Другие названия и синонимы
Cystic fibrosis of the lungs.
МКБ-10 коды
- МКБ-10
- E84 Кистозный фиброз
|
|
Описание
Муковисцидоз легких - наследственное заболевание, характеризующееся системным поражением слизеобразующих экзокринных желез респираторного аппарта.
Клиническая картина
Характерной чертой муковисцидоза является повышение вязкости секрета слизеобразующих желез и как следствие обусловливает резкое нарушение очистительной функции бронхов и бронхиальной проходимости. Изменения в органах дыхания могут встречаться практически изолированно или же сочетаться с нарушениями функций органов пищеварения (преимущественно поджелудочной железы и кишечника). Поражение неслизеобразующих желез играет значительно меньшую роль в патологии и выражается в значительном увеличении секреции ими ионов натрия и хлора.
Признаки поражения легких при муковисцидозе чаще всего возникают на первом-втором году жизни ребенка (у 90%) и у 10% - в подростковом возрасте. Раннее начало легочных проявлений наряду с наличием в анамнезе сведений о мекониальном илеусе в период новорожденности, замедленном физическом развитии, частом поносе, непереносимости жирной пищи следует считать характерным признаком муковисцидоза.
Жалобы: на мучительный приступообразный кашель с вязкой, трудно отхаркиваемой мокротой (является типичной жалобой), одышку при умеренных физических нагрузках, а иногда даже в покое. Иногда отмечается кровохарканье.
Физикальное обследование: бледность кожных покровов, иногда одутловатость лица, умеренный или выраженный цианоз видимых слизистых оболочек. Грудная клетка иногда имеет увеличенный сагиттальный размер (бочкообразная форма).
При перкуссии могут определяться признаки эмфиземы (коробочный тон, сужение перкуторных границ сердца, низкое стояние и малая подвижность диафрагмы). При аускультации выслушиваются жесткое, а в верхних отделах нередко ослабленное дыхание, рассеянные сухие хрипы, влажные средне- и мелкопузырчатые хрипы, особенно ярко выраженные в периоды обострений.
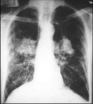
Рентгенологическая картина: распространенное усиление легочного рисунка за счет интерстициальных изменений. Легочный рисунок представляется тяжистым в случае преобладания перибронхиальных изменений или сетчатым при вовлечении в процесс периацинарных и перилобулярных элементов соединительной ткани. Корни легких расширены. При эмфизематозных изменениях обнаруживаются повышение прозрачности легочных полей, преимущественно в верхних отделах. В периоды обострений интерстициальные изменения нарастают, появляется сегментарная или полисегментарная пневмоническая инфильтрация.
При бронхографии выявляются изменения, связанные с гиперсекрецией вязкой мокроты («обрывы» бронхов, фрагментированное их заполнение, неровность контуров, уменьшение числа боковых ветвей). Более чем у трети больных обнаруживаются цилиндрические, реже смешанные, бронхоэктазии в нижних отделах легких.
Бронхоскопия: диффузный гнойный эндобронхит с характерными слизисто-гнойными тяжами, располагающимися по продольным складкам слизистой оболочки, иногда обширные фибринозные («дифтероидные») пленки. Секрет вязкий, с трудом аспирируется.
Исследование функции внешнего дыхания: вентиляция нарушена по обструктивно-рестриктивному типу, остаточный обьём лёгких увеличивается уже на ранних этапах заболевания, уменьшается соотношение остаточная ёмкость лёгких/жизненная ёмкость лёгких, снижаются индекс Тиффно (форсированный выдох за 1 сек/жизненная ёмкость лёгких) и другие скоростные показатели.
Решающее значение в диагностике и дифференциальной диагностике муковисцидоза имеет исследование электролитов пота (потовая проба), которое Международная ассоциация по кистозному фиброзу рекомендует производить по методу Гибсона и Кука.
Ассоциированные симптомы: Вязкая мокрота. Глубокий сухой кашель. Зеленая мокрота. Кашель. Кровохарканье. Мокрота. Одышка. Пальцы - барабанные палочки. Рвота. Слизисто-гнойная мокрота.
Признаки поражения легких при муковисцидозе чаще всего возникают на первом-втором году жизни ребенка (у 90%) и у 10% - в подростковом возрасте. Раннее начало легочных проявлений наряду с наличием в анамнезе сведений о мекониальном илеусе в период новорожденности, замедленном физическом развитии, частом поносе, непереносимости жирной пищи следует считать характерным признаком муковисцидоза.
Жалобы: на мучительный приступообразный кашель с вязкой, трудно отхаркиваемой мокротой (является типичной жалобой), одышку при умеренных физических нагрузках, а иногда даже в покое. Иногда отмечается кровохарканье.
Физикальное обследование: бледность кожных покровов, иногда одутловатость лица, умеренный или выраженный цианоз видимых слизистых оболочек. Грудная клетка иногда имеет увеличенный сагиттальный размер (бочкообразная форма).
При перкуссии могут определяться признаки эмфиземы (коробочный тон, сужение перкуторных границ сердца, низкое стояние и малая подвижность диафрагмы). При аускультации выслушиваются жесткое, а в верхних отделах нередко ослабленное дыхание, рассеянные сухие хрипы, влажные средне- и мелкопузырчатые хрипы, особенно ярко выраженные в периоды обострений.
