Продолжая работу с сайтом, вы разрешаете использование сookies и соглашаетесь с политикой конфиденциальности.
.,о.,р..и.:г,.и.,н.;н.,а;,л.. .,н.:а,.х.,о.,д.;и.,т..с.:я,, ..н.;а., .,k;,i..b.:e,;r.,i.,s.,.;.r.:u,

Фолликулярная киста

ДобавьАналогиСравни
Используемые препараты: ... скрыть
 
Фарм. гр. Вещество Препараты
Гентамицин
Лечат в 5293 клиниках 171 города
X
X
Нужен: терапевт, 1 услугу
Санкт-Петербург, пр-т Солидарности, д. 1, корп. 1А +7(812..показать+7(495) 104-88-01, +7(812) 246-73-39, +7(812) 584-83-28 от 310₽
Москва, ул. Алабяна, д. 13, корп. 1 +7(495..показать+7(495) 104-88-01, +7(495) 407-73-61 от 310₽
Москва, ул. Большая Серпуховская, д. 16/15, стр. 1, 2, 5 +7(495..показать+7(495) 104-88-01, +7(495) 407-73-61 от 310₽
Москва, ул. Международная, д. 19 +7(495..показать+7(495) 104-88-01, +7(495) 407-73-61 от 310₽
Петергоф, ул. Константиновская, д. 1 +7(812..показать+7(495) 104-88-01, +7(812) 409-75-20, +7(812) 409-77-15, +7(812) 409-75-60 от 350₽
Видное, ул. Завидная, д. 14 +7(495..показать+7(495) 104-88-01, +7(495) 477-33-40 от 350₽
Москва, ул. Беломорская, д. 26 +7(495..показать+7(495) 104-88-01, +7(495) 645-86-86 от 600₽
Москва, ул. Брусилова, д. 21 +7(499..показать+7(495) 104-88-01, +7(499) 653-71-21 от 600₽
Нижний Новгород, ул. Таллинская, д. 8В, корп. 2 +7(831..показать+7(495) 104-88-01, +7(831) 248-53-86 от 600₽
Москва, Солнцевский пр-т, д. 19 +7(495..показать+7(495) 104-88-01, +7(495) 212-92-92 от 600₽
Ещё 5283 клиники
  1. МКБ-10 коды
  2. Описание
  3. Причины
  4. Клиническая картина
  5. Лечение
  6. Похожие заболевания
  7. Основные медицинские услуги
  8. Клиники для лечения

Другие названия и синонимы

Follicular cyst.
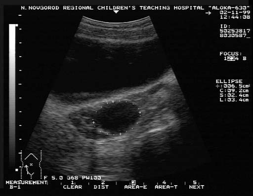
Фолликулярная киста на УЗИ-исследовании

МКБ-10 коды

Описание

 Наиболее многочисленной группой яичников, имеющей основное практичное значение, являются фолликулярные кисты. Эти кисты представляют собой новообразование доброкачественного характера, заполненное невоспалительной жидкостью.
Фолликулярная киста

Причины

 Еще в 1827 году была описана «водяная болезнь» яичников как неизлечимая болезнь старых бесплодных женщин. Длительное время патогенез кист яичников был неизвестен. Существует две основные теории возникновения фолликулярных кист яичников.
 Первая объясняет возникновение кист изменениями, происходящими в яичниках при воспалении придатков матки. Большое значение имеют застойная гиперемия тазовых органов и развитие явлений оофорита.
 Вторая теория гормональная, при которой особое значение придается нарушению гормонального баланса в организме больной. Частое сочетание фолликулярных кист яичников с воспалительными заболеваниями придатков матки, по-видимому, не случайно и может указывать на воспаление как на один из важных этиологических факторов. Нередкое сочетание фолликулярных кист яичника с миомами матки свидетельствует о том, что в основе происхождения обоих заболеваний лежат одни и те же гормональные факторы.

Клиническая картина

 Клинические проявления фолликулярных кист яичников недостаточно четкие. Это зависит от отсутствия характерной симптоматики и нередкого наличия сопутствующих заболеваний, создающих дополнительные трудности при выявлении признаков заболеваний. Особое внимание при изучении клинических проявлений фолликулярных кист яичников уделяется изучению менструальной функции как наиболее достоверному клиническому показателю при оценке функционально состояния яичников. Первые менструации у больных с доброкачественными опухолями и кистами яичников наступают позднее, чем у здоровых женщин соответствующего климатического пояса. Некоторые ученые указывают, что фолликулярные кисты яичников могут сопровождаться кровотечением или, наоборот, аменореей. Маточные кровотечения наблюдаются при персистенции фолликула или недостаточности функции желтого тела.
 Наиболее частой жалобой больных с фолликулярными кистами яичников являются боли. Нередко болезненные ощущения связаны со спаечным процессом в малом тазу.
 Наиболее частым осложнением фолликулярных кист яичников является перекручивание ножки кисты. Это не только чаще всего встречающееся, но и наиболее опасное осложнение фолликулярной кисты, так как перекручивание ножки кисты может вызвать разрыв кисты, нагноение содержимого кисты и развитие перитонита.
 Клиническая картина при перекруте ножки кисты довольно характерна. Заболевание, как правило, начинается с сильных болей внизу живота, сопровождающихся тошнотой и рвотой. Температура в первые часы заболевания остается нормальной, лейкоцитарной реакции не бывает. Типично наличие острого болевого приступа боли внизу живота не только за несколько часов до обращения к врачу, но, что особенно важно, за несколько дней, недель и даже месяцев до этого. Начало заболевания иногда совпадает с физической нагрузкой. Нередким осложнением фолликулярных кист яичника является кровоизлияние в полость кисты.

Лечение

 Постановка диагноза фолликулярной кисты требует наблюдения за пациенткой в течение нескольких последующих менструальных циклов. Ссылаясь на этиологию фолликулярных кист, их терапия в первую очередь предусматривает назначение гормональных оральных контрацептивов в низких дозах. Если в течение 3 месяцев фолликулярная киста не рассосалась, ее следует рассматривать как кистому, опухоль с тенденцией к озлокачествлению. Операция по удалению кисты является единственным эффективным лечением в таком случае. Дополнительными средствами в лечении фолликулярных кист являются витаминные и гомеопатические препараты. При выявлении сопутствующей воспалительной патологии необходимо провести лечение, направленное на его ликвидацию.

Похожие заболевания

42a96bb5c8a2acfb07fc866444b97bf1
Доступно только при использовании PRO аккаунта
Модератор контента: Васин А.С.


  1. Киберис НЕ является интернет-магазином и НЕ осуществляет закупку, хранение, продажу и доставку препаратов. Ресурс выступает лишь в роли посредника между вами и производителем препаратов или аптечными пунктами, которые и осуществляют поставку.
  2. На Киберис размещены описания препаратов, часть из которых предназначена только для врачей. Данная информация не может быть использована пациентами для принятия решения об использовании препаратов, их отмене или коррекции дозировок.
  3. Ничто в представленной информации не должно быть истолковано как призыв использовать данные препараты.
  4. К Киберис не могут быть обращены претензии по поводу любого ущерба или вреда, понесенного в результате использования размещенной на сайте информации.