептострептококки), грамотрицательные микроорганизмы (протей, клебсиелла) и их ассоциации. Пиовар может сращиваться со стенками таза, трубой, маткой, сальником, мочевым пузырем и петлями кишечника. В редких случаях возможен прорыв пиовара в свободную брюшную полость и соседние полые органы (прямую кишку, мочевой пузырь, влагалище), образование тазовых абсцессов, развитие параметрита, пельвиоперитонита, разлитого перитонита.
Возбудителями гнойных процессов в яичниках служат аэробы (энтерококк, стафилококк, e. сoli, стрептококки, гонококки), анаэробы (пептококки, бактероиды, пептострептококки), грамотрицательные микроорганизмы (протей, клебсиелла) и их ассоциации. Пиовар может сращиваться со стенками таза, трубой, маткой, сальником, мочевым пузырем и петлями кишечника. В редких случаях возможен прорыв пиовара в свободную брюшную полость и соседние полые органы (прямую кишку, мочевой пузырь, влагалище), образование тазовых абсцессов, развитие параметрита, пельвиоперитонита, разлитого перитонита.
Причины
В патогенезе пиовара преобладает интраканаликулярный (восходящий) путь инфицирования из генитальных и экстрагенитальных очагов; реже инфекция распространяется гематогенно или лимфогенно. Пиовар обычно является осложнением воспалительных заболеваний - цервицита, эндометрита, сальпингита, сальпингоофорита, оофорита.
Нередко образованию пиовара предшествует проведение различных гинекологических операций: влагалищной гистерэктомии, резекции яичника, выскабливания полости матки, искусственного прерывания беременности (особенно криминальных абортов), кесарева сечения, перевязки маточных труб, сальпингэктомии, трансвагинальной пункции фолликулов яичников при ЭКО и Кроме того, наличие ВМС повышает риск развития пиовара и пиосальпинкса в 4 раза. В ряде случаев пиовар развивается вследствие разрыва кисты желтого тела или фолликулярной кисты.
Преморбидным фоном для развития пиовара могут служить состояния иммунодефицита, эндокринопатии (гипер- и гипотиреоз, сахарный диабет), соматические заболевания (анемия, инфекции), социальные и поведенческие факторы (стресс, алкоголизм, наркомания, ранние или беспорядочные половые связи), кистозные образования в яичниках и.
Нередко образованию пиовара предшествует проведение различных гинекологических операций: влагалищной гистерэктомии, резекции яичника, выскабливания полости матки, искусственного прерывания беременности (особенно криминальных абортов), кесарева сечения, перевязки маточных труб, сальпингэктомии, трансвагинальной пункции фолликулов яичников при ЭКО и Кроме того, наличие ВМС повышает риск развития пиовара и пиосальпинкса в 4 раза. В ряде случаев пиовар развивается вследствие разрыва кисты желтого тела или фолликулярной кисты.
Преморбидным фоном для развития пиовара могут служить состояния иммунодефицита, эндокринопатии (гипер- и гипотиреоз, сахарный диабет), соматические заболевания (анемия, инфекции), социальные и поведенческие факторы (стресс, алкоголизм, наркомания, ранние или беспорядочные половые связи), кистозные образования в яичниках и.
Клиническая картина
Клиническая картина пиовара характеризуется общевоспалительным синдромом, локальными воспалительными изменениями и интоксикацией.
Клиника пиовара манифестирует с подъема высокой температуры, гектической лихорадки, озноба, потливости, тахикардии, резкой слабости, нарушения сна и аппетита. Внизу живота отмечается острая пульсирующая боль, усиливающаяся при любой физической нагрузке, во время менструации, дефекации, полового акта. Характерны дизурические и диспептические нарушения; появляются гноевидные бели из половых путей.
На фоне пиовара и пиосальпинкса нередко образуется единый воспалительный конгломерат - тубоовариальный абсцесс. При развитии пельвиоперитонита присоединяются симптомы раздражения брюшины.
Клиника пиовара манифестирует с подъема высокой температуры, гектической лихорадки, озноба, потливости, тахикардии, резкой слабости, нарушения сна и аппетита. Внизу живота отмечается острая пульсирующая боль, усиливающаяся при любой физической нагрузке, во время менструации, дефекации, полового акта. Характерны дизурические и диспептические нарушения; появляются гноевидные бели из половых путей.
На фоне пиовара и пиосальпинкса нередко образуется единый воспалительный конгломерат - тубоовариальный абсцесс. При развитии пельвиоперитонита присоединяются симптомы раздражения брюшины.
Лечение
Тактика лечения, которую современная гинекология применяет у пациенток с пиоваром, включает радикальное удаление гнойного очага, подавление инфекционного процесса, госпитальную и постгоспитальную реабилитацию.
В предоперационном периоде назначаются антибактериальные, антигрибковые, антипротозойные средства; проводят дезинтоксикационную терапию, иммуностимулирующую терапию (УФОК, ВЛОК), гемосорбцию, плазмаферез.
На хирургическом этапе производится удаление гнойно-деструктивного очага. Паллиативные вмешательства при пиоваре (кольпотомия, пункция абсцесса) оправданы в случае высокой вероятности перфорации гнойника в брюшную полость, его прорыва в полые органы либо при общей тяжести состояния.