Рентгенологическая картина: распространенное усиление легочного рисунка за счет интерстициальных изменений. Легочный рисунок представляется тяжистым в случае преобладания перибронхиальных изменений или сетчатым при вовлечении в процесс периацинарных и перилобулярных элементов соединительной ткани. Корни легких расширены. При эмфизематозных изменениях обнаруживаются повышение прозрачности легочных полей, преимущественно в верхних отделах. В периоды обострений интерстициальные изменения нарастают, появляется сегментарная или полисегментарная пневмоническая инфильтрация.
При бронхографии выявляются изменения, связанные с гиперсекрецией вязкой мокроты («обрывы» бронхов, фрагментированное их заполнение, неровность контуров, уменьшение числа боковых ветвей). Более чем у трети больных обнаруживаются цилиндрические, реже смешанные, бронхоэктазии в нижних отделах легких.
Бронхоскопия: диффузный гнойный эндобронхит с характерными слизисто-гнойными тяжами, располагающимися по продольным складкам слизистой оболочки, иногда обширные фибринозные («дифтероидные») пленки. Секрет вязкий, с трудом аспирируется.
Исследование функции внешнего дыхания: вентиляция нарушена по обструктивно-рестриктивному типу, остаточный обьём лёгких увеличивается уже на ранних этапах заболевания, уменьшается соотношение остаточная ёмкость лёгких/жизненная ёмкость лёгких, снижаются индекс Тиффно (форсированный выдох за 1 сек/жизненная ёмкость лёгких) и другие скоростные показатели.
Решающее значение в диагностике и дифференциальной диагностике муковисцидоза имеет исследование электролитов пота (потовая проба), которое Международная ассоциация по кистозному фиброзу рекомендует производить по методу Гибсона и Кука.
Ассоциированные симптомы: Вязкая мокрота. Глубокий сухой кашель. Зеленая мокрота. Кашель. Кровохарканье. Мокрота. Одышка. Пальцы - барабанные палочки. Рвота. Слизисто-гнойная мокрота.
Причины
Инфекционный процесс в бронхиальном дереве играет важную роль в патогенезе муковисцидоза. Основную роль в этиологии инфекционного процесса в бронхах играют золотистый стафилококк, гемофильная палочка и синегнойная палочка, причем два первых микроорганизма выявляются главным образом в раннем детском возрасте, тогда как в дальнейшем основное значение приобретает синегнойная палочка, борьба с которой является весьма сложной проблемой лечения в связи с ее резистентностью к фагоцитозу полинуклеарными лейкоцитами и к большинству антибактериальных средств.
Лечение
Осуществляется по трем основным направлениям: 1) восстановление воздухопроводящей и очистительной функции бронхиального дерева; 2) подавление инфекционного процесса в бронхах; 3) заключается в диетотерапии и коррекции ферментативной недостаточности поджелудочной железы у больных со смешанной формой заболевания.
Традиционные отхаркивающие средства практически не дают эффекта. Благоприятное терапевтическое действие оказывают муколитики.
Применяют 5 мл 10% раствора N-ацетилцистеина в ингаляциях (флуимуцил) и При назначении муколитиков внутримышечно или внутрь они оказывают воздействие и на слизистые железы органов пищеварения.
Большое значение имеют лечебные (санационные) бронхоскопии, которые в периоды обострений следует осуществлять 1-3 раза в неделю с введением в бронхиальное дерево муколитических препаратов. В улучшении бронхиальной проходимости играют физиотерапевтические процедуры, например вибромассаж, а также ЛФК.
Антибактериальную терапию назначаютв периоды обострений. Антибактериальные средства выбирают в соответствии с особенностями высеваемой из дыхательных путей микрофлоры.
Диетотерапия при смешанной форме заболевания предусматривает ограничение жиров с одновременным назначением жирорастворимых витаминов (A, D, Е) и увеличение потребления белка до 3-5 г на 1 кг массы тела в сутки. Ферментативная недостаточность внешнесекреторной функции поджелудочной железы является показанием к заместительной терапии (панкреатин, панзинорм-форте, фестал и ).
Традиционные отхаркивающие средства практически не дают эффекта. Благоприятное терапевтическое действие оказывают муколитики.
Применяют 5 мл 10% раствора N-ацетилцистеина в ингаляциях (флуимуцил) и При назначении муколитиков внутримышечно или внутрь они оказывают воздействие и на слизистые железы органов пищеварения.
Большое значение имеют лечебные (санационные) бронхоскопии, которые в периоды обострений следует осуществлять 1-3 раза в неделю с введением в бронхиальное дерево муколитических препаратов. В улучшении бронхиальной проходимости играют физиотерапевтические процедуры, например вибромассаж, а также ЛФК.
Антибактериальную терапию назначаютв периоды обострений. Антибактериальные средства выбирают в соответствии с особенностями высеваемой из дыхательных путей микрофлоры.
Диетотерапия при смешанной форме заболевания предусматривает ограничение жиров с одновременным назначением жирорастворимых витаминов (A, D, Е) и увеличение потребления белка до 3-5 г на 1 кг массы тела в сутки. Ферментативная недостаточность внешнесекреторной функции поджелудочной железы является показанием к заместительной терапии (панкреатин, панзинорм-форте, фестал и ).
Связанные клинические рекомендации
|
|