Радикальным вмешательством при пиоваре у молодых женщин служит односторонняя аднексэктомия - удаление воспалительно-измененных придатков лапароскопическим или лапаротомическим способом. У женщин в постменопаузе оптимальным считается выполнение надвлагалищной ампутации или экстирпации матки с придатками.
При вторичном пельвиоперитоните и перитоните после удаления гнойно-некротических тканей осуществляется пролонгированное дренирование брюшной полости с проведением перитонеального диализа.
На этапе реабилитации проводятся физиотерапевтические курсы: УЗТ, ультрафонофорез, микроволновую терапию, магнитотерапию, электрофорез, лазеротерапию, грязелечение, сероводородные ванны и пр.
В предоперационном периоде назначаются антибактериальные, антигрибковые, антипротозойные средства; проводят дезинтоксикационную терапию, иммуностимулирующую терапию (УФОК, ВЛОК), гемосорбцию, плазмаферез.
На хирургическом этапе производится удаление гнойно-деструктивного очага. Паллиативные вмешательства при пиоваре (кольпотомия, пункция абсцесса) оправданы в случае высокой вероятности перфорации гнойника в брюшную полость, его прорыва в полые органы либо при общей тяжести состояния.
Радикальным вмешательством при пиоваре у молодых женщин служит односторонняя аднексэктомия - удаление воспалительно-измененных придатков лапароскопическим или лапаротомическим способом. У женщин в постменопаузе оптимальным считается выполнение надвлагалищной ампутации или экстирпации матки с придатками.
При вторичном пельвиоперитоните и перитоните после удаления гнойно-некротических тканей осуществляется пролонгированное дренирование брюшной полости с проведением перитонеального диализа.
На этапе реабилитации проводятся физиотерапевтические курсы: УЗТ, ультрафонофорез, микроволновую терапию, магнитотерапию, электрофорез, лазеротерапию, грязелечение, сероводородные ванны и пр.
Диагностика
Распознавание пиовара в гинекологии требует комплексного подхода: проведения гинекологического исследования, УЗИ, бактериологического посева мазка на флору, диагностической лапароскопии. В диагностике пиовара оказывает помощь информация об имеющихся у пациентки воспалениях внутренних гениталий или перенесенных гинекологических вмешательствах.
Сдвиги в общем анализе крови при пиоваре характеризуются лейкоцитозом, ускорением СОЭ (до 80 мм/ч и выше). Бактериологическое исследование отделяемого из влагалища позволяет идентифицировать возбудителей инфекции и начать антибактериальную терапию.
Влагалищное исследование способствует выявлению чаще одностороннего опухолевидного болезненного образования, имеющего плотную капсулу и нечеткие границы из-за сращения с окружающими органами (сальником, петлями кишечника, мочевым пузырем).
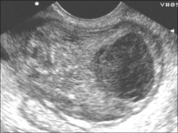
По данным гинекологического УЗИ пиовар визуализируется в виде эхопозитивного округлого образования с неоднородным внутренним содержимым из-за множественных включений, неравномерно утолщенной капсулой (6-10 мм).
В сомнительных случаях требуется выполнение пункции заднего свода влагалища, диагностической лапароскопии.
Сдвиги в общем анализе крови при пиоваре характеризуются лейкоцитозом, ускорением СОЭ (до 80 мм/ч и выше). Бактериологическое исследование отделяемого из влагалища позволяет идентифицировать возбудителей инфекции и начать антибактериальную терапию.
Влагалищное исследование способствует выявлению чаще одностороннего опухолевидного болезненного образования, имеющего плотную капсулу и нечеткие границы из-за сращения с окружающими органами (сальником, петлями кишечника, мочевым пузырем).
По данным гинекологического УЗИ пиовар визуализируется в виде эхопозитивного округлого образования с неоднородным внутренним содержимым из-за множественных включений, неравномерно утолщенной капсулой (6-10 мм).
В сомнительных случаях требуется выполнение пункции заднего свода влагалища, диагностической лапароскопии.
Дифференциальная диагностика
Пиовар в ходе диагностики дифференцируют с острым аппендицитом, холециститом, кишечной непроходимостью, перитонитом, пиелонефритом, острым сальпингоофоритом.
Возможные осложнения
При перфорации пиовара и излитии гноя в брюшную полость развивается гнойный перитонит.
При опорожнении гнойника в прилежащие к пиовару полые органы - прямую или сигмовидную кишку, мочевой пузырь, влагалище в них развивается воспаление (ректит, сигмоидит, цистит, кольпит), формируются длительно не закрывающиеся свищи. Течение ректита и сигмоидита характеризуется тенезмами, выделениями слизи, поносами. При цистите развиваются болезненные и частые позывы к мочеиспусканию; вагинит проявляется гнойными выделениями из половых путей.
При опорожнении гнойника в прилежащие к пиовару полые органы - прямую или сигмовидную кишку, мочевой пузырь, влагалище в них развивается воспаление (ректит, сигмоидит, цистит, кольпит), формируются длительно не закрывающиеся свищи. Течение ректита и сигмоидита характеризуется тенезмами, выделениями слизи, поносами. При цистите развиваются болезненные и частые позывы к мочеиспусканию; вагинит проявляется гнойными выделениями из половых путей.
Связанные клинические рекомендации
|
|